Síndrome SAPHO
| Síndrome SAPHO | ||
|---|---|---|
|
Hiperostosis esternoclavicular | ||
| Especialidad | reumatología | |
| Sinónimos | ||
| ||
El síndrome SAPHO incluye un grupo de alteraciones musculoesqueléticas inflamatorias, crónicas y recurrentes, con manifestaciones clínicas similares, en especial sinovitis, hiperostosis y osteítis, que pueden estar asociadas o no a erupciones cutáneas neutrofílicas, como la pustulosis palmoplantar y el acné conglobata.[1]
El acrónimo SAPHO deriva de la primera letra de algunas de las alteraciones más características del síndrome:[2]
- Sinovitis
- Acné, habitualmente afectando la cara y espalda alta.
- Pustulosis, habitualmente afectando palmas de manos o plantas de pies (pustulosis palmoplantar).
- Hiperostosis
- Osteítis
Terminología
La descripción del síndrome es relativamente reciente. En 1972 se describió el cuadro conocido como osteomielitis crónica multifocal resistente (OCMR).[3] Posteriormente, en 1978, se describieron varios casos de OCMR asociada con lesiones cutáneas de pustulosis palmoplantar.[4] El síndrome SAPHO y la OCMR parecen ser la misma enfermedad con presentación en distintos grupos de edad –la OCMR en niños y el SAPHO en los adultos–.[5]
El término síndrome SAPHO (Síndrome Acné-Pustulosis-Hiperostosis-Osteitis) fue acuñado en 1987 para representar este espectro de alteraciones inflamatorias del hueso que pueden estar o no asociadas con patología dermatológica.[6] Un año más tarde, la “S” de síndrome pasó a ser de sinovitis.[7]
Este síndrome ha aparecido en la literatura médica con diversos nombres, como osteomielitis crónica multifocal recurrente (OCMR), artrosteitis pustulosa, hiperostosis esternoclavicular o espondiloartropatía asociada a acné.[8]
Etiopatogenia

La etiopatogenia del síndrome SAPHO no está clara. Se ha pensado en un probable origen bacteriano del síndrome, involucrando fundamentalmente al Propionibacterium acnes.[9][10] Sin embargo, el posible papel patogénico de éste u otros gérmenes, en un paciente predispuesto genéticamente, resultando en una respuesta inflamatoria exagerada, como una osteitis reactiva, es una hipótesis no probada.
También se han involucrado factores genéticos, por las similitudes clínicas del síndrome SAPHO con otros cuadros de origen genético en la infancia con afectación osteoarticular y cutánea, como el síndrome Majeed –dermatosis neutrofílica y múltiples lesiones osteolíticas– y el síndrome PAPA –Pyogenic sterile Arthritis, Pyoderma gangrenoso y Acné– y otros síndromes autoinflamatorios.[10] Otros investigadores han especulado con un posible origen autoimmune, pudiendo presentar estos pacientes una elevada respuesta a la bacterias intestinales mediada por la síntesis de NOD2/CARD15 en el inflamasoma.[10]
Características clínicas
El síndrome puede aparecer a cualquier edad, pero los datos epidemiológicos indican que es una enfermedad de niños, jóvenes y adultos de edad media, siendo más común hacia la cuarentena, y con predilección por el sexo femenino.[11][12]
- Afectación osteoarticular.
- Se han descrito varios patrones de artritis axial y periférica, semejantes fundamentalmente a las espondiloartropatías seronegativas. Sin embargo, no se ha demostrado una asociación especial con el HLA B27. En cuanto a la afectación del esqueleto axial, la pared torácica anterior es la zona más frecuentemente afectada, en particular en los pacientes con pustulosis palmoplantar. Los pacientes pueden presentar dolor espontáneo, dolor a la presión o tumefacción en la zona del esternón y sus articulaciones.[8] Igualmente pueden verse afectados los cuerpos vertebrales y las articulaciones sacroilíacas, refiriendo los pacientes dolor lumbar de tipo inflamatorio. La artritis periférica, en general asimétrica y de grandes articulaciones, se puede observar entre un 10-30% de los casos.[11][13] También puede encontrase afectación de huesos largos y huesos planos.[11][13]
- Afectación cutánea.
Acné quístico en la espalda
- Afectación cutánea.
- Las lesiones cutáneas asociadas al síndrome SAPHO incluyen pustulosis palmoplantar, acné conglobata, acné fulminans, hidradenitis supurada, celulitis disecante del cuero cabelludo, todas las cuales se caracterizan patológicamente por pseudoabscesos neutrofílicos.[8] Las lesiones articulares y las manifestaciones cutáneas no necesariamente se presentan al mismo tiempo, pudiendo haber incluso años de diferencia en la aparición de las mismas.[14]
- Alteraciones analíticas.
