Síndrome de Eagle
| Síndrome de Eagle | ||
|---|---|---|
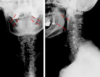
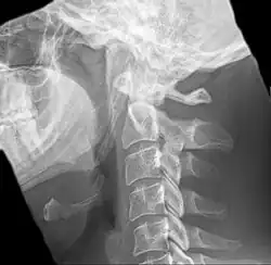
![]() Vistas lateral y anteroposterior de una radiografía cervical que muestra osificación del ligamento estilohioideo. | ||
| Sinónimos | ||
| Síndrome estilohioideo,[1] síndrome estiloide,[2] síndrome del proceso estiloide alargado y osificado.[3][2] | ||
El síndrome de Eagle, también conocido como síndrome estilohioideo,[1] síndrome estiloide o síndrome del proceso estiloide alargado y osificado,[2] es una enfermedad poco frecuente caracterizada por un alargamiento anormal de la apófisis estiloides del temporal o una calcificación del ligamento estilohioideo que provoca una alteración de la función de las estructuras cercanas, causando dolor al tragar, en el oído, en la superficie de la cara o en la zona cervical.[4]
Fue descrita por primera vez por el médico americano Watt W. Eagle en 1948.[5]
Etiología

Hay muchas causas diferentes que han sido propuestas para explicar el síndrome de Eagle. Una de ellas describe que se trata de un defecto en el desarrollo de cartílago de Reichert durante la fase embrionaria en la zona de la apófisis estiloides, la segunda atribuye el síndrome a la calcificación del ligamento estilomandibular a lo largo del tiempo, la tercera menciona una expansión de tejido óseo en el origen del ligamento estilomandibular. Frecuentemente es atribuido a anormalidades en el músculo estilohioideo complejas sin ningún factor traumático.[6]
Aunque no existe acuerdo respecto al origen del síndrome, sí lo hay respecto a cómo se producen los síntomas que lo definen. Una elongación u osificación de las estructuras del complejo estilohioideo conlleva una compresión de las estructuras neurovasculares de alrededor, entre las que se hallan los nervios facial, auriculotemporal, lingual, glosofaríngeo o hipogloso. Además, el complejo estilohioideo es el encargado de dividir las arterias carótida interna y carótida externa. Por ello, una compresión o pinzamiento de estas estructuras puede presentar una gran variedad de síntomas.[6]
Epidemiología
Se estima que el porcentaje de personas que tienen una apófisis estiloides alargada (es decir, de más de 4 centímetros de largo) es del 4% de la población general (1 de cada 25 personas). Sin embargo, solo un 4% dentro de este porcentaje sufre síntomas relacionados con el alargamiento, por lo que la incidencia real del Síndrome de Eagle es de 0,16%. (1 de cada 625 personas)[7]
Otro estudio más reciente que analizó 1003 radiografías en una población italiana de entre 5 y 90 años determinó que el 33,4% de los pacientes poseían una estiloides alargada, pero en este caso se definían como tal las apófisis de más de 3 centímetros de largo.[8] En la mayoría de los casos la elongación se da de forma bilateral.[9]
Signos y síntomas
Los pacientes que sufren de síndrome de Eagle suelen sufrir dolor unilateral en la zona lateral y anterior del cuello de carácter crónico. A veces este dolor se extiende a la zona del oído. Además del dolor a veces se puede dar sensación de cuerpo extraño en la garganta que invita a tragar, dificultad al tragar o dificultad al hablar.[9]
El síndrome de Eagle es de tipo vascular, cuando ocurre una compresión de una de las arterias carótidas. Si se da compromiso de la arteria carótida externa, los síntomes principales se agravan cuando el sujeto gira la cabeza hacia el lado afectado. Estos suelen incluir dolor constante en el cuello o irradiado al ojo. Si la arteria carótida interna es la afectada, los síntomas más comunes son dolor de cabeza y dolor que abarca desde la zona occipital hasta la zona del ojo.[9]
Diagnóstico
|
El diagnóstico se realiza en base a los signos y síntomas descritos y debe ser confirmado mediante pruebas de imagen. Los síntomas suelen empeorar en la palpación de la apófisis estiloides.[10]
La apófisis alargada o calcificación del ligamento estilohioideo suelen mostrarse fácilmente a través de una prueba radiográfica. De forma adicional se puede realizar un TAC para confirmar el diagnóstico y ver qué estructuras están siendo afectadas.[10]
Tratamiento
EL tratamiento no quirúrgico incluye la administración de medicamentos analgésicos, antidepresivos o anticonvulsivos; o la inyección de corticoides mediante un abordaje transfaríngeo. Si el tratamiento conservador no es efectivo, a menudo se recurre a intervenciones quirúrgicas. De estas, la más frecuente consiste en la resección de parte de la apófisis estiloides por vía intraoral o por vía externa.[4]
Referencias
- ↑ a b Suazo Galdames, I.; Cantín, L. M. (1 de mayo de 2011). «¿Síndrome de Eagle o síndrome estilohioideo?». Neurología 26 (4): 254. ISSN 0213-4853. doi:10.1016/j.nrl.2010.09.022. Consultado el 10 de abril de 2019.
