Libre albedrío

El albedrío (de la deformación vulgar del vocablo latino arbitrium,[1] a su vez de arbiter, ‘juez’[2]), libre albedrío o libre elección es la creencia de aquellas doctrinas filosóficas según la cual las personas tienen el poder de elegir y tomar sus propias decisiones. Muchas autoridades religiosas han apoyado esta creencia,[3] mientras que ha sido criticada como una forma de ideología individualista por pensadores como Baruch Spinoza, Arthur Schopenhauer, Karl Marx y Friedrich Nietzsche. Últimamente científicos del cerebro están cuestionando el libre albedrío.[cita requerida]
El principio del libre albedrío tiene implicaciones religiosas, éticas, psicológicas, jurídicas y científicas. Por ejemplo, la ética puede suponer que los individuos son responsables de sus propias acciones. En la psicología, implica que la mente controla algunas de las acciones del cuerpo, las cuales son conscientes.[cita requerida]
La existencia del libre albedrío ha sido un tema central a lo largo de la historia de la filosofía y de la ciencia. Se diferencia de la libertad en el sentido de que conlleva la potencialidad de obrar o no obrar.[4]
Perspectivas filosóficas sobre la libertad


Existen varios puntos de vista sobre si la libertad metafísica existe, esto es, si las personas tienen el poder de elegir entre alternativas genuinas.[5]
El determinismo es el punto de vista según el cual todos los eventos son resultados inevitables de causas previas, de que todo lo que pasa tiene una razón de ser.
El incompatibilismo es el punto de vista según el cual no es posible reconciliar una creencia en un universo determinista con el verdadero libre albedrío. El determinismo duro acepta tanto el determinismo como el incompatibilismo, y rechaza la idea de que los humanos poseen un libre albedrío.
Lo contrario a esto es el libertarismo[6] filosófico, que mantiene que los individuos tienen libertad metafísica y por lo tanto rechaza el determinismo. El indeterminismo es una forma del libertarismo que, según su punto de vista, implica que el libre albedrío realmente existe, y esa libertad hace que las acciones sean un efecto sin causa. La teoría de la agencia es una forma del libertarismo que mantiene que la elección entre el determinismo y el indeterminismo es una dicotomía falsa. Antes que voluntad, es un efecto sin causa. La teoría de la agencia sostiene que un acto de libre albedrío es un caso de agente-causalidad, por lo cual un agente (persona, el ser) causa un acontecimiento. Es una filosofía separada de la teoría económica y política del libertarismo. El libertarismo metafísico se llama a veces voluntarismo para evitar esta confusión.
El compatibilismo[7] es el punto de vista que sostiene que el libre albedrío surge en el exterior de un universo determinista aun en ausencia de incertidumbre metafísica. Los compatibilistas pueden definir al libre albedrío como el surgimiento de una causa interior, tal como los pensamientos, las creencias y los deseos que uno piense que existen en uno mismo. La filosofía que acepta tanto el determinismo como el compatibilismo se llama el determinismo suave.
Determinismo contra indeterminismo
El determinismo sostiene que cada situación se condiciona íntegramente y así es determinada por los estados de los propósitos que la precedieron.[8] Una formulación del determinismo es el fatalismo, donde se afirma que existe una necesidad (destino) que rige todo, negando la libertad. Esta posición la sostenían los estoicos y puede encontrarse en Parménides de Elea.[9][10][11] El determinismo filosófico es ilustrado a veces por la idea del demonio de Laplace, que conoce todos los hechos acerca del pasado y presente y todas las leyes naturales que gobiernan el mundo y utiliza este conocimiento para prever el futuro hasta el más mínimo detalle. El pensamiento de Laplace, sin embargo, no representa la postura científica actual acerca del tema.[12]

Por otro lado, el indeterminismo especula que esta proposición es incorrecta, ya que hay acontecimientos que no son determinados enteramente por acontecimientos previos. Los pitagóricos, Sócrates y Platón intentaron conciliar la libertad con el determinismo y la ley causal. Aristóteles fue uno de los primeros en argumentar a favor del indeterminismo.[14] Lucrecio afirmaba que el libre albedrío surge del azar, de movimientos caóticos de átomos llamados "clinamen".[13][15] Entre los indeterministas modernos se encuentran Robert Nozick[16] y Robert Kane.[17]
El incompatibilismo mantiene que el determinismo no se puede reconciliar con el libre albedrío. Los incompatibilistas generalmente afirman que una persona actúa libremente solo cuando ésta es la única que origina la causa que desencadena una acción y que podría haber terminado auténticamente de otra manera. Mantienen que si el determinismo es verdad, cada elección es determinada por acontecimientos previos.[8]
Joe Campbell en su libro Free Will, describe el problema del libre albedrío como el "dilema del libre albedrío":[18]
- Si el determinismo es verdadero, entonces nadie tiene libre albedrío.
- Si el indeterminismo es cierto, entonces nadie tiene libre albedrío.
- Por lo tanto, nadie tiene libre albedrío.

Sam Harris expresa en su corto ensayo también titulado Free Will que cada elección que hacemos se hace como resultado de causas que «están determinadas por causas anteriores y no somos responsables de ellas, o son producto de la casualidad y no somos responsables de ellas».[19][20]
Hay un punto de vista intermedio en que las condiciones pasadas podrían tener influencia, pero no determinan las acciones futuras. Las elecciones individuales son un resultado entre muchos resultados posibles, todos los cuales son inducidos pero no determinados por el pasado. Incluso si el agente del albedrío se esfuerza espontáneamente en escoger entre las acciones disponibles, propiamente el agente no es el que origina la causa de la acción, porque nadie puede realizar las acciones que son imposibles, tal como volar con solo batir los brazos. Aplicado a estados interiores, esta perspectiva sugiere que uno puede escoger entre las opciones en que piensa, pero no puede escoger una opción imposible de realizar. Según esta opinión, las elecciones actuales pueden iniciar, determinar o limitar las elecciones futuras.
Duns Scoto sostuvo que «nada otro que la voluntad es la causa total de la volición de la voluntad».[21] Dios como concibe Scoto, es la libertad absoluta.[22] René Descartes argumentó sobre la relación mente y cuerpo, llamada dualismo cartesiano, donde la mente es una substancia distinta de la materia, el cuerpo, siendo inmaterial y estando fuera de toda ley física. Creía que la mente ejercía control sobre el cuerpo a través de la glándula pineal. Cómo funciona esa interacción sigue siendo un tema polémico (ver Problema mente-cuerpo y Mecanicismo). Gottfried Leibniz sostuvo que las mentes humanas son reflejos de Dios o pequeños dioses, como motores inmóviles, con independencia causal y la capacidad de pervivir el mundo. Esta doctrina se encuentra en el neoplatonismo y la doctrina del Génesis.[23] Por otro lado, Nicolas Malebranche sostuvo que toda acción es causa de Dios, incluso nuestras acciones (ver Ocasionalismo).
Baruch Spinoza comparó la creencia del hombre en el libre albedrío con una piedra que piensa que escogió el sendero al cual llegó por el aire y el lugar en el cual aterrizó. En la Ética escribió: «Las decisiones de la mente no son nada salvo deseos, que varían según varias disposiciones puntuales". "No hay en la mente un absoluto libre albedrío, pero la mente es determinada por el desear esto o aquello, por una causa determinada a su vez por otra causa, y ésta a su vez por otra causa, y así hasta el infinito». «Los Hombres se creen libres porque ellos son conscientes de sus voluntades y deseos, pero son ignorantes de las causas por las cuales ellos son llevados al deseo y a la esperanza».[24][25]

Arthur Schopenhauer, estando de acuerdo con Spinoza, escribió: «Todos creen a priori que son perfectamente libres, aun en sus acciones individuales, y piensan que a cada instante pueden comenzar otro capítulo de su vida... Pero a posteriori, por la experiencia, se dan cuenta —con asombro— de que no son libres, sino sujetos a la necesidad; su conducta no cambia a pesar de todas las resoluciones y reflexiones que puedan llegar a tener. Desde el principio de sus vidas y al final de ellas, deben soportar el mismo carácter».[26] No obstante, Schopenhauer afirmó en El mundo como voluntad y representación que los en el mundo (fenómenos) no tienen libertad, pero la voluntad (como noúmeno) no está subordinada a las leyes de la necesidad (causalidad) y, por tanto, es libre.[27] En sus obras Los dos problemas fundamentales de la ética también critica la noción de libre albedrío:
Tú puedes hacer lo que siempre haces, pero en algún momento de tu vida sólo podrás hacer una actividad definida, y no podrás hacer absolutamente nada que no sea esta actividad.Schopenhauer, en "Freedom of the Will", Cap. II
Puedo hacer lo que deseo: Si puedo, si lo deseo, dar todo lo que tengo a los pobres y por lo tanto hacerme pobre yo mismo -si lo deseo. Pero yo no puedo desear esto, porque los motivos opuestos tienen demasiado poder sobre mí para poder hacerlo. Por otro lado, si tuviera un carácter distinto, al extremo de que yo fuera un santo, podría desearlo. Pero entonces no podría dejar de desearlo por lo que tendría que hacerlo... tampoco como una bola en una mesa de billar no se puede mover antes de recibir un impacto, tampoco puede un hombre levantarse de su silla antes de ser empujado o impulsado por un motivo. Pero el pararse es tan necesario e inevitable como el rodar de una bola después del golpe. Y esperar que alguien haga algo a lo que absolutamente ningún interés lo impulsa... Es lo mismo que esperar que un trozo de madera se mueva hacia mí sin ser tirado por una cuerda...— Ib., Ch. III
Schopenhauer dice que un humano puede hacer muy bien lo que quiera, pero no puede querer lo que quiere, me acompaña en todas las circunstancias de mi vida y me reconcilia con las acciones de los humanos, aun cuando son muy estresantes.— Albert Einstein, Address to the German League for Human Rights, noviembre de 1928. credo
Friedrich Schiller propuso una coyuntura a este dilema en su Educación estética del Hombre en una serie de Cartas, que fue ahondada aún más por Rudolf Steiner en su Filosofía de la Libertad. Ambos sugieren que el individuo es inicialmente 'no libre; esto se debe a que el individuo actúa con base en principios religiosos, éticos y morales, o que aún son racionales.

