Panencefalitis esclerosante subaguda
| Panencefalitis esclerosante subaguda | ||
|---|---|---|
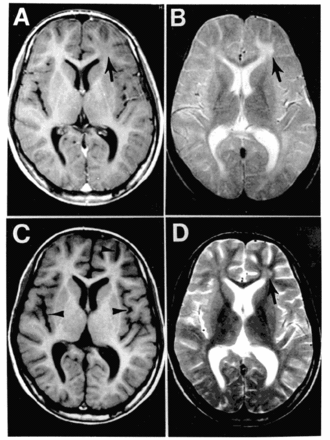
![]() Imágenes de resonancia magnética del cerebro en el momento de la presentación en la consulta de neurología (A y B) y 3 meses después (C y D). Los paneles A y C son imágenes ponderadas en T1; B y D son imágenes ponderadas en T2. La resonancia magnética inicial (A y B) revela una anomalía focal en la sustancia blanca subcortical del lóbulo frontal izquierdo, que consiste en una señal hipointensa en la imagen ponderada en T1 (flecha en A) y una señal hiperintensa en la imagen ponderada en T2 (flecha en B). En la gammagrafía de seguimiento, la anomalía focal en el lóbulo frontal izquierdo es menos evidente que antes (flecha en D), pero está presente una atrofia cortical avanzada y difusa, representada por ventriculomegalia y surcos marcadamente agrandados (puntas de flecha en C). | ||
| Especialidad | infectología | |
| Síntomas | Cambios de comportamiento, convulsiones , espasticidad , falta de coordinación , coma | |
Panencefalitis esclerosante subaguda es una enfermedad crónica, progresiva y rara que afecta niños y adultos jóvenes. Está causada por el virus de sarampión. Se caracteriza por una historia de sarampión primario seguida por algunos años sin síntomas, tras los cuales se inicia un deterioro lento y progresivo psiconeurológico que consiste en cambios de personalidad, ataques repentinos, mioclonos, ataxia, fotosensibilidad, anormalidades oculares, espasticidad y coma.[1]
Está causada por una mutación en la proteína M, interviniente en el proceso de brotación, por lo que se acumulan nucleocapsides en el tejido neural. El tratamiento recomendado es la administración de interferón y antivirales.[2]
No existe cura para esta enfermedad. Las personas afectadas por esta enfermedad mueren habitualmente entre 1 y 3 años tras ser diagnosticadas.
Referencias
- ↑ «Panencefalitis esclerosante subaguda: la inmunización contra el sarampión previene más casos de esta enfermedad mortal de lo que se había reconocido anteriormente». academic.oup.com. Consultado el 21 de noviembre de 2022.
- ↑ Maravillas Izquierdo Martínez, Alfredo Avellaneda Fernández: Enfermedades raras, un enfoque práctico. Archivado el 21 de diciembre de 2009 en Wayback Machine. Ministerio de Sanidad y Consumo, España, Instituto de Salud Carlos III, Instituto de Investigación de Enfermedades Raras, ISBN 84-3546321-0, 1ª edición, mayo 2004. Consultado el 1 de junio de 2012.
