Pentasomía del cromosoma X
| Síndrome XXXXX | ||
|---|---|---|
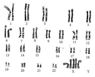
![]() Cariotipo fetal que demuestra pentasomía X | ||
| Especialidad | genética médica | |
| Síntomas | Discapacidad intelectual, dismorfismos faciales, defectos cardíacos. | |
| Diagnóstico | Cariotipo | |
| Sinónimos | ||
| Síndrome 49,XXXXX; Penta-X; Poli-X | ||
El síndrome XXXXX (también llamado pentasomía X o 49, XXXXX) es una alteración cromosómica con la presencia de tres cromosomas X adicionales a los dos presentes en la mujer normalmente. El diagnóstico del síndrome se realiza por cariotipado. Aproximadamente se han descrito en la literatura médica 25 casos de mujeres con pentasomía X en todo el mundo, por lo que esta característica es considerada extremadamente rara. Fue descrito por primera vez en 1963.
Cuadro clínico
Rasgos físicos
El síndrome XXXXX se asocia con microcefalia (cabeza pequeña), micrognatia (mandíbula pequeña), y cara redonda. Las orejas están generalmente bajas y malformadas. Los ojos son muy distantes y desorbitados pueden mostrar fisuras palpebrales, hipertelorismo y estrabismo. Por lo general, la nariz está formada con un puente nasal deprimido y ancho y epicantal, con la boca con una fisura palatina, paladar altamente arqueado, anormalidades dentales, y labios evertidos, arrugados y gruesos. El cuello es corto y sin movimiento, al igual que las extremidades de una mujer con síndrome de Turner. Las manos y los pies son pequeños con la superposición de los dedos de los pies, camptodactilia, clinodactilia, talipes equinovarus, y metatarsus varus. La escoliosis generalmente afecta a la columna vertebral y la hipotonía afecta a los músculos.
Órganos internos
El corazón suele ser afectado por conducto arterioso persistente, defecto del septo auricular, defecto septal ventricular, y dextroposición aórtica. Hay lobulación anormal de los pulmones y asfixia neonatal. Los ovarios están anormalmente formados con un útero pequeño. También puede darse hipoplasia renal.
Crecimiento y desarrollo
El síndrome causa retraso en el desarrollo mental, motor y en el crecimiento. Hay ocasionalmente una pubertad tardía. El comportamiento y el rendimiento se ven afectados por la postura Opisthotonoide.
