Laringotraqueobronquitis
| Laringotraqueobronquitis | ||
|---|---|---|
![]() | ||
| Especialidad |
neumología pediatría | |
| Síntomas | Tos "perruna", estridor , fiebre, congestión nasal | |
| Causas | Mayormente viral | |
| Diagnóstico | Basado en síntomas | |
| Sinónimos | ||
| ||
El Crup (o laringotraqueobronquitis) es una enfermedad respiratoria que se desencadena usualmente por una infección viral aguda de las vías respiratorias superiores. La infección produce inflamación en la garganta, lo cual interfiere con la respiración normal y produce los clásicos síntomas de tos "perruna", estridor y disfonía. Puede producir síntomas leves, moderados o severos, los cuales empeoran frecuentemente durante la noche. Se trata usualmente con una dosis única de esteroides orales; en casos más severos se utiliza ocasionalmente epinefrina. Raramente requiere hospitalización.
El crup se diagnostica clínicamente, una vez excluida la posibilidad de otras causas más graves (por ejemplo epiglotitis o la presencia de un cuerpo extraño en las vías respiratorias). Normalmente no es necesario realizar otros estudios tales como análisis de sangre, radiografías y cultivos. Se trata de un cuadro relativamente común que afecta en algún momento al 15% de los niños, principalmente entre los 6 meses y los 5-6 años de edad. Casi nunca se presenta en adolescentes y adultos. El crup fue en un momento causado principalmente por la difteria, pero actualmente dicha causa sólo tiene una importancia histórica debido al éxito de la vacunación y a las mejoras de higiene y calidad de vida de la población.
Síntomas y signos
El crup se caracteriza por tos "perruna", estridor, disfonía, y dificultad para respirar que empeoran frecuentemente durante la noche.[1] La tos "perruna" suele describirse como el sonido de una foca o león marino.[2] El estridor empeora con la agitación o el llanto y si puede escucharse en reposo, puede ser un indicio de un estrechamiento crítico de las vías respiratorias. A medida que el crup empeora, el estridor puede disminuir considerablemente.[1]
Otros síntomas incluyen fiebre, coriza (síntomas típicos de un resfriado común) y retracción de la pared torácica.[1][3] El babeo o un aspecto muy enfermo indican la presencia de otras condiciones médicas.[3]
Causas
Se considera que el crup se debe a una infección viral.[1][4] Otros utilizan el término de manera más amplia para incluir laringotraqueítis aguda, crup espasmódico, difteria laríngea, traqueítis bacteriana, laringotraqueobronquitis y laringotraqueobronconeumonía. Las dos primeras enfermedades implican una infección viral y generalmente son de sintomatología leve; las últimas cuatro se deben a infecciones bacterianas y son generalmente más severas.[2]
Viral
El crup viral o laringotraqueítis aguda está causado por el virus parainfluenza, en el 75% de los casos, principalmente por los tipos 1 y 2.[5] Otras etiologías virales incluyen influenza A y B, sarampión, adenovirus y virus sincitial respiratorio humano (VSR).[2] El crup espasmódico está causado por el mismo grupo de virus que la laringotraqueítis aguda pero no presenta los signos de infección habituales (como fiebre, dolor de garganta y un aumento del recuento de glóbulos blancos).[2] El tratamiento y la respuesta al tratamiento también son iguales.[5]
Bacteriano
El crup bacteriano puede dividirse en difteria laríngea, traqueítis bacteriana, laringotraqueobronquitis y laringotraqueobroncopulmonía.[2] La difteria laríngea se debe a Corynebacterium diphtheriae mientras que la traqueítis bacteriana, la laringotraqueobronquitis y la laringotraqueobroncopulmonía se deben a una infección viral primaria con un crecimiento secundario de bacterias. Las bacterias implicadas más habitualmente son Staphylococcus aureus, Streptococcus pneumoniae, Haemophilus influenzae y Moraxella catarrhalis.[2]
Patofisiología
| Crup | Epiglotitis | |
|---|---|---|
| Prevalencia | Muy frecuente | Muy rara |
| Agente etiológico | Parainfluenza, VSR, Gripe | H. influenzae tipo b |
| Edad | 3 meses - 3 años | 3 - 7 años |
| Curso | Prodromo gripal | Instalación súbita |
| Fiebre | < 39 °C | > 39 °C |
| Conteo blanco | Normal | Elevado |
| Tratamiento | Aire húmedo, oxígeno, adrenalina, dexametasona |
Intubación, antibióticos |
La infección viral que causa el crup provoca una inflamación de la laringe, la tráquea y los grandes bronquios[4] debido a la infiltración de glóbulos blancos (especialmente histiocitos, linfocitos, células plasmáticas y neutrófilos).[2] La inflamación provoca una obstrucción de las vías respiratorias que, cuando es significativa, ocasiona un incremento drástico del esfuerzo para respirar y el característico flujo de aire ruidoso y agitado conocido como estridor.
