Metralla

La metralla (o esquirla) es cualquier fragmento del cuerpo de un artefacto explosivo, que se genera inmediatamente después de su detonación. También se les llama así a las submuniciones antipersona disparadas por un cañón, o desde un obús especializado.
La metralla es frecuentemente llamada shrapnel en fuentes no especializadas.[1][2]
Historia

El uso de metralla en bombas se remonta al siglo XIV, siendo mencionado en el Huolongjing, texto de la dinastía Ming. Estas bombas de fragmentación eran cargadas con fragmentos de hierro y trozos de porcelana rota. Cuando la bomba detonaba, la metralla resultante podía perforar la piel y cegar a los soldados enemigos.[3]
Para esta bomba, toma aceite de tung, yin hsiu, sal amoniacal, chin chih, jugo de cebolla de primavera y caliéntalos para bañar muchos fragmentos de hierro y trozos de porcelana rota. Después cárgalos (con un núcleo de pólvora) dentro de una carcasa de hierro fundido y obtendrás una bomba de fragmentación. Cuando estalle, se romperá en pedazos que herirán la piel y romperán los huesos (de los soldados enemigos), y les cegará los ojos.Huolongjing, Parte 1, Capítulo 2.[3]
En los inicios de la artillería, la metralla era cargada en los cañones de avancarga dentro de un bote de metralla o en un racimo de metralla.
En 1784 el teniente de artillería inglés Henry Shrapnel ideó un método para provocarla. En un principio el invento consistía en una esfera metálica que contenía una pequeña cantidad de explosivo, pequeños balines de plomo y una espoleta cronométrica, para que explotase en el aire sobre las tropas enemigas. La esfera fue sustituida por proyectiles cilíndricos que fueron muy usados durante la Primera Guerra Mundial. La eficacia de la metralla impedía la constitución de grandes formaciones de batalla y favoreció la guerra de trincheras característica de esta contienda. Los proyectiles fragmentarios de alto poder explosivo (obuses, bombas de mortero y granadas) probaron su eficacia después de esta guerra, por lo que el diseño primitivo dejó de emplearse.
La granada de fragmentación moderna fue desarrollada durante el siglo XX. La Bomba Mills, que entró en servicio en 1915 con el Ejército Británico, es una primigenia granada de fragmentación que fue empleada en la Primera Guerra Mundial. La granada Mk 2 era una granada de fragmentación basada en la bomba Mills, que fue adoptada por las Fuerzas Armadas de los Estados Unidos y empleada durante la Segunda Guerra Mundial.[4]
Diferencias entre la metralla y los obuses shrapnel

El término "sharpnel" es usualmente empleado para referirse a los fragmentos producidos por la detonación de cualquier artefacto explosivo. Sin embargo, el shrapnel, llamado así por el Teniente general Henry Shrapnel de la Royal Artillery, precedió al moderno obús de alto poder explosivo y su mecanismo de funcionamiento es completamente distinto.[1]
Un shrapnel consiste en un obús cargado con esferas de acero o plomo suspendidas en una matriz de resina, con una pequeña carga explosiva en la base del proyectil. Cuando este es disparado, recorre una distancia predeterminada en su trayectoria balística, entonces la espoleta enciende la carga explosiva secundaria relativamente poco potente (frecuentemente pólvora negra o cordita) en la base del proyectil. La detonación de esta carga fractura la matriz que mantiene las balas en su lugar y expulsa la espoleta de la punta del proyectil para abrir paso a las balas, que son expulsadas fuera del proyectil sin romperlo (este último cayendo al suelo, pudiendo recuperarse y reutilizarse).[5] Las balas contiuarán su trayectoria hacia el blanco, esparciéndose en un patrón cónico al nivel del suelo, con la mayor parte de la energía proveniendo de la velocidad del proyectil en lugar de la poca energía de la detonación de la carga secundaria que los expulsó del proyectil. Dado que el cono de impacto es relativamente pequeño, no más de 10 o 15 veces el diámetro del proyectil, los shrapnel deben ser cuidadosamente apuntados y empleados con cautela para maximizar su impacto sobre el enemigo.
En contraste, un obús de alto poder explosivo contiene una carga explosiva potente y relativamente grande, que al ser encendida por la espoleta, produce una poderosa onda de choque que fractura el proyectil en múltiples fragmentos que vuelan en todas direcciones.[6] El uso de explosivos de alto poder dentro de un contenedor que se fragmenta mejora su eficacia, además de propulsar una gran cantidad de fragmentos a una mayor velocidad sobre un área mucho más ancha (40 a 60 veces el diámetro del proyectil), ofreciendo a los proyectiles de alto poder explosivo una letalidad superior en el campo de batalla que era casi imposible antes de la Revolución industrial. La Primera Guerra Mundial fue el primer conflicto a gran escala en donde los obuses de alto poder explosivo fueron la munición de artillería dominante; el fracaso de adaptar las tácticas de infantería al masivo incremento de la letalidad que producían estos proyectiles fue un elemento principal que originó las terribles condiciones de estancamiento subterráneo de la guerra de trincheras, donde ningún bando podía arriesgarse a moverse sobre la superficie sin la garantía de bajas instantáneas por el constante e indiscriminado bombardeo artillero con obuses de alto poder explosivo.
Una comparación sencilla entre un obús de alto poder explosivo y un shrapnel sería imaginarse un proyectil de cada tipo estando de pie sobre el suelo; un obús de alto poder explosivo sería igualmente letal si es detonado en esta posición, así como detona al impactar después de ser disparado, mientras que un shrapnel solamente dispararía sus balas a unos cuantos metros en el aire en un patrón de forma cónica (con el cuerpo del proyectil quedando intacto).[1] Sin embargo, la reducida área efectiva de los shrapnel puede ser aprovechada, como en las tácticas artilleras de bombardeo ambulante de la Primera Guerra Mundial, donde los shrapnel podían emplearse a menor distancia de la propia infantería en comparación a los obuses de alto poder explosivo.
Galería
-
Fragmento de un obús de la Guerra del Golfo.
-
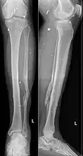
Esquirlas de granada en el tejido blando de la pierna (junto a una vieja fractura de la fíbula).
Véase también
Notas
- ↑ a b c «What is the difference between artillery shrapnel and shell fragments?». Combat Forces Journal. marzo de 1952. Archivado desde el original el 10 de febrero de 2017.
- ↑ [1] Archivado el 1 de febrero de 2014 en Wayback Machine. [2] Ejemplos del uso de "shrapnel" en lugar de metralla.
- ↑ a b Joseph Needham (1986). Military Technology: The Gunpowder Epic. Cambridge University Press. p. 180-181. ISBN 978-0-521-30358-3.
- ↑ The New Weapons of the World Encyclopedia: An International Encyclopedia from 5000 B.C. to the 21st Century. St. Martin's Press. 21 de agosto de 2007. p. 88. ISBN 978-0-312-36832-6.
- ↑ U.S. War Department Technical Manual 9-1900 ‘'Ammunition, General'’. 18 de junio de 1945, p. 106. Disponible en: http://90thidpg.us/Reference/Manuals/index.html
- ↑ ¿Qué conclusiones forenses pueden obtenerse del análisis de fragmentos de obús?: https://www.tandfonline.com/doi/pdf/10.1179/1574077313Z.00000000029?needAccess=true
Enlaces externos
Wikimedia Commons alberga una categoría multimedia sobre Metralla.