Rotura diafragmática
| Rotura diafragmática | ||
|---|---|---|
![]() Una radiografía que muestra un diafragma elevado a la derecha | ||
| Especialidad | Cirugía cardiotorácica | |
| Síntomas | Dificultad para respirar, dolor en el pecho | |
| Causas | Trauma | |
| Diagnóstico | Laparotomía, tomografía computarizada, rayos X | |
| Tratamiento | Cirugía | |
| Pronóstico | 15-40% de mortalidad | |
La rotura diafragmática (también llamada lesión o desgarro diafragmático)[1] es un desgarro del diafragma, el músculo situado en la parte inferior de la caja torácica que desempeña un papel crucial en la respiración. En la mayoría de los casos, los desgarros diafragmáticos adquiridos son consecuencia de un traumatismo físico. La rotura diafragmática puede ser consecuencia de un traumatismo contuso o penetrante y se produce en aproximadamente el 0,5% de todas las personas con traumatismos.[2]
Las técnicas de diagnóstico incluyen radiografías, tomografía computarizada y técnicas quirúrgicas como la cirugía exploratoria. El diagnóstico suele ser difícil porque los signos pueden no aparecer en las radiografías, o porque los signos que aparecen son similares a los de otras enfermedades. Los signos y síntomas incluyen dolor torácico y abdominal, dificultad respiratoria y disminución de los ruidos pulmonares. Cuando se descubre un desgarro, es necesaria una intervención quirúrgica para repararlo.
Las lesiones del diafragma suelen ir acompañadas de otras lesiones e indican que puede haberse producido una lesión más grave. El pronóstico suele depender más de las lesiones asociadas que de la propia lesión diafragmática. Dado que la presión es mayor en la cavidad abdominal que en la torácica, la rotura del diafragma casi siempre va asociada a la herniación de órganos abdominales en la cavidad torácica, lo que se denomina hernia diafragmática. Esta hernia puede interferir en la respiración.
Signos y síntomas
Los síntomas pueden incluir dolor,[3] ortopnea (falta de aire al estar tumbado),[4] y tos. En personas con herniación de órganos abdominales, puede haber signos de obstrucción intestinal o sepsis en el abdomen,[5] pueden oírse ruidos intestinales en el tórax y puede haber dolor en el hombro o epigástrico. Cuando la lesión no se advierte de inmediato, los principales síntomas son los que indican obstrucción intestinal.[6]
Causas
La rotura diafragmática puede producirse por traumatismo contuso, traumatismo penetrante y por causas iatrogénicas (como resultado de una intervención médica), por ejemplo, durante una intervención quirúrgica en el abdomen o el tórax.[6] También se ha producido espontáneamente en el momento del embarazo o sin motivo aparente.[2] Se ha informado de que la lesión del diafragma está presente en el 8% de los casos de traumatismo torácico contuso.[7] En los casos de traumatismo contuso, las causas más comunes son los accidentes de tráfico y las caídas.[6] Se ha notificado que el traumatismo penetrante es la causa del 12,3-20% de los casos, pero también se ha propuesto como causa más común que el traumatismo contuso; las discrepancias podrían deberse a diversos factores regionales, sociales y económicos en las zonas estudiadas.[8] Las heridas por arma blanca y de bala pueden causar lesiones diafragmáticas.[6] Los clínicos están entrenados para sospechar una ruptura diafragmática particularmente si se ha producido un traumatismo penetrante en la parte inferior del tórax o en la parte superior del abdomen.[9] Con un traumatismo penetrante, el contenido del abdomen puede no herniarse en la cavidad torácica de inmediato, pero puede hacerlo más tarde, haciendo que la presentación se retrase.[6] Dado que el diafragma se mueve hacia arriba y hacia abajo durante la respiración, los traumatismos penetrantes en varias partes del torso pueden lesionar el diafragma; se ha observado que lesiones penetrantes tan altas como la tercera costilla y tan bajas como la duodécima lesionan el diafragma.[10] Los casos iatrogénicos se han producido como complicación de procedimientos médicos que afectan al tórax o al abdomen. Se ha producido como complicación de la toracocentesis y la ablación por radiofrecuencia.[2]
Mecanismo
