Tumor de Warthin
| Tumor de Warthin | ||
|---|---|---|
![]() Tumor de Warthin, a la derecha de la imagen, se diferencia del tejido de la glándula parótida—adyacente a él. | ||
| Especialidad | oncología | |
| Sinónimos | ||
| Cistoadenoma papilar linfomatoso | ||
El tumor de Warthin, también conocido como cistadenoma papilar linfomatoso benigno, es un tipo de tumor benigno de las glándulas salivales. La causa de aparición es aún desconocida, aunque se ha demostrado una fuerte asociación con el fumar cigarrillos, pues una persona fumadora tiene 8 veces más riesgo de desarrollar un tumor de Warthin que el resto de la población general.
Epidemiología
Aunque es menos frecuente que los adenomas pleomórficos, el tumor de Warthin es la segunda forma más común de tumor benigno de la parótida.[1] Es mucho más común en adultos entre los 60 y 70 años de edad[2] y se está empezando a ver una leve predilección femenina en los estudios más recientes, aunque en el pasado se ha asociado con una mayor incidencia entre hombres que mujeres. Este cambio puede que se deba a una mayor frecuencia de tabaquismo en mujeres. Entre un 5 - 14% de los casos, el tumor de Warthin es bilateral,[2] pero las dos masas usualmente aparecen en diferentes momentos.
Etiología
Se ha demostrado la existencia de factores ambientales y genéticos que contribuyen a una mayor probabilidad de aparición de los tumores benignos de Warthin, aunque el proceso de aparición no está aún claro. Algunos especulan que el tabaco y el virus del papiloma humano desencadenan su formación.[3] El estar expuesto a la radiación, por ejemplo, está enlazado con la aparición de estos tumores.[4]
Cuadro clínico
La glándula que más comúnmente se ve afectada es la parótida. El tumor es de crecimiento lento, raramente doloroso y por lo general aparece en la cola de la glándula parótida, cerca del ángulo de la mandíbula.
Histología
Macroscópicamente, el tumor de Warthin es una masa blanda en la glándula parótida, bien enmarcada y contiene múltiples quistes.
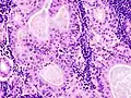
Bajo el microscopio, el tumor de Warthin tiene una apariencia muy característica. Se ven los espacios quísticos rodeados por dos hileras uniformes de células acinares con núcleos centrales y picnóticos. Estos espacios quísticos tienen epitelio que lleva el nombre de proyecciones papilares que protruyen hacia los espacios quísticos. El epitelio en cuestión está compuesto en parte por un rico estroma linfoide con formación germinal en el centro.[4]
Tratamiento
La mayoría de los tumores de Warthin son intervenidos quirúrgicamente. La recurrencia es muy infrecuente, apareciendo entre un 6-12% de los casos. El tumor de Warthin tiene una muy remota posibilidad de que se torne maligno. Ocasionalmente puede estar presente junto con un adenoma pleomórfico o incluso junto a un carcinoma epidermoide.[5]
Imágenes adicionales
-
Cistoadenolinfoma (tumor de Warthin) de una parótida. -
Histopatología del tumor de Warthin en la glándula parótida. -
Otra vista de la imagen anterior. -
Mayor magnificación de la imagen anterior.
Véase también
Referencias
- ↑ VARGAS, Pablo Agustin, GERHARD, Renê, ARAUJO FILHO, Vergílius J. F. et al. Salivary gland tumors in a Brazilian population: a retrospective study of 124 cases. Rev. Hosp. Clin. [online]. 2002, vol. 57, no. 6 [acceso 09 febrero, 2008], pp. 271-276. Disponible de: [1]. ISSN 0041-8781. doi: 10.1590/S0041-87812002000600005
- ↑ a b Raúl Claure S. Tumores Glándulas Salivales Archivado el 19 de febrero de 2008 en Wayback Machine. (en español). Pontificia Universidad Católica de Chile. Último acceso 9 de febrero, 2008.
- ↑ PEREZ CASTRO, Ligia, PEREZ, Orlando Yoris, SARMIENTO SALAS, Luís et al. Cistadenoma papilar linfomatoso ectopico. Presentación de un Caso: A Case Report. OD. [online]. jun. 2006, vol.3, no.1 [citado 9 de febrero de 2008], p.25-30. Disponible en la World Wide Web: [2]. ISSN 1317-8245.
- ↑ a b Fadi Chahin, Matthew R Kaufman. eMedicine.com: noviembre, 2005. Salivary Gland Tumors, Minor, Benign (en inglés). Último acceso 9 de febrero, 2008.
- ↑ AZUA-ROMEO, J., SAURA FILLAT, E., USON BOUTHELIER, T. et al. Tumores sincrónicos de glándula salivar: A propósito de dos casos. Rev Esp Cirug Oral y Maxilofac. [online]. 2005, vol. 27, no. 3 [citado 09 febrero, 2008], pp. 145-149. Disponível em: [3]. ISSN 1130-0558.
- Kahn, Michael A. Basic Oral and Maxillofacial Pathology. Volume 1. 2001.
Enlaces externos
Wikimedia Commons alberga una categoría multimedia sobre Tumor de Warthin.- Imágenes del tumor de Warthin removido por parotidectomía. Otolaryngology Houston (en inglés).