Los "deterministas duros", tales como d'Holbach, son esos incompatibilistas que aceptan el determinismo y rechazan el libre albedrío. Dijo: «La Naturaleza no es más que una cadena inmensa de causas y efectos [...] Todos los movimientos que se efectúan en ella siguen leyes constantes y necesarias [...] La voluntad del hombre es movida o determinada secretamente por causas exteriores que producen un cambio en él; creemos que se mueve por sí misma porque no vemos la causa que la determina [...]».[28] Los "libertarios", tales como Thomas Reid, Peter van Inwagen,[29] son los incompatibilistas que aceptan el libre albedrío y niegan el determinismo, teniendo en cuenta que alguna forma del indeterminismo es verdad. El incompatibilista más conocido de la historia de la filosofía fue Immanuel Kant.[30]

Otros filósofos sostienen que el determinismo es compatible con el libre albedrío. La noción de libre albedrío "compatibilista" se ha atribuido tanto a Aristóteles como a Epicteto.[31] Crísipo, influenciado por Aristóteles es considerado el primer compatiblista.[31][32] Estas personas, como Thomas Hobbes, generalmente aclaman que una persona actúa libremente si no encuentra un obstáculo en hacer lo que tiene en la voluntad de hacerlo por decisión propia.[33] Articulando esta cláusula elemental, Hume escribe que «esta libertad hipotética se aplica universalmente a cualquiera que no sea un prisionero encadenado». Los "compatibilistas" apuntan con frecuencia a casos en donde la libertad de alguien es negada —violaciones, asesinatos, asaltos, etc.—. La clave para estos casos no consiste en que el pasado esté determinando el futuro, sino en que el agresor está dominando sobre los deseos y preferencias de las acciones de la víctima. El agresor está forzando a la víctima, y, de acuerdo con los compatibilistas, esto es lo que domina sobre el libre albedrío. Además argumentan que el determinismo no es lo que importa, sino el hecho de que las acciones de los individuos son el resultado de sus propios deseos y preferencias, sin estar dominados por alguna fuerza externa o interna. Para ser un compatibilista, uno no necesita endorsar alguna concepción particular del libre albedrío, sino aceptar que el determinismo está relacionado con este. El compatibilista más conocido de la historia de la filosofía fue David Hume.[34] Hoy en día esa posición es defendida, por ejemplo, por Daniel Dennett.[35]
Otro punto de vista es que el concepto de “libre albedrío” es, como diría Hobbes, un “discurso absurdo”, porque la libertad es un poder definido en términos del albedrío, el cual es una cosa —y así la voluntad no es la clase de cosa que podría ser libre o no libre—. John Locke, en su Ensayo sobre el entendimiento humano, indicó que llamarse "libre" es comprometerse a un error de categoría:
¿Cuándo el albedrío de un hombre es libre o no lo es? La pregunta en sí es impropia y es insignificante preguntar si un hombre será libre, así como preguntar si su sueño será rápido, o si su virtud cuadrada: la libertad no es muy aplicable al albedrío, así como la rapidez del movimiento a un sueño, o el ser cuadrado a la virtud. Cada uno puede reírse de lo absurdo de esa pregunta o de cualquiera de las anteriores: porque es obvio que las modificaciones en el movimiento no pertenecen al sueño, ni la virtud depende de su figura; y cuando alguien lo considera, cree que su albedrío percibirá que la libertad, que es un poder, pertenece únicamente a los agentes y no puede atribuir o modificar el albedrío, que también es únicamente un poder.Capítulo XXI, Párrafo 14
Esta cuestión también se plantea si cualquier acto intencionado puede ser libre o cualquier acto sin intención puede estar relacionado con el albedrío, dejando la libertad como un oxímoron. Algunos compatibilistas argumentan que esta ambigüedad del concepto “libre albedrío” es en parte culpable de la percepción de contradicción entre el determinismo y la libertad. Así, desde un punto de vista compatibilista, el uso de “libre albedrío” en un sentido “incompatibilista" puede ser interpretado como lenguaje cargado.
Responsabilidad moral
La sociedad generalmente hace a la gente responsable por sus acciones y dirá que merecen premios o castigos por lo que hagan. Sin embargo, muchos creen que la responsabilidad moral requiere libre albedrío; en otras palabras, la habilidad de tomar distintas alternativas. Además, otro tema de importancia es si los individuos siempre son moralmente responsables y, de ser así, en qué sentido.

Aristóteles creía claramente que nuestras deliberaciones involucraban elecciones entre posibilidades alternativas, y esto implica tanto la posibilidad de hacer lo contrario. Su definición de la voluntad voluntaria como causada desde dentro de un agente (libertarismo) todavía hoy es válida. Aristóteles desafió a quienes dijeron que nuestras acciones están determinadas por nuestro carácter, ya que negaría la responsabilidad moral. Admitió que algunos aspectos de nuestro carácter pueden ser innatos y, por lo tanto, limitar nuestra responsabilidad, pero somos al menos parcialmente libres.[14] Siguiendo a Aristóteles, Epicuro pensó que los agentes humanos tienen la capacidad autónoma de trascender la necesidad y el azar. Su tertium quid es la autonomía del agente, lo que "depende de nosotros".[37] No obstante, Tim O'Keefe ha argumentado que Epicuro no eran libertario, sino compatibilista.[38]
Los incompatibilistas tienden a pensar que el determinismo no está relacionado con la responsabilidad moral. Para Kant deber implica poder. Es decir, para afirmar que se debe realizar una acción, debe estar a mi alcance de realizarla, si no, no tendría sentido exigirla.[36] Después de todo, parece imposible que uno pueda llamar a alguien responsable por una acción que podía predecirse desde antes. Los deterministas duros pueden decir «Muy mal para la responsabilidad moral» y descartar el concepto —Clarence Darrow utilizó este argumento para defender a los asesinos Leopold y Loeb— mientras, controvertidamente, los libertinos podrían decir «Muy mal para el determinismo». Este caso parece ser el corazón de la disputa entre los deterministas duros y los compatibilistas; los deterministas duros están forzados a aceptar que los individuos tienen con frecuencia “libre albedrío” en el sentido compatibilista, pero pueden negar que es este sentido de libertad el que realmente importa —que puede llegar en la responsabilidad moral—. Solo porque las opciones de un agente no sean coherentes, de acuerdo con los deterministas duros, no cambia el hecho de que el determinismo le quita la responsabilidad al agente.
Los compatibilistas argumentan con frecuencia que, por otro lado, el determinismo es un prerrequisito para la responsabilidad moral —la sociedad no puede considerar a alguien responsable a menos que sus acciones sean determinadas por algo—. Este argumento fue empleado por Hume y por el anarquista William Godwin. Después de todo, si el indeterminismo es cierto, entonces esos eventos no son determinados; son al azar. Una de las preguntas formuladas es si es posible culpar o castigar a una persona por llevar a cabo una acción que saltó espontáneamente a su sistema nervioso. Argumentan que uno necesita mostrar cómo la acción proviene de los deseos y las preferencias —el carácter de las personas— antes de que uno considere a la persona como responsable social. Los liberales podrán responder que las acciones indeterminadas no tienen relación con el azar y que resultan de un sustantivo albedrío en que sus decisiones serán indeterminadas. Este argumento es ampliamente considerado como no satisfactorio, ya que solo aumenta el problema e implica metafísica, así como el concepto Ex nihilo nihil fit.
San Pablo, en su Epístola a los romanos, plantea la siguiente cuestión sobre responsabilidad moral:
¿Es que el alfarero no es dueño de hacer de una misma masa unas vasijas para usos nobles y otras para usos despreciables?(Romanos, 9:21).
Desde esta perspectiva, los individuos todavía pueden perder su honor por medio de sus actos, aun cuando tales fueran determinados completamente por Dios.
Un punto de vista similar dice que la responsabilidad de la culpabilidad moral del individuo recae en el carácter individual. Eso significa que una persona con el carácter de un asesino no tiene más alternativa que matar, pero todavía puede ser castigado porque es un derecho castigar a las personas con mal carácter.
Algunas interpretaciones de responsabilidad moral también asumen que una persona es, desde que nace hasta que muere, extrínsicamente dependiente de sus cambios físicos y mentales. Así, Stanley Williams, de 52 años, fue ejecutado debido a un crimen que cometió cuando tenía 28 años.
Teorías compatibilistas y el principio de pudo-haberse-hecho

El filósofo Isaías Berlín propuso que para tener opción de libertad el agente debería poder actuar de manera contraria. Este principio, que Van Inwagen llama el “principio de las posibilidades alternativas”, dice que es un requisito para la libertad. Desde este punto, las acciones llevadas a cabo desde la influencia de una coerción irresistible no son libres y el agente no es moralmente responsable de ellas.
Sin embargo, algunos compatibilistas, así como Harry G. Frankfurt o Daniel Dennett, argumentan que hay casos en los que, aun cuando el agente no pudiera actuar de otra manera, su elección aún es libre, porque la coerción irresistible coincide con las intenciones y deseos personales del agente, así como el dicho «Ahora, pon la pistola en mi sien y oblígame a disparar». En Elbow Room, Dennet presenta un argumento para la teoría compatibilista sobre el libre albedrío. La elaboró más adelante en el libro de 2003 Freedom Evolves. El razonamiento básico consiste en que si los individuos no considerasen a Dios, o a un demonio infinitamente poderoso, o la capacidad de viajar en el tiempo, entonces habría caos y habría seudo-azar o un azar cuántico; el futuro se define en una enfermedad, compuesto por todos los seres finitos. Los únicos conceptos bien definidos son las “expectativas”. Además, la habilidad para hacer lo “contrario” solo tiene sentido cuando se manejan expectativas y no con un futuro totalmente desconocido. Desde que los individuos tienen la habilidad de actuar de una manera diferente a la que el resto espera, el libre albedrío puede existir. Los incompatibilistas aclaman que el problema con esta idea es que la herencia y la cantidad de coerción irresistible creada por el ambiente hacen que todas nuestras acciones sean controladas por fuerzas fuera de nosotros mismos, determinadas por el azar.
