Radiografía torácica
| Radiografía torácica | ||
|---|---|---|
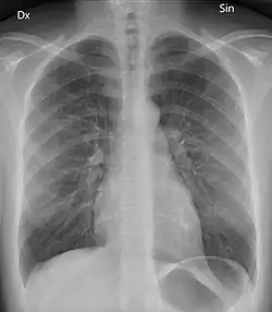
![]() Una radiografía de tórax posteroanterior normal. Dx y Sin significan "derecha" e "izquierda" respectivamente. | ||
| Clasificación y recursos externos | ||
Una radiografía de tórax es una radiografía de proyección del tórax que se utiliza para diagnosticar las condiciones que afectan al tórax, su contenido y las estructuras cercanas (pulmones, el corazón,etc ). Las radiografías de tórax son la imagen más común que se toma en medicina.
Como todos los métodos de radiografía, la radiografía de tórax emplea radiación ionizante en forma de rayos X para generar imágenes del tórax. La dosis media de radiación que recibe un adulto en una radiografía de tórax es de alrededor de 0,02 mSv (2 mrem) para una vista frontal (PA, o posteroanterior) y de 0,08 mSv (8 mrem) para una vista lateral (LL, o latero-lateral).[1] En conjunto, esto corresponde a un tiempo equivalente a la radiación de fondo de alrededor de 10 días.[2]

Preparación del examen
Hace falta informarle al médico si estás embarazada. Las radiografías del tórax se evitan principalmente los primeros seis meses de embarazo. Obligatoriamente se debe usar una bata hospitalaria y se tiene de quitar todas las joyas para el dicho examen. Normalmente no hay molestia por parte del paciente.
Usos médicos
Condiciones comúnmente identificadas por la radiografía de tórax
- Neumonía
- Neumotórax
- Enfermedad pulmonar intersticial
- Insuficiencia cardíaca
- Fractura de hueso
- Hernia de hiato
Manera de realización del examen
El examen es realizado por un técnico usando rayos x en una sala llamada radiología. Generalmente se realizan dos tomas la primera es llamada toma posterior y la segunda toma lateral.
Referencias
- ↑ Fred A. Mettler, Walter Huda, Terry T. Yoshizumi, Mahadevappa Mahesh: "Effective Doses in Radiology and Diagnostic Nuclear Medicine: A Catalog" – Radiology 2008;248:254–263
- ↑ «Radiation Dose in X-Ray and CT Exams». radiologyinfo.org by the Radiological Society of North America. Consultado el 10 de agosto de 2017.
_chest_radiograph_(X-ray).jpg)