Schwannoma
| Schwannoma | ||
|---|---|---|
|
Schwannoma. | ||
| Especialidad | oncología | |
El schwannoma, también conocido como neurilemoma,[1] es un tumor benigno compuesto por células de Schwann, las cuales normalmente producen la membrana aislante llamada vaina de mielina que recubre los nervios periféricos.
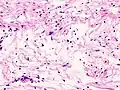
Los schwannomas son tumores benignos muy homogéneos de la vaina nerviosa, formados solamente por células de Schwann. Son tumores muy bien delimitados ya que poseen una cápsula fibrosa y tienen consistencia blanda y gelatinosa. A nivel histológico destaca la proliferación de células tumorales fusiformes con áreas densamente celulares (Antoni A) y áreas más laxas (Antoni B). En las zonas Antoni A hay áreas en las que los núcleos se disponen en empalizada formando los denominados cuerpos de Verocay, que llevan el nombre del médico uruguayo José Verocay. Las células tumorales siempre permanecen fuera del nervio de tal forma que el nervio queda en la periferia lo cual significa que la masa es fácilmente extirpable sin dañar el nervio. Provoca síntomas por compresión nerviosa ya que el tumor por sí mismo puede presionar el nervio al lado y/o contra una estructura ósea (de esta forma probablemente causando daño).
Los schwannomas tienen relativamente un crecimiento lento. Por razones aún no entendidas los Schwannomas son en su mayoría benignos y menos del 1% se convierten en malignos, degenerando en una forma de cáncer conocido como neurofibrosarcoma.
Los schwannomas pueden depender de un desorden genético llamado neurofibromatosis en la cual se producen frecuentes mutaciones inactivadoras del gen NF2 (cromosoma 22) que provocará la pérdida de la expresión de merlina desencadenando así la proliferación celular descontrolada. En inmunihistoquímica son universalmente S-100 positivos. Existen formas intradurales (el más típico es el neurinoma del acústico) y extradurales.
Los Schwannomas pueden ser eliminados quirúrgicamente, pero estos pueden recidivar.
Imágenes adicionales
-
Schwannoma periférico Antoni tipo A
-
Schwannoma subcutaneo Antoni B -
Schwannoma subcutaneo Antoni B -
Schwannoma subcutaneo Antoni B -
Schwannoma subcutaneo S-100 positivo
Referencias
- ↑ James, William; Berger, Timothy; Elston, Dirk (2005). Andrews' Diseases of the Skin: Clinical Dermatology. (10th ed.). Saunders. ISBN 0-7216-2921-0.
Véase también
- Neurofibroma
- Schwannoma vestibular (Neuroma Acústico)