Zona glomerular
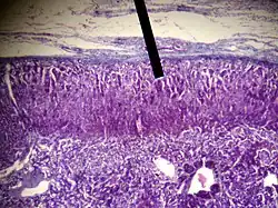
La zona glomerular es una capa delgada de células situada inmediatamente por debajo de la cápsula de la glándula suprarrenal, contribuye casi al 15 % de la corteza suprarrenal.
Sus células tienen forma oval y se agrupan en cúmulos de arcos, de donde viene el nombre (glomus en latín significa «bola»). Esta capa se tiñe profusamente debido a que sus núcleos se concentran densamente.
Estas células son las únicas capaces de secretar cantidades importantes de aldosterona porque contienen la enzima aldosterona sintetasa, necesaria para la síntesis de la hormona, la secreción de esta hormona está controlada sobre todo por las concentraciones de angiotensina 2 y potasio en el líquido extracelular; ambos estimulan la secreción de aldosterona.
En respuesta al incremento en los niveles de potasio o a un descenso del flujo sanguíneo a los riñones, las células de la zona glomerular secretan aldosterona en el torrente sanguíneo. La aldosterona regula la concentración de electrolitos en el cuerpo, primariamente sodio y potasio, actuando como en el túbulo contorneado distal de las nefronas del riñón para:
- Incrementar la reabsorción de sodio.
- Incrementar la excreción de potasio
- Incrementar la reabsorción de agua vía ósmosis.

Véase también
Enlaces externos
- Histología en la Boston University: 14502loa (en inglés).
- Atlas de Anatomía - Anatomía Microscópica: lámina 15.292 "Glándula adrenal" (en inglés).