Neumonía bacteriana
| Neumonia Bacteriana | ||
|---|---|---|
| Especialidad | neumología | |
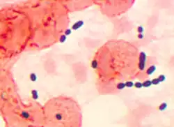
La neumonía bacteriana es una infección de los pulmones causada por bacterias. El Streptococcus pneumoniae,[1] un organismo grampositivo que a menudo coloniza la garganta, es la bacteria que con más frecuencia causa neumonía en todos los grupos de edad excepto en recién nacidos (CIE-10: J13). Otra causa importante de neumonía por bacterias grampositivas es el Staphylococcus aureus (CIE-10: J15.2).
Con menos frecuencia se ven neumonías bacterianas causadas por bacterias gramnegativas, como el Haemophilus influenzae (CIE-10: J15.2), Klebsiella pneumoniae (CIE-10: J15.0), Escherichia coli (CIE-10: J15.5), Pseudomonas aeruginosa (CIE-10: J15.1) y Moraxella catarrhalis, entre los más comunes. Estas bacterias con frecuencia viven en el tracto gastrointestinal y entran a los pulmones cuando el contenido gástrico —como en el caso de los vómitos— es inhalado.
Las bacterias Coxiella burnetti, Chlamydophila pneumoniae (CIE-10: J16.0), Mycoplasma pneumoniae (CIE-10: J15.7), y Legionella pneumophila son agentes causales menos usuales, por lo que una neumonía causada por estos organismos recibe el nombre de neumonía atípica y se ve comúnmente en adolescentes y adultos jóvenes, tiende a ser menos severa y su curso de tratamiento es diferente que el de las neumonías bacterianas tradicionales.
| Clasificación de las neumonías |
| Neumonías infeccciosas |
|
| Neumonías causadas por agentes infecciosos o no infecciosos |
|
| Neumonías no infecciosas |
|
Epidemiología
Las bacterias que causan neumonía pueden infectar a cualquier persona de cualquier sexo y edad, sin embargo es más frecuente en neonatos y ancianos.[2] Los más propensos son personas de edad avanzada, individuos alcohólicos, pacientes posoperatorios, personas con enfermedades respiratorias u otras infecciones y, especialmente, pacientes inmunosuprimidos.[3]
Las personas infectadas con VIH son especialmente sensibles a una neumonía bacteriana, con una probabilidad de cinco veces o más en comparación con pacientes VIH negativos, incluyendo aquellos con recuento de células T altas y que respondan bien al tratamiento para el VIH. De hecho, es esperable que los pacientes VIH positivos que han tenido una neumonía bacteriana tengan entre 8 y 25 % más probabilidad de una recaída en los 6 meses subsiguientes a la primera infección.[4] La pobreza, desnutrición y parasitosis son también factores predisponentes a una infección de las vías respiratorias bajas.
Causas
El neumococo (Streptococcus pneumoniae) continúa siendo la causa más frecuente de neumonía bacteriana, aunque las cepas responsables por las infecciones varían en diferentes regiones en el mundo.[5] El Staphylococcus aureus resistente a meticilina (de especial impacto en poblaciones humanas confinadas, como las prisiones) presenta un problema en relación con el tratamiento aunque no se aísla con tanta frecuencia como el neumococo.[6] La neumonía por Haemophilus influenzae tipo b ocurre principalmente en niños entre cuatro meses y cuatro años de edad.[7] Neumonías por Klebsiella pneumoniae tienden a ser especialmente frecuentes en pacientes alcohólicos y diabéticos en comparación con otras poblaciones.[8] Una gran proporción de pacientes con neumonía por Escherichia coli están intubados o gravemente enfermos.[9]
Patología

Generalmente una bacteria entra a los pulmones por inhalación, aunque puede llegar por vía sanguínea habiendo entrado a la circulación por una infección en otra parte del cuerpo. A menudo, estas bacterias viven en regiones del tracto respiratorio superior y son inhaladas a los alvéolos.[3] Una vez en los alvéolos, las bacterias viajan a los espacios entre una célula y la otra e incluso a otros alvéolos por medio de poros. La invasión estimula al sistema inmune a que responda enviando glóbulos blancos responsables del ataque a microorganismos en los pulmones. Los neutrófilos rodean con su membrana citoplasmática a las bacterias invasoras. Al mismo tiempo, liberan citoquinas que activan al sistema inmune general produciendo la fiebre, escalofríos y fatiga que caracteriza a la neumonía bacteriana. La combinación de los neutrófilos, bacterias y líquido proveniente de los vasos sanguíneos circunvecinos se acumula en el alvéolo —un efecto conocido como consolidación—[3] y resulta en un intercambio de oxígeno deficiente.
