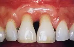
Recesión gingival

es la suma de
2: recesión gingival, y
3: profundidad de sondeo
Recesión gingival, también conocida como encías recidivas o recesión/retroceso o retracción de encías, es la exposición de las raíces de los dientes causada por una pérdida de tejido de las encías y/o retracción del margen gingival desde la corona de los dientes. La recesión gingival es también conocida como retroceso de las encías. La recesión de las encías es un problema común en adultos mayores de 40 años, pero también puede ocurrir a partir de la edad adolescente, o alrededor de los 10 años. Puede existir con o sin disminución concomitante en la relación corona-raíz (recesión del hueso alveolar).
Clasificación
Se han propuesto varias clasificaciones para clasificar la recesión gingival, siendo el sistema de clasificación de Miller el que más se sigue.[1] Muchos casos que se encuentran en la práctica clínica diaria no pueden clasificarse según los criterios de los actuales sistemas de clasificación. El sistema de clasificación de Kumar & Masamatti ofrece una descripción completa del defecto de recesión que puede usarse para incluir casos que no pueden clasificarse según las clasificaciones actuales. Se ha proporcionado un sistema de clasificación separado para las recesiones palatales (RP). Un nuevo sistema de clasificación integral clasifica la recesión en función de la posición de la papila interdental y las recesiones bucales/linguales/palatales. El sistema de clasificación de Kumar y Masamatti intenta superar las limitaciones de la clasificación de Miller.[2]
Causas
Hay muchas causas posibles para la recesión gingival:
- Con mucho, la causa más común es la gingivitis, que lleva a la enfermedad de las encías (enfermedad periodontal)
- El cepillado excesivamente agresivo también se cita como causante de la recesión de las encías.. Una revisión sistemática de la literatura concluyó que "Los datos para apoyar o refutar la asociación entre el cepillado de dientes y la recesión gingival no son concluyentes", aunque el cepillado agresivo o enérgico no se abordó específicamente.[3] Un estudio posterior encontró que la técnica de cepillado horizontal de los dientes (versus la técnica de Bass o los métodos circulares), el uso de cepillos de dientes de dureza media y el cepillado solo una vez al día se asociaron con la recesión gingival.[4]
- Usar hilo dental incorrectamente (es decir, usar hilo dental de manera demasiado brusca o agresiva) que puede cortar las encías.[5]
- El tejido gingival delgado, frágil o insuficiente hereditario predispone a la recesión gingival.
- Mascar tabaco, afecta el revestimiento de la membrana mucosa en la boca y causará retroceso de las encías con el tiempo
- Los traumas autoinfligidos, como hábitos como morderse las uñas o lápices en la encía. Este tipo de recesión se asocia más comúnmente con niños y personas con trastornos psiquiátricos.
- Escorbuto (Carencia de vitamina C)
- Angina de Vincent
- Posición de los dientes anormal, (maloclusión), como por ejemplo el apiñamiento de los dientes, que da una cobertura inadecuada de uno o más dientes por parte del hueso de la mandíbula.
- Perforaciones (Pírsines) en el labio o la lengua que desgastan la encía al frotarla.
- Retracción gingival intencional. Por ejemplo, el diente adulto puede no crecer fuera de la encía, y para remediar esto, se realiza un procedimiento llamado exposición. Este procedimiento implica que el tejido de las encías se corte para permitir que crezca el diente adulto. Esta es una causa menos común de recesión de las encías.

Referencias
- ↑ Miller PD Jr. A classification of marginal tissue recession. Int J Periodontics Restorative Dent 1985;5:8-13.
- ↑ Kumar A, Masamatti SS. A new classification system for gingival and palatal recession. J Indian Soc Periodontol 2013;17:175-81.
- ↑ Rajapakse, P. Sunethra; McCracken, Giles I.; Gwynnett, Erika; Steen, Nick D.; Guentsch, Arndt; Heasman, Peter A. (December 2007). «Does tooth brushing influence the development and progression of non-inflammatory gingival recession? A systematic review». Journal of Clinical Periodontology 34 (12): 1046-1061. PMID 17953693. doi:10.1111/j.1600-051X.2007.01149.x.
- ↑ Chrysanthakopoulos, Nikolaos Andreas (2011). «Aetiology and Severity of Gingival Recession in an Adult Population Sample in Greece». Dental Research Journal 8 (2): 64-70. ISSN 1735-3327. PMC 3177396. PMID 22013465.
- ↑ Pradeep, Koppolu; Rajababu, Palaparthy; Satyanarayana, Durvasula; Sagar, Vidya (2012). «Gingival Recession: Review and Strategies in Treatment of Recession». Case Reports in Dentistry (en inglés) 2012: 563421. ISSN 2090-6447. PMC 3467775. PMID 23082256. doi:10.1155/2012/563421.
Enlaces externos
- An academic presentation on gingival recession Archivado el 23 de noviembre de 2015 en Wayback Machine.
- Highly informative overview article from the NYTimes.
- Esta obra contiene una traducción derivada de «Gingival recession» de Wikipedia en inglés, publicada por sus editores bajo la Licencia de documentación libre de GNU y la Licencia Creative Commons Atribución-CompartirIgual 4.0 Internacional.