Glándula paratiroides
| Glándula paratiroides | ||
|---|---|---|
![]() Vista anterior del cuello en la que se indica sombreadas en color verde las localizaciones de las glándulas paratiroides. Debe tenerse en cuenta que se sitúan en la cara posterior del tiroides. | ||
| Nombre y clasificación | ||
| Latín | [TA]: glandula parathyroidea | |
| TA | A11.4.00.001 | |
| Gray | pág.0 | |
| Información anatómica | ||
| Sistema | endocrino | |
| Arteria |
arteria tiroidea superior; arteria tiroidea inferior | |
| Vena |
vena tiroidea superior; vena tiroidea media; vena tiroidea inferior | |
| Nervio |
ganglio cervical medio; ganglio cervical inferior | |
| Precursor |
cresta neural (mesénquima); tercera y cuarta bolsa faríngea (endodermo) | |
|
| ||
Las glándulas paratiroides (de para- y tiroides)[1][2] son cuatro glándulas endocrinas situadas en el cuello, por detrás de la glándula tiroides. Cada una de ellas mide aproximadamente 5 mm de diámetro y pesa 40 mg. Producen la hormona paratiroidea o parathormona (PTH) que desempeña un importante papel en la regulación del metabolismo del calcio y el fósforo, aumentando el nivel de calcio en sangre. Por lo general existen cuatro glándulas paratiroides, dos superiores y dos inferiores. El exceso de producción de hormona paratiroidea provoca la enfermedad conocida como hiperparatiroidismo, el déficit de producción causa hipoparatiroidismo.
Anatomía

La glándula paratiroides tiene forma de lenteja, con medidas aproximadas de 5x3x3 mm y un peso de entre 30 mg y 40 mg cada una. Aunque normalmente son cuatro, un 5% de la población tiene más, a veces con localizaciones atípicas.[3] Las glándulas paratiroideas superiores se encuentran en la cara posterior del tiroides, muy próximas al punto en que se unen la arteria tiroidea inferior y el nervio laríngeo recurrente, mientras que las glándulas inferiores están algo por debajo de este punto.[4] Están irrigadas por arterias voluminosas con respecto a su tamaño, las paratiroides inferiores reciben sangre de la arteria tiroidea inferior, las paratiroides superiores reciben sangre procedente de la arteria tiroidea superior y la arteria tiroidea inferior.[5] Los vasos linfáticos drenan en los ganglios linfáticos cervicales profundos y paratraqueales. La inervación proviene de nervios del sistema nervioso simpático que proceden de los ganglios simpáticos cervicales y tienen acción vasomotora.[6]
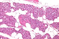
Histología

Histológicamente están rodeadas de una cápsula y contienen dos tipos de células, las células principales que son las más numerosas y producen hormona paratiroidea (PTH) y las células oxífilas, menos numerosas pero de mayor tamaño, que se distribuyen de forma irregular y no tienen vesículas secretoras a diferencia de las células principales. Existe además una cantidad variable de tejido adiposo que no tiene función endocrina directa, pero puede contribuir al soporte estructural de la glándula.[7]
Fisiología
La función de las glándulas paratiroides es mantener la homeostasis del calcio sérico. Para ello sintetizan y liberan hormona paratiroidea que es un polipéptido formado por 84 aminoácidos cuyo peso molecular es de aproximadamente 9500 Da. Está hormona es secretada por las células principales de la glándula paratiroides y actúa sobre riñón, intestino y hueso provocando aumento de los niveles de calcio en el espacio extracelular y en la sangre y disminuyendo la concentración de fosfato. Esta acción se realiza a través de varios mecanismos:
- Riñón. Reduce la excreción renal de calcio y aumenta la excreción renal de fosfato.
- Hueso. Aumenta la resorción de la matriz ósea de los huesos, mediante la producción de más osteoclastos. Los osteoclastos absorben el hueso mediante la liberación de hormonas proteolíticas liberadas por lisosomas, y la secreción de varios ácidos entre ellos el ácido cítrico y el ácido láctico. Todo ello libera calcio iónico y fosfatos hacia la sangre.
- Intestino. Facilita la absorción del calcio y fosfato por el intestino. Induce un incremento en la formación por el riñón del 1,25-dihidroxicolecalciferol (forma activa de la vitamina D, calcitriol o vitamina D3) a partir del 25-hidroxicolecalciferol (calcifediol). La vitamina D3 actúa a nivel intestinal aumentando la absorción del calcio, elevando de esta forma los niveles de calcio en sangre.
El principal regulador de la producción de parathormona es la concentración de calcio iónico en sangre. El descenso en la concentración de calcio en sangre estimula la síntesis y secreción de la hormona, el nivel sanguíneo alto de calcio en sangre inhibe la secreción. Estas acciones se realizan gracias al receptor sensor de calcio (CaSR) situado en la membrana de las células paratiroideas.[8]
Enfermedades
Hiperparatiroidismo