El filósofo John Locke negó que el término “libre albedrío” tenga sentido. Sin embargo, también afirmó que el determinismo era irrelevante. Creía que la capacidad de actuar voluntariamente consistía en que los individuos tienen la habilidad de posponer una decisión lo suficiente como para deliberar sobre las consecuencias de tomar o no esa alternativa. Se han ofrecido análisis más sofisticados de la libertad compatibilista, así como otras críticas.
David Hume defendió el compatibilismo como necesario para la moral, pues necesitamos tanto la libertad como la necesidad.[34][39]
- Sin necesidad no habría regularidad en el comportamiento humano y sin eso, no habría lugar para las leyes morales.
- Además debe haber alguna conexión regular entre las acciones y los motivos de uno.
William James, filósofo y psicólogo, etiquetó como determinismo leve a la posición actualmente conocida como compatibilismo, y argumentó que las formulaciones del determinismo leve eran «un dilema de evasión en el cual el verdadero asunto de importancia se ha difuminado completamente». Pero los puntos de vista de James eran un tanto ambivalentes. Mientras creía en el libre albedrío en “campos éticos”, pensaba que no había evidencia para su existencia en campos psicológicos o científicos. Además, no creía en el incompatibilismo como se formuló anteriormente, en que el indeterminismo de las acciones humanas fuera un requisito para la responsabilidad moral. En su clásica obra Pragmatismo, publicada en 1907, escribió que «El instinto y sus utilidades pueden ser confiables para llevar los asuntos sociales de castigo y culpa» fuera de las teorías metafísicas. Creía que el indeterminismo es importante como una “doctrina de alivio” —permite creer que, aunque el mundo desde muchos puntos de vista sea un lugar malo, puede mejorar a través de las acciones de los individuos—. El determinismo, argumentó, indetermina ese meliorismo.
La ciencia del albedrío
A lo largo de la historia, las personas han hecho intentos de responder a las preguntas del libre albedrío a través de principios científicos. La primera mentalidad científica muchas veces mostró al Universo como determinista, y muchos pensadores creían que era simplemente cuestión de recolectar suficiente información el poder predecir eventos futuros con perfecta precisión.
Esto motiva a los individuos a ver el libre albedrío como una ilusión. La ciencia moderna es una mezcla de teorías deterministas y estocásticas. Por ejemplo, la decadencia radioactiva ocurre con probabilidad predecible, pero no es posible, aún en teoría, decir exactamente cuándo un núcleo particular decaerá. La mecánica cuántica predice observaciones solo en términos de probabilidad. Esto coloca dudas sobre el determinismo del Universo. Algunos científicos deterministas como Albert Einstein creen en la teoría de la variable escondida; que por debajo de las probabilidades de la mecánica cuántica hay más variables (ver la paradoja EPR).
Esta teoría ha traído grandes dudas sobre sí misma, por las desigualdades de Bell, que sugieren que »Dios puede jugar realmente a los dados» después de todo, quizás poniendo en duda las predicciones del demonio de Laplace. El filósofo contemporáneo más importante que ha capitalizado el éxito de la mecánica cuántica y la teoría del caos para defender la libertad incompatible es Robert Kane, en La importancia del libre albedrío y otros escritos. Los argumentos de Kane, aun así, se aplican perfectamente a cualquier entidad “impensable” que se comporte de acuerdo con la mecánica cuántica.
Como los físicos, los biólogos han cuestionado el libre albedrío. Uno de los debates más odiados de la biología es el de “lo innato y lo adquirido”. Este debate cuestiona la importancia de la genética y la biología en el comportamiento humano cuando se compara con la cultura y el medio ambiente. Los estudios de genética han identificado muchos factores genéticos que afectan la personalidad del individuo, como en casos obvios como el síndrome de Down, a efectos más sutiles como una predisposición estadística hacia la esquizofrenia.
Aun así, no parece certero que la determinación ambiental afecta menos el libre albedrío que la determinación genética. Los últimos análisis del genoma humano muestran que solo tiene veinte mil genes. Estos genes, y el reconsiderado material genético intrón, y la nueva MiRNA, permiten un nivel de complejidad análoga a la complejidad del comportamiento humano. Desmond Morris y otros antropólogos han estudiado la relación entre el comportamiento y la selección natural en humanos y otros primates.
La síntesis de estos dos campos de investigación es que la genética humana puede ser lo suficientemente compleja como para explicar tendencias del comportamiento y que los factores ambientales beneficiosos para la evolución, tales como el comportamiento de los padres y los estándares culturales, modifican estos factores genéticos. Ninguno de estos fenómenos, complejidad genética o desventajas en el comportamiento cultural, requieren del libre albedrío para explicar el comportamiento humano. Sin embargo, la presencia de los genes que juegan un papel en algunas conductas, como por ejemplo desórdenes mentales, no vuelve a un comportamiento automático, y los estudios sugieren que hay personas que sufren de una predisposición genética a ser más explosivos, pero el comportamiento violento no necesariamente se vuelve un rasgo en la conducta del individuo.
Parece que es necesario más de un gen, y un posible combustible ambiental, para expresar el rasgo; esto sugiere que la naturaleza y la crianza juegan un importante papel en nuestro comportamiento. Algunos difieren y afirman que alguna forma de libre albedrío puede todavía existir, ya que el factor ambiental en el libre albedrío le permite a una persona manipular ese ambiente de manera tal que esta manipulación implique un compromiso entre su propio cuerpo y mente, porque una acción aislada no existe, una motivación parecida o comparable a ambos actos existe, y los factores genéticos permiten a esas dos o más acciones ser tomadas en cualquier situación o momento, pero solo a veces ese compromiso puede significar un evento que no es al azar, al menos en algunas instancias, el argumento tiende a implicar.
La parte de crianza aquí puede estar en conflicto con información a corto plazo, así que no necesariamente predice o explica el resultado del curso de la acción a ser tomada. Aun así, otros discuten que esos factores en solitario pueden explicar el resultado del comportamiento sin la necesidad del “libre albedrío”. Las investigaciones sobre el tema siguen en proceso.

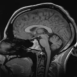
También se ha vuelto posible el estudio del cerebro vivo y los investigadores ahora pueden observar la maquinaria de la toma de decisiones trabajando. Un experimento en este campo fue conducido por Benjamín Libet en los años 1980, en el cual él les pedía a sujetos escoger un momento cualquiera para agitar su muñeca mientras él lo asociaba con la actividad cerebral.
Libet descubrió que la actividad cerebral inconsciente que llevaba a la decisión consciente de mover su muñeca comenzaba medio segundo antes de que el sujeto conscientemente decidiera moverla. Esta masa de carga eléctrica ha sido llamada potencial de estar listo (o potencial de preparación). Los descubrimientos de Libet sugieren que las decisiones tomadas por un sujeto son primero hechas en un universo inconsciente y después son traducidas a una “decisión consciente”, y la creencia del sujeto de que esto ocurrió bajo su voluntad se debe únicamente a la visión retrospectiva del evento. Por otro lado, Libet todavía encuentra espacio en su modelo para el libre albedrío, en la noción del poder del veto: de acuerdo con este modelo, los impulsos inconscientes que ocasionarán un acto voluble pueden ser suprimidos por los esfuerzos conscientes del sujeto. Cabe acotar que esto no significa que Libet crea que las acciones inconscientemente incentivadas necesitan la ratificación de la consciencia, sino que, más bien, la consciencia retiene el poder de negar la actualización de los impulsos inconscientes.[40][41]
Un experimento relacionado, realizado después por el doctor Álvaro Pascual-Leone, se basaba en preguntar a los sujetos qué mano querían mover. Encontró que, estimulando diferentes hemisferios del cerebro usando campos magnéticos, era posible influenciar fuertemente en la escogencia de la mano. Normalmente la gente que opta por la mano derecha escogería mover dicha mano el 60 % del tiempo, pero cuando el hemisferio derecho era estimulado, escogerían la mano izquierda en un 80 % de las situaciones; el hemisferio derecho del cerebro es responsable del lado izquierdo del cuerpo, y viceversa. A pesar de la influencia externa en la toma de decisiones, los sujetos continuaban reportando que creían haber tomado la decisión libremente. El mismo Libet,[42] sin embargo, no interpreta su experimento como experiencia de la ineficacia del libre albedrío consciente —él señala que a pesar de la tendencia que dice que al presionar un botón, y acumular por 500 milisegundos, el consciente retendrá el derecho a vetar esa acción en los últimos milisegundos—. Se puede comparar con un jugador de golf, que puede mover el putter varias veces antes de acertar. Si nos basamos en esto, la acción simplemente recibe una estampa de aprobación en el último milisegundo. También planeando las actividades del día de mañana, o para dentro de una hora, el interruptor de los milisegundos es insignificante.
Puede, o no, ser posible alcanzar una realización científica final involucrando la posibilidad del libre albedrío adentrándonos en los orígenes de nuestros pensamientos conscientes. En el punto de vista científico, toda experiencia consciente es contingente hacia las neuronas —un golpe fuerte en la cabeza puede servir como demostración a este punto, así como casos documentados de lesiones neurológicas.[43] El cerebro consiste en miles de millones de neuronas, con mil billones de conexiones entre ellas. En un nivel bioquímico, la tarea principal de una neurona es propagar impulsos electro-químicos a otras neuronas formando un “circuito integrado” que constantemente recibe información de los sentidos (vista, olor, tacto y gusto) y devolviendo información para controlar músculos y órganos. Solo el 10 % de las neuronas en el sistema nervioso tratan con los impulsos sensoriales y con el control de músculos; las neuronas sobrantes sirven para integrar, refinar y procesar señales de entrada o salida.
