Lipoblasto

Un lipoblasto es una célula precursora de un adipocito.[1]
También se conoce como adipoblasto o preadipocito.[2][3]
Las etapas tempranas son casi indistinguibles de los fibroblastos.[4]
-
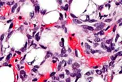
Lipoblastos (flecha blanca) y adipocitos (flecha negra), en un caso de lipoblastoma
Liposarcoma
Los lipoblastos pueden verse en los liposarcomas[5] y característicamente tienen un citoplasma abundante, claro y multivacuolado y un núcleo mellado y con tinción oscura (hipercromático).
Véase también
- Adipogénesis
- Proteína relacionada con la diferenciación adiposa
- Lipoblastoma
- Anexo:tipos de células humanas derivadas de las capas germinales
Referencias
- ↑ Barbara Young; Paul R. Wheater (2006). Wheater's functional histology: a text and colour atlas. Elsevier Health Sciences. pp. 74-. ISBN 978-0-443-06850-8. Consultado el 18 de abril de 2010.
- ↑ Dani C (1999). «Embryonic stem cell-derived adipogenesis». Cells Tissues Organs (Print) 165 (3–4): 173-80. PMID 10592389. doi:10.1159/000016697.
- ↑ «Mathematical modeling of preadipocyte fate determination». J Theor Biol 265 (1): 87-94. April 2010. PMID 20385145. doi:10.1016/j.jtbi.2010.03.047.
- ↑ Ray C. Henrikson; Gordon I. Kaye; Joseph E. Mazurkiewicz (31 de julio de 1997). Histology. Lippincott Williams & Wilkins. pp. 118-. ISBN 978-0-683-06225-0. Consultado el 18 de abril de 2010.
- ↑ Lester J. Layfield (2002). Cytopathology of bone and soft tissue tumors. Oxford University Press US. pp. 83-. ISBN 978-0-19-513236-6. Consultado el 18 de abril de 2010.