Síndrome respiratorio de Oriente Medio
| Síndrome respiratorio de Oriente Medio | ||
|---|---|---|
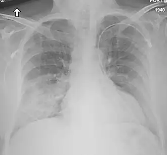
![]() Radiografía de tórax que muestra daño en los pulmones en un paciente con síndrome respiratorio de Oriente Medio. | ||
| Especialidad | Infectología | |
| Síntomas | Fiebre, tos, diarrea, dificultad para respirar y dolor muscular | |
| Complicaciones | Neumonía, síndrome de dificultad respiratoria aguda, | |
| Causas | MERS-CoV | |
| Diagnóstico | RT-PCR cuantitativa, inmunoensayo, tomografía axial computarizada, insuficiencia renal aguda | |
| Prevención |
Ver lista
| |
| Frecuencia | 2578 (octubre 2021)[1] | |
| Tasa de letalidad | 866 | |
| Sinónimos | ||
| Enfermedad del coronavirus de Oriente Medio | ||
El síndrome respiratorio de Oriente Medio (MERS, por sus siglas en inglés), también conocido como "fiebre del camello", es una zoonosis que provoca una infección respiratoria viral causada por el coronavirus MERS-CoV. Una de las principales causas de contagio es el contacto (directo o indirecto) con camellos y puede ser contraído tanto por mujeres, hombres y niños.
Los síntomas pueden variar de leves a severos. Incluyen fiebre, tos, diarrea y dificultad para respirar. La enfermedad suele ser más grave en las personas con otros problemas de salud.[2] La mortalidad es aproximadamente un tercio de los casos diagnosticados.[3]
El MERS-CoV es un betacoronavirus derivado de murciélagos.[3] Se ha demostrado que los camellos tienen anticuerpos contra MERS-CoV, pero no se ha identificado la fuente exacta de infección en los camellos. Se cree que los camellos están involucrados en su propagación a los humanos, pero no está claro cómo. La propagación entre humanos generalmente requiere un contacto cercano con una persona infectada.[2] Su propagación es poco común fuera de los hospitales. Por lo tanto, su riesgo para la población mundial se considera actualmente bastante bajo.[2]
El 4 de abril de 2017, se informaron menos de 2000 casos.[4] Alrededor del 36 % de los diagnosticados con la enfermedad mueren a causa de ella.[3] El riesgo general de muerte puede ser menor, ya que aquellos con síntomas leves pueden no ser diagnosticados.[5] El primer caso identificado ocurrió en 2012 en Arabia Saudita y la mayoría de los casos ocurrieron en la península arábiga.[3][2] Se descubrió que una cepa de MERS-CoV conocida como HCoV-EMC/2012 encontrada en la primera persona infectada en Londres en 2012 tenía una coincidencia del 100 % con los murciélagos de las tumbas egipcias.[3] Se produjo un gran brote en Corea del Sur en 2015.[6] Se informó un nuevo brote de MERS en 2018, que afectó a Arabia Saudita y otros países (incluida Corea del Sur) a los que viajaron personas infectadas, pero desde los años 2015-2018, el número de infectados en Arabia Saudita en 2018 fue el más bajo.[7]
A partir de 2020 no existe una vacuna o tratamiento específico para la enfermedad;[8] se estaban estudiando varios medicamentos antivirales. La Organización Mundial de la Salud recomienda que quienes entren en contacto con los camellos se laven las manos con frecuencia y no toquen a los camellos enfermos y que los productos alimenticios a base de camellos se cocinen adecuadamente. Los tratamientos que ayudan con los síntomas pueden administrarse a las personas infectadas.[3]
Signos y síntomas
Los primeros informes compararon los virus con el síndrome respiratorio agudo grave (SRAS),[9] y se lo ha denominado similar al mencionado virus originario de Arabia Saudita.[10]
La primera persona, en junio de 2012, tuvo fiebre, tos, expectoración y dificultad para respirar. Una revisión de 47 casos confirmados por laboratorio en Arabia Saudita dio los síntomas de presentación más comunes como fiebre en 98 %, tos en 83 %, dificultad para respirar en 72 % y mialgia (dolor muscular) en 32 % de las personas. También hubo síntomas gastrointestinales frecuentes con diarrea en el 26 %, vómitos en el 21 %, dolor abdominal en el 17 % de las personas. El 72 % de las personas requirieron ventilación mecánica. La relación de afectados por sexo era de 3,3 hombres por cada mujer. En un estudio de un brote hospitalario de MERS, encontraron que tenía un período de incubación estimado de 5,5 días (intervalo de confianza al 95 %: 1,9 a 14,7 días). El MERS puede variar desde una enfermedad asintomática hasta una neumonía grave que conduce al síndrome de dificultad respiratoria aguda (SDRA).[11] También se ha informado insuficiencia renal, coagulación intravascular diseminada (CID) y pericarditis.[12]