La experiencia del libre albedrío es así conceptualizada surgiendo de alguna combinación de estas neuronas, pero ¿cómo llegamos a esta acumulación de neuronas, que son finos hilos de grasa con el potencial de recibir impulsos eléctricos, pueden dar poder a nuestro consciente, emociones y sentimientos? ¿Cómo puede ser que este concepto de “yo” y nuestro libre albedrío puede controlar neuronas y nuestro comportamiento, y el cerebro es meramente una sopa tibia de grasa, colesterol y neurotransmisores? Este misterio sin resolver domina el debate moderno sobre la existencia de nuestra conciencia y la posibilidad del libre albedrío.
Neurociencia
En los años 1970, Libet estuvo involucrado en los estudios de la actividad neural y la "sensación de umbral". Estas investigaciones trataban de determinar la secuencia de activación en sitios específicos del cerebro requerida para desencadenar acciones voluntarias tales como el pulsado de un botón, utilizando equipos electroencefalográficos. Un famoso experimento —luego reproducido muchas veces por otros grupos— demostró que eventos cerebrales inconscientes (observables como potenciales eléctricos, llamados potenciales de preparación [en inglés readiness potential]) realmente preceden en un lapso variable (de 0.3 hasta varios segundos) la sensación consciente de haber tomado una decisión voluntaria en preparación de una acción motora —como el pulsado de un botón—.
Ahora bien conocido en neurología, el llamado 'Bereitschaftspotential' (BP en idioma alemán, 'readiness potential' en inglés), también llamado 'potencial premotor, es una medida de la actividad en el córtex motor y el área motora suplementaria en el cerebro ocupado en la preparación de un movimiento muscular voluntario. Es una manifestación de la contribución cortical al planeamiento del movimiento voluntario. Fue registrado y reportado ya en 1964 por Hans Helmut Kornhuber y Lüder Deecke en la University of Freiburg en Alemania. La publicación completa apareció en 1965 luego de muchos experimentos usados como control.[44]
Estas observaciones indican que los procesos neurológicos inconscientes preceden y potencialmente causan tanto la sensación de haber realizado una decisión por propia voluntad como el mismo acto motor.[45]
La conclusión derivada por Libet de estas observaciones es que los procesos cerebrales determinan las decisiones, luego percibidas como propias subjetivamente por el mismo cerebro a través del fenómeno de la consciencia (awareness). Libet solamente considera como posible la idea de libre albedrío en su noción de veto —la capacidad de la actividad consciente para bloquear o abortar un acto ya iniciado—, bloqueo posible gracias al tiempo restante de algunos cientos de milisegundos entre la percepción subjetiva de la decisión y la ejecución del acto mismo. Aunque el autor no parece adherirse a esta idea. El problema, como señala John N. Gray, es que no podemos saber cuándo utilizamos el veto, por lo que nuestra experiencia subjetiva es siempre ambigua.[46]Neurología y psiquiatría
Hay ciertos desórdenes relacionados con el cerebro que pueden ser denominados como desórdenes del libre albedrío: en el desorden obsesivo-compulsivo un paciente puede sentir una agobiante necesidad de hacer algo en contra de su propia voluntad. Los ejemplos incluyen lavarse las manos varias veces al día, reconociendo el deseo como su propio deseo, aunque parece estar en contra de su propia voluntad. En el síndrome de Tourette y otros parecidos, los sujetos se moverán involuntariamente, desarrollando tics y articulaciones. En el síndrome de la mano ajena, que es también llamado el síndrome del Dr. Strangelove, denominado así por la popular película, las extremidades del paciente harán actos significativos sin la intención del sujeto.
Determinación y comportamiento emergente
En la emergente o filosofía generativa de la ciencia cognitiva y la psicología evolucionista, el libre albedrío es la generación de posibles comportamientos infinitos de la interacción de un grupo de reglas y parámetro finitos. A pesar del impredecible carácter del comportamiento emergente de procesos deterministas que guía a la percepción del libre albedrío, este como una entidad ontológica no existe.
Como una ilustración, los juegos de mesa de estrategia como el ajedrez y el go, son rigurosamente determinados en sus reglas y parámetros expresados en términos de la oposición de las piezas en relación con las demás en el tablero. Aun así, el ajedrez y el go, con sus estrictas y simples reglas, generan una gran variedad de comportamientos impredecibles. Por analogía, los emergentes o generativos sugieren que la experiencia de libre albedrío emerge de la interacción de reglas finitas y parámetros determinados que generan comportamientos infinitos y predecibles. En la vista de la dinámica y psicología y evolución, células autómatas y las ciencias generativas el comportamiento social puede ser controlado como proceso emergente, y la percepción del libre albedrío fuera de la casualidad es esencialmente una prueba de ignorancia.
Libre albedrío en otras especies
En enero de 2011 se publicó en la revista Proceedings of the Royal Society el artículo Hacia un concepto científico de la voluntad libre como un rasgo biológico: acciones espontáneas y toma de decisiones en los invertebrados,[47] en el que se afirma que incluso las moscas de la fruta manifiestan de alguna manera una conducta con libre albedrío. Su autor, Björn Brembs, afirma que el comportamiento de las moscas, pese a no ser completamente libre, no está completamente constreñido. El trabajo aporta evidencia obtenida de cerebros de moscas, considerablemente más pequeños que el nuestro y que, sin embargo, parecen estar dotados de flexibilidad en la toma de decisiones. El científico se atreve a señalar que la capacidad de elegir entre diferentes opciones de comportamiento, incluso en la ausencia de diferencias en el medio ambiente, sería una capacidad común a la mayoría de los cerebros, si no de todos, por lo que los animales más simples no serían autómatas totalmente predecibles.[48]
Física cuántica
El pensamiento científico temprano a menudo describía el universo como determinista, por ejemplo, en el pensamiento de Demócrito o los Chárvaka, y algunos pensadores afirmaban que el simple proceso de recopilar suficiente información les permitiría predecir eventos futuros con perfecta precisión. La ciencia moderna, por otro lado, es una mezcla de teorías deterministas y estocásticas.[49] La mecánica cuántica predice eventos solo en términos de probabilidades, lo que arroja dudas sobre si el universo es determinista en absoluto, aunque la evolución del vector de estado universal es completamente determinista. Las teorías físicas actuales no pueden resolver la cuestión de si el determinismo es cierto en el mundo, ya que están muy lejos de una Teoría del todo potencial y están abiertas a muchas interpretaciones diferentes.[50][51]
Suponiendo que una interpretación indeterminista de la mecánica cuántica es correcta, todavía se puede objetar que tal indeterminismo se limita a todos los propósitos prácticos a los fenómenos microscópicos.[52] Este no es siempre el caso: muchos fenómenos macroscópicos se basan en efectos cuánticos. Por ejemplo, algunos dispositivos generadores de números aleatorios por hardware funcionan amplificando los efectos cuánticos en señales prácticamente utilizables. Una pregunta más significativa es si el indeterminismo de la mecánica cuántica permite la idea tradicional de libre albedrío (basada en una percepción de libre albedrío). Sin embargo, si la acción de una persona es solo el resultado de una completa aleatoriedad cuántica, los procesos mentales experimentados no tienen influencia en los resultados probabilísticos (como la volición).[53] Según muchas interpretaciones, el no determinismo permite que exista el libre albedrío,[54] mientras que otros afirman lo contrario (porque la acción no era controlable por el ser físico que afirma poseer el libre albedrío).[55]
Filosofía oriental
En la filosofía hindú
Como ha sido resumido por Swami Vivekananda: «La mente es una parte integral de la naturaleza que está unida por la ley de la causalidad. Ya que la mente está unida por una ley, ésta no puede ser libre. La ley de la causa aplicada a la mente, se llama Karma». El filósofo del Advaitin Chandrashekhara Bharati Swaminah dice en un diálogo grabado en el libro Diálogos con el Gurú por R. Krishnaswami Aiyar, Chetana Limited, Bombay, 1957:[56]
«El destino es el Karma pasado, el libre albedrío es el Karma presente. Los dos son realmente uno, que es el Karma, aunque ellos puedan diferir en la materia del tiempo. No puede haber conflicto cuando ellos son realmente uno.»Chandrashekhara Bharati Swaminah en Diálogos con el Gurú
A una cuestión en la que uno debería resignarse al destino, el Swaminah responde que de hecho uno debería dedicarse al libre albedrío y elaborarlo:
«El destino, como yo te dije es el resultado del ejercicio pasado de tu libre albedrío. Al ejercitar tu libre albedrío en el pasado, tú trajiste el destino resultante. Al ejercitar tu libre albedrío en el presente, quiero que elimines tu pasado si te duele, o añadirlo si lo encuentras agradable. En cualquier caso bien sea para adquirir más felicidad o reducir la miseria, tu tienes que ejercitar tu libre albedrío en el presente.»Chandrashekhara Bharati Swaminah en Diálogos con el Gurú
En la filosofía hindú, no hay un conflicto entre el destino y libre albedrío, ya que las dos son formas del karma del individuo.
En la filosofía budista
Thanissaro Bhikkhu enseñó: «Las enseñanzas de Buda sobre el Karma son interesantes porque es una combinación de causalidad y libre albedrío. Si las cosas fuesen totalmente causadas no habría manera para desarrollar una habilidad —tus acciones serían totalmente predeterminadas. Si no hubiese causalidad, todas las habilidades serían inútiles porque las cosas estarían constantemente cambiando sin rima o razón entre ellas. Pero es precisamente por la existencia de un elemento de causalidad y otro de libre albedrío, que tu puedes desarrollar habilidades en tu vida. Te preguntas: ¿Qué está involucrado en el desarrollo de una habilidad? —esto significa ser sensible a tres cosas básicamente: 1) Es un ser sensible a las causas provenientes del pasado, 2) Es un ser sensible a lo que estás haciendo en el momento presente, y 3) Es un ser sensible a los resultados de lo que estás haciendo en el momento presente —como se unen estas tres cosas».