- La analítica no es determinante. Puede encontrarse una moderada elevación de la VSG o de la PCR en algunos pacientes. El factor reumatoide es negativo en casi todos los casos. La presencia de HLA B27 positivo se encuentra en un porcentaje similar a la población general.[14][10]
Hallazgos radiográficos
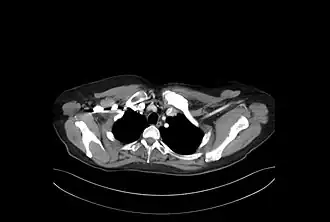
En las radiografías y otras técnicas de imagen (TAC o RMN) puede observarse crecimiento –hiperostosis- y esclerosis de los extremos mediales de las clavículas. Igualmente, pueden observarse áreas osteolíticas y áreas esclerosas. Similar afectación se puede observar en el esternón, en especial en el manubrio y en los segmentos anteriores de las costillas. Fuera de la pared torácica se han descrito hallazgos similares en los cuerpos vertebrales –con imágenes de espondilodiscitis, osteoesclerosis y osificaciones paravertebrales-, en la mandíbula, en huesos largos –sobre todo metáfisis de fémur distal y tibia proximal- y afectación de sacroilíacas. En los huesos largos la imagen es semejante a la osteomielitis crónica, pero sin abscesos, ni secuestros óseos.[11]
Aporta gran información la gammagrafía ósea, siendo es muy típico el patrón de hipercaptación esternoclavicular simétrica en "cabeza de toro", donde el manubrio esternal representa el cráneo y las articulaciones esternoclaviculares y las clavículas corresponden a los cuernos.[15]
Diagnóstico
El diagnóstico del síndrome SAPHO se basa en los datos clínicos y radiológicos, no existiendo marcadores específicos, ni hallazgos histopatológicos concluyentes. Las lesiones osteoarticulares y las manifestaciones cutáneas a menudo no ocurren simultáneamente, lo que hace que el diagnóstico puede ser difícil,[9]
El diagnóstico correcto se alcanza tras la exclusión de otras alteraciones, entre las que destaca la osteomielitis infecciosa bacteriana, las espondilodiscitis infecciosas, las alteraciones tumorales y la enfermedad de Paget. Por otra parte, aunque se han propuesto unos criterios diagnósticos, son discutidos y no han sido validados.[16]
Tratamiento
Diversas terapias han demostrado su utilidad en estos pacientes, incluyendo AINEs, colchicina, corticoides, sulfasalazina, metotrexate, leflunomida y retinoides.[8][17]
Diversos estudios han demostrado la eficacia del tratamiento con bifosfonatos, sugiriéndose como el tratamiento de primera línea en algunos trabajos.[18][19][20][21]
Los fármacos antagonistas del factor de necrosis tumoral también han demostrado ser eficaces en algunos casos.[22]
El uso de antibióticos en el síndrome SAPHO ha sido controvertido,[8] perdiéndose su eficacia tras la retirada del tratamiento.[23]
Evolución y pronóstico
El pronóstico a largo plazo suele ser bueno, aunque en ocasiones puede seguir un curso tórpido e incapacitante.[8]
La mayoría de pacientes siguen un curso crónico, requiriendo tratamiento continuo, siendo en un tercio de los casos el curso intermitente con exacerbaciones y remisiones. Sólo en una minoría de pacientes la inflamación ósea desaparece y no recurre.[11]
Se asocian con un curso crónico y afectación de nuevas zonas osteoarticulares el sexo femenino y la presencia al inicio de artritis periférica, la afectación de la pared torácica anterior, la coexistencia de más de una alteración cutánea y la mayor elevación de los reactantes de fase aguda (VSG y PCR).[11]
Véase también
Referencias
- ↑ Leone A, Cassar-Pullicino VN, Casale R, et al. The SAPHO syndrome revisited with an emphasis on spinal manifestations. Skeletal Radiol. 2014 Oct 21. [Epub ahead of print] PMID 25331355
- ↑ Kundu BK, Naik AK, Bhargava S, Srivastava D. Diagnosing the SAPHO syndrome: a report of three cases and review of literature.Clin Rheumatol. 2013;32(8):1237-43. Doi: 10.1007/s10067-013-2251-1. PMID 23604547
- ↑ Giedion A, Holthusen W, Masel LF, Vischer D. Subacute and chronic "symmmetrical" osteomyelitis. Ann Radiol (Paris). 1972;15(3):329–42. PMID 4403064
- ↑ Bjorksten B, Gustavson KH, Eriksson B, et al. Chronic recurrent multifocal osteomyelitis and pustulosis palmoplantaris.J Pediatr. 1978;93(2):227–31. PMID 671154
- ↑ [1] Chronic Recurrent Multifocal Osteomyelitis. Textbook of Pediatric Rheumatology. Cassidy JT, Petty RE, Laxer RM, Lindsley CB (eds). 6ª Ed. Saunders, 2011. ISBN 978-1-4160-6581-4
- ↑ Chamot AM, Benhamou CL, Kahn MF, et al. Le Syndrome Acne Pustulose Hyperostose Ostéite (SAPHO). Resultat d’une enquête nationale. 85 observations. Rev Rhum Mal Osteoartic. 1987;54(3):187-96. PMID 2954204
- ↑ Benhamou CL, Chamot AM, Kahn MF. Synovitis-acne-pustulosis-hyperostosis-osteomyelitis syndrome (SAPHO).A new syndrome among the spondyloarthropathies? Clin Exp Rheumatol. 1988;6(2):109-12. PMID 2972430
- ↑ a b c d e f Wise CM. Major causes of musculoskeletal chest pain in adults. Uptodate 2014.
