Tálamo (sistema nervioso)
| Tálamo (SNC) | ||
|---|---|---|
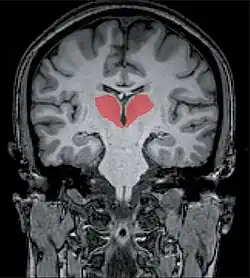
![]() Vista del tálamo en color rojo. | ||
| Nombre y clasificación | ||
| Latín | Thalamus dorsalis | |
| TA | A14.1.08.101 | |
| TE | E5.14.3.4.2.1.8 | |
| Información anatómica | ||
| Región | diencéfalo | |
| Arteria | Arteria cerebral posterior | |
|
| ||
El tálamo es una estructura que se encuentra situada en el centro del encéfalo, por encima del hipotálamo. Forma parte del diencéfalo, del que constituye alrededor del 80%.
Está formado por varios núcleos neuronales (sustancia gris) entre los que se intercalan fibras nerviosas (sustancia blanca). Es una estructura par que mide alrededor de 3 cm de largo en un humano adulto.
Constituye una estación intermedia para la información sensitiva procedente de la médula espinal que se dirige a la corteza cerebral. También tiene funciones motoras y se conecta con el cerebelo.[1]
Anatomía
_in_coronal_section.jpg)
El tálamo es una estructura par con forma ovalada. Mide alrededor de 3 cm de largo y representa el 80% del diencéfalo, el 20% restante lo forma el hipotálamo y el epitálamo. Está constituido por núcleos de sustancia gris dispuestos entre tractos de sustancia blanca. Lo atraviesa en toda su longitud una estructura vertical que recibe el nombre de lámina medular interna que lo divide en dos partes y está formada por sustancia blanca que conecta los núcleos talámicos entre sí. El tálamo del lado derecho se une con el izquierdo mediante la comisura gris intertalámica que actúa como un puente entre ambas formaciones.[1]
Función
Contribuye a numerosas funciones encefálicas, incluyendo el procesamiento de la información sensitiva, memoria, emociones y funciones motoras.[2] Con excepción del olfato toda la información sensorial pasa por las estructuras del tálamo antes de alcanzar la corteza cerebral a la que está conectada mediante el sistema talamocortical, una unidad funcional cerebral compuesta por fibras nerviosas aferentes y eferentes que conectan el tálamo con la corteza cerebral.[3] El tálamo transforma de algún modo la información que lo atraviesa, por eso se considera que es además de una estación de relevo, un centro integrador del sistema nervioso central.
Núcleos talámicos

Los núcleos del tálamo pueden dividirse en cuatro regiones principales, cada una de los cuales está formada por uno o varios núcleos de neuronas:[1]
- Grupo anterior. Incluye el núcleo anterior.
- Grupo medial. Incluye los núcleos mediales.
- Grupo lateral. Incluye el núcleo lateral dorsal, núcleo lateral posterior y núcleo pulvinar.
- Grupo ventral. Está formado por cinco núcleos.
- Otros. Núcleos intralaminares, núcleo de la línea media y núcleo reticular.
Conectividad talámica
Desde el punto de vista funcional los núcleos talámicos se pueden dividir en tres grupos:[4]
- Núcleos de conexión específica.
- Núcleos de conexión inespecífica.
- Núcleos de asociación.
Núcleos de conexión específica
Estos núcleos reenvían la información que reciben a áreas difinidas de la corteza cerebral. Las vías que utilizan los núcleos de conexión específica son:
- Vía óptica: a través del núcleo geniculado lateral hacia el área 17 de Brodman.
- Vía auditiva: a través del núcleo geniculado medial hacia las áreas 41-42 de Brodman.
- Señales sensoriales del hemicuerpo y hemicara contralateral: a través del núcleo ventral posterolateral hacia las áreas 1-2-3 de Brodman.


Núcleos de conexión inespecífica
En este caso, el tálamo no reenvía la información a áreas definidas de la corteza, sino que se conecta a grandes superficies corticales. Estos núcleos (núcleos reticulares, núcleos intralaminares, núcleo lateral dorsal, núcleo lateral posterior, núcleo centromedial, núcleos pulvinares) reciben información de la formación reticular (un sistema sináptico ubicado en el tronco del encéfalo).
Núcleos de asociación
Las vías que utilizan los núcleos de asociación son:
- Cerebelo y globo pálido: a través del núcleo ventral anterior y núcleo vental lateral hacia el área 6 de Brodmann.
- Cuerpos mamilares: a través de núcleo anterior del tálamo hacia la circunvolución del cíngulo.
- Corteza prefrontal: a través del núcleo dorsomedial.[5]
Referencias
- ↑ a b c Tortora-Derrickson. Principios de Anatomía y Fisiología. Consultado el 30 de noviembre de 2019
- ↑ Lesiones talámicas: un desafío semiológico. Revista Uruguaya de Medicina Interna, mayo 2016
- ↑ The thalamus of secrets. Neurology Journal. Publicado el 6 de marzo de 2016. Consultado el 1 de diciembre de 2019.
- ↑ Manual de neurofisiología. Autor: Daniel P. Cardinali. Consultado el 1 de diciembre de 2019.
- ↑ El sistema nervioso central humano. Autores: Nieuwenhuys, Voogd, Van Huijzen. Consultado el 8 de diciembre de 2019
Enlaces externos
Wikimedia Commons alberga una categoría multimedia sobre Tálamo.
