Luxación
| Luxación | ||
|---|---|---|
|
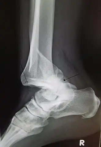
Dislocación traumática del tobillo con fractura del peroné distal. La flecha izquierda marca la ubicación de la tibia y la flecha derecha indica el astrágalo. | ||
| Especialidad | ortopedia | |
| Sinónimos | ||
| Dislocación | ||
Una luxación o dislocación es toda lesión cápsulo-ligamentosa con pérdida del contacto de las superficies articulares por causa de un trauma grave, que puede ser total (luxación) o parcial (subluxación). En semiología clínica, el término se conoce como abartrosis o abarticulación.[1]
En medicina, una dislocación (del latín dislocatio, 'desplazamiento')[2] es una separación de dos huesos en el lugar donde se encuentran en la articulación. Un hueso dislocado es un hueso que ya no está en su posición normal. Una dislocación también puede causar daño a ligamentos y nervios.[3]
Una luxación es la separación permanente de las dos partes de una articulación, es decir, se produce cuando se aplica una fuerza extrema sobre un ligamento, produciendo la separación de los extremos de dos huesos conectados.
Consideraciones generales
Es posible que sea difícil diferenciar entre un hueso dislocado y un hueso fracturado (a menudo se habla de luxofractura). Ambos se consideran situaciones de emergencia y los primeros auxilios para tratarlos son los mismos. La recuperación de lesiones en los ligamentos circundantes de una articulación dislocada toma generalmente entre 3 y 6 semanas.
Causas
Las dislocaciones generalmente son causadas por un impacto súbito a la articulación y con frecuencia se presentan después de un golpe, una caída u otro trauma.
Síntomas
- Dolor agudo.
- Impotencia funcional inmediata y absoluta.
- Aumento de volumen.
- Deformidad.
- Tras la reducción se puede producir un daño a nivel neurovascular (compromiso del nervio axilar).
- Si no hay rotura cápsulo-ligamentosa aparece una hemartrosis (sangre dentro de la cavidad articular).
Diagnóstico
Se hace mediante una exploración radiológica en los dos planos, en la que se ve la pérdida de contacto permanente de las superficies articulares, total o parcial. Si bien, en muchísimas ocasiones se evidencia por signos externos como deformidad, posturas especiales, etc. como el hombro en charretera en la luxación de hombro.
Las subluxaciones son muy frecuentes en enfermedades genéticas que afectan al tejido conectivo como el síndrome de Ehlers-Danlos y el síndrome de hiperlaxitud articular.
Primeros auxilios en caso de luxación
En estos casos, lo primero que se deberá hacer será:
- Inmovilizar la articulación afectada.
- Aplicar hielo sobre la zona de la lesión para producir analgesia.
- Reposo absoluto de la zona.
- No se debe tratar de colocar el miembro afectado en su lugar bajo ningún concepto, ni tampoco se debe administrar ningún medicamento ni pomada (excepto si un médico lo prescribe).
- Trasladar a un centro hospitalario para las correspondientes pruebas, donde si es necesario se pondrá una férula.
- Después se podrá ir con un fisioterapeuta (Rehabilitación Física) para una sana recuperación.
Articulaciones más comprometidas
- Hombro: un 95 % luxación anterior y un 5 % luxación posterior.
- Cadera: generalmente se produce una luxación posterior, secundaria a traumas de alta energía (por ejemplo, el golpe que sufre el copiloto de un accidente automovilístico al golpearse la rodilla en contra del tablero, en donde la clínica muestra una pierna en rotación interna, adducción y pierna flectada).
- Rodilla: en la rodilla, las luxaciones pueden afectar a la rótula o a la articulación femorotibial.
- Tobillo: una de las luxaciones más comunes, ya que a diferencia de otras, no necesita de golpes especialmente fuertes: las malas posturas, la inactividad física y el sobrepeso son causas que predisponen especialmente a esta clase de lesión.
En artes marciales
En las artes marciales, las llaves son una técnica que intenta realizar o aproximar a una luxación, con el objetivo de lesionar al enemigo en su uso militar, y para lograr la victoria en el caso de la práctica deportiva.
Referencias
- ↑ Estanislao Navarro-Beltrán Iracet: Diccionario terminológico de ciencias médicas (pág. 3). España: Elsevier Masson, 13.ª edición, 1992. ISBN 8445800957.
- ↑ Santamaría Hernández, María Teresa (2018). «Dislocatio», en Diccionario Latino de Andrología, Ginecología y Embriología desde la Antigüedad hasta el siglo XVI (DILAGE). Roma - Turnhout: Brepols. p. 238.
- ↑ «Luxación: MedlinePlus enciclopedia médica». medlineplus.gov. Consultado el 9 de marzo de 2021.
Enlaces externos
- Curso de primeros auxilios
- Dislocación. Artículo en español en el sitio web Health Medicine.