Placa senil
_presenile_onset.jpg)
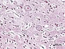
Las placas seniles son depósitos extracelulares de beta-amiloide en la sustancia gris del cerebro y que se asocian con la degeneración de las estructuras neuronales, así como una abundancia en microglía y de astrocitos. Un número elevado de estas placas amiloides y ovillos de fibrina son elementos característicos de la enfermedad de Alzheimer,[1] aunque la correlación entre la densidad de placas de amiloide y la severidad de la enfermedad es pobre.[2]
Características
Las placas seniles tienen variedad de tamaño y forma, pero por lo general, son de aproximadamente 50 µm. Los polipéptidos de beta-amiloide tienden a conglomerarse y se cree que son neurotóxicos.[3] Un 10% de las personas mayores de 60 años tienen placas seniles y un 60% de la población mayores de 80 años, por lo que un número de estos puede deberse al proceso fisiológico de la vejez.
Referencias
- ↑ Teresa García, David Jay. Fosforilación de tau y enfermedad de Alzheimer (en español). 329Gac Méd Méx Vol.140 No. 3, 2004.
- ↑ VON BERNHARDI M., Rommy. Mecanismos neurobiológicos de la enfermedad de Alzheimer. Rev. chil. neuro-psiquiatr. [online]. jun. 2005, vol.43, no.2 [citado 03 octubre de 2008], p.123-132. Disponible en la World Wide Web: [1]. ISSN 0717-9227.
- ↑ GRA MENENDEZ, Silvia; PADRÓN PÉREZ, Noel; LLIBRE RODRÍGUEZ, Juan de Jesús. Péptido beta amiloide, proteína Tau y enfermedad de Alzheimer. Rev Cubana Invest Bioméd [online]. 2002, vol. 21, no. 4 [citado 2008-10-03], pp. 253-261. Disponible en la World Wide Web: [2]. ISSN 0864-0300.