Malabsorción
| Malabsorción | ||
|---|---|---|
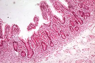
![]() Enfermedad de Whipple: agrandamiento de las vellosidades intestinales e infiltación con macrófagos. | ||
| Especialidad | gastroenterología | |
Se entiende por malabsorción, síndrome de malabsorción o síndrome de maladigestión-malabsorción[1] a un trastorno de la digestión causado por la dificultad para asimilar, absorber o digerir los nutrientes presentes en los alimentos a lo largo del tracto gastrointestinal. La malabsorción puede ser debida a diferentes tipos de enfermedades y puede implicar uno o múltiples nutrientes, dependiendo de la anormalidad. Generalmente está asociada a dificultades para absorber nutrientes en el intestino delgado. Suele originar diarreas, gases, distensión abdominal, pérdida de peso, malnutrición, anemia, etc.[2]
Clasificación
| Nombres alternos |
|---|
| Síndrome de malabsorción
Trastorno de malabsorción (desorden) |
| Otros términos |
| Mala absorción intestinal |
Algunos prefieren clasificar la malabsorción clínicamente en tres categorías básicas:[3]
- (1) Selectiva, como se aprecia en la malabsorción de la lactosa.
- (2) Parcial, como la observada en la abetalipoproteinemia.
- (3) Total, como en algunas personas con síntomas clásicos de enfermedad celíaca, que actualmente son casos excepcionales.[4]
Fisiología normal
El propósito principal del tracto gastrointestinal es digerir y absorber los nutrientes ingeridos —grasas, carbohidratos y proteínas—, micronutrientes —vitaminas y minerales—, agua y electrolitos. La digestión involucra tanto la degradación mecánica y enzimática de los alimentos. Los procesos mecánicos son el masticar, la agitación gástrica y el constante mezclar del intestino delgado. La hidrólisis enzimática se inicia por procesos intraluminales que requieren de las secreciones salivales, gástricas, pancreáticas y biliares. Los productos finales de la digestión son absorbidos por las células epiteliales del intestino.
Patología
La malabsorción constituye la interferencia anormal de las secuencias fisiológicas de la digestión —el proceso intraluminal—, absorción —el proceso en la mucosa— y el transporte de los nutrientes.[5]
Es un factor de riesgo para la enfermedad de Wernicke.
La malabsorción intestinal puede ser producto de:[6]
- Daño en la mucosa (enteropatía);
- Reducción congénita o adquirida de la superficie de absorción;
- Defectos específicos de la hidrólisis;
- Defectos del transporte de iones;
- Insuficiencia pancreática;
- Circulación entero-hepática disfuncional.
Una malabsorción también puede estar producida por una maladigestión de nutrientes y esta a su vez puede ser consecuencia dedistintos factores:[1]
- Maladigestión de origen gástrico: es característico de una alteración de la morfología gástrica al realizar una operación quirúrgica de este.
- Maladigestión de origen pancreático: aparece cuando se da una disfunción en la labor del páncreas que impide la acción de sus enzimas digestivas. Sucede en tres circunstancias, cuando se da una insuficiencia pancreática exocrina primaria, secundaria o cuando existe una alteración en la actividad de las enzimas pancreáticas.
- Maladigestión por deficiencia de sales biliares activas en la luz intestinal: por disminución de la producción de sales biliares en los hepatocitos, por colelitiasis que impida la salida de sales biliares al tubo digestivo o por la desactivación de las luces biliares en el tubo digestivo.
Causas
Debido a agentes infecciosos
|
Debido a defectos estructurales[7]
|
Debido a anormalidades mucosas
|
Debido a deficiencias enzimáticas
|
Debido a insuficiencia digestiva
|
Debido a otras enfermedades sistémicas que afectan al sistema GI |
| Debido a enfermedades inmunológicas |
Véase también
- Celiaquía
- Intolerancia a la lactosa
- Intolerancia a la sacarosa
- Intolerancia a la fructosa
- Intolerancia a la trehalosa
Referencias
- ↑ a b Pérez Arellano, José Luis (2009). «Fisiopatología y patogenia general del aparato digestivo». Manual de patología general. Elsevier. ISBN 978-84-458-1540-3.
- ↑ Jensen, Jonathan E. «Malabsorption Syndromes - Page 1». Colorado center for digestive disorders. Archivado desde el original el 11 de abril de 2007. Consultado el 10 de mayo de 2007.
- ↑ Gasbarrini G, Frisono M: Critical evaluation of malabsorption tests; in G. Dobrilla, G. Bertaccini, G. Langman (Editor) (1986). Problems and Controversies in Gastroenterology. Nueva York: Raven Pr. pp. 123-130. ISBN 88-85037-75-5.
- ↑ Newnham ED (marzo de 2017). «Coeliac disease in the 21st century: paradigm shifts in the modern age». J Gastroenterol Hepatol (Revisión). 32 Suppl 1: 82-85. PMID 28244672. doi:10.1111/jgh.13704. «The epidemiology of coeliac disease (CD) is changing. Presentation of CD with malabsorptive symptoms or malnutrition is now the exception rather than the rule. La epidemiología de la enfermedad celíaca (EC) está cambiando. La presentación de la EC con síntomas malabsortivos o desnutrición es ahora la excepción en lugar de la regla.».
- ↑ Bai J (1998). «Malabsorption syndromes». Digestion 59 (5): 530-46. PMID 9705537.
- ↑ Walker-Smith J, Barnard J, Bhutta Z, Heubi J, Reeves Z, Schmitz J (2002). «Chronic diarrhea and malabsorption (including short gut syndrome): Working Group Report of the First World Congress of Pediatric Gastroenterology, Hepatology, and Nutrition». J. Pediatr. Gastroenterol. Nutr. 35 Suppl 2: S98-105. PMID 12192177.
- ↑ M. S Losowsky, (1974). Malabsorption in clinical practice. Edinburgh: Churchill Livingstone. ISBN 0-443-01007-2.
- ↑ Afrin, L.B.; Butterfield, J.H.; Raithel, M.; Molderings, G.J. (2016). «Often seen, rarely recognized: mast cell activation disease--a guide to diagnosis and therapeutic options». The American Journal of the Medical Science 48 (3): 190-201. PMID 27012973. doi:10.3109/07853890.2016.1161231.