En la teología
La doctrina teológica de la divina sabiduría se dice que está frecuentemente en conflicto con el libre albedrío. Después de todo, si Dios sabe exactamente que pasará, exactamente todas las acciones que cada uno hará, el estatus de las opciones libres se cuestionan. Dios ya sabe por adelantado la verdad sobre las opciones de uno, lo cual limita nuestra libertad. Este problema se relaciona con el problema Aristotélico de la batalla marina: mañana habrá o no una batalla marina. Si hubiese una, entonces era verdad que ayer habría una. Entonces sería necesario que la batalla ocurriera. Si no hubiese una, entonces por razonamiento similar, es necesario que no ocurriera. Esto implica que el futuro, sea lo que sea, está totalmente regido por verdades pasadas —verdaderas propuestas sobre el futuro. De todas formas, algunos filósofos sostienen que la necesidad y la posibilidad son definidas respecto a un punto en el tiempo y una matriz dada de circunstancias empíricas, entonces algo que es meramente posible desde la perspectiva de un observador pueden ser necesarias desde la perspectiva de un omnisciente. Algunos filósofos creen que el libre albedrío es equivalente a tener un alma, y por eso, de acuerdo con aquellos que afirman que los animales carecen de alma, los mismos no poseen libre albedrío. La filosofía judía remarca que el libre albedrío es un producto de la intrínseca alma humana, utilizando la palabra neshama, procedente de la raíz judía nshm נשמ que significa “aliento”.
En el cristianismo

En la teología cristiana, Dios es descrito no solamente como alguien omnisciente, sino que además es omnipotente; un hecho que mucha gente, cristianos y no-cristianos también, opinan que implica que no solamente Dios siempre ha sabido qué decisiones tomará cada uno mañana, sino que además ya ha determinado esas decisiones. Eso es, creen ellos, que por la virtud de su conocimiento, Él sabe que influenciará las decisiones individuales, y con la virtud de su omnipotencia, Él controla esos factores. Esto se vuelve especialmente importante para las doctrinas relacionadas con la salvación y la predestinación. Otras ramas, como los Metodistas, creen que mientras Dios es omnipotente y conoce las decisiones que los individuos van a tomar, Él todavía da el poder a los individuos para escoger o rechazarlo todo, sin importar las condiciones externas o internas relacionadas con la decisión. Por ejemplo, cuando Jesús fue clavado a la cruz, los dos asesinos, uno de cada lado, estaban a punto de morir. Solamente uno pidió a Jesús el perdón, mientras que el otro, incluso al borde de la muerte y sin nada que perder, decidió burlarse de él. En el punto de vista de los metodistas y otros que creen en el albedrío, esto fue la elección entre la vida y la muerte eterna.
Quienes proponen el “libre albedrío”, defienden el hecho de que el conocimiento de un suceso por venir es enteramente diferente a causar el suceso. Quienes proponen el "determinismo" estarían de acuerdo, pero cuestionarían si el conocimiento del futuro sería posible sin la presencia de una causa determinante (ver Boettner, más abajo). Aun así, la definición de la predestinación varía entre los cristianos.
En el calvinismo
A partir de la obra de Juan Calvino, La Institución de la Religión Cristiana, los calvinistas divulgan la idea de que Dios, en su soberanía, decidió quién iba a ser salvado desde antes de la Creación como está escrito en el Sínodo de Dort, convocado por la Iglesia reformada neerlandesa en 1619.
Los calvinistas al igual que los luteranos niegan el libre albedrío concluyendo que la voluntad humana, en vez de ser amo de sus propios actos, está rígidamente predeterminada en todas sus opciones a lo largo de su vida. Como consecuencia, el hombre está predeterminado desde antes de su nacimiento al eterno premio o castigo de tal manera que no puede haber tenido nunca real libre poder sobre su propio destino. Lutero abiertamente sostenía que el libre albedrío es un mito, un nombre que no encubre ninguna realidad, pues no está en poder del hombre concebir el bien o el mal, ya que los eventos ocurren por necesidad.[57]
Estos citan Efesios 1-4: «En Cristo Dios nos eligió antes de la creación del mundo, para estar en su presencia sin culpa ni mancha». Uno de los más fuertes defensores de este punto de vista fue el predicador puritano-americano y teólogo Jonathan Edwards.
Edwards creía que la indeterminación era incompatible con la dependencia del individuo a Dios y su soberanía. Pensaba que si las respuestas de los individuos eran causalmente libres, entonces su salvación depende parcialmente en ellos y la soberanía de Dios no es “absoluta y universal”. El libro de Edwards, Libertad del albedrío, defiende la determinación teológica. En este libro, Edwards intenta demostrar que la liberalidad es incoherente. Por ejemplo, él dice que a través de la “determinación propia” el libertario manifiesta que las acciones propias son precedidas por un acto de libre albedrío o que los actos propios carecen de causas suficientes. La primera afirmación nos guía a un infinito regreso mientras que la segunda implica que los acciones propias ocurren por accidente y no puede hacer a alguien “mejor o peor, así como un árbol es mejor que otros árboles porque periódicamente es alumbrado por un cisne o una luciérnaga; o una roca más viciosa que otras rocas, porque las serpientes se han enrollado bajo ella más seguidos”.[58]
Sin embargo, no debería ser considerado que este punto de vista niega completamente el libre albedrío. Afirma que el hombre es libre de actuar de acuerdo con sus impulsos morales y deseos, pero que no es libre de actuar en su contra o cambiarlos. Quienes proponen, como John L. Girardeau, han indicado en sus creencias en que la neutralidad moral es imposible; que aún de ser posible, y que uno fuese adepto a ideas contrarias, uno no podría tomar decisión alguna; si uno, por otro lado, se inclina levemente hacia una opción, se escogerá esa sobre las otras.
Cristianos no-calvinistas intentan una reconciliación con los conceptos duales de predestinación y libre albedrío al señalar la situación de Dios como Cristo. Al tomar la forma de un hombre, un elemento necesario en este proceso es que Jesús vivió en la forma de un mortal. Cuando Jesús nació, no fue creado por el poder omnisciente de Dios el Creador, sino con la mente de un niño —aun así, era todavía completamente Dios—. El precedente que esto crea es que Dios es capaz de abandonar sabiduría, o ignorarla, mientras siga siendo Dios. Aunque esto no es inconcebible, y aunque la omnisciencia, y que Dios sabe cual es el futuro que le espera a los individuos, el cual está en poder de negar este conocimiento en orden de preservar el libre albedrío individual.
Sin embargo, una reconciliación más compatible con la teología no-calvinista establece que Dios es, de hecho, ignorante de los eventos futuros, pero, siendo eterno, está fuera del tiempo y del pasado, presente y futuro como una sola creación. Consecuencialmente no se cree que Dios sabría que Jeffrey Dahmer iba a ser culpable de homicidio años antes del evento, pero que Dios era consciente de ello por toda la eternidad, viendo todo el tiempo como un presente único. Esta era el punto de vista ofrecido por Boecio en el libro V de su "Consolación de la filosofía”.
Loraine Boettner difería acerca de la doctrina de pre-conocimiento divino y que este no escapaba de los alegados problemas de pre-ordenación. Escribió que “Lo que Dios más sabe de antemano, en la propia naturaleza del caso, es tan arreglado y certero como lo que está preordenado; y si uno es inconsistente con la agencia libre del hombre, el otro también lo es. La preordenación predice los eventos certeros, mientras que el preconocimiento presupone que ellos si son certeros”. Algunos cristianos teólogos, sintiendo la mordida de este comentario, optaron por limitar la doctrina del preconocimiento no haciéndolo todo junto, sino que formando una nueva escuela de pensamiento, similar al socinianismo y la teología del proceso, llamado Teísmo Abierto.
En el arminianismo

La oposición a la teología y soteriología calvinistas en Países Bajos se fortaleció a partir de la obra de Jacobus Arminius, profesor de la Universidad de Leiden. Después de su muerte, sus seguidores encabezados por Simón Episcopius escribieron el manifiesto Remonstrance, el cual sostenía cinco puntos:
- La Caída del Hombre: La humanidad ha caído en el pecado, pero, Dios ha determinado salvar a través de Jesucristo aquellos pecadores que por la gracia del Espíritu Santo creen en Él, pero deja en pecado al incorregible y el incrédulo que se resiste a la gracia.
- La expiación: Cristo murió por toda la especie humana (1Timoteo 2:3-4, pero nadie excepto el que cree tiene remisión de pecado, Juan 3:15-18, Marcos 16:16).
- La Salvación: El hombre no puede de sí mismo ni de su propia voluntad hacer nada verdaderamente bueno hasta que haya nacido de nuevo por Dios, en Cristo, por medio del Espíritu Santo.
- La Gracia de Dios: Toda buena obra o movimiento en el regenerado debe ser adjudicada a la gracia de Dios, pero su Gracia no es irresistible.
- El Final de los creyentes: Aquellos que son incorporados en Cristo por medio de la fe verdadera, se les ha dado el poder por medio de la ayuda y la gracia del Espíritu Santo para perseverar en la fe. Pero es posible para el creyente caer de la gracia (Mateo 24:9-13, Marcos 13:13, Lucas 21:19).
Antes de Arminius, Menno Simons había escrito y polemizado contra la doctrina de la predestinación y sostenido que Dios ha dejado vida y muerte a nuestra elección deuteronomio 29:15-20) y no quiere que nadie perezca, sino que todos se arrepientan, vayan al conocimiento de la verdad y sean salvos (2Pedro 3:9, Ezequiel 33:10-20). Así, los menonitas holandeses encontraron afinidades con los arminianos tanto en su rechazo a la persecución religiosa, como en la oposición a la concepción calvinista de la predestinación. Los bautistas John Smyth y Thomas Helwys, exiliados en Ámsterdam entre 1606 y 1612 fueron influenciados por el arminianismo y sus seguidores son hoy conocidos como Bautistas Generales, por su convencimiento de que Jesús murió para salvar a todos los hombres que crean en Él.
