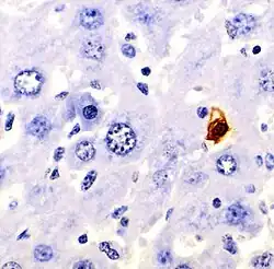
TUNEL (biología)

El Marcado de final de corte de dUTP de Terminal deoxinucleotidil transferasa (TUNEL por sus siglas en inglés) es un método para detectar fragmentación de ADN marcando el fragmento terminal de los ácidos nucleicos.[1]

Método
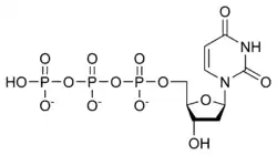
El TUNEL es un método común para detectar fragmentación de ADN debida a cascadas de señalización apoptóticas.[2] El ensayo se basa en la presencia de cortes en el ADN los cuales se pueden identificar por la terminal deoxinucleotidil transferasa o TdT, una enzima que catalizará la adición de dUTPs que son marcados secundariamente con un marcador. También podría marcar células que han sufrido daño severo en el ADN.
Referencias
- ↑ Lozano G.M., Bejarano, I., Espino, J., González, D., Ortiz, A., García, J.F., Rodríguez, A.B., Pariente, J.A. (2009). "Relationship between Caspase Activity and Apoptotic Markers in Human Sperm in Reponse to Hydrogem Peroxide and Progesterone". Journal of Reproduction and Development 55(6): 615-621.
- ↑ Lozano G.M., Bejarano, I., Espino, J., González, D., Ortiz, A., García, J.F., Rodríguez, A.B., Pariente, J.A. (2009). "Density gradient capacitation is the most suitable method to improve fertilization and to reduce DNA fragmentation positive spermatozoa of infertile men". Anatolian Journal of Obstetrics & Gynecology 3(1): 1-7.