Virología

El coronavirus del síndrome respiratorio de Oriente Medio (MERS-CoV),[13] también denominado como EMC/2012 (HCoV-EMC/2012), conocido también como el virus del camello, es una especie de coronavirus que infecta a humanos, murciélagos y camellos.[14] El virus infeccioso es un virus de ARN monocatenario envuelto, de sentido positivo, que ingresa a su célula huésped al unirse al receptor dipeptidil peptidasa-4 (DPP4).[15] La especie es miembro del género Betacoronavirus y del subgénero Merbecovirus.[16][17]
Inicialmente llamado nuevo coronavirus 2012 (2012-nCoV) o simplemente nuevo coronavirus (nCoV), se informó por primera vez en 2012 después de la secuenciación del genoma de un virus aislado de muestras de esputo de una persona que enfermó en un brote de gripe nueva en 2012 con una enfermedad respiratoria. MERS-CoV es uno de varios virus identificados por la Organización Mundial de la Salud como una posible causa de epidemias futuras. Lo enumeran para investigación y desarrollo urgentes.[18][19]
Un pequeño porcentaje de las personas afectadas presentan enfermedad respiratoria de carácter leve. Casi todos los pacientes con infección por el virus se han contagiado en los países de la península arábiga o sus proximidades. Se sabe que las secreciones nasales de los camellos son transmisores de la enfermedad y ciertas especies de murciélago parecen ser un reservorio del virus, aunque algunos contagios se han producido por contacto directo o cercano con una persona infectada. Se han producido casos en el personal sanitario que atendía a los pacientes.[20]Diagnóstico
Según la Organización Mundial de la Salud, la definición de caso provisional es que un caso confirmado se identifica en una persona con una prueba de laboratorio positiva mediante "diagnóstico molecular que incluye una PCR positiva en al menos dos objetivos genómicos específicos o un solo objetivo positivo con secuenciación en un segundo".
Organización Mundial de la Salud
Según la Organización Mundial de la Salud (OMS), un caso probable es:[21]
- Una persona con fiebre, infección respiratoria y evidencia de neumonía o síndrome de dificultad respiratoria aguda, donde las pruebas de MERS-CoV no están disponibles o son negativas en una sola muestra inadecuada, y la persona tiene un vínculo directo con un caso confirmado.
- Una persona con una enfermedad respiratoria febril aguda con evidencia clínica, radiológica o histopatológica de enfermedad del parénquima pulmonar (p. Ej., Neumonía o síndrome de dificultad respiratoria aguda), una prueba de laboratorio MERS-CoV no concluyente (es decir, una prueba de detección positiva sin confirmación), y residente o viajero de países del Medio Oriente donde se cree que el virus MERS-CoV circula en los 14 días anteriores al inicio de la enfermedad.
- Una persona con una enfermedad respiratoria febril aguda de cualquier gravedad, una prueba de laboratorio MERS-CoV no concluyente (es decir, una prueba de detección positiva sin confirmación) y un vínculo epidemiológico directo con un caso confirmado de MERS-CoV.
Centros para el Control de Enfermedades
En los Estados Unidos, los Centros para el Control y la Prevención de Enfermedades (CDC) recomiendan investigar a cualquier persona con:[22]
- Fiebre y neumonía o síndrome de dificultad respiratoria aguda (basado en evidencia clínica o radiológica) y un historial de viajes desde países dentro o cerca de la península arábiga dentro de los 14 días anteriores al inicio de los síntomas, o
- Contacto cercano con un viajero sintomático que desarrolló fiebre y enfermedad respiratoria aguda (no necesariamente neumonía) dentro de los 14 días después de viajar desde países en o cerca de la península arábiga o
- Miembro de un grupo de personas con enfermedad respiratoria aguda grave (p. ej., fiebre y neumonía que requieren hospitalización) de causa desconocida en la que se evalúa el MERS-CoV, en consulta con los departamentos de salud estatales y locales.
- Fiebre y síntomas de enfermedades respiratorias (no necesariamente neumonía; por ejemplo, tos, dificultad para respirar) y estar en un centro de salud (como paciente, trabajador o visitante) dentro de los 14 días antes del inicio de los síntomas en un país o territorio en o cerca de Arabia Península en la que se han identificado casos recientes de MERS relacionados con la atención médica.