Los metodistas, como su fundador John Wesley, defendieron los criterios arminianos creen que mientras Dios es omnipotente y conoce las decisiones que los individuos van a tomar, Él todavía le da el poder a los individuos para escoger o rechazarlo todo, sin importar las condiciones externas o internas relacionadas con la decisión. Por ejemplo, cuando Jesús fue clavado a la cruz, los dos asesinos, uno de cada lado, estaban a punto de morir. Solamente uno pidió a Jesús el perdón, mientras que el otro, incluso al borde de la muerte y sin nada que perder, decide burlarse del mismo. En el punto de vista de los Metodistas y otros que creen en el libre albedrío, esto fue la escogencia entre la vida y la muerte eterna.
También fue adoptada la teología arminiana en el siglo XIX por el movimiento restauracionista de los Discípulos de Cristo e Iglesias de Cristo. Actualmente las tesis arminianas han llegado a tener aceptación entre cristianos de diferentes denominaciones de varios países.
En el catolicismo

Teólogos de la Iglesia católica abrazan la idea del albedrío, pero generalmente no ven el libre albedrío existiendo aparte o contradiciendo la Gracia divina. San Agustín de Hipona y santo Tomás de Aquino escribieron extensamente sobre el libre albedrío, con Agustín concentrándose en la importancia del libre albedrío en su respuesta a los maníqueos, y también en las limitaciones de un concepto de libre albedrío ilimitado como negación de gracia, en sus refutaciones de Pelagio. El énfasis del catolicismo cristiano en el libre albedrío y gracia es generalmente contrastado con la predestinación de la cristiandad protestante especialmente después de la contrarreforma, pero entender conceptos que difieren acerca del libre albedrío, es tan importante como entender los diversos conceptos de la naturaleza de Dios, centrándose en la idea en que Dios puede ser todopoderoso y omnisapiente, aunque la gente continúe ejercitando el libre albedrío, ya que Dios no existe en el tiempo.
Tomás de Aquino veía a los humanos como preprogramados (en virtud de ser humanos) para buscar ciertas metas, pero capaces de elegir entre rutas para lograr estas metas (nuestro telos aristotélico). Su punto de vista se ha asociado tanto con el compatibilismo como con el libertarismo.[59][60] Al enfrentar las elecciones, argumentó que los humanos están gobernados por el intelecto, la voluntad y las pasiones. La voluntad es "el motor primario de todos los poderes del alma [...] y también es la causa eficiente del movimiento en el cuerpo".[61] El libre albedrío entra de la siguiente manera: el libre albedrío es un "poder apetitivo", es decir, no un poder cognitivo del intelecto (el término "apetito" de la definición de Aquino "incluye todas las formas de inclinación interna").[62] Afirma que el juicio "concluye y termina el consejo. Ahora bien, el consejo se termina, primero, por el juicio de la razón; en segundo lugar, por la aceptación del apetito [es decir, el libre albedrío]".[63]
El Concilio de Trento declaró que el libre albedrío del hombre, movido y animado por Dios, puede por su consentimiento cooperar con Dios, quien anima e invita su acción; y que por ello puede disponerse y prepararse para obtener la gracia de justificación. La voluntad puede resistirse a la gracia de Dios si así elige. No es como una cosa inanimada que permanece puramente pasiva. Aún debilitado y disminuido por la caída de Adán, el libre albedrío no es destruido en la carrera (Sesión VI, cap. I y V).[64]
En la ortodoxa oriental
El concepto de libre albedrío será también muy importante en las iglesias ortodoxas, particularmente en las orientales ortodoxas, y muy especialmente en las afiliadas al Cóptico. Muy similar al concepto del judaísmo, el libre albedrío es tratado como axiomático. Todos poseen un libre albedrío que seguirá siguiendo su consciencia y arrogancia, ambas siendo parte del individuo. Mientras uno más sigue la consciencia, se obtienen mejores resultados, y mientras uno más siga la arrogancia, peores serán los resultados. Seguir la arrogancia propia es a veces comparado con los peligros de caer en un hueco al caminar en oscuridad, sin la luz de la conciencia que ilumina el camino. Doctrinas muy similares han también encontrado expresión escrita en el “manual de Disciplina” de los Manuscritos del Mar Muerto, y en algunos textos religiosos baja la posesión de los judíos Beta Israel de Etiopía.
En la Iglesia de Jesucristo de los santos de los últimos días [cita requerida]
Los miembros de la Iglesia de Jesucristo de los santos de los últimos días creen que Dios le ha dado a todos los humanos el regalo del albedrío, siendo la meta última retornar a su presencia. David O. McKay, anterior profeta y presidente de la Iglesia, comunicó: “es el propósito del Señor que el hombre se convierta a su imagen y semejanza. Para que el hombre lo logre fue necesario para el Creador hacerlo primero libre”.
Con respecto al conflicto albedrío y predestinación, los santos de los últimos días opinan que Dios preordenó al hombre en particulares estaciones de la vida, en orden de avanzar Su plan para guiar a la humanidad de vuelta a Su presencia. Estas preordenanzas no eran decretos inalterables, sino llamadas de Dios para que el hombre realizara misiones específicas en su mortalidad. Los hombres son responsables por su propio destino, a pesar de su fe y obediencia a los mandamientos de Dios.
El “albedrío” entonces no debería ser interpretado como las acciones sin consecuencias; significa que es un don de Dios y las consecuencias deben venir necesariamente como resultado de las decisiones hechas. Aun así el albedrío y la contabilidad son complementarias y no pueden ser separadas.
Una diferencia grande, y un punto de vista clave para el entendimiento del albedrío de los santos de últimos días, entre los cristianos comunes y los santos de últimos días involucra la creencia en una vida antes de la inmortalidad. Los miembros de la Iglesia de Jesucristo de los santos de los últimos días creen que antes que la tierra fuese creada toda la humanidad vivía en una vida preexistente como hijos espirituales de Dios, citando a hebreos 12:9. Aquí Dios, su Padre, nutrió, enseñó y vio los medios para su desarrollo, pero nunca los robó de su albedrío, citando a doctrina y convenios 29:35. En este estado persistente ellos podían aprender, escoger, crecer, retroceder, como en la tierra. Esta preparación les permitiría volverse los hombres y mujeres de la tierra, y ser educados posteriormente y probados en la escuela de la inmortalidad para retornar a la presencia de Dios y volverse como Él.
Aun así se cree que la vida preexistente ha sido un período infinitamente largo de probación, progresión y escuela. Algunos de los hijos espirituales de Dios ejercitaron tanto su albedrío que se conformaron con la ley de Dios y se convirtieron en “nobles y grandes”. Estos fueron preordenados antes de sus nacimientos mortales para realizar grandes visiones para el Señor en esta vida, como fue descrito en el Abraham en los versos 3:22-28. Pero incluso éstos, quienes fueron preordenados para la grandeza podían caer y transgredir las leyes de Dios. Por lo tanto, la mortalidad es simplemente un estado donde la progresión y la probación son continuados así como comenzó en la preexistencia. Sin su albedrío la mortalidad sería inútil.[cita requerida]
En la nueva iglesia
La Nueva Iglesia swedenborguiana, fundada sobre los escritos de Emanuel Swedenborg, enseña que cada persona tiene completa libertad para escoger el cielo o el infierno. Swedenborg afirma que si Dios es el Amor mismo, la gente debe tener libre albedrío. Si Dios es Amor, entonces Él no desea daño a nadie: así que es imposible que Él predestine a cualquier persona al infierno. Por otro lado, si Dios es Amor, entonces Él debe amar cosas fuera de si; si la gente no tiene la libertad para escoger el mal como serán simples extensiones de Dios, y el no podrá amarlo como algo fuera de sí. Además, Swedenborg deja en claro que si una persona no tiene libre albedrío para escoger la bondad y la fe, entonces todos los mandamientos de la Biblia para amar a Dios y al prójimo no tienen valor, ya que nadie puede escoger hacerlos —y es imposible que un Dios que es Amor y sabiduría enseñe mandamientos inconclusos.[cita requerida]
En el judaísmo
La creencia del libre albedrío (hebreo: bejirá jofshith בחירה חפשית, bejirá בחירה) es axiomática en el pensamiento judío, y está conectada muy de cerca con el concepto de premio y castigo, basado en la Torá. El Versículo 30:19 del Deuteronomio dice “Yo (Dios) te he dado vida y muerte, bendición y maldición: escoge vida”. El libre albedrío es entonces discutido largamente en la filosofía judía, primariamente como el objetivo de Dios en la creación, y después resultando en una paradoja.

Las enseñanzas tradicionales sobre la creación, particularmente influenciado por el misticismo judío, son que “este mundo es como un pasillo para el Mundo Venidero” (Pirkei Avoth 4:16). «El hombre fue creado con el solo propósito de regocijar a Dios, y derivando el placer del esplendor de Su presencia… el lugar donde esta alegría se dará es en el Mundo Venidero, que fue creado expresamente para esto; pero el camino al objeto de nuestros deseos es este mundo». (Moshe Jaim Luzato, Mesillat Yesharim, Cap.1).
El libre albedrío es requerido en la justicia de Dios, «de otra manera, el Hombre no obtendría ni rechazaría actos de bondad sobre los cuales él no tendría control».[65] Es entendido posteriormente que para que el Hombre pueda tener un libre albedrío verdadero, no debe tener solamente esto internamente, sino también un ambiente que permita una decisión entre obediencia y desobediencia. Dios, así, creó el mundo para que bien y mal puedan operar libremente;[65] esto es el significado de la máxima rabínica, «todo está en las manos del cielo menos el miedo al cielo» (Talmud, Berachot 33b).
En la literatura rabínica, hay mucha discusión entre la omnisciencia de Dios y el libre albedrío. La visión representativa es que “todo está previsto; aun así, el libre albedrío es dado”. (Rabí Akiva, Pirke Avot, 3:15). Basado en el entendimiento, el problema es descrito como una paradoja, más allá de nuestro entendimiento.
