Kernícterus
| Kernícterus | ||
|---|---|---|
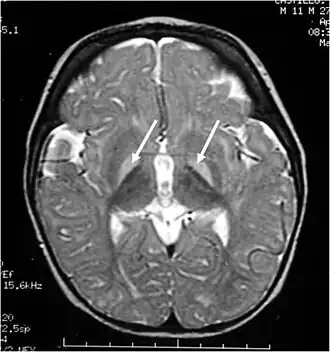
![]() Resonancia magnética de la cabeza. Lesiones hiperintensas de los ganglios basales en T2, marcadas con una flecha blanca. | ||
| Especialidad | pediatría | |
| Sinónimos | ||
| ||
El kernícterus, ictericia nuclear o encefalopatía neonatal bilirrubínica es una complicación neurológica grave causada por la elevación de los niveles normales de bilirrubina en la sangre del neonato. Se debe a la acción directa de la bilirrubina indirecta libre sobre el sistema nervioso central, inhibiendo varios procesos bioquímicos muy importantes, como la fosforilación oxidativa de las mitocondrias y la síntesis proteica.[1]
Etiología
Una de las principales causas es el síndrome de Crigler-Najjar, causado por una ausencia absoluta o un déficit moderado de la enzima glucuroniltransferasa, responsable de la conjugación de bilirrubina indirecta.
Patogenia
El primer factor importante es la barrera hematoencefálica, cuya eficacia depende de:
- La liposolubilidad de las sustancias.
- El tamaño: la bilirrubina unida a la albúmina, tal como viaja en sangre, no la traspasa.
- El estado de la barrera, que puede estar más permeable si está dañada (por ejemplo, por hipoxia).
- La edad del individuo; así, sólo el neonato es susceptible de sufrir este cuadro.
La predilección de la bilirrubina indirecta sobre el sistema nervioso central se debe a su alto contenido en lípidos, la escasez de tejido adiposo (sí es abundante en grasa parda cuya única función es producir calor) en el recién nacido, así como los bajos niveles de albúmina en el líquido interneuronal.
Los niveles de bilirrubina indirecta en sangre capaces de desarrollar este cuadro son dudosos y variables entre individuos. Sin embargo, se utilizan por consenso niveles mayores a 20 miligramos por decilitro durante más de 4 días. En general, depende de la cantidad de albúmina plasmática, la presencia de sustancias o iones competidores o factores que aumenten la disociación bilirrubina-albúmina. La prematuridad es el factor más directamente implicado, pues combina los tres anteriores.
Anatomía patológica
Lesiones precoces
Macroscópicamente destaca la coloración amarillenta del sistema nervioso central, que se hace más evidente en:
- Los ganglios basales (sobre todo en el globo pálido, el putamen y el núcleo caudado).
- Los núcleos cerebelosos y bulbares, así como en la sustancia blanca y la sustancia gris.
Microscopicamente se observa picnosis, hinchazón y vacuolización del citoplasma, y desestructuración de mitocondrias y del aparato de Golgi en las neuronas centrales.
Lesiones tardías
- Degeneración atrófica.
- Proliferación reactiva de la glía.
- Desmielinización.
Cuadro clínico
Fases clínicas iniciales
- Hipotonía, sopor, disminución de la reactividad a estímulos, hiporreflexia y crisis de apnea.
- Espasticidad con o sin opistótonos, atetosis (movimientos incoordinados de las extremidades), alteraciones oculares como nistagmo, estrabismo y ojos en sol poniente.
- Regresión progresiva de los signos, que puede conducir erróneamente a diagnosticar una remisión.
Secuelas
- Anomalías del tono muscular:
- - Hipertonía extrapiramidal
- - Hipertonía piramidal
- - Hipertonía mixta
- - Hipotonía
- Ataxia (alteraciones del equilibrio)
- Trastornos motores: corea, atetosis, temblores
- Déficit intelectual
- Alteraciones del carácter
- Alteraciones sensoriales, visuales y sordera.
Pronóstico
Entre el 50 y el 75 % de los niños con ictericia nuclear mueren precozmente.
