Tumor rabdoide
| Tumor rabdoide | ||
|---|---|---|
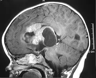
![]() Imagen de resonancia magnética de un tumor teratoideo/rabdoide atípico (ATRT) supratentorial en un niño. | ||
| Especialidad | oncología | |
El tumor rabdoide es un tipo de cáncer pediátrico poco frecuente que se comporta de forma muy agresiva y pertenece al grupo de los sarcomas. Suele aparecer en niños menores de 2 años en el riñón u otros órganos como el hígado y se manifiesta por la aparición de una masa en el abdomen o por síntomas provenientes de la compresión de órganos vecinos. En más del 90% de los casos existe una anomalía genética consistente en una inactivación en los 2 alelos del gen supresor tumoral SMARCB1 situado en el cromosoma 22 humano (22q11.23). El tratamiento se basa en la cirugía lo más completa posible, quimioterapia y radioterapia cuando es factible, dada la corta edad de la mayor parte de los pacientes. El pronóstico es malo con una supervivencia media a los 5 años del diagnóstico de solo el 20% de los afectados.[1]
Clasificación
Los tumores rabdoides se dividen en tres según su localización inicial: renal, extrarrenal y del sistema nervioso central, este último se denomina tumor rabdoide teratoide atípico del sistema nervioso central y representa entre el 1 y el 2% de los tumores cerebrales en niños de menos de 3 años.
Referencias
- ↑ Orphanet: Tumor rabdoide. Consultado el 16 de enero de 2016.