«El Sagrado, Bendito sea, sabe todo lo que pasará antes de que haya pasado. ¿Sabrá Dios si una persona particular será buena o mala, o no lo sabrá?, si Él lo sabe, será imposible para esa persona no ser buena, y así demuestra que no conoce todo lo que Él ha creado… El Sagrado, Bendito sea, no tiene temperamentos y está fuera de dichos ambientes, a diferencia de la gente, cuyos seres y temperamentos son dos cosas separadas. Dios y sus temperamentos son uno, y la existencia de Dios está más allá de la comprensión del hombre… No tenemos las capacidades de comprender cómo El Sagrado, Bendito Sea, conoce todos los eventos y su creación. [Sin embargo] se sabe sin duda que la gente hace lo que quiere sin El Sagrado, Bendito Sea, forzándolos a hacer algo… Es dicho por esto que un hombre es juzgado de acuerdo a sus acciones». (Maimonides, Mishne Torá, Teshuva 5:5).
La paradoja es explicada, pero no resuelta, al observar que Dios existe fuera del tiempo y por lo tanto, su conocimiento del futuro es exactamente el mismo conocimiento del pasado y del presente.[65] Así como su conocimiento del pasado no interfiere con el libre albedrío del hombre, tampoco en un futuro. Una analogía es aquella del viaje en el tiempo: El viajero del tiempo, habiendo regresado del futuro, sabe previamente lo que alguien hará, pero mientras él sabe esto, este conocimiento no causa la acción del sujeto; el sujeto tuvo libre albedrío incluso cuando el viajero del tiempo tuvo un conocimiento previo. Esta distinción entre conocimiento previo y predestinación, es discutido por la crítica de Maimonides Abraham Ibn Daud; véase Hasagat HaRABaD ad loc.
Aunque lo previo representa la vista mayoritaria en el pensamiento rabínico, hay muchos grandes pensadores que resuelven la paradoja al excluir explícitamente el divino conocimiento previo. Ambos, Saadia Gaon y Judah ha-Levi mantienen que “las decisiones del hombre preceden al conocimiento de Dios”. Gersónides sostiene que Dios sabe, de antemano, las decisiones abiertas a cada individuo, pero no conoce que decisión el individuo en su libertad tomará.
Isaiah Horowitz toma el punto de vista de que Dios no puede saber cuáles elecciones morales tomarán las personas, pero que, sin embargo, no deteriora su perfección.
La existencia del libre albedrío y la paradoja descrita anteriormente está ligada cercanamente al concepto de Tzimtzum. Tzimtzum apoya la idea de que Dios “contrajo” su esencia infinita, para permitir la existencia de un “espacio conceptual”, en el cual un mundo finito, independiente pudiese existir. Esta “constricción” hizo posible al libre albedrío, y seguidamente el potencial para heredar el potencial y el Mundo Venidero. Más allá, de acuerdo con la primera aproximación, está entendido que la paradoja de la omnisciencia del libre albedrío provee un plano temporal paralelo a la paradoja inherente dentro de Tzimtzum.
En la garantía del libre albedrío, Dios, de alguna manera ha “disminuido” su conocimiento previo para permitir la acción independiente del hombre; Él posee su conocimiento previo y aun así el libre albedrío existe. En el caso de Tzimtzum, Dios ha contraído su esencia para permitir la existencia independiente del hombre; aun así es atractivo y trascendente.
En el pensamiento judío, el libre albedrío es todavía discutido en conexión con la Teología Negativa, la Divina Simplicidad y la Divina Providencia así como los principios judíos de la fe en general.
En el islam
El islam enseña: «Dios es omnisciente y omnipotente; lo ha sabido todo por la eternidad». Pero aún, hay una tradición de albedrío para que el hombre reconozca la responsabilidad de sus acciones, la cual ha sido extraída del Corán.
Así está escrito en el Corán: «Nadie cargará el peso de otro».
El albedrío es la base sobre la cual uno puede ser castigado o recompensado en la vida posterior.
Encuestas acerca del libre albedrío
Entre filósofos
Una encuesta de 2009 mostró que el compatibilismo es una postura bastante popular entre quienes se especializan en filosofía (59 %). La creencia en el libertarismo ascendió al 14 %, mientras que la falta de creencia en el libre albedrío llegó al 12 %. Más de la mitad de las personas encuestadas eran estadounidenses.[66]
Entre los biólogos evolutivos
El 79 % de los biólogos evolucionistas dijeron que creen en el libre albedrío según una encuesta realizada en 2007, solo el 14 % eligió no tener libre albedrío y el 7 % no respondió la pregunta.[67]
En la cultura popular
Una de las más famosas historias del libre albedrío es el relato de Frank R. Stockton de 1882 titulado ¿La Dama o el Tigre?, en la que la protagonista se somete a una difícil decisión. En el relato de ciencia ficción de Larry Niven Todos los caminos de la miríada lleva la teoría del libre albedrío de los universos múltiples a un "reductio ad absurdum".[cita requerida]
Tanto en la trilogía de The Matrix como en la película The Devil's Advocate existen muchas referencias al libre albedrío y a la importancia de hacer nuestras propias elecciones. En Bruce Almighty al personaje principal, Bruce Nolan (Jim Carrey), le fueron dados los poderes de Dios por un determinado período con la advertencia de que «no podía interferir con el libre albedrío». En la película Donnie Darko, el personaje principal puede ver lo que Dios planifica que la gente haga, una implicación del pensamiento cristiano del libre albedrío.[cita requerida]
En los videojuegos de la serie Legacy of Kain, uno de los personajes principales, Raziel, es el único con libre albedrío. Todos los demás son dominados por la Rueda del Destino y sus líneas del tiempo fueron escritas desde el principio hasta el final mientras Raziel tenía oportunidad de cambiar su línea de tiempo como él eligiese usando varias máquinas del tiempo.[cita requerida]
Véase también
- anarcocristianismo
- argumento del libre albedrío
- azar
- conciencia
- Daniel Dennett
- determinismo
- determinismo científico
- Gödel, Escher, Bach
- libertad
- libre albedrío en la antigüedad
- librepensador
- paradoja de Newcomb
- predestinación
- problema del mal
- socialismo cristiano
- Baruch Spinoza
- teleología
- temperamento
- teodicea
Referencias
- ↑ Etimología de albedrío (:-) Consultado lunes 20 de agosto de 2018
- ↑ [http://etimologias.dechile.net/?a.rbitro Etimología de árbitro (Consultado lunes, 20 de agosto de 2018)
- ↑ Garofalo, A. (2009). La idea del “libre albedrío” como relativa capacidad de elegir, en los Diálogos de Gregorio Magno (siglos VI-VII) (segundo párrafo, página 3) http://www.aacademica.org/000-008/990.pdf (Consultado lunes, 20 de agosto de 2018)
- ↑ Ferrater Mora, J.. (2001). Diccionario de filosofía, . Represión.
- ↑ Lawhead, Willaim F. The Philosophical Journey: An Interactive Approach McGraw-Hill Humanities/Social Sciences/Languages p. 252 (inglés)
- ↑ Ibid. p. 254
- ↑ Lawhead, Willaim. The Philosophical Journey: An Interactive Approach McGraw-Hill Humanities/Social Sciences/Languages p. 255
- ↑ a b Vihvelin, Kadri, "Arguments for Incompatibilism", The Stanford Encyclopedia of Philosophy (Winter 2003 Edition), Edward N. Zalta (ed.), (en línea)
- ↑ Bardon, Adrian; Dyke, Heather (2 de noviembre de 2015). A Companion to the Philosophy of Time (en inglés). John Wiley & Sons. p. 2. ISBN 978-1-119-14569-1. Consultado el 16 de marzo de 2020.
- ↑ Savitt, Steven (2017). Zalta, Edward N., ed. Being and Becoming in Modern Physics (Fall 2017 edición). The Stanford Encyclopedia of Philosophy. Consultado el 16 de marzo de 2020.
- ↑ «Classical Wisdom Standoff: Heraclitus vs. Parmenides (part 3)». Classical Wisdom Weekly (en inglés estadounidense). 27 de mayo de 2013. Consultado el 16 de marzo de 2020.
- ↑ Suppes, P., 1993, “The Transcendental Character of Determinism,” Midwest Studies in Philosophy, 18: 242-257.
- ↑ a b «Titus Lucretius Carus». www.informationphilosopher.com. Consultado el 19 de abril de 2021.
- ↑ a b «Aristotle». www.informationphilosopher.com. Consultado el 8 de noviembre de 2019.
- ↑ «Lucretius, De Rerum Natura, BOOK II, line 216». www.perseus.tufts.edu. Consultado el 10 de octubre de 2022.
- ↑ Nozick, Robert (1981). Philosophical Explanations (en inglés). Harvard University Press. ISBN 978-0-674-66479-1. Consultado el 27 de agosto de 2020.
- ↑ Randolph, Clarke (2008). «Incompatibilist (Nondeterministic) Theories of Free Will». En Edward N. Zalta, ed. The Stanford Encyclopedia of Philosophy (Fall 2008 edición).
- ↑ «The ‘Free Will Problem’». A Philosopher's Take (en inglés). 13 de agosto de 2012. Consultado el 21 de enero de 2020.
- ↑ «Free will - Sam Harris.pdf». www.docdroid.net (en inglés). Archivado desde el original el 28 de febrero de 2019. Consultado el 27 de febrero de 2019.
- ↑ «Free Will Quotes by Sam Harris». www.goodreads.com. Consultado el 27 de febrero de 2019.
- ↑ Gilson, Etienne (27 de diciembre de 2018). John Duns Scotus: Introduction to His Fundamental Positions (en inglés). Bloomsbury Publishing. p. 464. ISBN 978-0-567-67869-0. Consultado el 21 de agosto de 2020.
