Osificación intramembranosa
Osificación intramembranosa[1] es uno de los dos procesos esenciales durante el desarrollo fetal del esqueleto de mamíferos para formar tejido óseo, y en particular huesos planos.[2] A diferencia de la osificación endocondral, que es el otro proceso, el cartílago no está presente durante la osificación intramembranosa, sino que ocurre dentro de una membrana de tejido conjuntivo.[2]
También es un proceso esencial durante la curación natural de las fracturas óseas[3] y la formación rudimentaria de huesos de la cabeza humana.[4]
Creación de tejido óseo

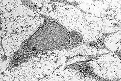
Las células madre mesenquimales, o CMM, en el mesénquima humano o en la cavidad medular de una fractura ósea inicia el proceso de osificación intramembranosa. Una CMM es una célula no especializada cuya morfología sufre cambios característicos y se desarrolla en un osteoblasto. Antes de que comience a desarrollarse, las características morfológicas de una CMM son: una célula, con unos procesos celulares largos y delgados, núcleo grande, redondo con un prominente nucléolo que está rodeado por partículas de cromatina finamente dispersas dando al núcleo un aspecto claro, una pequeña cantidad de aparato de Golgi, retículo endoplasmático rugoso, mitocondrias y polirribosomas. Las células están muy dispersas dentro de una matriz extracelular desprovista de todo tipo de colágeno, excepto por unas pocas fibrillas.[3]

A continuación, un pequeño grupo de CMM adyacentes comienzan a replicarse hasta que han formado una agregación de células pequeñas y densas, llamado nódulo. Una vez que un nódulo se ha formado dentro de ella la MSC detiene la replicación. En este punto, se producen cambios en la morfología de las CMMs: el cuerpo de la célula se vuelve más grande y más redondo, los procesos celulares ya no están presentes, y la cantidad de aparato de Golgi y retículo endoplásmico en bruto aumenta. Eventualmente, todas las células mostrarán las características morfológicas de una célula osteoprogenitora.[3]

En esta etapa de desarrollo, se producen más cambios en la morfología de las células osteoprogenitoras: su forma se vuelve más columnar; la cantidad de aparato de Golgi y retículo endoplásmico en bruto aumenta, y las células comienzan a crear una matriz extracelular que consiste de fibrillas de colágeno tipo I. Esta matriz es osteoide y las células que lo crearon son osteoblastos. Mientras que los osteoblastos recubren la periferia del nódulo, siguen formando osteoide en su centro y algunos de ellos se incorporan dentro de ella para convertirse en osteocitos.[3]

En este punto, el osteoide se mineraliza resultando en un nido formado por osteoide mineralizado que contiene osteocitos y está bordeada por los osteoblastos activos. El nido, que comenzó como un conjunto difuso de CMM, se ha convertido en tejido óseo rudimentario.[3]
Revisión General
El primer paso en el proceso es la formación de espículas óseas que finalmente se fusionan con las demás y se convierten en trabéculas. Se forma el periostio y continúa el crecimiento del hueso en la superficie de las trabéculas. Al igual que las espículas, el crecimiento cada vez mayor de trabéculas resulta en la interconexión y formación de una red llamada tejido óseo. Finalmente, el tejido óseo es reemplazado por hueso laminar.
Descripción general del proceso
- Las células mesenquimales en la membrana se convierten en células progenitoras osteocondrales, especializadas para convertirse en osteoblastos.
- Los osteoblastos producen la matriz ósea y las fibras de colágeno que la rodean y se convierten en osteocitos.
- Como resultado del proceso se desarrollan las trabéculas.
- Los osteoblastos atraparán las trabéculas óseas para producir hueso.
- Las trabéculas se unirán para producir células esponjosas.
- Las células en las células esponjosas se especializarán en producir la médula ósea roja.
- Las células que rodean los huesos en desarrollo producen periostio.
- A partir del periostio los osteoblastos en la matriz ósea producen hueso compacto.
Formación de espículas óseas
Las (CMM) se condensan en las capas de tejido conjuntivo primitivo vascularizado. Ciertos grupos de células mesenquimales juntas, por lo general cerca o alrededor de los vasos sanguíneos, se diferencian en células osteogénicas que segregan matriz ósea constitutivamente. Los agregados de la matriz ósea se denominan espículas óseas. Las células mesenquimales se diferencian en osteoblastos, que se alinean a lo largo de la superficie de la espícula y secretan más osteoide, lo que aumenta el tamaño de la espícula.
Formación de tejido óseo
Como las espículas siguen creciendo, se fusionan con espículas adyacentes y esto da lugar a la formación de trabéculas. Cuando los osteoblastos quedan atrapados en la matriz que segregan, se diferencian en osteocitos. Los osteoblastos siguen segregando en la superficie, que aumenta el tamaño. Dado que el crecimiento continúa, las trabéculas se conecten entre sí y se forma el tejido óseo. La expresión esponjosa primaria se utiliza también para referirse a la red trabecular inicial.
Centro primario de osificación
El periostio se forma alrededor de las trabéculas de diferenciación de las células mesenquimales. El centro primario de osificación es el área entre el periostio y el hueso donde se produce el crecimiento del hueso. Las células osteogénicas que se originan en el periostio aumentan el crecimiento en aposición y se forma un collar de hueso. Con el tiempo el collar es mineralizado y se forma hueso laminar.
Formación de osteonas

Las osteonas son las unidades o estructuras principales del hueso compacto. Durante la formación de espículas óseas, los citoplasmas de los osteoblastos se interconectan, convirtiéndose en los canalículos de las osteonas. Como las espículas óseas tienden a formarse alrededor de los vasos sanguíneos, el espacio perivascular se reduce drásticamente, ya que el hueso sigue creciendo. Cuando se produce el reemplazo de hueso compacto, este vaso sanguíneo se convierte en el canal central de las osteonas.
Véase también
Referencias
- ↑ Literalmente significa formación de hueso en la membrana.
- ↑ a b Osificación intramembranosa
- ↑ a b c d e Brighton, Carl T. and Robert M. Hunt (1991), "Primeros cambios histológicos y ultraestructurales de callos de fractura medular", Journal of Bone and Joint Surgery, 73-A (6): 832-847
- ↑ Netter, Frank H. (1987), Sistema musculoesquelético: anatomía, fisiología, y los trastornos del metabolismo. Summit, New Jersey: Ciba-Geigy Corporation ISBN 0-914168-88-6, p.129