Epitelio de transición
| Epitelio de transición | ||
|---|---|---|
![]() Epitelio de transición | ||
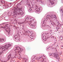
![]() Epitelio de transición de la vejiga urinaria, conocido como urotelio. La superficie redondeada de las células apicales es una característica distintiva de este tipo de epitelio. | ||
| TH | H2.00.02.0.02033 | |
| TH | H2.00.02.0.02033 | |
| Información anatómica | ||
| Sistema | Sistema urinario | |
|
| ||

El epitelio de transición es un tipo de epitelio estratificado. Este tejido consta de múltiples capas de células epiteliales que pueden contraerse y expandirse para adaptarse al grado de distensión necesario. El epitelio de transición recubre los órganos del sistema urinario y se conoce aquí como urotelio. La vejiga, por ejemplo, necesita una gran distensión.
Estructura
La aparición del epitelio de transición depende de las capas en las que reside. Las células de la capa basal son cuboidales, o en forma de cubo, y columnares, o en forma de columna, mientras que las células de la capa superficial varían en apariencia dependiendo del grado de distensión.[1] Estas células parecen ser cuboidales con un ápice abovedado cuando el órgano o el tubo en el que residen no se estira. Cuando el órgano o el tubo se estira (por ejemplo, cuando la vejiga se llena de orina), el tejido se comprime y las células se estiran. Cuando esto sucede, las células se aplanan y parecen escamosas e irregulares.
Capas de células
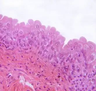
El epitelio de transición está formado por tres tipos de capas celulares: basal, intermedia y superficial.[2] La capa basal fomenta las células madre epiteliales para proporcionar una renovación constante del epitelio.[3] El citoplasma de estas células es rico en tonofilamentos y mitocondrias; sin embargo, contienen pocos retículos endoplásmicos rugosos. Los tonofilamentos desempeñan un papel en la unión de la capa basal a la membrana basal a través de desmosomas.[4] La capa celular intermedia es altamente proliferativa y, por lo tanto, proporciona una rápida regeneración celular en respuesta a una lesión o infección del órgano o tubo en el que reside. Estas células contienen un prominente aparato de Golgi y una serie de vesículas unidas a la membrana. Éstas funcionan en el empaquetamiento y transporte de proteínas, como la queratina, a la capa celular superficial. La capa celular superficial, la que recubre el lumen, es la única capa completamente diferenciada del epitelio. Proporciona una barrera impenetrable entre el lumen y el torrente sanguíneo, para no permitir que el torrente sanguíneo reabsorba desechos dañinos o patógenos. Todas las células epiteliales de transición están cubiertas por microvellosidades y una capa de mucosa fibrilar
El epitelio contiene muchas conexiones íntimas y delicadas con el tejido neural y conectivo. Estas conexiones permiten que la comunicación le diga a las células que se expandan o se contraigan. La capa superficial del epitelio de transición está conectada a la capa basal a través de proyecciones celulares, como filamentos intermedios que sobresalen de la membrana celular. Estos elementos estructurales hacen que el epitelio permita la distensión; sin embargo, también hacen que el tejido sea relativamente frágil y, por lo tanto, difícil de estudiar. Todas las células tocan la membrana basal [cita requerida]
Membrana celular
Debido a su importancia como barrera osmótica entre el contenido del tracto urinario y los órganos y tejidos circundantes, el epitelio de transición es relativamente impermeable al agua y a las sales. Esta impermeabilidad se debe a una membrana celular altamente queratinizada sintetizada en el aparato de Golgi.[5] La membrana está formada por una red hexagonal unida en el aparato de Golgi e implantada en la superficie de la célula por pinocitosis inversa, un tipo de exocitosis.[6] Las células de la capa superficial del epitelio de transición están muy diferenciadas, lo que permite el mantenimiento de esta membrana de barrera.[6] La capa basal del epitelio está mucho menos diferenciada; sin embargo, actúa como una fuente de reemplazo para la capa más superficial.[6] Aunque el complejo de Golgi es mucho menos prominente en las células de la capa basal, estas células son ricas en proteínas citoplasmáticas que se unen para formar tonofibrillas. Estas tonofibrillas convergen en los hemidesmosomas para unir las células en la membrana basal.[4]
Función
Las células del epitelio de transición se estiran fácilmente para acomodar la fluctuación de volumen del líquido en un órgano (la parte distal de la uretra se convierte en epitelio escamoso estratificado no queratinizado en las mujeres; la parte que recubre el fondo del tejido se denomina membrana basal). El epitelio de transición también funciona como una barrera entre el lumen, o el espacio hueco del tracto que recubre, y la corriente sanguínea. Para ayudar a lograr esto, las células del epitelio de transición están conectadas por uniones apretadas, o uniones virtualmente impenetrables que se sellan a las membranas celulares de las células vecinas. Esta barrera impide la reabsorción de desechos tóxicos y patógenos por el torrente sanguíneo.
