Neumotórax catamenial
| Neumotórax catamenial | ||
|---|---|---|
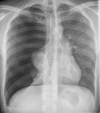
![]() Radiografía de un neumotórax. La amplia mayoría de los neumotórax catameniales ocurren en el lado derecho, al igual que en este caso. | ||
| Especialidad | neumología | |
| Síntomas | dolor en el pecho | |
| Factores de riesgo | Defectos diafragmáticos congénitos o adquiridos que permiten la entrada de tejido endometrial en el espacio pleura | |
| Tratamiento |
Quirúrgico: procedimiento VATS para extirpar tejido endometrial ectópico | |
El neumotórax catamenial es un neumotórax espontáneo que recurre durante la menstruación, dentro de las 72 horas anteriores o posteriores al inicio de un ciclo. Es una de las manifestaciones clínicas de la endometriosis torácica. Se caracteriza por producirse, a las pocas horas o días de comenzar la menstruación, un neumotórax —acumulación de aire entre el pulmón y la serosa que lo rodea, la pleura—.[2] Aunque se asocia con la presencia de tejido endometrial en el tórax, no es un hallazgo histológico constante en las personas afectadas. Según la fuente, entre un 87.5 % y un 100 % de los casos ocurren en el pulmón derecho.[2] El tratamiento consiste en suprimir la secreción de estrógenos por parte del ovario, por ejemplo con anticonceptivos orales, o en cirugía de tórax.[3]
Fue descrito por primera vez en 1958, cuando una mujer presentó 12 episodios de neumotórax en el lado derecho durante un año, recurriendo mensualmente con la menstruación. La toracotomía reveló endometriosis torácica. Muchas pacientes se presentan con dolor torácico cercano a su período menstrual. La exploración quirúrgica puede ser utilizada para intentar visualizar el problema y la pleurodesis mecánica o la terapia hormonal también puede ser empleada. A veces, una segunda intervención quirúrgica puede mostrar fenestraciones en el diafragma. Debido a que la endometriosis se ha atribuido a la menstruación retrógrada, hasta el 90% de las mujeres afectadas pueden presentar una deficiencia inmunológica, lo que impide la eliminación de las células endometriales del peritoneo.[3][4]
La endometriosis se define como tejido similar al endometrial que se ha implantado fuera del útero. Los mecanismos incluyen la menstruación retrógrada que resulta en la propagación abdomino-pélvica, la propagación y el depósito hemático o linfática, y la metaplasia.
La endometriosis torácica es el sitio no abdominal más frecuenté de la afectación y también es el riesgo principal para el neumotórax catamenial. El neumotórax catamenial es la forma de presentación clínica más común de la endometriosis torácica y se caracteriza por episodios recurrentes de colapso pulmonar dentro de las 72 horas antes o después de la menstruación.
Signos y síntomas
Los síntomas incluyen dolor torácico o en los hombros, tos y la falta de aliento. El dolor torácico y de hombros puede irradiarse hacia los omóplatos. También puede presentarse una tos seca con un sonido crepitante al inhalar. Suele darse en mujeres de 30 a 40 años, pero se ha diagnosticado en niñas de tan sólo 10 años y en mujeres posmenopáusicas (exclusivamente en mujeres de edad menstrual), la mayoría con antecedentes de endometriosis pélvica.[cita requerida]
El dolor torácico requiere atención médica inmediata.
Fisiopatología
Aunque no desconoce la causa exacta, existen algunas teorías sobre las posibilidades metastásicas, hormonales y anatómicas. El modelo metastásico propone que el tejido endometrial ha migrado desde el endometrio hacia el diafragma o el espacio pleural causando pequeños orificios en el diafragma, lo que permite la entrada de aire al espacio pleural. En el modelo hormonal, se cree que la prostaglandina F2 provoca un estrechamiento de los bronquiolos, los pequeños tubos dentro de los pulmones. El estrechamiento de estos puede causar la ruptura de los alvéolos, lo que puede atrapar aire en el espacio pleural. En el modelo anatómico, los investigadores creen que la ausencia del tapón mucoso cervical, que normalmente está presente durante el ciclo menstrual, permite que el aire pase del tracto genital al espacio pleural a través de fenestraciones en el diafragma. Otra teoría es que los cambios hormonales que acompañan al ciclo menstrual pueden causar la ruptura espontánea de las ampollas pulmonares. Las ampollas son pequeñas vesículas/pústulas llenas de aire o líquido que pueden desarrollarse en los pulmones.[cita requerida]
El tejido endometrial se adhiere dentro de la cavidad torácica, formando quistes de aspecto similar al chocolate. Por lo general afecta la pleura parietal, pero también puede afectar el pulmón, la capa visceral, el diafragma y, con menos frecuencia, el árbol traqueobronquial también puede verse afectado. El mecanismo a través del cual el tejido endometrial llega al tórax sigue sin estar claro.