Los microorganismos provenientes de la circulación sanguínea, o que desde los pulmones migren a la circulación sistémica pueden con frecuencia causar enfermedades serias como el shock séptico que causa una disminución en la presión arterial que conlleva a daños en diversos órganos del cuerpo, incluyendo el cerebro, riñón y el corazón. De migrar al espacio entre los pulmones y la pared torácica, causan una infección llamada pleuritis.
Cuadro clínico
Las neumonías bacterianas cursan con fiebre, tos generalmente productiva de secreciones y producción de esputo purulento.[7] Algunos organismos pueden causar una infección de aparición repentina acompañada de tos sanguinolenta.[8]
Diagnóstico

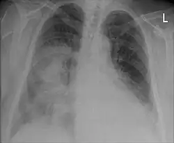
La neumonía se diagnostica con una combinación de la clínica que presenta el afectado, incluyendo tos, fiebre y dificultad respiratoria y confirmada por la consolidación pulmonar observable en una radiografía de tórax. La etiología se establece con cultivo bacteriológico del esputo y de la sangre (hemocultivo). A menudo una broncoscopia es indicada para ciertos pacientes hospitalizados.[9] El diagnóstico acertado puede ser difícil en pacientes con otras enfermedades. Ocasionalmente se emplea la tomografía y otros exámenes para diferenciar una neumonía de otras enfermedades, como el cáncer de pulmón.
Examen físico
Los síntomas de una neumonía deben recibir evaluación médica inmediata. El examen físico realizado por un profesional de la salud calificado puede encontrar fiebre, aunque en ocasiones se observa baja temperatura corporal, frecuencia respiratoria aumentada, tensión arterial baja, frecuencia cardíaca acelerada o incluso una disminuida saturación de oxígeno, manifestada por un oxímetro o gasometría arterial. Aquellos que presenten dificultad respiratoria, confusión o coloración azulada deben recibir atención inmediata.
Al auscultar los pulmones con un estetoscopio se pueden escuchar murmullos respiratorios anormales, tales como la presencia de sonidos crujientes llamados crepitantes, así como regiones en los pulmones que se identifiquen como llenos de líquido o fluidos llamados puntos de consolidación. El examinador puede igualmente encontrar anomalías pulmonares con la palpación y percusión del pecho para localizar los puntos de consolidación.[10]
Radiografía de tórax, cultivos y otros exámenes

Un examen importante para el diagnóstico acertado de una neumonía es la radiografía de tórax, que puede mostrar áreas de opacidad (vistas como zonas blanquecinas), que representan áreas de consolidación. La neumonía no siempre se puede apreciar en una radiografía de tórax, bien porque se trate de un estadio inicial de la enfermedad o porque se halle infectada una porción de los pulmones que no se observa en una radiografía. Una radiografía puede también ser difícil de interpretar en pacientes con fibrosis pulmonar e insuficiencia cardíaca congestiva.[11] En algunos casos se amerita realizar una tomografía computarizada.
Los resultados de cultivos de las expectoraciones del enfermo tardan al menos dos o tres días, de modo que son usados solo para confirmar el diagnóstico y para evaluar la sensibilidad del microorganismo a diversos antibióticos, incluyendo aquellos que ya hayan sido administrados al paciente.
Un recuento de leucocitos puede mostrar una elevación en la concentración de estas células, indicando la presencia de una infección o inflamación. En algunos individuos inmunodeficientes, el recuento de células blancas puede verse normal o disminuido. A menudo es importante evaluar la función de los riñones por medio de exámenes de sangre —un elemento importante al recetar antibióticos y evaluar daños por hipotensión— incluyendo para la evaluación de la concentración de sodio en sangre. Una concentración baja de sodio en casos con neumonía, por lo general indica una cantidad elevada de la hormona antidiurética producida por los pulmones en estadios terminales, una condición denominada Síndrome de secreción inadecuada de la hormona antidiurética. Existen exámenes de laboratorio específicos para bacterias atípicas y otros microorganismos, como virus, hongos y parásitos.
