Síndrome XXXYY
| Síndrome XXXYY | ||
|---|---|---|
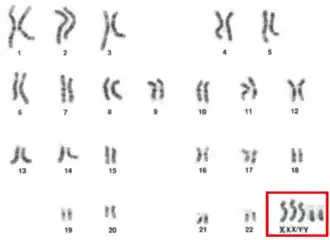
![]() Cariotipo hipotético de un genotipo XXXYY | ||
| Especialidad | Genética médica | |
| Complicaciones | Infertilidad, problemas de conducta | |
| Inicio habitual | Nacimiento | |
| Duración | Vida | |
| Causas | Duplicación de los cromosoma X y cromosomas Y | |
| Diagnóstico | Cariotipo | |
| Diagnóstico diferencial | Síndrome XYY, Síndrome XYYY | |
| Prevención | Ninguna | |
| Tratamiento | Depende de los síntomas | |
| Pronóstico | Bueno | |
| Frecuencia | Muy infrecuente | |
| Tasa de letalidad | Baja | |
El Síndrome XXXYY también conocido como Síndrome 49,XXXYY es una condición genética extremedamente rara que se caracteriza por discapacidades intelectuales severas, dismorfismos faciales, estatura normal o alta, ginecomastia, hipogonadismo y problemas de conducta.
Signos y síntomas
Los hombres con este síndrome tienen un hábito eunucoide asociada con distribución de grasa corporal ginecoide, estatura promedio o mayor al promedio, discapacidades intelectuales moderadas a severas, prominencia frontal, pliegues epicanticos, nariz ancha, prognatismo, hipogonadismo, criptorquidia, ginecomastia, anomalías de la genitalia, problemas con la conducta (e.g. introvertido pero agresivo, autismo, etc.), edad ósea baja, clinodactilia (principalmente la que afecta al dedo meñique), sinostosis radioulnar y retrasos en el desarrollo dental.[1][2]
Tratamiento
El tratamiento es utilizado principalmente en los síntomas, que pueden variar persona por persona con XXXYY.
Causas
Esta condición es causada por una duplicación doble del cromosoma X y una duplicación del cromosoma Y, resultando en un fenotipo 49,XXXYY. Esto debido a una no-disyuncion que ocurre durante la división celular (XXXYY completo) o justo después de la concepción (XXXYY mosaico).[3][4]
Epidemiológia
Desde 1963, solo 7 casos han sido descritos en la literatura médica.[5]
Referencias
- ↑ RESERVADOS, INSERM US14-- TODOS LOS DERECHOS. «Orphanet: Síndrome 49,XXXYY». www.orpha.net. Consultado el 22 de junio de 2022.
- ↑ «49, XXXYY syndrome - About the Disease - Genetic and Rare Diseases Information Center». rarediseases.info.nih.gov (en inglés). Archivado desde el original el 22 de junio de 2022. Consultado el 22 de junio de 2022.
- ↑ «49, XXXYY syndrome». NORD (National Organization for Rare Disorders) (en inglés estadounidense). Consultado el 22 de junio de 2022.
- ↑ «rare guru disease». Archivado desde el original el 28 de septiembre de 2021. Consultado el 22 de junio de 2022.
- ↑ «A Patient with Moderate Intellectual Disability and 49, XXXYY Karyotype».
.png)