- ↑ a b Carneiro S, Sampaio-Barros PD. SAPHO syndrome. Rheum Dis Clin North Am. 2013;39(2):401-18. doi: 10.1016/j.rdc.2013.02.009. PMID 23597971
- ↑ a b c d «Brasington R . What Rheumatologists Should Look for in Diagnosing SAPHO Syndrome. The Rheumatologist, 2012». Archivado desde el original el 29 de noviembre de 2014. Consultado el 19 de noviembre de 2014.
- ↑ a b c d e f Colina M, Trotta F. Clinical and radiological characteristics of SAPHO syndrome. Curr Rheumatol Rev. 2013;9(1):22-7. PMID 25198364
- ↑ Assmann G. SAPHO síndrome. En: Psoriasis –a Systemic Disease-. O’ Daly J (ed). InTech, 2012. ISBN 978-953-51-0281-6 http://cdn.intechopen.com/pdfs-wm/32472.pdf
- ↑ a b Nguyen MT, Borchers A, Selmi C, et al. The SAPHO syndrome. Semin Arthritis Rheum. 2012 Dec;42(3):254-65. doi: 10.1016/j.semarthrit.2012.05.006. PMID 23153960
- ↑ a b Espino-García A, Vidal-Tolosa A, Farran-Torres N, Monastyrskyy V. Síndrome de SAPHO. Semergen. 2008;34(7): 369-71. doi: 10.1016/S1138-3593(08)72341-4. http://zl.elsevier.es/es/revista/semergen-medicina-familia-40/sindrome-sapho-13127196-situaciones-clinicas-2008 Archivado el 29 de noviembre de 2014 en Wayback Machine.
- ↑ Pichler R, Weiglein K, Schmekal B, Sfetsos K, Maschek W. Bone scintigraphy using Tc-99m DPD and F 18-FDG in a patient whit SAPHO syndrome. Scand J Rheumatol. 2003;32:58-60
- ↑ Kahn MF, Khan MA. The SAPHO syndrome.Baillieres Clin Rheumatol. 1994;8(2):333-62. PMID 8076391
- ↑ Scarpato S, Tirri E. Successful treatment of SAPHO syndrome with leflunomide. Report of two cases. Clin. Exp. Rheumatol. 2005;23(5):731. PMID 16173265
- ↑ Ichikawa J, Sato E, Haro H, Ando T, Maekawa S, Hamada Y. Successful treatment of SAPHO syndrome with an oral bisphosphonate. Rheumatol Int. 2008;29(6):713–5. Doi: 10.1007/s00296-008-0760-z. PMID 18998139
- ↑ Kerrison C, Davidson JE, Cleary AG, Beresford MW. Pamidronate in the treatment of childhood SAPHO syndrome. Rheumatology (Oxford). 2004;43(10):1246–51. Doi: 10.1093/rheumatology/keh295. PMID 15238641
- ↑ Amital H, Applbaum YH, Aamar S, Daniel N, Rubinow A. SAPHO syndrome treated with pamidronate: an open-label study of 10 patients. Rheumatology (Oxford). 2004;43(5):658–61. Doi: 10.1093/rheumatology/keh149. PMID 14983108
- ↑ Kopterides P, Pikazis D, Koufos C. Successful treatment of SAPHO syndrome with zoledronic acid. Arthritis Rheum. 2004 Sep;50(9):2970-3. PMID 15457466
- ↑ Olivieri I, Padula A, Palazzi C. Pharmacological management of SAPHO syndrome. Expert Opin Investig Drugs. 2006;15(10):1229–33. Doi:10.1517/13543784.15.10.1229. PMID 16989598
- ↑ Assmann G, Kueck O, Kirchhoff T, et al. Efficacy of antibiotic therapy for SAPHO syndrome is lost after its discontinuation: an interventional study. Arthritis Res Ther. 2009;11(5):R140. doi: 10.1186/ar2812. PMID 19772564