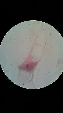
Neurita
Una neurita[1] o proceso neuronal se refiere a cualquier proyección del soma de una neurona, ya sea una dendrita o un axón. El término se usa con frecuencia al hablar de células nerviosas inmaduras o en desarrollo, en especial en cultivo celular, fase en la que es difícil distinguir el carácter de dendrita o axón antes de que la diferenciación se haya completado.[2]

Desarrollo
El desarrollo de una neurita requiere una interacción compleja de las señales extracelulares e intracelulares. En cada punto dado a lo largo de una neurita en desarrollo, hay receptores que detectan señales de crecimiento positivas y negativas desde todas las direcciones en el espacio circundante.[3] La neurita en desarrollo suma todas estas señales de crecimiento para determinar en qué dirección crecerá en última instancia.[3] Si bien no se conocen todas las señales de crecimiento, se han identificado y caracterizado varias. Entre las señales de crecimiento extracelular conocidas se encuentran la netrina, un quimiotropismo de línea media, y la semaforina, la efrina y la colapsina, todos inhibidores del crecimiento de neuritas.[3][4][5]
Las neuritas jóvenes a menudo están llenas de haces de microtúbulos, cuyo crecimiento es estimulado por factores neurotróficos, como el factor de crecimiento nervioso (FCN).[6] Las proteínas Tau pueden ayudar en la estabilización de los microtúbulos al unirse a ellos, protegiéndolos de las proteínas servidoras.[7] Incluso después de que los microtúbulos se hayan estabilizado, el citoesqueleto de la neurona permanece dinámico. Los filamentos de actina conservan sus propiedades dinámicas en la neurita que se convertirá en axón para empujar los haces de microtúbulos fuera de este para extenderlo.[8] Sin embargo, en todas las otras neuritas, los filamentos de actina son estabilizados por la miosina.[9] Esto evita el desarrollo de múltiples neuritas.
La molécula de adhesión de células neuronales (N-CAM) se combina simultáneamente con otra N-CAM y un receptor del factor de crecimiento fibroblástico para estimular la actividad de la tirosina quinasa de ese receptor para inducir el crecimiento de neuritas.[10]
Referencias
- ↑ «Neurita». Descriptores en Ciencias de la Salud. Biblioteca Virtual en Salud. OMS,OPS,BIREME.
- ↑ Flynn, Kevin C (1 de enero de 2013). «The cytoskeleton and neurite initiation». Bioarchitecture 3 (4): 86-109. ISSN 1949-0992. PMC 4201609. PMID 24002528. doi:10.4161/bioa.26259. Consultado el 30 de enero de 2020.
- ↑ a b c Valtorta, F.; Leoni, C. (28 de febrero de 1999). «Molecular mechanisms of neurite extension». Philosophical Transactions of the Royal Society of London. Series B, Biological Sciences 354 (1381): 387-394. ISSN 0962-8436. PMC 1692490. PMID 10212488. doi:10.1098/rstb.1999.0391. Consultado el 30 de enero de 2020.
- ↑ Niclou, Simone P.; Franssen, Elske H. P.; Ehlert, Erich M. E.; Taniguchi, Masahiko; Verhaagen, Joost (1 de diciembre de 2003). «Meningeal cell-derived semaphorin 3A inhibits neurite outgrowth». Molecular and Cellular Neurosciences 24 (4): 902-912. ISSN 1044-7431. PMID 14697657. doi:10.1016/s1044-7431(03)00243-4.
- ↑ Luo, Y.; Raible, D.; Raper, J. A. (22 de octubre de 1993). «Collapsin: a protein in brain that induces the collapse and paralysis of neuronal growth cones». Cell 75 (2): 217-227. ISSN 0092-8674. PMID 8402908. doi:10.1016/0092-8674(93)80064-l.
- ↑ Bear, Mark F; Connors, Barry W.; Paradiso, Michael A. (2006). «Neurogenesis in the Adult Neocortex». En Lippincott Williams & Wilkins, ed. Neuroscience, Exploring the brain (en inglés) (3ª edición). Philadelphia. pp. 693-. ISBN 0-7817-6003-8. Consultado el 30 de enero de 2020.
- ↑ Takano, Tetsuya; Xu, Chundi; Funahashi, Yasuhiro; Namba, Takashi; Kaibuchi, Kozo (15 de junio de 2015). «Neuronal polarization». Development (en inglés) 142 (12): 2088-2093. ISSN 0950-1991. PMID 26081570. doi:10.1242/dev.114454.
- ↑ Xiao, Yangui; Peng, Yinghui; Wan, Jun; Tang, Genyun; Chen, Yuewen; Tang, Jing; Ye, Wen-Cai; Ip, Nancy Y. et al. (5 de julio de 2013). «The Atypical Guanine Nucleotide Exchange Factor Dock4 Regulates Neurite Differentiation through Modulation of Rac1 GTPase and Actin Dynamics». Journal of Biological Chemistry 288 (27): 20034-20045. ISSN 0021-9258. PMC 3707701. PMID 23720743. doi:10.1074/jbc.M113.458612. Consultado el 30 de enero de 2020.
- ↑ Toriyama, Michinori; Kozawa, Satoshi; Sakumura, Yuichi; Inagaki, Naoyuki (18 de marzo de 2013). «Conversion of a signal into forces for axon outgrowth through Pak1-mediated shootin1 phosphorylation». Current Biology 23 (6): 529-534. ISSN 1879-0445. PMID 23453953. doi:10.1016/j.cub.2013.02.017.
- ↑ Berezin, Vladimir (17 de diciembre de 2009). Structure and Function of the Neural Cell Adhesion Molecule NCAM. Springer Science & Business Media. ISBN 978-1-4419-1170-4. Consultado el 30 de enero de 2020.