Melanoma lentiginoso acral
| Melanoma lentiginoso acral | ||
|---|---|---|
![]() | ||
| Especialidad | Oncología, dermatología | |
| Síntomas | Zonas de pigmentación oscura | |
| Causas | Melanocitos malignos | |
| Diagnóstico | Biopsia | |
| Tratamiento | Agentes biológicos de inmunoterapia | |
El melanoma lentiginoso acral (MLA) es un tipo agresivo de cáncer de piel. El melanoma es un grupo de cánceres de piel graves que se originan a partir de células pigmentarias (melanocitos); el melanoma lentiginoso acral es un tipo de melanoma cutáneo[1][2] lentiginoso.[3] El melanoma lentiginoso acral es el subtipo más frecuente en personas de piel más oscura y es poco frecuente en personas de piel más clara. No está causado por la exposición a la luz solar o a la radiación UV, y el uso de protección solar no protege contra él. El melanoma lentiginoso acral suele aparecer en las palmas de las manos, las plantas de los pies, debajo de las uñas y en la mucosa oral. Se produce en superficies corporales no pilosas, que no necesariamente han estado expuestas a la luz solar. También se encuentra en las mucosas.[4]
La incidencia absoluta del MLA es la misma para las personas de todos los colores de piel, y no ha cambiado significativamente desde hace décadas.[4] Sin embargo, dado que las tasas de otros melanomas son bajas en las poblaciones no blancas, el MLA es la forma más común de melanoma diagnosticado entre los grupos étnicos asiáticos y subsaharianos.[5] La edad media en el momento del diagnóstico se sitúa entre los 60 y los 70 años.[6]
Signos y síntomas
Los signos típicos del melanoma lentiginoso acral son los siguientes:[7]
- Raya longitudinal de color canela, negro o marrón en una uña
- Pigmentación del pliegue ungueal proximal
- Zonas de pigmentación oscura (palmas de las manos)
Los signos de advertencia son la aparición de nuevas áreas de pigmentación o la aparición de cambios en la pigmentación existente. Si se detecta a tiempo, el melanoma lentiginoso acral tiene una tasa de curación similar a la de otros tipos de melanoma de extensión superficial.[8]
Causas
El melanoma lentiginoso acral es el resultado de melanocitos malignos en la membrana de la piel (capas externas)[9][10] La patogénesis del melanoma lentiginoso acral sigue siendo desconocida en la actualidad.[11] No está causado por la luz solar o la radiación UV.[4]
Diagnóstico
Aunque el método ideal de diagnóstico del melanoma es la biopsia por escisión completa,[12] pueden ser necesarias alternativas según la localización del melanoma. La dermatoscopia de las lesiones pigmentadas acrales es muy difícil, pero puede lograrse con un enfoque diligente. La confirmación inicial de la sospecha puede hacerse con una biopsia en cuña pequeña o una biopsia en sacabocados pequeños.[13] Las biopsias en cuña fina y profunda pueden cicatrizar muy bien en la piel acral, y las biopsias en sacabocados pequeños pueden dar suficientes indicios de la naturaleza maligna de la lesión. Una vez realizada esta biopsia confirmatoria, se puede realizar una segunda biopsia cutánea excisional completa con un margen quirúrgico estrecho (1 mm). Esta segunda biopsia determinará la profundidad y la invasividad del melanoma,[14] y ayudará a definir cuál será el tratamiento final. Si el melanoma afecta al pliegue ungueal y al lecho ungueal, puede ser necesaria la escisión completa de la unidad ungueal (uña). El tratamiento final podría requerir una escisión más amplia (márgenes de 0,5 cm o más), amputación digital, linfangiograma con disección de ganglios linfáticos o quimioterapia.[15]
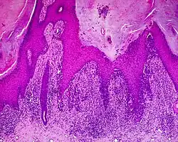
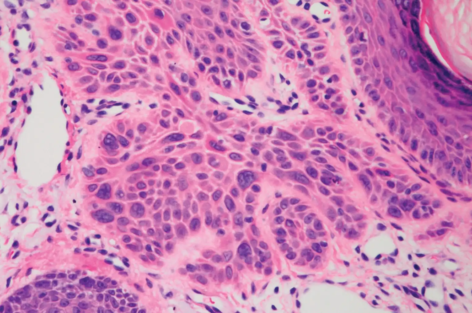
Histología

La principal característica del melanoma lentiginoso acral es la proliferación continua de melanocitos atípicos en la unión dermoepidérmica.[16] Otros signos histológicos del melanoma lentiginoso acral son la invasión dérmica y la desmoplasia.[17]
Según Scolyer et al.,[18] el MLA "suele caracterizarse en su forma más temprana reconocible como melanocitos atípicos únicos dispersos a lo largo de la capa epidérmica de unión".
Tratamiento
Los tratamientos para el melanoma metastásico incluyen los agentes biológicos de inmunoterapia ipilimumab, pembrolizumab y nivolumab; inhibidores de BRAF, como vemurafenib y dabrafenib; y un inhibidor de MEK, trametinib.[19]
Pronóstico
Se ha demostrado que el melanoma lentiginoso acral tiene peor pronóstico que el melanoma maligno cutáneo (MMC).[20]
Sociedad y cultura
El músico jamaicano Bob Marley murió de esta enfermedad en 1981, a los 36 años.[21]
Referencias
- ↑ James, William D.; Berger, Timothy G. (2006). Andrews' Diseases of the Skin: clinical Dermatology. Saunders Elsevier. ISBN 978-0-7216-2921-6.
- ↑ «acral-lentiginous melanoma». TheFreeDictionary.com. Consultado el 12 de julio de 2023.