- ↑ «Juan Duns Escoto - Diccionario filosófico · 1965:129». www.filosofia.org. Consultado el 21 de agosto de 2020.
- ↑ Jolley, Nicholas (30 de abril de 2015). Locke's Touchy Subjects: Materialism and Immortality (en inglés). OUP Oxford. ISBN 978-0-19-105688-8. Consultado el 16 de marzo de 2020.
- ↑ Spinoza, Baruch, Ethics, Book III, page 2, note; Book II, page 48; Book I, apéndice.
- ↑ Durant, Will, The Story of Philosophy, pag 136.
- ↑ Schopenhauer, Arthur, The Wisdom of Life, p 147
- ↑ El mundo como voluntad y representación, Libro II, Sección 23, p. 78 Traducción, introducción y notas de Pilar López de Santa María.
- ↑ Zorrilla, Natalia Lorena (18 de junio de 2016). «FATALISMO Y AZAR EN EL SYSTÈME DE LA NATURE DE D’HOLBACH». Praxis Filosófica Nueva Serie (42): 182. ISSN 2389-9387. doi:10.25100/pfilosofica.v0i42.3172. Consultado el 16 de marzo de 2020.
- ↑ Van Inwagen, Peter (1983). An Essay on Free Will (en inglés). Clarendon Press. ISBN 9780198249245. Consultado el 22 de mayo de 2016.
- ↑ Immanuel Kant: Crítica de la razón pura.
- ↑ a b Bobzien, Susanne (2000). «Did Epicurus Discover the Free-Will Problem?». Oxford Studies in Ancient Philosophy 19: 287-337. Consultado el 6 de marzo de 2020.
- ↑ «Chrysippus». www.informationphilosopher.com. Consultado el 8 de noviembre de 2019.
- ↑
Qué es libertad. LIBERTAD significa, propiamente hablando, la ausencia de oposición (por oposición significo impedimentos externos al movimiento); puede aplicarse tanto a las criaturas irracionales e inanimadas como a las racionales. [...] De acuerdo con esta genuina y común significación de la palabra, es un HOMBRE LIBRE quien en aquellas cosas de que es capaz por su fuerza y por su ingenio, no está obstaculizado para hacer lo que desea.Leviatán, Capítulo XXI: De la "libertad" de los súbditos
- ↑ a b Russell, Paul (2020). Zalta, Edward N., ed. Hume on Free Will (Summer 2020 edición). The Stanford Encyclopedia of Philosophy. Consultado el 27 de agosto de 2020.
- ↑ Daniel Dennett: Elbow Room: The Varieties of Free Will Worth Wanting, 1984, Cambridge, MA: Bradford Books/MIT Press ISBN 0-262-54042-8.
- ↑ a b Crelier, Andrés (2011-12). «The Kantian Moral Reflection And the Problem of Duty Conflicts». Praxis Filosófica (33): 11-21. ISSN 0120-4688. Consultado el 27 de agosto de 2020.
- ↑
“¿A qué hombre considerarías superior a aquel […] que se burla del destino, considerado por algunos señor absoluto de todas las cosas, afirmando que algunas suceden por necesidad, otras casualmente; otras, en fin, dependen de nosotros, porque se da cuenta de que la necesidad es irresponsable, el azar inestable, y, en cambio, nuestra voluntad es libre, y, por ello, digna de merecer repulsa o alabanza?”.Epicuro, Carta a Meneceo
- ↑ O'Keefe, Tim (28 de julio de 2005). Epicurus on Freedom. Cambridge University Press. p. 153. ISBN 978-1-139-44624-2.
- ↑ a b «Hume's Compatibilism». www.webpages.uidaho.edu. Consultado el 27 de agosto de 2020.
- ↑ Mind time: the temporal factor in consciousness, Benjamin Libet, 2004, ISBN 0-674-01320-4
- ↑ Perros de paja: reflexiones sobre los humanos y otros animales (2002), John N. Gray, Paidós, 2003, ISBN 84-493-1457-7, pág. 63
- ↑ Libet, (2003). "Can Conscious Experience affect brain Activity?", Journal of Consciousness Studies 10, nr. 12, pp 24 - 28.
- ↑ Wegner, D. (2002). The Illusion of Conscious Will. Cambridge: Bradford Books.
- ↑ Kornhuber, H.H.; Deecke, L. (1965). Hirnpotentialänderungen bei Willkürbewegungen und passiven Bewegungen des Menschen: Bereitschaftspotential und reafferente Potentiale. Pflügers Arch 284: 1–17 "Citation Classic".
- ↑ Mind time: the temporal factor in consciousness, Benjamin Libet, 2004, ISBN 0-674-01320-4
- ↑ Perros de paja: reflexiones sobre los humanos y otros animales (2002), John N. Gray, Paidós, 2003, ISBN 84-493-1457-7, pág. 63
- ↑ http://rspb.royalsocietypublishing.org/content/early/2010/12/14/rspb.2010.2325.abstract?sid=276fdce6-411f-4be1-a72b-bf8450b04f3e
- ↑ http://librodenotas.com/deloanimallohumanolodivino/19642/moscas-con-libre-albedrio-i
- ↑ Boniolo, G. and Vidali, P. (1999) Filosofia della Scienza, Milan: Mondadori. ISBN 88-424-9359-7
- ↑ Hoefer, Carl (2008). «Causal Determinism». Stanford Encyclopedia of Philosophy. Consultado el 1 de noviembre de 2008.
- ↑ Vedral, Vlatko (18 de noviembre de 2006). «Is the Universe Deterministic?». New Scientist 192 (2578): 52-55. doi:10.1016/S0262-4079(06)61122-6. «Physics is simply unable to resolve the question of free will, although, if anything, it probably leans towards determinism.»
- ↑ Honderich, E. «Determinism as True, Compatibilism and Incompatibilism as Both False, and the Real Problem». Ucl.ac.uk. Consultado el 21 de noviembre de 2010.
- ↑ Kane, Robert; John Martin Fischer; Derk Pereboom; Manuel Vargas (2007). Four Views on Free Will (Libertarianism). Oxford: Blackwell Publishing. p. 39. ISBN 978-1-4051-3486-6.
- ↑ «The Quantum Physics of Free Will».
- ↑ «Infidels. "Metaphysical Freedom"». Infidels.org. Consultado el 21 de noviembre de 2010.
- ↑ Fate and Free Will (inglés)
- ↑ http://ec.aciprensa.com/wiki/Libre_albedr%C3%ADo
- ↑ Freedom of the Will, 1754; Edwards 1957-, vol. 1, pp. 327.
- ↑ Staley, Kevin M. (2005). «Aquinas: Compatibilist or Libertarian». The Saint Anselm Journal 2 (2): 74. Archivado desde el original el 21 de diciembre de 2015. Consultado el 9 de diciembre de 2015.
- ↑ Hartung, Christopher (May 2013). Thomas Aquinas on Free Will. University of Delaware. Consultado el 9 de diciembre de 2015.
- ↑ A discussion of the roles of will, intellect and passions in Aquinas' teachings is found in Stump, Eleonore (2003). «Intellect and will». Aquinas, Arguments of the philosophers series. Routledge (Psychology Press). pp. 278 ff. ISBN 978-0-415-02960-5.
- ↑ «Catholic Encyclopedia: Appetite». Newadvent.org. 1907. Consultado el 13 de agosto de 2012.
- ↑ «Summa Theologica: Free-will (Prima Pars, Q. 83)». Newadvent.org. Consultado el 13 de agosto de 2012.
- ↑ Concilio de Trento Sesión VI, capítulos 1 y 5.. Consultado el 29 de noviembre de 2017.
- ↑ a b c aish.com Archivado el 26 de agosto de 2006 en Wayback Machine. (inglés)
- ↑ D. Bourget, D.J. Chalmers: What do philosophers believe?. Philosophical Studies (3): 1–36 (2013). Online text here
- ↑ Gregory W. Graffin and William B. Provine, “Evolution, Religion, and Free Will,” American Scientist 95 (July–August 2007), 294–97; results of Cornell Evolution Project survey, http://faculty.bennington.edu/~sherman/Evolution%20in%20America/evol%20religion%20free%20will.pdf.
Bibliografía
- Bischof, Michael H. Kann ein Konzept der Willensfreiheit auf das Prinzip der alternativen Möglichkeiten verzichten? Harry G. Frankfurts Kritik am Prinzip der alternativen Möglichkeiten (PAP). In: Zeitschrift für philosophische Forschung (ZphF), Heft 4, 2004. (alemán)
- Libet, Benjamin, Freeman, Anthony, Sutherland. J.K.B., Editors, The volitional brain: Towards a neuroscience of free will. 1999, Imprint Academic. ISBN 0-907845-50-9.
- Libet, Benjamin, Mind time: the temporal factor in consciousness, Harvard University Press, 2004. ISBN 0-674-01320-4.
- López Corredoira, M., 2005, Somos fragmentos de Naturaleza arrastrados por sus leyes, Vision Net, Madrid, ISBN 84-9821-136-0
- Muhm, Myriam: Abolito il libero arbitrio - Colloquio con Wolf Singer, in: L'Espresso,19.08.2004 https://web.archive.org/web/20060516090209/http://www.larchivio.org/xoom/myriam-singer.htm
- Morris, Tom Philosophy for Dummies For Dummies (inglés)
- Lawhead, Willaim F. The Philosophical Journey: An Interactive Approach McGraw-Hill Humanities/Social Sciences/Languages (inglés)
- Inwagen, Peter van An Essay on Free Will Oxford: Clarendon Press (inglés)
- Schopenhauer, Arthur, On the Freedom of the Will, Oxford: Basil Blackwell ISBN 0-631-14552-4
Enlaces externos
Wikiquote alberga frases célebres de o sobre libre albedrío.- Free Will - Stanford Encyclopedia of Philosophy (en inglés)
- Incompatibilism - Stanford Encyclopedia of Philosophy (en inglés)
- Divine Foreknowledge and Free Will - Stanford Encyclopedia of Philosophy (en inglés)