Aunque se desconoce el mecanismo, se ha propuesto que un golpe en el abdomen puede elevar tanto la presión dentro del abdomen que el diafragma se rompe.[6] Los traumatismos contusos crean un gran gradiente de presión entre las cavidades abdominal y torácica; este gradiente, además de provocar la rotura, también puede hacer que el contenido abdominal se hernie hacia la cavidad torácica. El contenido abdominal en el espacio pleural interfiere con la función cardiaca y pulmonar. La presión intratorácica elevada provoca un aumento de la presión de la aurícula derecha, lo que altera el llenado del corazón y el retorno venoso de la sangre.[4] Dado que el retorno venoso determina el gasto cardíaco, esto provoca una reducción del gasto cardíaco.[11] Si se inhibe gravemente la ventilación del pulmón del lado del desgarro, se produce hipoxemia (bajo nivel de oxígeno en sangre).[4] Normalmente, la rotura se produce en el mismo lado del impacto.[10] Un golpe lateral tiene tres veces más probabilidades de provocar una rotura diafragmática que un golpe frontal.[10]
Diagnóstico

Los exámenes físicos no son precisos, ya que no suele haber ningún signo físico específico que pueda usarse para diagnosticar esta afección.[3] Los métodos toracoscópicos y laparoscópicos pueden ser precisos.[12] Se sabe que la radiografía de tórax no es fiable para diagnosticar la rotura diafragmática;[4] tiene baja sensibilidad y especificidad para la lesión.[5] A menudo, otra lesión, como una contusión pulmonar, enmascara la lesión en la placa de rayos X.[6] La mitad de las veces, las radiografías iniciales son normales; en la mayoría de las que no lo son, hay hemotórax o neumotórax.[4] En la placa puede aparecer una sonda nasogástrica procedente del estómago en la cavidad torácica; este signo es patognomónico de rotura diafragmática, pero es poco frecuente.[4] La radiografía es más capaz de detectar la lesión cuando se toma de espaldas con la persona erguida, pero esto no suele ser posible porque la persona no suele estar lo suficientemente estable; por lo tanto, suele tomarse de frente con la persona tumbada en decúbito supino.[5] La ventilación con presión positiva ayuda a evitar que los órganos abdominales se hernien en la cavidad torácica, pero esto también puede impedir que se descubra la lesión en una radiografía.[4]
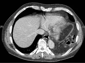
La TC tiene una mayor precisión diagnóstica que los rayos X,[7] pero no existen hallazgos específicos en una TC para establecer un diagnóstico.[9] El borde libre de un diafragma roto puede curvarse y quedar perpendicular a la pared torácica, signo conocido como diafragma colgante. Un órgano herniado puede contraerse en el lugar de la rotura, signo conocido como signo del collar. Si el hígado se hernia a través de una rotura en el lado derecho, puede producir dos signos conocidos como signo de la joroba y signo de la banda. El signo de la joroba es una forma del signo del collar en el lado derecho. El signo de la banda es una línea brillante que cruza el hígado. Se cree que es el resultado de la compresión del diafragma roto.[13] Aunque la tomografía computarizada aumenta las posibilidades de diagnosticar la rotura diafragmática antes de la intervención quirúrgica, la tasa de diagnóstico antes de la cirugía sigue siendo de sólo el 31-43,5%.[7] Otro método de diagnóstico es la laparotomía, pero ésta no detecta las roturas diafragmáticas hasta en un 15% de las ocasiones.[4] A menudo, la lesión diafragmática se descubre durante una laparotomía que se realizó debido a otra lesión abdominal.[4] Dado que las laparotomías son más frecuentes en las personas con traumatismos penetrantes que en las que han sufrido una lesión por objeto contundente, la rotura diafragmática se descubre con más frecuencia en estas personas.[14] La toracoscopia es más fiable para detectar roturas diafragmáticas que la laparotomía y es especialmente útil cuando se sospecha una hernia diafragmática crónica.[4]
Ubicación
Entre el 50 y el 80% de las roturas diafragmáticas se producen en el lado izquierdo.[5] Es posible que el hígado, situado en el cuadrante superior derecho del abdomen, amortigüe el diafragma.[6] Sin embargo, las lesiones que se producen en el lado izquierdo también son más fáciles de detectar en las radiografías.[4] La mitad de las roturas diafragmáticas que se producen en el lado derecho se asocian a lesiones hepáticas.[5] Las lesiones que se producen en el lado derecho se asocian a una mayor tasa de mortalidad y a lesiones acompañantes más numerosas y graves.[10] La rotura diafragmática bilateral, que se produce en el 1-2% de las roturas, se asocia a una tasa de mortalidad mucho mayor que las lesiones que se producen en un solo lado.[5]
Tratamiento