Significación clínica
El urotelio es susceptible a los carcinomas. Debido a que la vejiga está en contacto con la orina por períodos prolongados, los químicos que se concentran en la orina pueden causar cáncer de vejiga. Por ejemplo, fumar cigarrillos conduce a la concentración de carcinógenos en la orina y es una de las principales causas de cáncer de vejiga. El ácido aristolóquico, un compuesto que se encuentra en las plantas de la familia de las Aristolochiaceae, también causa mutaciones en el ADN y es una causa de cáncer de hígado, urotelial y de vejiga.[7] La exposición ocupacional a ciertos químicos también es un factor de riesgo para el cáncer de vejiga. Esto puede incluir aminas aromáticas (colorante de anilina), hidrocarburos aromáticos policíticos y gases de escape de motores diesel.[8]
Carcinoma
El carcinoma es un tipo de cáncer que ocurre en las células epiteliales. El carcinoma de células transicionales es el tipo principal de cáncer de vejigacáncer de vejiga, que ocurre en 9 de cada 10 casos.[9] También es la principal causa de cáncer de uréter, uretra y uraco, y la segunda causa principal de cáncer de riñón. El carcinoma de células transicionales puede desarrollarse de dos maneras diferentes. En caso de que el carcinoma de células de transición crezca hacia la superficie interna de la vejiga a través de proyecciones en forma de dedo, se lo conoce como carcinoma papilar. De lo contrario, se conoce como carcinoma plano. Cualquiera de las formas puede pasar de no invasiva a invasiva al extenderse a las capas musculares de la vejiga. El carcinoma de células de transición es comúnmente multifocal, y existe más de un tumor en el momento del diagnóstico.
El carcinoma de células de transición puede hacer metástasis o diseminarse a otras partes del cuerpo a través de los tejidos circundantes, el sistema linfático y el torrente sanguíneo. Se puede propagar a los tejidos y la grasa que rodean el riñón, la grasa que rodea al uréter o, más progresivamente, a los ganglios linfáticos y otros órganos, incluido el hueso. Los factores de riesgo comunes del carcinoma de células de transición incluyen el uso indebido a largo plazo de medicamentos para el dolor, el tabaquismo y la exposición a productos químicos utilizados en la fabricación de cuero, plástico, textiles y caucho.[10]
Los pacientes con carcinoma de células de transición tienen una variedad de opciones de tratamiento. Estas incluyen la nefroureterectomía, o la extirpación del riñón, el uréter y el manguito de la vejiga, y la resección segmentaria del uréter. Esta es una opción sólo cuando el cáncer es superficial e infecta sólo el tercio inferior del uréter. El procedimiento implica la extirpación del segmento del uréter canceroso y la reconexión del extremo.[10] En los pacientes con cáncer o enfermedad de la vejiga avanzada, también se suele considerar la reconstrucción de la vejiga como un tratamiento. Los métodos actuales de reconstrucción de la vejiga incluyen el uso de tejido gastrointestinal. Sin embargo, aunque este método es eficaz para mejorar la función de la vejiga, en realidad puede aumentar el riesgo de cáncer y puede causar otras complicaciones, como infecciones, cálculos urinarios y desequilibrio de electrolitos. Por lo tanto, hay otros métodos en estudio para un futuro próximo. Por ejemplo, las investigaciones actuales allanan el camino para el uso de células madre pluripotentes para derivar el urotelio, ya que son altamente proliferativas e indefinidamente in vitro (es decir, fuera del cuerpo).
Lesiones uroteliales
- Lesiones papilares uroteliales
- Hiperplasia urotelial papilar
- Papiloma urotelial
- Neoplasia urotelial papilar de bajo potencial maligno ( PUNLMP )
- Carcinoma urotelial papilar de bajo grado.
- Carcinoma urotelial papilar de alto grado.
- Carcinoma urotelial invasivo
- Lesiones uroteliales planas
- Atipia urotelial reactiva
- Papiloma urotelial invertido
- Atipia urotelial de significado desconocido
- Displasia urotelial
- Carcinoma urotelial in situ
- Carcinoma urotelial invasivo
- Carcinoma urotelial invasivo ( NOS )
- Carcinoma urotelial con patrón de crecimiento invertido.