- Fiebre o síntomas de enfermedad respiratoria (no necesariamente neumonía; por ejemplo, tos, dificultad para respirar) y contacto cercano con un caso confirmado de MERS mientras el caso estaba enfermo.
Véase también
Referencias
- ↑ OMS. Situación del MERS, octubre 2021
- ↑ a b c d Middle East Respiratory Syndrome. Publicado el 3 de junio de 2015. Consultado el 7 de abril de 2020.
- ↑ a b c d e f Middle East respiratory syndrome coronavirus (MERS-CoV). Publicado el 11 de marzo de 2019. Consultado el 7 de abril de 2020.
- ↑ Middle East respiratory syndrome coronavirus (MERS-CoV). Consultado el 7 de abril de 2020.
- ↑ Severe acute respiratory syndrome vs. the Middle East respiratory syndrome.. Consultado el 7 de abril de 2020.
- ↑ Liy, Macarena Vidal (4 de junio de 2015). «Corea del Sur lucha por contener un brote del síndrome respiratorio MERS». El País. ISSN 1134-6582. Consultado el 15 de noviembre de 2021.
- ↑ Infectious disease outbreaks reported in the Eastern Mediterranean Region in 2018. Consultado el 7 de abril de 2020.
- ↑ 2019 Novel Coronavirus (2019-nCoV) Outbreak Information. Consultado el 7 de abril de 2020.
- ↑ Isolation of a novel coronavirus from a man with pneumonia in Saudi Arabia. Consultado el 7 de abril de 2020.
- ↑ Scientists Go Deep On Genes Of SARS-Like Virus. Publicado el 26 de septiembre de 2016. Consultado el 7 de abril de 2020.
- ↑ Assiri A, Al-Tawfiq JA, Al-Rabeeah AA, Al-Rabiah FA, Al-Hajjar S, Al-Barrak A, Flemban H, Al-Nassir WN, Balkhy HH, Al-Hakeem RF, Makhdoom HQ, Zumla AI, Memish ZA (September 2013). "Epidemiological, demographic, and clinical characteristics of 47 cases of Middle East respiratory syndrome coronavirus disease from Saudi Arabia: a descriptive study". The Lancet. Infectious Diseases. 13 (9): 752–61. doi:10.1016/S1473-3099(13)70204-4. PMID 23891402.
- ↑ Interim Guidance - Clinical management of severe acute respiratory infections when novel coronavirus is suspected: What to do and what not to do. Publicado el 2 de noviembre de 2013. Consultado el 7 de abril de 2020.
- ↑ Middle East respiratory syndrome coronavirus (MERS-CoV): announcement of the Coronavirus Study Group. Consultado el 7 de abril de 2020.
- ↑ Wong, Antonio C. P.; Li, Xin; Lau, Susanna K. P.; Woo, Patrick C. Y. (20 February 2019). "Global Epidemiology of Bat Coronaviruses". Viruses. 11 (2): 174. doi:10.3390/v11020174. PMC 6409556. PMID 30791586. See Figure 3.
- ↑ Fehr AR, Perlman S (2015). Maier HJ, Bickerton E, Britton P (eds.). "Coronaviruses: an overview of their replication and pathogenesis". Methods in Molecular Biology. Springer. 1282: 1–23. doi:10.1007/978-1-4939-2438-7_1. ISBN 978-1-4939-2438-7. PMC 4369385. PMID 25720466. See Table 1.
- ↑ Virus Taxonomy: 2018 Release. Consultado el 7 de abril de 2020.
- ↑ Global Epidemiology of Bat Coronaviruses. Publicado el 20 de febrero de 2019. Consultado el 7 de abril de 2020.
- ↑ After Ebola, a Blueprint Emerges to Jump-Start R&D. Publicado el 20 de mayo de 2015. Consultado el 7 de abril de 2020.
- ↑ A research and development Blueprint for action to prevent epidemics. Publicado el 31 de diciembre de 2019. Consultado el 7 d abril de 2020.
- ↑ Centers for Disease Control and Prevention. Consultado el 29 de diciembre de 2013
- ↑ Revised interim case definition for reporting to WHO – Middle East respiratory syndrome coronavirus (MERS-CoV). Publicado el 26 de julio de 2017. Consultado el 7 de abril de 2020.
- ↑ Interim Guidance for Healthcare Professionals. Consultado el 7 de abril de 2020.