Tratamiento
El tratamiento de elección para una neumonía causada por bacterias son los antibióticos. Dependiendo de las características de la infección, del organismo que cause la neumonía y el estado inmune y de salud general del paciente, se escoge uno o una combinación de antibióticos. Por ejemplo, en varios países se utiliza con frecuencia a la amoxicilina más ácido clavulánico (como inhibidor de las β-lactamasas) como primera línea de terapia en la gran mayoría de los pacientes con neumonía adquirida en la comunidad, ocasionalmente añadiendo la claritromicina. En Norteamérica, se ha sustituido a la amoxicilina por una combinación de claritromicina, azitromicina o alguna fluoroquinolona, debido al incremento en las formas atípicas de neumonía bacterianas. En individuos hospitalizados, la línea de antibióticos seleccionados puede variar de acuerdo a las regulaciones de cada institución y de cada país.
Tratamiento con organismos Gram positivos
- Streptococcus pneumoniae - amoxicilina (o eritromicina en pacientes alérgicos a la penicilina); cefuroxima y eritromicina en casos más graves.
- Staphylococcus aureus - flucloxacillina (para contrarrestar la β-lactamasa del microorganismo)
Tratamiento con organismos Gram negativos
- Haemophilus influenzae: cefalosporinas de espectro para Gram negativos.[7]
- Klebsiella pneumoniae: susceptible a aminoglicósidos y cefalosporinas, resistente a ampicilina y a un gran espectro de beta lactamasas.[8]
- Escherichia coli: requiere soporte respiratorio (oxigenación adecuada) y cefalosporinas de tercera generación o fluoroquinolonas.[9]
- Pseudomonas aeruginosa: es resistente a muchos antibióticos y el tratamiento adecuado debe venir de los resultados de los antibióticos que provea el cultivo del laboratorio.
Tratamiento con organismos atípicos
La mayoría de los casos de neumonía atípica requiere tratamiento por 14-21 días.
- Chlamydophila pneumoniae - doxiciclina, excepto en pacientes con infecciones crónicas por C. pneumoniae asociadas a infarto de miocardio u otras cardiopatías.[12]
- Chlamydophila psittaci, Mycoplasma pneumoniae y Coxiella burnetti - eritromicina.
- Legionella pneumophila - eritromicina, a menudo con rifampicina añadida.
Los pacientes con dificultad respiratoria debido a la neumonía pueden requerir de oxígeno adicional. Un individuo que esté gravemente enfermo puede que requiera de ventilación artificial y cuidados intensivos como medidas de urgencia hasta que se pueda erradicar la causa de la infección con la ayuda de antibióticos y otros medicamentos.
Complicaciones
La neumonía bacteriana puede estar asociada a complicaciones importantes, más de lo que ocurre con neumonías de otras etiologías.
Insuficiencia respiratoria y circulatoria
Debido a que en una neumonía están afectados los pulmones, a menudo se acompaña de dificultad respiratoria y, en algunos casos, no le es posible al individuo respirar por su cuenta y necesitará soporte respiratorio. Por lo tanto, la neumonía puede causar insuficiencia respiratoria al instalarse en el paciente el síndrome de distrés respiratorio agudo (SDRA), que resulta de la combinación de la infección y la respuesta inflamatoria inmune. Los pulmones se llenan de líquido con rapidez y se vuelven rígidos, combinado a la dificultad de perfusión por razón de la obstrucción del fluido en los alvéolos, se crea la necesidad de una ventilación mecánica.

Otra complicación posible de una neumonía es la sepsis y el shock, en especial cuando los microorganismos entran al torrente circulatorio y el sistema inmune responde con la secreción de citoquinas. Nuevamente, el Streptococcus pneumoniae es la causa más frecuente. Una sepsis puede causar daños al hígado, riñón y al corazón y a menudo es una causa de muerte súbita.
Abscesos, empiema y efusión pleural
Ocasionalmente, los microorganismos que infectan al pulmón pueden causar que se acumule líquido en el espacio que rodea al pulmón (la cavidad pleural), a lo que se le denomina efusión pleural. Si los mismos microorganismos están presentes en la cavidad pleural, se le conoce como empiema pleural. Ese líquido puede ser recolectado con una aspiración por punción (toracocentesis)[13] y es posible que sea necesario extraer grandes cantidades de fluidos e incluso instalar un tubo a tórax para continuamente drenar la cavidad pleural.
Con mucha menos frecuencia las bacterias forman un espacio cerrado lleno de fluido purulento llamado un absceso. Los abscesos pulmonares se observan con radiografía o con una tomografía. Los abscesos son frecuentes en las neumonías por aspiración.[14] Por lo general, los antibióticos bastan para tratar un absceso pulmonar, aunque ocasionalmente se deba drenar el absceso quirúrgicamente.
