Paraqueratosis


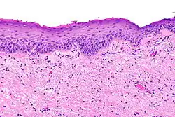
En medicina y dermatología, el término paraqueratosis se utiliza para describir una alteración en el proceso de queratinización de la piel, en la cual desaparece el estrato granuloso y los núcleos celulares son visibles en el estrato córneo. En circunstancias normales, el estrato córneo de la epidermis está formado por células planas queratinizadas y carentes de núcleo. La presencia de paraqueratosis es normal en el epitelio de la boca y otras mucosas. En la piel se observa en diferentes enfermedades, entre ellas la psoriasis. No debe confundirse con la poroqueratosis que es otro entidad dermatológica diferente.[1][2][3]
Causas
Puede deberse a varias causas, una de ellas es una reducción en el periodo del ciclo de migración en las células de la epidermis que no permite que completen el proceso de diferenciacion. Este mecanismo se produce en la psoriasis, las células migran con demasiada rapidez desde el estrato germinativo al estrato córneo, de tal forma que no pierden totalmente el núcleo.[4]
Paraqueratosis pustulosa
La paraqueratosis pustulosa es una enfermedad muy rara de causa desconocida que se presenta generalmente en la infancia y afecta a uno o dos dedos de la mano.[5]
Paraqueratosis granular
Enfermedad de causa desconocida y evolución benigna que afecta principalmente a la piel de la axila.[6]
Véase también
Referencias
- ↑ Paraqueratosis. Cínica Universitaria de Navarra. Consultado el 18 de enero de 2019
- ↑ Diccionario Enciclopédico Ilustrado de Medicina Dorland. Consultado el 18 de enero de 2019.
- ↑ Kumar, Vinay; Fausto, Nelson; Abbas, Abul (2010) Robbins & Cotran Pathologic Basis of Disease (8th ed.). Saunders. Page 1170. ISBN 978-1-4160-3121-5.
- ↑ Dermatología en medicina general. Autor: Thomas B. Fitzpatrick
- ↑ Paraqueratosis pustulosa. Pediatría Atención Primaria. Vol. 20 - Num. 79. Consultado el 19 de enero de 2019
- ↑ Paraqueratosis granular. Actas Dermo-Sifiliográficas. Vol. 98. Núm. 5, junio 2007.