Piomiositis
| Piomiositis | ||
|---|---|---|
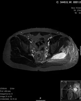
![]() Imagen por resonancia magnética (corte transversal en T2 a nivel de la pelvis) de piomiositis de los músculos glúteo mayor y medio. | ||
| Especialidad | reumatología | |
| Sinónimos | ||
| ||
La piomiositis es la infección del músculo estriado, el tipo de músculo que permite la movilidad de las extremidades.[1] Es una infección infrecuente dada la alta resistencia del músculo a ser infectado;[2] sin embargo, puede progresar hasta estadios que pongan en riesgo la vida.[3] Se produce generalmente por bacterias, en especial por el Staphylococcus aureus.[1][2]
Historia natural
La historia natural de la piomiositis fue descrita por Chiedozi en 1979 quien reportó una cohorte de 205 casos en 112 pacientes.[3] En su descripción, refiere tres estadios de la enfermedad, progresivos entre sí. A saber:
- Estadio 1 o etapa "invasiva" (2% de los pacientes).
Es la fase inicial y más benigna de la enfermedad, presentándose en los primeros 10 días con poco dolor en el músculo afectado, fiebre leve y escasa respuesta inflamatoría sistémica.
- Estadio 2 o etapa "supurativa" (90% de los pacientes).
Se da entre los 10 y 20 días de adquirida la infección. Aumenta la inflamación local en el sitio afectado, es más frecuente la fiebre y la leucocitosis.
- Estadio 3 o etapa "tadía" (5% de los pacientes).
Es el estadio final. La infección progresa de forma sustancial, con compromiso sistémico marcado, provocando sepsis franca. Puede complicarse con bacteriemia y siembra bacteriana en otros órganos.
Causas
La piomiositis es una entidad predominantemente causada por bacterias, entre las cuales sobresale el Staphylococcus aureus, que se presenta en el 77% de los casos. Sin embargo, destaca también el Streptococcus pyogenes y por último algunos bacilos gramnegativos. La etiología fúngica y viral son poco frecuentes.[2]
Clasificación
Se han identificado dos forma según la ubicación geográfica de los casos: "tropical", que se presenta en latitudes bajas y puede afectar a paciente previamente sanos, y "no tropical" o "templada", que se desarrolla en latitudes altas, generalmente asociado a pacientes con estados de inmunosupresión o enfermedades crónicas.[4]
Cuadro clínico
El lugar más frecuente de aparición son músculos de las extremidades inferiores (44% de los casos reportados en idioma inglés) en especial el músculo cuádriceps. Los miembros superiores también suelen verse afectados (14% de los casos). Las manos, el cuello y la cabeza son los sitios en los que es menos frecuente la aparición.[2]
Tratamiento
Depende del estadio de la enfermedad y del compromiso clínico del paciente. Los dos pilares terapéuticos son la antibioticoterapia y el drenaje quirúrgico del absceso. En el estadio 1 y en ausencia de absceso, la terapia antibiótica sin ningún tipo de intervención quirúrgica está indicada. El grupo antibiótico empírico de elección, por el perfil microbiológico, son las penicilina resistententes a beta-lactamasas, como la oxacilina o la cloxacilina. Siempre que sea posible, debe drenarse y cultivarse el absceso para determinar específicamente la etiología y el patrón de resistencia antibiótica. En los estadios 2 y 3, que generalmente implican la presencia de abscesos, es necesario además de la antibioticoterapia el drenaje del absceso.[2]
Referencias
- ↑ a b Drossos, G (2005). «Pyomyositis. A literature review». Acta Orthop Belg (en inglés) 71: 9-16. Consultado el 30 de junio de 2013.
- ↑ a b c d e Bickels, S, Ben-Sira, L, Kessler, A, Wientroub (2002). «Primary Pyomyositis». Bone Joint Surg Am (en inglés) 84 (2): 2277-2286. Consultado el 29 de junio de 2013.
- ↑ a b Chiedozi, LC (1979). «Pyomyositis. Review of 205 cases in 112 patients». Am J Surg (en inglés) 137 (2): 255-259. Consultado el 30 de junio de 2013.
- ↑ Crum, NF (2004). «Bacterial pyomyositis in the United States». Am J Med (en inglés) 117 (6): 420 - 428. Consultado el 1 de julio de 2014.