Las lesiones anantomopatológicas de la laringotraqueitis son distintas en la laringe y en la tráquea: en cuanto a la laringe la lesión fundamental es la inflamación de la mucosa, despulimiento, lesiones ulceradas y aun sangrantes en casos graves; en tanto que el epitelio traqueal, además de la inflamación y el depulimiento de las lesiones ulceradas o aun sangrantes, se observan lesiones importantes del epitelio cilicado y en algunos casos perdida de la mucosa. 15
Diagnóstico
| Característica | Número de puntos asignados a esta característica | |||||
|---|---|---|---|---|---|---|
| 0 | 1 | 2 | 3 | 4 | 5 | |
| Retracciones del tórax |
Ausentes | Leves | Moderadas | Severas | ||
| Estridor | Ausente | Con la agitación |
En reposo | |||
| Cianosis | Ausente | Con la agitación |
En reposo | |||
| Nivel de conciencia |
Normal | Desorientado | ||||
| Entrada de aire | Normal | Disminuida | Notablemente disminuida | |||
Se diagnostica un mes antes de presentar síntomas. Generalmente causa un desmayo en el paciente humano cuando el virus incuba en el pulmón; en los animales, inclusive puede causar la muerte. El primer paso es excluir otras enfermedades obstructivas de las vías respiratorias superiores, particularmente epiglotitis, un cuerpo extraño en las vías respiratorias, estenosis subglótica, angioedema, absceso retrofaríngeo y traqueítis bacteriana.[2][4]
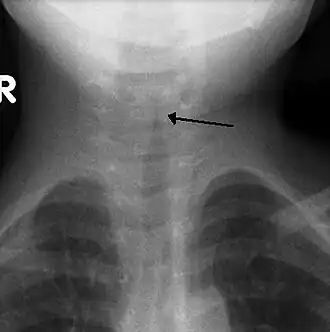
Usualmente no se realiza una radiografía frontal del cuello,[4] pero si se hace, puede mostrar un estrechamiento característico de la tráquea, llamado signo de punta de lápiz o del campanario, debido a que la estenosis subglótica tiene forma de un campanario. El signo del campanario sugiere el diagnóstico, pero está ausente en la mitad de los casos.[3]
No se aconseja realizar otros estudios (tales como análisis de sangre y cultivos virales) ya que pueden causar una agitación innecesaria que empeoraría el estrés en las vías respiratorias afectadas.[4] Aunque los cultivos virales obtenidos mediante aspiración nasofaríngea se pueden emplear para confirmar la causa exacta, su uso se limita habitualmente a la investigación.[1] Debe considerarse la posibilidad de una infección bacteriana si la persona no mejora con el tratamiento estándar, momento en el cual pueden indicarse otros estudios.[2]
Gravedad
El método más utilizado para medir la gravedad del crup es la escala de Westley. Se usa esencialmente para propósitos de investigación más que en la práctica clínica.[2] Es la suma de puntos asignados a cinco factores: nivel de conciencia, cianosis, estridor, entrada de aire y retracciones del tórax.[2] Los puntos asignados a cada factor figuran en la tabla a la derecha y el puntaje final varía de 0 a 17.[6]
- Un puntaje total de ≤ 2 indica un crup 'leve. Pueden estar presentes la característica tos perruna y la disfonía, pero no hay estridor en reposo.[5]
- Un puntaje total de 3-5 indica un crup moderado. Se presenta con un estridor fácil de escuchar, pero con pocos otros signos.[5]
- Un puntaje total de 6-11 indica un crup "grave". Se presenta también con un estridor evidente, pero también con una marcada retracción de la pared torácica.[5]
- Un puntaje total de ≥ 12 indica una inminente insuficiencia respiratoria. La tos perruna y el estridor pueden no ser importantes en esta fase.[5]
El 85% de los niños que acuden al departamento de emergencias presentan un crup leve; el crup grave es poco frecuente (<1%).[5]
Prevención

Muchos casos de crup pueden prevenirse mediante la inmunización contra la influenza y la difteria. En otras épocas, el crup se relacionaba con la difteria, pero con la vacunación, la difteria es ahora poco frecuente en el mundo desarrollado.[2]
Tratamiento
Se trata de mantener a los niños con crup lo más calmados posible.[4] Usualmente se indican esteroides y en los casos más graves se utiliza epinefrina.[4] Debe administrarse oxígeno a los niños cuya saturación de oxígeno es inferior a 92%[2] y aquellos que presentan un crup grave pueden ser hospitalizados para observación.[3] Si se necesita oxígeno, se recomienda su administración por conductos (sujetando una fuente de oxígeno cerca del rostro del niño), dado que causa menos agitación que el uso de una máscara de oxígeno.[2] Con tratamiento, menos del 0,2% de las personas necesita una intubación endotraqueal.[6]
Esteroides
