Síndrome de Sjögren
| Enfermedad de Sjögren | ||
|---|---|---|
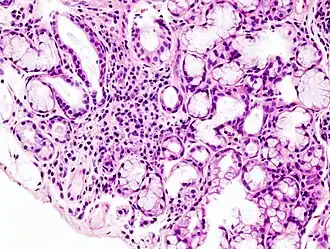
![]() Imagen histopatológica de infiltración en la glándula salivar menor asociada con la enfermedad de Sjögren. Biopsia labial. H & E stain. | ||
| Especialidad |
inmunología reumatología | |
La enfermedad de Sjögren (antes síndrome de Sjögren) es una enfermedad crónica de origen autoinmune. Se considera una enfermedad sistémica porque puede afectar a diferentes órganos y producir gran variedad de síntomas. Afecta principalmente a las glándulas exocrinas lo que conduce, principalmente, a la aparición de sequedad oral y ocular.[1] Las glándulas exocrinas son las encargadas de producir líquidos como la saliva, las lágrimas, las secreciones mucosas de la laringe y de la tráquea y las secreciones vaginales, líquidos que hidratan, lubrican y suavizan las partes del organismo que están en contacto con el exterior a través de las mucosas. Es también una enfermedad reumática, que produce dolor e hinchazón en las articulaciones. Es un proceso crónico de progresión lenta; los diversos síntomas y manifestaciones no siempre aparecen en todos los pacientes, y por este motivo puede transcurrir un plazo de tiempo muy largo entre el inicio de los síntomas y el diagnóstico de la enfermedad.
Etiología
El síndrome Sjögren se incluye dentro de las enfermedades autoinmunes porque el sistema inmunitario del cuerpo reacciona por causas desconocidas contra su propio organismo, así se producen autoanticuerpos que lesionan diferentes glándulas, entre ellas las glándulas salivares y lagrimales.
Cuadro clínico
Los principales síntomas son: ojos y boca seca, artralgias o artritis (60 %), fenómeno de Raynaud (37 %), linfadenopatías (14 %), afección pulmonar (14 %), vasculitis (11 %), afección renal (9 %), afección hepática (6 %), linfomas (6 %).
Enfermedades asociadas
El síndrome de Sjögren puede aparecer asociado con diversos trastornos, la mayoría de los cuales son enfermedades autoinmunes o reumáticas, tales como la enfermedad celíaca,[2][3][4] la fibromialgia, las tiroiditis autoinmunes, la esclerosis múltiple, las espondiloartropatías,[5] y ciertos procesos malignos, principalmente el linfoma no-Hodgkin.[5][6]
Tratamiento
Las medidas terapéuticas se basan en mejorar la sequedad de las mucosas y tratar el resto de las manifestaciones, no existe tratamiento curativo y debe evitarse la automedicación pues algunos fármacos utilizados de forma inadecuada pueden empeorar los síntomas. Se recomiendan medidas generales, entre ellas evitar medicamentos que puedan agravar los síntomas de sequedad, aumentar el consumo de agua, evitar los ambientes secos y realizar una higiene dental adecuada. Pueden utilizarse sustitutivos de la saliva y lágrimas artificiales para mejorar la sequedad ocular.
Las manifestaciones articulares pueden tratarse con diferentes fármacos, entre ellos AINES. Cuando existe afectación pulmonar, glomerulonefritis o vasculitis se recomiendan medicamentos inmunosupresores, entre ellos azatioprina, ciclofosfamida y corticoides. Si existe acidosis tubular se emplea bicarbonato sódico por vía oral. Se han propuesto diferentes tratamientos con terapias biológicas, entre ellos el rituximab.[7]
Historia
Recibe su nombre en honor al oftalmólogo sueco Henrik Sjögren. No debe confundirse con el síndrome de Sjögren–Larsson que es una entidad diferente descrita por Karl Gustaf Torsten Sjögren.
Véase también
Referencias
- ↑ Torres, Janett Carmen Luzmila Riega; Gonzalez, Antonio Jaime Villarreal; Falcon, Luis Ángel Ceceñas; Alanis, Julio César Salas (2016). «Síndrome de Sjögren (SS), revisión del tema y saliva como método diagnóstico». Gaceta médica de México 152 (3): 371-380. ISSN 0016-3813. Consultado el 8 de noviembre de 2019.
- ↑ Lundin KE, Wijmenga C (Sep 2015). «Coeliac disease and autoimmune disease–genetic overlap and screening». Nat Rev Gastroenterol Hepatol (Revisión) 12 (9): 507-15. PMID 26303674. doi:10.1038/nrgastro.2015.136.
- ↑ Denham JM, Hill ID (Aug 2013). «Celiac disease and autoimmunity: review and controversies». Curr Allergy Asthma Rep (Revisión) 13 (4): 347-53. PMC 3725235. PMID 23681421. doi:10.1007/s11882-013-0352-1.
- ↑ Craig E, Cappelli LC (febrero de 2018). «Gastrointestinal and Hepatic Disease in Rheumatoid Arthritis.». Rheum Dis Clin North Am (Revisión) 44 (1): 89-111. PMC 5726432. PMID 29149929. doi:10.1016/j.rdc.2017.09.005.
- ↑ a b Gabriel SE, Michaud K (2009). «Epidemiological studies in incidence, prevalence, mortality, and comorbidity of the rheumatic diseases». Arthritis Res Ther (Revisión) 11 (3): 229. PMC 2714099. PMID 19519924. doi:10.1186/ar2669.
- ↑ Papageorgiou A, Voulgarelis M, Tzioufas AG (Jul 2015). «Clinical picture, outcome and predictive factors of lymphoma in Sjӧgren syndrome». Autoimmun Rev (Revisión) 14 (7): 641-9. PMID 25808075. doi:10.1016/j.autrev.2015.03.004.
- ↑ Aspectos actuales del síndrome de Sjögren: etiopatogenia, manifestaciones clínicas, diagnóstico y tratamiento. Seminarios de la Fundación Española de Reumatología. Vol. 11. Núm. 2. Páginas 70-76 (abril - junio 2010). Consultado el 13 de septiembre de 2019.
Enlaces externos
- Asociación Española de Sjögren
- Claudia Gutiérrez Gómez, et al. Linfoma tipo Malt en Síndrome de Gougerot Sjögren (en español). Cirugía Plástica. Vol. 10, Núm. 3; septiembre-diciembre de 2000; pp 108 - 114.
- SICCA Argentina. Investigación en Síndrome de Sjögren. Información para pacientes
- ASSA. Asociación Síndrome de Sjögren Argentina
.jpg)