- Carcinoma urotelial con diferenciación escamosa.
- Carcinoma urotelial con diferenciación villoglandular.
- Carcinoma urotelial, variante micropapilar
- Carcinoma urotelial, variante similar a linfoepitelioma
- Carcinoma urotelial, variante de células claras (rico en glucógeno)
- Carcinoma urotelial, variante de células lipoides.
- Carcinoma urotelial con células gigantes sincitiotrofoblásticas
- Carcinoma urotelial con diferenciación rabdoidea
- Carcinoma urotelial similar al tumor óseo de células gigantes
Galería
-
Tipos de epitelio -
Vista esquemática del epitelio de transición. -
Sección vertical de la pared de la vejiga. -
Sección transversal del uréter.
Referencias
- ↑ Marieb, E., & Hoehn, K. (2013). Human anatomy & physiology (9th ed., pp. 122-124). Boston: Pearson.
- ↑ Monis, B., & Zambrano, D. (1968). Ultrastructure of transitional epithelium of man. Zeitschrift für Zellforschung und Microscopical Anatomie, 87(1), 101-117.
- ↑ Osborn, S. L., & Kurzrock, E. A. (2015). Production of Urothelium from Pluripotent Stem Cells for Regenerative Applications. Current Urology Reports, 16(1), 1+. Retrieved from http://go.galegroup.com/ps/i.do?id=GALE%7CA390522720&v=2.1&u=clemsonu_main&it=r&p=AONE&sw=w&asid=bf6961c15c9b9523113dee93fd8df89c
- ↑ a b Hicks, R. (1965). The Fine Structure Of The Transitional Epithelium Of Rat Ureter. The Journal of Cell Biology, 26(1), 25-48. Retrieved November 25, 2014, from http://jcb.rupress.org/content/26/1/25.abstract
- ↑ Hicks, R. (1966). THE FUNCTION OF THE GOLGI COMPLEX IN TRANSITIONAL EPITHELIUM: Synthesis of the Thick Cell Membrane. The Journal of Cell Biology, 30(3), 623-643. Retrieved November 25, 2014, from http://jcb.rupress.org/content/30/3/623.abstract
- ↑ a b c Firth, J. A., & Hicks, R. M. (1973). Interspecies variation in the fine structure and enzyme cytochemistry of mammalian transitional epithelium. Journal of Anatomy, 116(Pt 1), 31–43.
- ↑ Poon, Song Ling; Huang, Mi Ni; Choo, Yang; McPherson, John R.; Yu, Willie; Heng, Hong Lee; Gan, Anna; Myint, Swe Swe; Siew, Ee Yan; Ler, Lian Dee; Ng, Lay Guat; Weng, Wen-Hui; Chuang, Cheng-Keng; Yuen, John SP; Pang, See-Tong; Tan, Patrick; Teh, Bin Tean; Rozen, Steven G. (Dec 2015). «Mutation signatures implicate aristolochic acid in bladder cancer development». Genome Medicine 7 (1): 38. PMC 4443665. PMID 26015808. doi:10.1186/s13073-015-0161-3.
- ↑ «Bladder cancer risk factors». Cancer Research UK. Consultado el 27 de julio de 2014.
- ↑ American Cancer Society. (2014). Bladder cancer. Retrieved November 25, 2014, from http://www.cancer.org/cancer/bladdercancer/detailedguide/bladder-cancer-what-is-bladder-cancer Archivado el 1 de diciembre de 2016 en Wayback Machine.
- ↑ a b Transitional Cell Cancer. (2012, April 13). Retrieved December 14, 2014, from https://my.clevelandclinic.org/health/diseases_conditions/hic_Transitional_Cell_Cancer_of_Renal_Pelvis_and_Ureter
Bibliografía
- Andersson, Karl-Erik (2011). Urinary Tract. Springer. ISBN 978-3-642-16498-9.
Enlaces externos
- Histología en utmb.edu
- www.urothelium.com es un recurso en línea para obtener información sobre el urotelio humano y el "urotelio biomimético" Archivado el 1 de febrero de 2011 en Wayback Machine.
- MeSH: Urothelium (en inglés)
- Histología en qmul.ac.uk Archivado el 21 de julio de 2011 en Wayback Machine.
- Diagrama en umich.edu Archivado el 10 de septiembre de 2006 en Wayback Machine.
- Histología en wisc.edu Archivado el 10 de junio de 2008 en Wayback Machine.