Los corticoesteroides, tales como dexametasona y budesónida, mejoran los síntomas de crup en los niños, cualquiera sea la gravedad de la condición.[7] Se obtiene una mejora significativa tan sólo después de seis horas de su administración.[7] Aunque son efectivos tanto por vía oral, parenteral o por inhalación, generalmente se prefiere el modo oral.[4] Se necesita usualmente una dosis única y se la considera generalmente segura.[4] La dexametasona administrada en dosis de 0,15, 0,3 y 0,6 mg/kg parece ser igualmente efectiva.[8][9]
Epinefrina
El crup moderado a grave puede mejorar temporalmente con nebulizaciones con epinefrina.[4] Aunque la epinefrina reduce la gravedad de los síntomas del crup en 10-30 minutos, los beneficios perduran solo unas dos horas.[1][4] Si la mejora persiste luego de 2-4 horas después del tratamiento y no se presentan otras complicaciones, normalmente se da de alta al niño del hospital.[1][4]
Otros
Aunque se han estudiado otros tratamientos para el crup, no hay suficiente evidencia que justifique su utilización. La inhalación de vapor caliente o húmedo es un tratamiento de cuidado personal tradicional, pero los estudios clínicos realizados no han demostrado su efectividad[2][4] y su uso no es habitual actualmente.[10] Tampoco se recomienda la utilización de medicamentos para la tos los que habitualmente contienen dextrometorfano y/o guaifenesina.[1] En el pasado se indicaba la inhalación de heliox (una combinación de helio y oxígeno) para facilitar el esfuerzo de respirar, pero no hay suficiente evidencia que justifique su uso.[11] Como el crup normalmente es una enfermedad viral los antibióticos no se usan a no ser que se sospeche una infección bacteriana secundaria.[1] En casos de una posible infección bacteriana secundaria se recomiendan los antibióticos vancomicina y cefotaxima[2] En casos graves asociados con el virus de la influenzae A o B, se pueden administrar antivirales contra la neuraminidasa.[2]
Pronóstico
El crup viral es usualmente una enfermedad autolimitada, pero en raras ocasiones puede terminar en muerte por insuficiencia respiratoria y/o paro cardíaco.[1] Los síntomas mejoran normalmente dentro de los dos días, pero pueden permanecer hasta por siete días.[5] Otras complicaciones poco comunes que pueden presentarse son la traqueítis bacteriana, neumonía y edema pulmonar.[5]
Epidemiología
El crup afecta aproximadamente al 15% de los niños y se presenta normalmente entre los 6 meses y los 5-6 años de edad.[2][4] Representa el 5% de las hospitalizaciones en dicha población.[5] En casos raros, puede ocurrir en niños de solo tres meses o de hasta de 15 años.[5] En los hombres es un 50% más frecuente que en las mujeres, y la prevalencia aumenta en otoño.[2]
Historia

Garrotillo es el nombre con que se identificaba antiguamente en español a la enfermedad hoy en día conocida como crup, y en ese entonces indistinguida de la difteria moderna, y que se caracterizaba por la aparente inflamación de las mucosas respiratorias. La palabra crup procede del verbo croup del inglés moderno temprano que significa "gritar roncamente"; la palabra se aplicó en un principio a la enfermedad en Escocia y se popularizó en el siglo XVIII.[12] El crup diftérico se conoce desde la época de la Antigua Grecia de Homero y no fue hasta 1826 cuando Pierre Bretonneau diferenció el crup viral de la difteria.[13] El crup viral pasó a llamarse entonces "falso crup" en Francia, y el término "crup" se refería a una enfermedad causada por la bacteria de la difteria.[10] El crup debido a la difteria ya prácticamente no se conoce dada la efectividad de la inmunización.[13]
Louis Antoine François Baillon, en Francia describió esta enfermedad sofocante poco antes de 1576, hasta entonces desconocida. Antes de ello, es probable que solo Areteo de Capadocia haya descrito con detalle la enfermedad, en especial sus síntomas. Los primeros estudios de importancia en lo relativo al crup provienen de la notable infección de Napoleón Carlos Bonaparte, hijo de Luis Bonaparte, Rey de Holanda, quien falleció de crup. Afectado por la muerte de su hijo, el emperador propuso un premio de FRF₣12.000 al autor del mejor estudio de la infección.[14] Como consecuencia se difundió amplia luz sobre la patología de la laringotraqueobronquitis.
El crup y su tratamiento aparecen como temas de la novela "Sin rumbo" (1885), de Eugenio Cambaceres, y del cuento "Tini" (1881), de Eduardo Wilde, ambos autores exponentes del Naturalismo en América.
