Metaplasia
| Metaplasia | ||
|---|---|---|
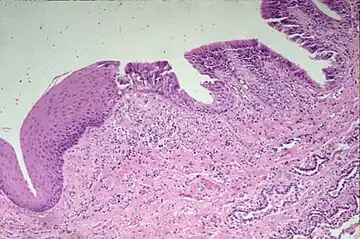
![]() Micrografía de la unión gastro-esofágica con metaplasia acinar pancreática teñida con hematoxilina-eosina. A la derecha, se observa la mucosa esofágica (epitelio escamoso estratificado). A la izquierda, se obseva la mucosa gástrica (epitelio cilíndrico simple). El epitelio metaplásico está en la unión (centro de la imagen) y tiene un citoplasma intensamente eosinófilo (rosa claro). | ||

En histología, se llama metaplasia a la transformación citológica de un epitelio maduro en otro que puede tener un parentesco próximo o remoto. Los fenómenos de metaplasia son completamente normales en los tejidos embrionarios que tienden naturalmente a diversificar, madurar y especializar sus células. También tienen lugar a partir de células madre totipotenciales o pluripotenciales, según se hable de tejidos embrionarios o adultos. En ciertas ocasiones la metaplasia implica una regresión en la especialización o maduración de las células hacia formas más primitivas para más tarde madurar hacia otra clase de células. La metaplasia puede presentarse como una respuesta adaptativa fisiológica frente al estrés celular y es reversible una vez cesa el estímulo agresor. No se considera una lesión neoplásica o premaligna. La metaplasia más común es la de epitelio columnar a epitelio escamoso.[1]
Sin embargo, es conocido en medicina humana que la zona de transición entre el tejido normal y el metaplásico por ser una zona muy activa mitóticamente puede ser el asiento para la generación de células displásicas con el consiguiente potencial de malignidad.[cita requerida]
En medicina existe una controversia en considerar la metaplasia intestinal del esófago (esófago de Barrett) como lesión premaligna, pero en líneas generales se considera como un mecanismo adaptativo que revierte con el cese del estímulo. Si el estímulo agresor persiste puede inducir la transformación neoplásica a partir de mutaciones en el genoma de la célula existiendo diversos marcadores de mutación como inactivación del gen P16 y p53.[2]
Véase también
Referencias
- ↑ Kumar, Abbas, Fausto. Robbins y Cotran Patología Estructural y Funcional. 7a edición.
- ↑ Bujanda Fernández de Piérola L.. Controversias en el esófago de Barrett. An. Med. Interna (Madrid) [revista en la Internet]. 2001 Oct [citado 2012 Abr 29] ; 18(10): 9-13. Disponible en: http://scielo.isciii.es/scielo.php?script=sci_arttext&pid=S0212-71992001001000001&lng=es. http://dx.doi.org/10.4321/S0212-71992001001000001
