Seminoma
| Seminoma | ||
|---|---|---|
![]() | ||
| Especialidad | oncología | |
Un seminoma es un tipo de cáncer de testículo, que se cree que origina del epitelio germinal de los túbulos seminíferos. Más del 80 por ciento de los hombres con seminomas, teratomas o carcinomas embrionarios sobrevive 5 años o más.[1] Producen masas voluminosas que pueden hacer que el testículo afectado obtenga más de 10 veces su tamaño normal.
Epidemiología
Los seminomas representan entre un 30-40 % de todos los tipos de tumores de testículo. La mayor incidencia ocurre en la cuarta década de la vida, pero son comunes también entre los 15 y 40 años de vida. La enfermedad tiende a estar localizado solo en los testículos, aunque en un 25 % de los casos se pueden diseminar hacia los ganglios linfáticos.[2]
Diagnóstico
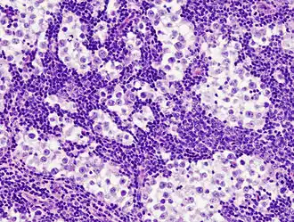
En la biopsia se notan células alargadas con citoplasma claro, membrana celular bien delimitada organizadas en una arquitectura septal. Se ha propuesto que las proteínas POU2AF1[3] y PROM1[4] pueden servir como marcadores tumorales.[5]
Tratamiento
En años recientes, estos tumores han demostrado sensibilidad dramática tanto a la radioterapia y a la quimioterapia citotóxica. El control del seminoma en la infancia es similar al del seminoma adulto. En casi todos los casos se requiere una orquiectomía, es decir, la remoción del testículo afectado.
Véase también
Referencias
- ↑ Manual Merck de información médica para el hogar. [1] (en español). Capítulo 229: Trastornos de pene, próstata y testículos. Consultado 30 de mayo, 2008.
- ↑ por MedlinePlus (mayo de 2006). «Cáncer testicular». Enciclopedia médica en español. Consultado el 30 de mayo de 2008.
- ↑ Herencia Mendeliana en el Hombre - POU DOMAIN, CLASS 2, ASSOCIATING FACTOR 1; POU2AF1 (en inglés). National Library of Medicine.
- ↑ Herencia Mendeliana en el Hombre - PROMININ 1; PROM1 (en inglés). National Library of Medicine.
- ↑ Gashaw I, Dushaj O, Behr R, et al (2007). «Novel germ cell markers characterize testicular seminoma and fetal testis». Mol. Hum. Reprod. 13 (10): 721-7. PMID 17785371. doi:10.1093/molehr/gam059.
_nodal_metastasis.jpg)