Dado que el diafragma está en constante movimiento con la respiración y se encuentra bajo tensión, las laceraciones no se curan por sí solas.[10] Si no se repara, la lesión suele agrandarse con el tiempo.[2] Los principales objetivos de la cirugía son reparar las lesiones del diafragma y devolver los órganos abdominales herniados a su lugar original.[12] Para ello, se desbridan los tejidos no viables y se cierra la rotura.[3] La mayoría de las veces, la lesión se repara durante una laparotomía.[9] La cirugía temprana es importante, ya que la atrofia diafragmática y las adherencias se producen con el tiempo. Se utilizan suturas en la reparación.[12] Otras lesiones, como el hemotórax, pueden presentar una amenaza más inmediata y puede ser necesario tratarlas primero si acompañan a la rotura diafragmática.[6] Puede utilizarse la toracoscopia asistida por vídeo.[4]
Pronóstico
En la mayoría de los casos, la rotura diafragmática aislada se asocia a un buen pronóstico si se repara quirúrgicamente.[6] Se calcula que la tasa de mortalidad por rotura diafragmática tras un traumatismo contuso y penetrante es del 15-40% y del 10-30% respectivamente, pero otras lesiones desempeñan un papel importante en la determinación del pronóstico.[6] La hernia de órganos abdominales está presente en el 3-4% de las personas con traumatismo abdominal que acuden a un centro de traumatología.[9]
Epidemiología
Las lesiones diafragmáticas están presentes en el 1-7% de las personas con traumatismos contusos importantes[6] y en una media del 3% de las lesiones abdominales.[9] Un índice de masa corporal elevado puede asociarse a un mayor riesgo de rotura diafragmática en personas implicadas en accidentes de tráfico.[6] Más del 90% se producen debido a traumatismos por accidentes de tráfico. Debido a la gran fuerza necesaria para romper el diafragma,[3] es raro que sólo se lesione el diafragma, especialmente en traumatismos contusos; hay otras lesiones asociadas en hasta el 80-100% de los casos.[4][7] De hecho, si se lesiona el diafragma, es un indicio de que pueden haberse producido lesiones más graves en órganos. Así, la mortalidad tras un diagnóstico de rotura diafragmática es del 17%, y la mayoría de las muertes se deben a complicaciones pulmonares.[7] Entre las lesiones asociadas más comunes se incluyen traumatismos craneoencefálicos, lesiones de la aorta, fracturas de la pelvis y los huesos largos, y laceraciones del hígado y el bazo.[4] Las lesiones asociadas pueden producirse en más de tres cuartas partes de los casos.[10]
Historia

En 1579, Ambroise Paré hizo la primera descripción de una rotura diafragmática en un capitán de artillería francés que había sido fusilado ocho meses antes de su muerte. Murió por complicaciones de la rotura. A partir de autopsias, Paré también describió la rotura diafragmática en personas que habían sufrido traumatismos contusos y penetrantes. Los informes sobre hernias diafragmáticas debidas a traumatismos se remontan al menos al siglo XVII. Petit fue el primero en establecer la diferencia entre hernia diafragmática adquirida y congénita, que resulta de una malformación congénita del diafragma. En 1888, Naumann reparó una hernia del estómago en el tórax izquierdo causada por un traumatismo.[9]
Otros animales

La rotura diafragmática es una complicación común y bien conocida de los traumatismos abdominales contusos en perros y gatos. Los órganos que se hernian en la cavidad pleural vienen determinados por la localización de la rotura. Lo más habitual es que se trate de desgarros circunferenciales que se producen en la unión del diafragma y la costilla. En estos casos, los órganos que se hernian pueden ser el hígado, el intestino delgado, el estómago, el bazo, el epiplón o el útero. Los desgarros dorsales son infrecuentes y pueden provocar la herniación de un riñón hacia el tórax. Los síntomas incluyen dificultad para respirar, vómitos, colapso y ausencia de órganos palpables en el abdomen. Los síntomas pueden empeorar rápidamente y ser letales, sobre todo en caso de hemorragia grave, contusión cardíaca o estrangulamiento del intestino herniado. También es posible que sólo haya signos sutiles y la afección sólo se detecte incidentalmente meses o años después de la lesión durante una exploración médica.[15]
Véase también
Referencias
- ↑ Hariharan D, Singhal R, Kinra S, Chilton A (2006). «"Post traumatic intra thoracic spleen presenting with upper GI bleed! A case report"». BMC Gastroenterol. PMID 17132174. doi:10.1186/1471-230X-6-38.
- ↑ a b c d Furák, József; Athanassiadi, Kalliopi (2019-02). «Diaphragm and transdiaphragmatic injuries». Journal of Thoracic Disease (en inglés) 11 (S2): S152-S157. ISSN 2072-1439. doi:10.21037/jtd.2018.10.76. Archivado desde el original el 1 de febrero de 2024. Consultado el 28 de febrero de 2025.
