Tetrasomía X
| Síndrome XXXX | ||
|---|---|---|
![]() | ||
| Especialidad | genética médica | |
| Causas | No disyunción | |
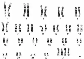
| Diagnóstico | cariotipo | |
| Diagnóstico diferencial | Trisomía X, pentasomía X , síndrome de Down | |
| Sinónimos | ||
| 48-XXXX | ||
Síndrome de XXXX-48 (también llamado tetrasomía X, X cuádruple, o 48-XXXX) es una rara aberración cromosómica causado por la presencia de cuatro cromosomas X en lugar de dos que es la condición normal. Esta afección se da sólo en las mujeres, ya que no existen cromosomas Y presentes. Esta anomalía fue descrita por primera vez en 1961, y desde entonces se han registrado alrededor de 100 casos en todo el mundo. Aproximadamente se han descrito 60 mujeres en la literatura médica.
Causas y diagnóstico
La tetrasomía X es una aneuploidía cromosómica, lo que significa que surge de un defecto en la meiosis. Esto puede ocurrir cuando los dos cromosomas homólogos X no se separan durante la formación del óvulo. Su diagnóstico se basa en los síntomas presentes en el individuo y se confirma a través del estudio del cariotipo de la persona, que pone de manifiesto el exceso de cromosomas X.
Síntomas
Los síntomas de la tetrasomía X son muy variables, que van desde relativamente leves a graves. Físicamente, los pacientes tienden a tener rasgos faciales distintivos como pliegues epicánticos, puente nasal plano, fisuras palpables, deformación del tercio medio hipoplásico, boca pequeña, fisura de arco alto o paladares, retraso o ausencia de dientes, o los defectos del esmalte. La mayoría también han sido reportados por ser más obesos y más altos. Muchos de ellos también muestran conjuntos de órganos deformados y el tono muscular anormal, incluidos los conjuntos de hipotonía y soltura en las caderas. También puede esta extraña enfermedad presentar problemas esqueléticos como curvaturas anormales de la columna vertebral.
En términos de inteligencia, los hallazgos clínicos sugieren que el cociente intelectual disminuye de 10 a 15 puntos por cromosoma X extra. En consecuencia, la media de las puntuaciones de IQ de los pacientes tienen entre 60 y 80.[1]
En su desarrollo, a menudo los pacientes muestran leves retrasos en las áreas de desarrollo del habla y la articulación, lenguaje de expresión y la comprensión, lectura y habilidades. Los retrasos en el desarrollo motor también están presentes, caminando con edades comprendidas entre 16 meses a 4,5 años. Alrededor del 50% de los pacientes sometidos a la pubertad normalmente, mientras que el otro 50% experiencias no la pubertad, la pubertad parcial sin características sexuales secundarias, o completar la pubertad con irregularidades menstruales y / o la menopausia temprana (posiblemente tan pronto como los adolescentes). En la historia de la humanidad médica, desde hace dos décadas en EE. UU. hubo cuatro informes sobre embarazos con trisomía XXX, dos malformaciones con labio leporino y paladar hendido, uno con trisomía 21, un muerto con onfalocele y uno con Cri Du Chat (maullido del gato).[cita requerida]
En términos de sistemas de órganos internos, Los enfermos pueden tener alguna enfermedad anormal de visión, audición, los sistemas circulatorio, motor. los riñones o sistema nervioso. Trastornos del ojo incluir la miopía, nistagmo, coloboma, microphthalmus, o hipoplasia del nervio óptico. En términos de audiencia, los pacientes son más propensos a infecciones del oído, obstrucción de sonido, o alteraciones nerviosas. Varios defectos cardíacos También se ha informado, entre ellos el defecto de la zona ventricular / defectos del septo auricular, atresia, hipoplasia del corazón, síndrome del Corazón externo derecho, conducto arterioso persistente, y conotruncal o defectos valvulares cardíacas. estos también parecen ser más propensos a la incautación de actividad, aunque no se ha documentado anomalías en la función cerebral o cuando se analiza la estructura mediante un EEG o RM (resonancia magnética).
Tratamiento y pronóstico
El pronóstico general para las niñas con tetrasomías es relativamente bueno. Debido a la variabilidad de los síntomas, algunas niñas son capaces de vivir con normalidad, mientras que otras necesitan atención médica durante toda su vida. Tradicionalmente, el tratamiento del tetrasoma X ha sido la gestión de los síntomas y el apoyo para el aprendizaje. La mayoría de las niñas se encuentran en tratamiento con estrógenos para inducir el desarrollo de mama, detención del crecimiento longitudinal, y estimular la formación de hueso para prevenir la osteoporosis. Discurso, ocupacional y terapia física también puede ser necesaria dependiendo de la gravedad de los síntomas.
Referencias
- ↑ «Tetrasomy X». Rare Chromosome & Gene Disorder Guides: Chromosome X (en inglés). Unique, Tetrasomy & Pentasomy X Support Group. Consultado el 15 de junio de 2019.
