Ovogonia
La ovogonia también oogonia[1] es la célula germinal femenina que representa el primer estado evolutivo de las células sexuales femeninas y que generará al ovocito, el que a su vez se desarrollará en óvulo.
%252C_surface_red_(MVH)%252C_nuclei_blue_(DAPI)._Mouse_XX_gonad_at_E12.5._Diametro_300%C2%B5m.png)
Durante la embriogénesis y después de ella, entre las semanas 5 y 30 de la gestación, las ovogonias se diferencian dando origen a los ovocitos, que son los gametocitos femeninos.
Las ovogonias se forman en gran número mediante mitosis una vez que las células germinales primordiales (CGP) llegan al ovario, proceso que sucede en el embrión entre la cuarta y la octava semana.
Durante la semana sexta de desarrollo embrionario, las ovogonias migran desde el saco vitelino a la cresta gonadal y es cuando algunas de ellas empiezan a convertirse en ovocitos primarios.
El número de células germinales primordiales es relativamente pequeño y proliferan durante su migración, alcanzando un número final de 2.500 a 5.000 ovogonias en la gónada embrionaria.[2]
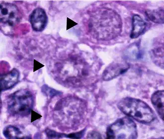
Morfología
.png)
Las ovogonias normales en los ovarios humanos son de forma esférica u ovoide y se encuentran entre células somáticas vecinas y ovocitos en diferentes fases de desarrollo. Las ovogonias se distinguen de las células somáticas vecinas, bajo el ME, mediante observación de sus núcleos.
Núcleo
El núcleo de la ovogonia contiene material fibrilar y granular disperso, mientras que las células somáticas tienen un núcleo más condensado, que crea una línea externa más oscura bajo el microscopio. El núcleo ovogonial también contiene nucléolos densos y prominentes. El material cromosómico en el núcleo de las ovogonias que están dividiéndose por mitosis, se muestra como una masa densa rodeada por vesículas o membranas dobles.[3]
- Las ovogonias se caracterizan por diploidía y proliferación mitótica. En el humano, casi todas las ovogonias entran en meiosis entre las 9 y 22 semanas de desarrollo prenatal, o bien bajo detención mitótica y son eliminadas del ovario. Como consecuencia, los ovarios neonatales humanos generalmente carecen de ovogonias.[4]
Citoplasma
El citoplasma de las ovogonias es similar al de las células somáticas que las rodean, y contiene grandes mitocondrias redondeadas con cresta lateral. El retículo endoplásmico ER de las ovogonias, está muy subdesarrollado y se compone de numerosas vesículas pequeñas. Algunas de ellas contienen cisternas con ribosomas y se hallan cerca del aparato de Golgi.
Las ovogonias se transforman en ovocitos primarios; éstos inician la meiosis y quedan detenidos en el estado de diploteno de la Profase I en un proceso de diferenciación, que se completa antes del nacimiento.
Los ovocitos primarios permanecen en el ovario desde la semana 10 de vida intrauterina hasta aproximadamente los 50 años de vida de la mujer.
Véase también
Referencias
- ↑ OMS,OPS (ed.). «Oogonias». Descriptores en Ciencias de la Salud, Biblioteca Virtual de Salud.
- ↑ Velázquez, J.A.; Mendieta, E. (2004). «Desarrollo folicular». Encuentros en la biología (Depto. Biología Molecular y Biquímica, Facultad de Ciencias, Universidad de Málaga) (98): 4-7.
- ↑ Baker, T.G.; L. L. Franchi (1967). «The Fine Structures of Oogonia Oocytes in Human Ovaries». Journal of Cell Science 2 (2): 213-224. PMID 4933750. Consultado el 6 de abril de 2012.
- ↑ Fereydouni, B.; Drummer, C.; Aeckerle, N.; Schlatt, S.; Behr, R. (2014). «The neonatal marmoset monkey ovary is very primitive exhibiting many oogonia». Reproduction 148 (2): 237-247.
Enlaces externos
Universidad de Málaga. Revista Encuentros en la biología contiene material sobre Desarrollo folicular. Archivado el 23 de octubre de 2016 en Wayback Machine.