El exceso de producción de parathormona por las glándulas paratiroides se conoce como hiperparatiroidismo, y suele cursar con elevación de los niveles plasmáticos de calcio y fragilidad ósea, que condiciona una mayor susceptibilidad a padecer fracturas. El hiperparatiroidismo puede ser primario, secundario o terciario:[9]
- Hiperparatiroidismo primario. Se produce secreción excesiva, espontánea y autónoma de PTH causada por un trastorno de las glándulas paratiroides.[9]
- Hiperparatiroidismo secundario. Se produce secreción excesiva de PTH como respuesta a una hipocalcemia mantenida que desencadena la actividad compensadora de la glándula.[9]
- Hiperparatiroidismo terciario. Se produce secreción excesiva de PTH independientemente de la concentración de calcio en sangre, tras un hiperparatiroidismo secundario de larga evolución.[9]
Hipoparatiroidismo
La función insuficiente de las glándulas paratiroides se llama hipoparatiroidismo y es mucho menos frecuente que el hiperparatiroidismo. Provoca hipocalcemia y puede deberse a varias causas, entre ellas extirpación o lesión de las glándulas paratiroideas durante una tiroidectomía, trastornos de autoinmunidad o problemas congénitos como la ausencia de la glándula desde el nacimiento. Debe distinguirse del pseudohipoparatiroidismo que está causado por resistencia de los órganos diana a los efectos de la hormona paratiroidea y no por déficit en su producción.[10] [11]
Historia
Richard Owen realizó una de las primeras descripciones de la glándula en el año 1852, mientras practicaba la disección de un rinoceronte que había muerto en el parque zoológico de Londres. Rudolf Virchow visualizó las paratiroides humanas en el año 1860 y Sandström en 1880 realizó una descripción completa. Más tarde se comprobó que la extirpación de las glándulas causaba una importante disminución de los niveles de calcio en sangre y un cuadro de tetania. La hormona paratiroidea fue aislada en 1923 por Adolph M. Hanson y en 1925 por James B. Collip. En 1930 Fuller Albright describió la hiperplasia paratiroidea, diferenciando los cuadros de hiperparatiroidismo primario, secundario y terciario.[2]
Referencias
- ↑ Real Academia Española. «paratiroides». Diccionario de la lengua española (23.ª edición).
- ↑ a b Ortiz, Carlos (2022). «El último descubrimiento anatómico: las glándulas paratiroides o Glandulae parathyreoideae de Owen-Sandström-Gley». Cirugía y cirujanos 90 (1): 140-149. ISSN 2444-054X. Consultado el 17 de noviembre de 2022.
- ↑ Gray, Henry (1980). Williams, Peter L; Warwick, Roger, eds. Gray's Anatomy (36th edición). Churchill Livingstone. p. 1453. ISBN 0-443-01505-8.
- ↑ Cirugía endocrina. Autor:Sitges. Consultado el 14 de marzo de 2025.
- ↑ Semiología Médica Integral. Semiología básica del sistema endocrino, página 453. Consultado el 11 de marzo de 2025.
- ↑ Anatomía con orientación clínica, página 1085. Consultado el 11 de marzo de 2025.
- ↑ Netter. Histología esencial: con correlación histopatológica, pag. 248. Autores: Patrick C. Nahirney y William K. Ovalle. Consultado el 11 de marzo de 2025.
- ↑ Fisiología de las glándulas paratiroides. Disfunción y parámetros funcionales de laboratorio en paratiroides. Rev. ORL vol.11 no.3 Salamanca julio/septiembre 2020. Autor: Luis Francisco Santiago Peña. Consultado el 6 de marzo de 2025.
- ↑ a b c d Manual MSD. Fisiología del hiperparatiroidismo. Consultado el 11 de marzo de 2025.
- ↑ Manual MSD. Hipoparatiroidismo. Consultado el 11 de marzo de 2025.
- ↑ Patología estructural y funcional. Autor:Robbins y Cotran. Consultado el 11 de marzo de 2025.
Enlaces externos
- El Diccionario de la Real Academia Española tiene una definición para paratiroides.
- AdvancedParathyroid.com (minimally invasive advanced parathyroid surgery at the New York Center for Advanced Parathyroid Surgery) (en inglés)
- BucksEndocrine.com (Parathyroid surgery and minimal access parathyroid surgery by a UK surgeon] (en inglés)
- EndocrineWeb.com (en inglés)
- Parathyroid.com (Parathyroid disease and treatments discussed in layman’s terms) (en inglés)
- Pnas.org (The origin of the parathyroid gland) (en inglés)
- Parathyroid+gland en el Diccionario de eMedicine (en inglés)