- ↑ a b c d Mason, Robert J.; Slutsky, Arthur; Murray, John F.; Nadel, Jay A.; Gotway, Michael B. (17 de marzo de 2015). Murray & Nadel's Textbook of Respiratory Medicine E-Book (en inglés). Elsevier Health Sciences. ISBN 978-0-323-26193-7. Consultado el 28 de febrero de 2025.
- ↑ a b c d e f g h i j k l m n Karmy-Jones R, Jurkovich GJ (2004). «Blunt chest trauma». Current Problems in Surgery. PMID 15097979. doi:10.1016/j.cpsurg.2003.12.004. «Un aumento repentino del gradiente de presión entre las cavidades pleural y peritoneal que se produce con un traumatismo contuso de alta velocidad provocará disrupciones del diafragma... Este mismo gradiente de presión pleuroperitoneal también promoverá la migración de estructuras intraperitoneales al espacio pleural después de que se haya producido la disrupción. Una vez que las vísceras se han desplazado al espacio pleural, tanto las funciones cardiovasculares como las respiratorias se ven comprometidas.»
- ↑ a b c d e f McGillicuddy D, Rosen P (2007). «"Diagnostic dilemmas and current controversies in blunt chest trauma"». Emerg Med Clin North Am. PMID 17826213. doi:10.1016/j.emc.2007.06.004.
- ↑ a b c d e f g h i j k l m Scharff JR, Naunheim KS (2007). «"Traumatic diaphragmatic injuries"». Thorac Surg Clin. PMID 17650700. doi:10.1016/j.thorsurg.2007.03.006.
- ↑ a b c d e Weyant MJ, Fullerton DA (2008). «"Blunt thoracic trauma"». Seminars in Thoracic and Cardiovascular Surgery. PMID 18420123. doi:10.1053/j.semtcvs.2008.01.002.
- ↑ Sliker CW (2006). «"Imaging of diaphragm injuries"». Radiol Clin North Am. PMID 16500203. doi:10.1016/j.rcl.2005.10.003.
- ↑ a b c d e f Asensio JA, Petrone P, Demitriades D, commentary by Davis JW (2003). «"Injury to the diaphragm"». Moore EE, Feliciano DV, Mattox KL (eds.). Trauma. Fifth Edition. McGraw-Hill Professional. ISBN 0-07-137069-2.
- ↑ a b c d e f Fleisher GR, Ludwig S, Henretig FM, Ruddy RM, Silverman BK, eds. (2006). «"Thoracic trauma"». Textbook of Pediatric Emergency Medicine. Hagerstown, MD: Lippincott Williams & Wilkins. ISBN 0-7817-5074-1.
- ↑ Berger, David; Takala, Jukka (2018-09). «Determinants of systemic venous return and the impact of positive pressure ventilation». Annals of Translational Medicine (en inglés) 6 (18): 350-350. ISSN 2305-5839. doi:10.21037/atm.2018.05.27. Archivado desde el original el 19 de abril de 2024. Consultado el 1 de marzo de 2025.
- ↑ a b c Gao, Ru; Jia, Donghui; Zhao, Huimin; WeiWei, Zhang; Yangming, Wang Frank (2018-09). «A Diaphragmatic Hernia and Pericardial Rupture Caused by Blunt Injury of the Chest: A Case Review». Journal of Trauma Nursing (en inglés) 25 (5): 323-326. ISSN 1078-7496. doi:10.1097/JTN.0000000000000395. Archivado desde el original el 2 de febrero de 2024. Consultado el 1 de marzo de 2025.
- ↑ Desir, Amandine; Ghaye, Benoît (2012-03). «CT of Blunt Diaphragmatic Rupture». RadioGraphics 32 (2): 477-498. ISSN 0271-5333. doi:10.1148/rg.322115082. Consultado el 1 de marzo de 2025.
- ↑ Desir A, Ghaye B (2012). «"CT of Blunt Diaphragmatic Rupture"». RadioGraphics. PMID 22411944. doi:10.1148/rg.322115082.
- ↑ Spattini, Giliola; Rossi, Federica; Vignoli, Massimo; Lamb, Christopher R. (2003). «Use of Ultrasound to Diagnose Diaphragmatic Rupture in Dogs and Cats». Veterinary Radiology & Ultrasound (en inglés) 44 (2): 226-230. ISSN 1740-8261. doi:10.1111/j.1740-8261.2003.tb01276.x. Consultado el 1 de marzo de 2025.
.jpg)