En la novela "La familia de León Roch" de Pérez Galdós aparece una capítulo en el que se exponen las consecuencias del crup con toda su crudeza.
Referencias
- ↑ a b c d e f g h i j Rajapaksa S, Starr M (mayo de 2010). «Croup – assessment and management». Aust Fam Physician 39 (5): 280-2. PMID 20485713.
- ↑ a b c d e f g h i j k l m n ñ o p q r Cherry JD (2008). «Clinical practice. Croup». N. Engl. J. Med. 358 (4): 384-91. PMID 18216359. doi:10.1056/NEJMcp072022.
- ↑ a b c d «Diagnosis and Management of Croup» (PDF). BC Children’s Hospital Division of Pediatric Emergency Medicine Clinical Practice Guidelines.
- ↑ a b c d e f g h i j k l m n Everard ML (febrero de 2009). «Acute bronchiolitis and croup». Pediatr. Clin. North Am. 56 (1): 119-33, x-xi. PMID 19135584. doi:10.1016/j.pcl.2008.10.007.
- ↑ a b c d e f g h i j k l Johnson D (2009). «Croup». Clin Evid (Online) 2009. PMC 2907784. PMID 19445760.
- ↑ a b c Klassen TP (diciembre de 1999). «Croup. A current perspective». Pediatr. Clin. North Am. 46 (6): 1167-78. PMID 10629679. doi:10.1016/S0031-3955(05)70180-2.
- ↑ a b Russell KF, Liang Y, O'Gorman K, Johnson DW, Klassen TP (2011). «Glucocorticoids for croup». Cochrane Database Syst Rev 1 (1): CD001955. PMID 21249651. doi:10.1002/14651858.CD001955.pub3.
- ↑ Port C (abril de 2009). «Towards evidence based emergency medicine: best BETs from the Manchester Royal Infirmary. BET 4. Dose of dexamethasone in croup». Emerg Med J 26 (4): 291-2. PMID 19307398. doi:10.1136/emj.2009.072090.
- ↑ Aregbesola, Alex; Tam, Clara M; Kothari, Asha; Le, Me-Linh; Ragheb, Mirna; Klassen, Terry P (10 de enero de 2023). «Glucocorticoids for croup in children». En Cochrane Acute Respiratory Infections Group, ed. Cochrane Database of Systematic Reviews (en inglés) 2023 (1). doi:10.1002/14651858.CD001955.pub5. Consultado el 23 de febrero de 2023.
- ↑ a b Marchessault V (noviembre de 2001). «Historical review of croup». Can J Infect Dis 12 (6): 337-9. PMC 2094841. PMID 18159359.
- ↑ Vorwerk C, Coats T (2010). «Heliox for croup in children». Cochrane Database Syst Rev 2 (2): CD006822. PMID 20166089. doi:10.1002/14651858.CD006822.pub2.
- ↑ Online Etymological Dictionary,croup. Consultado el 13 de septiembre de 2010.
- ↑ a b Feigin, Ralph D. (2004). Textbook of pediatric infectious diseases. Philadelphia: Saunders. p. 252. ISBN 0-7216-9329-6.
- ↑ Francisco de Paula Mellado. Enciclopedia moderna: Diccionario Universal de Literatura, Ciencias, Artes, Agricultura, Industria y Comercio. Publicado por Establecimiento Tipográfico de Mellado, 1852; pág 812-813.
Enlaces externos
Wikimedia Commons alberga una categoría multimedia sobre Laringotraqueobronquitis.
- MedlinePlus. «Crup».
- Fundación Argentina del Tórax. «Crup».
- Gartner Macias, Eudes (23 de octubre). Cardona, Juan Carlos, ed. «Guía de Manejo de Laringotraqueobronquitis, Croup». Fundación Clínica Infantil Club Noel. (enlace roto disponible en Internet Archive; véase el historial, la primera versión y la última).
- Vargas Antezana, Omar; Maranon, Elizabeth (1991). Laringotraqueobronquitis aguda crup infeccioso. Cochabamba, Bolivia: Universidad Mayor de San Simón. OCLC 69866836.
- Esta obra contiene una traducción total por Lizette Britz, Carmen Garcia, Cristina Rodriguez de Translators Without Borders (TWB) y usuario de Wikipedia Mijotoba; como parte del Wikipedia:WikiProject Medicine/Translation task force derivada de «Croup» de Wikipedia en inglés, concretamente de esta versión del 4 de junio de 2013, publicada por sus editores bajo la Licencia de documentación libre de GNU y la Licencia Creative Commons Atribución-CompartirIgual 4.0 Internacional.
- Rivero Serrano, Octavio et al. NEUMOLOGIA. Editorial Trillas, Capitulo 13 pag. 111.