Prevención
Existe una vacuna que inmuniza a los recién nacidos y adultos en contra de infecciones por neumococo.[3] La vacuna se recomienda para lactantes menores de 2 años y para adultos mayores de 65 años.[2] Por lo general, esta es una vacuna conjugada con varios serotipos del organismo y se produce dependiendo de las cepas más frecuentes de cada país.[5]
También está disponible a nivel mundial la vacuna anti-Haemophilus influenzae tipo b, el cual se administra en 3 dosis, a los 2, 4 y 6 meses desde el nacimiento.[15]
Referencias
- ↑ por MedlinePlus (abril de 2008). «Neumonía». Enciclopedia médica en español. Consultado el 1 de mayo de 2008. «Las neumonías bacterianas tienden a ser las más graves y, en los adultos, son la causa más común de neumonía. La bacteria más común que causa neumonía en adultos es la Streptococcus pneumoniae (neumococo).»
- ↑ a b Instituto Nacional de Alergias y Enfermedades Infecciosas (NIAID). «Neumonía Bacteriana» (pdf). Consultado el 1 de mayo de 2008.
- ↑ a b c d American Lung Association (2007). «Neumonía». Archivado desde el original el 30 de abril de 2008. Consultado el 1 de mayo de 2008.
- ↑ AidsMeds y POZ magazine (septiembre de 2005). Neumonía Bacteriana (en español). Último acceso 1 de mayo de 2008.
- ↑ a b FERRARI C, Ana María, PIREZ G, M. Catalina, MARTINEZ A, Adriana et al. «Etiología de la neumonía bacteriana adquirida en la comunidad en niños hospitalizados: Uruguay 1998-2004.» Rev. chil. infectol. [online]. feb. 2007, vol.24, no.1 [citado 01 mayo de 2008], pp. 40-47. Disponible en la World Wide Web: [1]. ISSN 0716-1018.
- ↑ Klein, E., Smith, D. L., Laxminarayan, R. (2007). «Hospitalizations and Deaths Caused by Methicillin-Resistant Staphylococcus aureus, United States, 1999–2005». Emerg Infect Dis 13 (12): 1840-6.
- ↑ a b c Vidya R Devarajan (enero de 2007). «Haemophilus Influenzae Infections» (en inglés). Consultado el 1 de mayo de 2008.
- ↑ a b c Wen-Chien Ko y col. «Community-Acquired Klebsiella pneumoniae Bacteremia: Global Differences in Clinical Patterns» (en inglés). Emerging Infectious Diseases Journal Vol. 8, No. 2; febrero de 2002. Consultado el 1 de mayo de 2008.
- ↑ a b c Eleftherios Mylonakis; Chi Hiong U Go (octubre de 2007). «Escherichia Coli Infections» (en inglés). eMedicine.com. Consultado el 1 de mayo de 2008.
- ↑ Metlay, J. P., Kapoor, W. N., Fine, M. J. «Does this patient have community-acquired pneumonia? Diagnosing pneumonia by history and physical examination.» JAMA 1997; 278:1440. PMID 9356004
- ↑ Syrjala, H., Broas, M., Suramo, I., et al. «High resolution computed tomography for the diagnosis of community-acquired pneumonia.» Clin Infect Dis 1998; 27:358-363 PMID 9709887
- ↑ SINISALO J., et al. «The effect of prolonged doxycycline therapy on Chlamydia pneumoniae serological markers, coronary heart disease risk factors and forearm basal nitric oxide production» Archivado el 10 de febrero de 2015 en Wayback Machine. (en inglés). Journal of antimicrobial chemotherapy. 1998, vol. 41, no1, pp. 85-92 (44 ref.). ISSN 0305-7453. Consultado el 1 de mayo de 2008.
- ↑ por MedlinePlus (agosto de 2006). «Toracocentesis». Enciclopedia médica en español. Consultado el 1 de mayo de 2008.
- ↑ por MedlinePlus (marzo de 2007). «Neumonía por aspiración». Enciclopedia médica en español. Consultado el 1 de mayo de 2008. «La neumonía por aspiración es causada por la inhalación de material extraño (generalmente alimentos, líquidos, vómito o secreciones de la boca) dentro de los pulmones. Esto puede llevar a una reacción inflamatoria, una infección pulmonar (neumonía) o una acumulación de pus en los pulmones (absceso pulmonar).»
- ↑ Centros para el Control y la Prevención de Enfermedades de los Estados Unidos (2007). Calendario de vacunación recomendado para personas de 0-6 años de edad (en español). Consultado el 9 de abril de 2008.