Casi el 90% de los casos ocurren en el hemitórax derecho, un fenómeno que se cree que podría deberse a la dirección del flujo del líquido retroperitoneal. El flujo peritoneal sigue un patrón en sentido horario, lo que probablemente podría explicar la tendencia de los neumotórax catameniales a ser del lado derecho. Los defectos en el diafragma que se encuentran con frecuencia en los individuos afectados podrían proporcionar una vía de entrada, al igual que la micro embolización a través de las venas pélvicas. Tales defectos diafragmáticos pueden ser congénitos o adquiridos.[cita requerida]
Los quistes pueden secretar sangre, así el quiste endometrial "menstrúa" en el pulmón. Las células endometriales se alteran estructuralmente durante la fase secretora del ciclo menstrual, en un proceso conocido como decidualización. Los implantes decidualizados pleurales pueden alterar la pleura y provocar neumotórax endometriales y hemotórax.[cita requerida]
Diagnóstico
El diagnóstico puede insinuarse por las altas tasas de recurrencia del colapso pulmonar en una mujer de edad reproductiva con endometriosis y con el marcador CA-125 (antígeno del cáncer 125) elevado. El diagnóstico clínico puede basarse en antecedentes médicos y el diagnóstico por imagen, mientras que el estándar más utilizado para el diagnóstico definitivo sigue siendo la cirugía toracoscópica asistida por vídeo, o VATS (por sus siglas en ingles), que no solo permite la visualización de la lesión, sino también el tratamiento quirúrgico mediante cauterización del tejido endometrial ectópico. La tinción especial al microscopio o la utilización de un marcador celular, como el PAX8, pueden utilizarse para identificar positivamente el estroma endometrial.[cita requerida]
Clasificación
El neumotórax catamenial es la forma más común del síndrome de endometriosis torácica, que también incluye hemotórax catamenial, hemoptisis catamenial y nódulos pulmonares de endometriosis, así como algunas otras presentaciones excepcionales.
Tratamiento
Se han propuesto los tratamientos quirúrgicos, hormonales y enfoques combinados, con resultados variables a corto y largo plazo. Ambos han sido efectivos, por separado y conjuntamente. También, ambos se han utilizado para tratar a mujeres con esta afección, y los detalles específicos dependen de cada paciente y de cada situación. La cirugía puede utilizarse para extraer tejido endometrial de los pulmones y el espacio pleural, así como para reparar daños y orificios en el diafragma. Además, puede recurrirse a la cirugía para extirpar ampollas pulmonares. Un procedimiento adicional consiste en colocar una malla sobre el diafragma para taponar los orificios que puedan haberse pasado por alto en la primera intervención. Adicionalmente, pueden utilizarse terapias hormonales para suprimir la ovulación. La extirpación quirúrgica del tejido endometrial debe procurarse durante la menstruación para una visualización óptima. La pleurodesis también puede ser eficaz para eliminar el espacio entre el pulmón y la pared torácica, evitando la acumulación de aire entre estas capas.[cita requerida]
El tratamiento no quirúrgico incluye tratamiento farmacológico mediante terapia anticonceptiva oral continua para evitar las hemorragias cíclicas con la menstruación mensual. Los anticonceptivos orales parecen ser preferibles para las pacientes debido a que tienen menos efectos secundarios negativos que el tratamiento con agonistas de la GnRH que pueden provocar efectos hipo estrogénicos, como la osteoporosis, lo que lleva a la suspensión del tratamiento y, por lo tanto, a una mayor probabilidad de recurrencia del neumotórax catamenial.[cita requerida]
Epidemiologia
Algunas fuentes afirman que esta entidad representa entre el 3 y el 6% de los neumotórax en mujeres. Dada a la baja incidencia de neumotórax espontáneo primario (es decir, no debido a traumatismo quirúrgico, etc.) en mujeres, alrededor de 1/100,000/ por cada año, esta es una condición muy rara. Por lo tanto, muchos libros de textos no la mencionan y muchos médicos nunca han oído hablar de ella. Por lo tanto, el neumotórax catamenial probablemente está infradiagnosticado.
Referencias
- ↑ Sencen, Lisa. «Catamenial Pneumothorax». NORD (National Organization for Rare Disorders) (en inglés estadounidense). Consultado el 27 de julio de 2022.
- ↑ a b Visouli, Aikaterini N.; Zarogoulidis, Konstantinos; Kougioumtzi, Ioanna; Huang, Haidong; Li, Qiang; Dryllis, Georgios; Kioumis, Ioannis; Pitsiou, Georgia; Machairiotis, Nikolaos; Katsikogiannis, Nikolaos; Papaiwannou, Antonis; Lampaki, Sofia; Zaric, Bojan; Branislav, Perin; Porpodis, Konstantinos; Zarogoulidis, Paul (octubre de 2014). «Catamenial pneumothorax». Journal of Thoracic Disease (en inglés) 6 (4): S448-S460. PMC 4203986. PMID 25337402. doi:10.3978/j.issn.2072-1439.2014.08.49. Consultado el 6 de marzo de 2022.
- ↑ a b Azizad-Pinto, Parisa (2014). «Thoracic Endometriosis Syndrome: Case Report and Review of the Literature». The Permanente Journal (en inglés) 18 (3): 61-65. PMC 4116267. PMID 25102519. doi:10.7812/TPP/13-154. Consultado el 6 de marzo de 2022.
- ↑ «Neumotorax catamenial». rarediseases.info.nih.gov. Consultado el 7 de diciembre de 2022.
Enlaces externos
- Esta obra contiene una traducción incompleta derivada de «Catamenial_pneumothorax » de Wikipedia en inglés, concretamente de esta versión, publicada por sus editores bajo la Licencia de documentación libre de GNU y la Licencia Creative Commons Atribución-CompartirIgual 4.0 Internacional.
