Spirochaetaceae
| Spirochaetaceae | ||
|---|---|---|
![]() | ||
| Taxonomía | ||
| Dominio: | Bacteria | |
| Reino: | Pseudomonadati | |
| Filo: | Spirochaetota | |
| Clase: | Spirochaetia | |
| Orden: | Spirochaetales | |
| Familia: | Spirochaetaceae Swellengrebel 1907 | |
| Géneros | ||
| ||
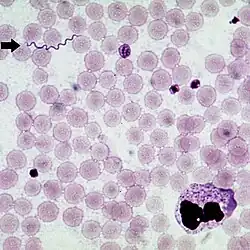
Spirochaetaceae son una familia de bacterias del orden de los Spirochaetales de la clase Spirochaetia.
Bacterias anaerobias, anaerobias facultativas o microaerofilas, helicoidales con un diámetro comprendido entre 0.1 y 3.0 micrómetros, los extremos no están curvados. En el peptidoglucano poseen L-ornitina. Utilizan carbohidratos o aminoácidos como fuente energética y carbonada.
