Parálisis supranuclear progresiva
| Parálisis supranuclear progresiva | ||
|---|---|---|
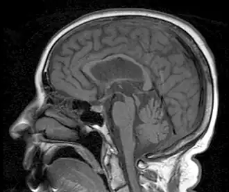
![]() Resonancia magnética que muestra el signo del colibrí de la parálisis supranuclear debido a la atrofia del mesencéfalo | ||
| Especialidad | neurología | |
| Síntomas | Alteración del equilibrio, movimientos lentos , dificultad para mover los ojos , demencia. | |
| Diagnóstico diferencial | Enfermedad de Parkinson, degeneración corticobasal, FTDP-17, enfermedad de Alzheimer | |
| Sinónimos | ||
| ||
La parálisis supranuclear progresiva (PSP) o síndrome Steele-Richardson-Olszewsky (en honor a los médicos canadienses que la describieron por primera vez, en 1963[1][2]) es una enfermedad rara, degenerativa que involucra el deterioro y la muerte gradual de áreas selectas del cerebro. Su rango de afección entre sexos es casi el mismo, y no distingue origen étnico, región geográfica, posición social ni ocupación. Tiene una prevalencia de aproximadamente 6 de cada 100.000 habitantes, con tasas de incidencia anual de 1,1/100 000, aumentando con la edad.[3] En el caso específico de Europa, se estima una incidencia anual de 5,3/100 000.[4]
Epidemiología
La prevalencia estimada de la parálisis supranuclear progresiva (PSP) oscila entre 1/13 000 y 34 000. Afecta principalmente a adultos mayores de 50 años.[5]
Sintomatología
En dos de cada tres casos el síntoma inicial consiste en la pérdida en la capacidad de mantener el equilibrio y las caídas frecuentes. Otros síntomas comunes son cambios en la personalidad, movimientos generalmente lentos, y dificultad para ver.
Los síntomas finales son: demencia (pérdida de inhibición, y capacidad para procesar información), habla dificultosa, dificultad para deglutir, y dificultad para mover los ojos —particularmente de arriba hacia abajo.
Otros signos son: control pobre de los párpados, contractura de los músculos faciales, un movimiento de la cabeza dirigido hacia atrás rigidiza los músculos del cuello, interrupción del sueño, incontinencia urinaria y constipación.
Los síntomas visuales son importantes para la elaboración del diagnóstico de esta enfermedad. Notablemente la oftalmoplejía en cuanto a los movimientos voluntarios y los movimientos involuntarios como los descritos en el fenómeno Bell, pueden estar cerca de lo normal. En una inspección cercana a los movimientos de los ojos llamados "oscilaciones rítmicas cuadradas" puede ser visible cuando el paciente fija la mirada a un objeto ubicado a cierta distancia. Estos movimientos finos, son similares al nistagmo, con la excepción de que no son de naturaleza rítmica. Se tiene también dificultad al tratar de lograr la convergencia de los ojos al enfocar un objeto cercano, como en el caso de la lectura de una página de un libro, los ojos tienen dificultad para acercarse entre ellos por lo que generalmente los pacientes presentan visión doble al leer (diplopía).
Manifestaciones cardinales
- Caídas frecuentes
- Comportamiento y conocimiento dispar
- Distonía en el cuello
- Falta de equilibrio y dificultad al caminar
- Oftalmoplejía supranuclear
- Parálisis pseudobulbar
- Parkinsonismo
Pronóstico
No existe tratamiento efectivo contra este padecimiento, aunque algunos de los síntomas pueden responder a medidas no específicas. La edad promedio para su aparición es de los 63 años de edad en adelante, la tasa de supervivencia es de aproximadamente siete años a partir de su diagnóstico.
Diagnóstico diferencial
La PSP suele confundirse, en su diagnóstico, con la enfermedad de Parkinson, debido a la lentitud y dificultad de movimientos del paciente, o con el mal de Alzheimer, en razón los cambios en el comportamiento. Por tanto, es una de las enfermedades referidas colectivamente como Síndrome de Parkinson plus.[cita requerida]
Fisiopatología
Las células del cerebro afectadas son: las neuronas y las células gliales. Las neuronas exhiben nódulos neurofibrilares, que son grupos de proteínas Tau, que forma parte del esqueleto interno de las células cerebrales.[cita requerida]
Zonas cerebrales afectadas
Las principales áreas del cerebro afectadas son:
- los ganglios basales; particularmente, el núcleo subtalámico, la sustancia negra y el globo pálido;
- el tronco del encéfalo, en especial, la porción del cerebro medio en donde reside el movimiento supranuclear de los ojos;
- la corteza cerebral; en especial, la del lóbulo frontal;
- el núcleo dentado del cerebelo;
- los núcleos intralaminares del tálamo cerebral,[6]
- la médula espinal, en particular en donde reside el control de la vesícula biliar y del abdomen.
