Tricoleucemia
| Tricoleucemia | ||
|---|---|---|
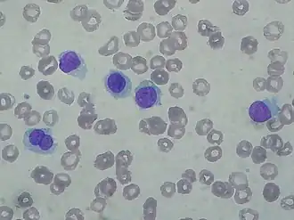
![]() Frotis sanguíneo de una tricoleucemia | ||
| Especialidad | hematología | |
| Causas | proliferación de células blancas | |
| Diagnóstico |
análisis de sangre Hemograma Frotis de sangre | |
| Tratamiento | quimioterapias reactivas | |
| Sinónimos | ||
|
Leucemia de células peludas Reticuloendoteliosis leucémica tricoleucemia | ||
La tricoleucemia,[1] leucemia de células peludas, leucemia de células pilosas o reticuloendoteliosis leucémica es una neoplasia hematológica de estirpe linfoide B. Se la ha clasificado como un subtipo de leucemia linfática crónica.
Historia
La tricoleucemia fue descrita a principios del siglo XX y originalmente era denominada "leucemia histiocítica", "reticulosis maligna" o "reticulosis linfoide".
En 1958 se le renombra tricoleucemia por el aspecto "peludo" de las células B malignas que aparecen en esta patología.
Cuadro clínico
Los síntomas de la tricoleucemia incluyen:
- Poliartralgia
- Fatiga
- Moretones que se producen con facilidad
- Infecciones recurrentes
- Debilidad
- Pérdida de peso.[2]
Los signos de la tricoleucemia incluyen:
- Pancitopenia.
- Esplenomegalia (que puede ser masiva).
- Escasas adenopatías (<5 %) (lo que la diferencia de otras enfermedades linfáticas). Aunque en los estudios de imagen (TAC) se descubren adenopatías abdominales con frecuencia.
- Alteraciones inmunológicas: vasculitis (generalmente panarteritis nodosa) e infecciones (frecuentemente neumonías por Legionella).
Diagnóstico
- Historia clínica y exploración.
- Extensión de sangre periférica: donde se verán las células peludas,
- Citoquímica e inmunología: Es característica la tinción para fosfatasa ácida resistente al tartrato y el marcador CD25. Aunque también expresan CD19, CD20, CD22, CD11c, CD103 y FMC7.
- Estudio de médula ósea: El aspirado normalmente es seco, por lo que hay que hacer una biopsia para el diagnóstico.
El diagnóstico diferencial hay que hacerlo con la mieloptisis, la aplasmia medular y, sobre todo con la leucemia prolinfocítica, que también presenta una gran esplenomegalia y pocas adenopatías. La prolinfocítica tiene peor pronóstico y presenta hiperleucocitosis.
Tratamiento
Se trata a aquellos pacientes en los que la sintomatología es muy acusada. El fármaco de primera elección es la cladribina (un análogo de las purinas), que consigue remisión en un 95 % de los casos.
Referencias
- ↑ OMS,OPS,BIREME (ed.). «Leucemia de Células Pilosas». Descriptores en Ciencias de la Salud. Biblioteca Virtual en Salud.
- ↑ «Leucemia de células pilosas». Mayo Clinic.
Bibliografía
Fauci AS, Braunwald E, Kasper DL, Hauser SL, Harrison's Principles of Internal Medicine, 17º ed. Nueva York: McGraw-Hill, 2008.