- ↑ Phan, A.; Touzet, S.; Dalle, S.; Ronger‐Savlé, S.; Balme, B.; Thomas, L. (2007). Acral lentiginous melanoma: histopathological prognostic features of 121 cases (en inglés). British Journal of Dermatology. pp. 311-318.
- ↑ a b c Pathology, International Academy of; Organization, World Health; Cancer, International Agency for Research on (2006). Pathology and Genetics of Skin Tumours (en inglés). IARC. ISBN 978-92-832-2414-3. Consultado el 12 de julio de 2023.
- ↑ Farage, Miranda A.; Miller, Kenneth W.; Maibach, Howard I. (2 de diciembre de 2009). Textbook of Aging Skin (en inglés). Springer Science & Business Media. ISBN 978-3-540-89655-5. Consultado el 12 de julio de 2023.
- ↑ Swartz, Mark H. (27 de enero de 2014). Textbook of Physical Diagnosis E-Book: History and Examination (en inglés). Elsevier Health Sciences. ISBN 978-0-323-22507-6. Consultado el 12 de julio de 2023.
- ↑ Goodheart, Herbert P. (25 de octubre de 2010). Goodheart's Same-site Differential Diagnosis: A Rapid Method of Diagnosing and Treating Common Skin Disorders (en inglés). Lippincott Williams & Wilkins. ISBN 978-1-60547-746-6. Consultado el 12 de julio de 2023.
- ↑ Hearing, Vincent J.; Leong, Stanley P. L. (5 de noviembre de 2007). From Melanocytes to Melanoma: The Progression to Malignancy (en inglés). Springer Science & Business Media. ISBN 978-1-59259-994-3. Consultado el 12 de julio de 2023.
- ↑ Brown, Kimberly M. (22 de noviembre de 2014). Melanoma, An Issue of Surgical Clinics, E-Book (en inglés). Elsevier Health Sciences. ISBN 978-0-323-32683-4. Consultado el 12 de julio de 2023.
- ↑ Piliang, Melissa Peck (2011). Acral Lentiginous Melanoma (en inglés). Clinics in Laboratory Medicine. pp. 281-288.
- ↑ ChB, David E. Elder, MB; PhD, Sook Jung Yun, MD (10 de noviembre de 2014). Superficial Melanocytic Pathology (en inglés). Demos Medical Publishing. ISBN 978-1-61705-186-9. Consultado el 12 de julio de 2023.
- ↑ Shea, Christopher R.; Reed, Jon A.; Prieto, Victor G. (3 de noviembre de 2014). Pathology of Challenging Melanocytic Neoplasms: Diagnosis and Management (en inglés). Springer. ISBN 978-1-4939-1444-9. Consultado el 12 de julio de 2023.
- ↑ ChB, David E. Elder MB; PhD, Sook Jung Yun MD (10 de noviembre de 2014). Superficial Melanocytic Pathology (en inglés). Demos Medical Publishing. ISBN 978-1-62070-023-5. Consultado el 12 de julio de 2023.
- ↑ Barnhill, Raymond L.; Piepkorn, Michael W.; Busam, Klaus J. (18 de febrero de 2014). Pathology of Melanocytic Nevi and Melanoma (en inglés). Springer Science & Business Media. ISBN 978-3-642-38385-4. Consultado el 12 de julio de 2023.
- ↑ Clarke, Loren E.; Clarke, Jennie T.; Helm, Klaus F. (20 de marzo de 2014). Color Atlas of Differential Diagnosis in Dermatopathology (en inglés). JP Medical Ltd. ISBN 978-93-5090-845-7. Consultado el 12 de julio de 2023.
- ↑ Piliang, Melissa Peck (2009). Acral Lentiginous Melanoma. Surgical Pathology Clinics. pp. 535-541. ISSN 1875-9181.
- ↑ Mooi, Walter; Krausz, Thomas (28 de septiembre de 2007). Pathology of Melanocytic Disorders 2ed (en inglés). CRC Press. ISBN 978-1-4441-1380-8. Consultado el 12 de julio de 2023.
- ↑ Piliang, Melissa Peck (2009). «Acral Lentiginous Melanoma». Surgical Pathology Clinics 2 (3): 535-541. ISSN 1875-9181. PMID 26838538. doi:10.1016/j.path.2009.08.005.
- ↑ Maverakis E, Cornelius LA, Bowen GM, Phan T, Patel FB, Fitzmaurice S, He Y, Burrall B, Duong C, Kloxin AM, Sultani H, Wilken R, Martinez SR, Patel F (2015). «Metastatic melanoma - a review of current and future treatment options». Acta Derm Venereol: 516–524.
- ↑ Bradford, Porcia T.; Goldstein, Alisa M.; McMaster, Mary L.; Tucker, Margaret A (2009). «Acral Lentiginous Melanoma: Incidence and Survival Patterns in the United States, 1986-2005». Archives of Dermatology: 427-434.
- ↑ Foundation, Skin Cancer (6 de febrero de 2023). «Bob Marley Should Not Have Died from Melanoma». The Skin Cancer Foundation (en inglés estadounidense). Consultado el 13 de julio de 2023.
Enlaces externos
- https://en.wikipedia.org/wiki/International_Statistical_Classification_of_Diseases_and_Related_Health_Problems Clasificación Internacional de Enfermedades
- https://en.wikipedia.org/wiki/ILDS Liga Internacional de Sociedades Dermatológicas
- https://en.wikipedia.org/wiki/International_Classification_of_Diseases_for_Oncology Clasificación Internacional de Enfermedades Oncológicas