Genética
Menos del 1% de quienes padecen PSP tienen un miembro en la familia que ha padecido la misma enfermedad. Una variante del gen para la proteína tau, denominada haplotipo H1, localizado en el cromosoma 17, se ha vinculado con la PSP.[7] Casi todas aquellas personas que tienen PSP han recibido una copia de esa variante de cada padre, pero esto es así en poco menos de dos tercios de la población general. Debido a ello, parece que el haplotipo H1 es necesario pero no suficiente para provocar la PSP. Se están investigando otros genes y las toxinas en el ambiente como posibles factores que podrían ocasionar PSP.[8]
Casos históricos
- El actor Dudley Moore, quien sufrió de parálisis supranuclear progresiva, propició que la atención mundial se incrementara sobre esta rara enfermedad. Murió el 17 de marzo del 2002, a causa de sus complicaciones.[cita requerida]
- La cantante de música vernácula mexicana Amalia Mendoza falleció a los 77 años por la parálisis supranuclear progresiva que le provocó un paro respiratorio, ya que murieron el 90 por ciento de sus neuronas.[cita requerida]
- Lee Philips, actor y director de la década de 1950 que dirigió los espectáculos Peyton Place y The Ghost & Mrs. Muir, también padeció esta enfermedad.[cita requerida]
- La cantante norteamericana Teresa Brewer, que inmortalizó el tema musical Sweet Old-Fashioned Girl (Dulce chica anticuada) durante la era del rock and roll, murió a los 76 años de edad a causa de este mal, el 17 de octubre del 2007.[cita requerida]
- El cineasta Joshua Logan, célebre por cintas como Picnic y Sayonara, falleció a los 79 años a causa de esta enfermedad.[cita requerida]
- El ingeniero Ángel Muñoz Vargas, quien participó en la construcción de líneas del Sistema de Transporte Colectivo (Metro) y de plazas comerciales en la Ciudad de México, falleció el 26 de mayo de 2014.[cita requerida]
- El escritor, diplomático, traductor y académico mexicano José María Pérez Gay falleció el 26 de mayo del 2013 sin que se supiera con certeza cuál fue el diagnóstico definitivo: entre las posibles causas de sus problemas de salud, se mencionó esta enfermedad. Su hermano, Rafael Pérez Gay, describió la vida de sus últimos años, en el libro El cerebro de mi hermano.[9]
Grupos de apoyo
Numerosas organizaciones internacionales buscan atender las necesidades de los pacientes con PSP y sus familias. Al mismo tiempo, son las principales promotoras de la investigación de la parálisis supranuclear progresiva mediante financiación. Las dos asociaciones más importantes a nivel mundial son CurePSP", en Estados Unidos, y PSPA, en Reino Unido.
Referencias
- ↑ Richardson JC, Steele J, Olszewski J. Supranuclear ophthalmoplegia, pseudobulbar palsy, nuchal dystonia and dementia. A clinical report on eight cases of "heterogeneous system degeneration". Trans Am Neurol Assoc 1963;88:25-9. PMID 14272249.
- ↑ Steele JC, Richardson JC, Olszewski J. Progressive supranuclear palsy: a heterogeneous degeneration involving brain stem, basal ganglia and cerebellum with vertical gaze and pseudobulbar palsy, nuchal dystonia and dementia. Arch Neurol 1964;10:333-359. PMID 14107684.
- ↑ Agarwal, Shashank; Gilbert, Rebecca (3 de abril de 2022). «Progressive Supranuclear Palsy». StatPearls (en inglés). Consultado el 28 de julio de 2022.
- ↑ «Progressive Supranuclear Palsy Information Page». patient.info (en inglés). Consultado el 28 de julio de 2022.
- ↑ «Orphanet: Progressive supranuclear palsy». www.orpha.net (en inglés). Consultado el 7 de mayo de 2025.
- ↑ Henderson JM, Carpenter K, Cartwright H, Halliday GM (julio de 2000). «Loss of thalamic intralaminar nuclei in progressive supranuclear palsy and Parkinson's disease: clinical and therapeutic implications». Brain 123 (7): 1410-21. PMID 10869053. doi:10.1093/brain/123.7.1410.
- ↑ OMIM 601104
- ↑ OMIM 601104
- ↑ Pérez Gay, Rafael (2013). El cerebro de mi hermano. Ciudad de México: Planeta Mexicana. ISBN 978-607-1929-5.
Enlaces externos
- La sociedad para la parálisis supranuclear progresiva (CurePSP) (en inglés)
- Asociación Parálisis Supranuclear Progresiva (PSPA) (en inglés)
- Rational Therapeutic Approaches to Progressive Supranuclear Palsy (enlace roto disponible en Internet Archive; véase el historial, la primera versión y la última).
- Notas Médicas en la BBC(en inglés)
- Houston PSP Revisión en el Colegio Baylor (en inglés)