- ↑ a b c Domínguez, Manuel Fernández; Sánchez, Elena Goyoaga; Luna, M. Martín; González, Aitana Loughney (2012). «¿Síndrome de Eagle, Síndrome Estilohioideo o Síndrome Carotídeo? Aportación de ocho casos». Científica dental: Revista científica de formación continuada 9 (2): 13-19. ISSN 1697-641X. PMID 1697. Consultado el 10 de abril de 2019.
- ↑ Síndrome de Eagle. Consultado el 10 de abril de 2019.
- ↑ a b Bokhari, Maria R.; Mohseni, Michael (2019). Eagle Syndrome. StatPearls Publishing. PMID 28613540. Consultado el 10 de abril de 2019.
- ↑ Eagle, W. W. (1 de mayo de 1948). «Elongated Styloid Process: Further Observations and a New Syndrome». Archives of Otolaryngology - Head and Neck Surgery (en inglés). pp. 630-640. doi:10.1001/archotol.1948.00690030654006. Consultado el 10 de abril de 2019.
- ↑ a b Badhey, Arvind; Jategaonkar, Ameya; Anglin Kovacs, Alexander Joseph; Kadakia, Sameep; De Deyn, Peter Paul; Ducic, Yadranko; Schantz, Stimson; Shin, Edward (2017-8). «Eagle syndrome: A comprehensive review». Clinical Neurology and Neurosurgery 159: 34-38. ISSN 1872-6968. PMID 28527976. doi:10.1016/j.clineuro.2017.04.021. Consultado el 10 de abril de 2019.
- ↑ Petrović, Branko; Radak, Djordje; Kostić, Vladimir; Covicković-Sternić, Nadezda (2008-11). «[Styloid syndrome: a review of literature]». Srpski Arhiv Za Celokupno Lekarstvo 136 (11-12): 667-674. ISSN 0370-8179. PMID 19177834. Consultado el 12 de abril de 2019.
- ↑ Bruno, G; De Stefani, A; Balasso, P; Mazzoleni, S; Gracco, A (2017). «Elongated styloid process: An epidemiological study on digital panoramic radiographs». Journal of Clinical and Experimental Dentistry: 0-0. PMID 29410761. doi:10.4317/jced.54370. Consultado el 12 de abril de 2019.
- ↑ a b c Costantinides, Fulvia (2013-1). «Eagle's syndrome: signs and symptoms». Cranio: The Journal of Craniomandibular Practice. pp. 56-60. doi:10.1179/crn.2013.008. Consultado el 18 de abril de 2019.
- ↑ a b SACCOMANNO, S. (2018-4). «Eagle’s Syndrome, from clinical presentation to diagnosis and surgical treatment: a case report». Acta Otorhinolaryngologica Italica. pp. 166-169. doi:10.14639/0392-100X-1479. Consultado el 18 de abril de 2019.




