Asbesto
| Asbesto | ||
|---|---|---|
![]() | ||
| General | ||
| Categoría | Silicatos | |
| Propiedades físicas | ||
| Color | Verde, rojo, amarillo, blanco, gris, azul | |
| Raya | Incolora | |
| Lustre | Sedoso | |
| Dureza | 5,5 | |
| Peso específico | 2,4-3,3 | |
| Índice de refracción | 1,53-1,72 | |
| Punto de fusión | 400 a 1.040 °C | |
| Fluorescencia | No fluorescente | |
.jpg)
El asbesto, también llamado amianto,[nota 1] es un grupo de seis minerales fibrosos, compuestos de silicatos de cadena doble: actinolita, grunerita (amosita), antofilita, crisotilo, crocidolita y tremolita. Los minerales de asbesto tienen fibras largas, resistentes y lo suficientemente flexibles para que puedan separarse y entrelazarse. Además, resisten altas temperaturas, y son excelentes aislantes térmicos.[1]
Debido a sus características, el asbesto se ha usado en gran variedad de productos manufacturados, principalmente materiales de construcción (para recubrimiento de tejados, baldosas y azulejos, productos de papel y productos de cemento con asbesto), productos de fricción (embrague de automóviles, frenos, componentes de la transmisión), materias textiles termorresistentes, envases, paquetería y revestimientos, equipos de protección individual, pinturas, productos de vermiculita o de talco.[cita requerida]
Los estudios arqueológicos han encontrado evidencia de que el asbesto se usó ya en la Edad de Piedra para fortalecer macetas de cerámica,[2] e incluso en la época griega: Heródoto ya lo mencionó en el 456 a. C.,[3] ya que se empleaba como mortajas envuelta alrededor de los muertos antes de arrojarlos en su pira funeraria con el fin de evitar que sus cenizas se mezclaran con el propio fuego, pero no fue hasta fines del siglo XIX que se empleó a gran escala debido a la minería cuando los fabricantes y constructores comenzaron a usar el asbesto por sus propiedades físicas deseables.
Sin embargo, el asbesto representa un peligro para la salud bien conocido. La inhalación de fibras de asbesto puede conducir a varias afecciones pulmonares graves; al respecto las autoridades médicas demostraron que los productos relacionados con el asbesto/amianto provocan asbestosis y cáncer con una elevada mortalidad desde 1906,[4] demostrado por Montague Murray.[5] Pero no fue hasta 1931 cuando comenzó a regularse y tenerse en cuenta la peligrosidad del mineral, en Reino Unido, con la muerte de Nellie Kershaw, considerada la primera trabajadora con asbestosis por exposición de amianto en su puesto de trabajo. La primera publicación oficial que demostró una relación entre el asbesto y la asbestosis fue Mesothelioma of pleura and peritoneum following exposure to asbestos in the London Area.[6]
A principios de la década de 2000 empezó a prohibirse en los países desarrollados y su uso quedó totalmente prohibido en la Unión Europea desde 2005. En algunos países en vías de desarrollo se continúa utilizando.
El amianto se usó ampliamente durante el siglo XX hasta la década de 1970, cuando el reconocimiento público de los peligros para la salud del polvo de asbesto llevó a su ilegalización en la construcción convencional y en la protección contra incendios en la mayoría de los países.[7] A pesar de esto y en parte porque las consecuencias de la exposición pueden tardar décadas en surgir, se cree que al menos cien mil personas al año mueren a causa de enfermedades relacionadas con la exposición al asbesto según la OMS.[8][9]
A pesar de la gravedad de las enfermedades relacionadas con el asbesto, el material se ha utilizado ampliamente en todo el mundo, y se cree que la mayoría de los edificios anteriores a la década de 1980 contenían asbesto.[10] Muchos países aún apoyan el uso de asbesto como material de construcción, y la extracción de asbesto está en curso, con Rusia como el principal productor, produciendo alrededor de un millón de toneladas en 2015.[8]
Ocurrencia
Asbesto es el nombre asignado a un grupo de seis materiales fibrosos diferentes (minerales fibrosos o variedades fibrosas de minerales que no lo son) que se encuentran en la naturaleza:[11][12][13][14]
| Nombre común | Nombre del mineral | variedad fibrosa |
|---|---|---|
| amianto marrón | grunerita | amosita |
| amianto blanco | crisotilo | |
| amianto azul | riebeckita | crocidolita |
| amianto-tremolita | tremolita | |
| amianto-actinolita | bisolita | actinolita |
| amianto gris | antofilita |
Todos estamos expuestos a muy pequeñas cantidades de asbesto, generalmente de «crisotilo», en el aire que respiramos. Por regla general, la cantidad que se registra en interiores que no son centros de trabajo es parecida a la del aire ambiente.[15] Se ha determinado que las cantidades que se encuentran en el aire de las zonas residenciales cercanas a los centros industriales son más o menos las mismas que en las zonas urbanas, y a veces ligeramente superiores. La incidencia de la exposición natural al asbesto en el desarrollo de posteriores enfermedades se considera inapreciable, excepto en el caso de poblaciones próximas a lugares de extracción de asbesto, donde se ha constatado una mayor incidencia de enfermedades relacionadas con ese asbesto.
Propiedades y valorización
Las excelentes propiedades que presenta el amianto (aislantes, mecánicas, químicas e ignífugas) y su relativo bajo coste, pueden explicar sus numerosas aplicaciones industriales, así como el hecho de que figure, o haya figurado durante muchos años, en la composición de muchísimos productos o acabados industriales. Además, existen numerosos yacimientos en todo el planeta y su costo de extracción es bajo.
Debido a estas características, se ha utilizado masivamente en diversos sectores: como material de construcción en tejas, baldosas, azulejos, papel o cemento; en la fabricación y reparación de automóviles, camiones y tractores (embragues, frenos, juntas o componentes de la transmisión); en la fabricación, reparación y mantenimiento de materiales ferroviarios; en la construcción naval, reparación y desguace de barcos; en la siderurgia; en el sector eléctrico (centrales térmicas y nucleares) y en diversos materiales textiles, envases, revestimientos, o iluminador en faroles. Con la excepción del crisotilo, todas las formas de amianto son muy resistentes a los ácidos y a los álcalis y todas se descomponen a altas temperaturas (800-1000 °C) y por ello se han utilizado para la protección ignífuga de estructuras metálicas y trajes de bomberos. Por ejemplo, la «crocidolita» se empleaba en la fabricación de tuberías de presión, así como reforzante de plásticos por su gran resistencia mecánica.
El «crisotilo», también conocido como «amianto blanco», es la fibra de amianto de mayor utilización y representa el 94 % de la producción mundial. La industria de fibrocemento es con mucho el principal usuario de fibras de crisotilo y representa cerca del 85 % del uso total.[16]
Para la valorización[17] del amianto, existe un proyecto entre la Universidad de Málaga, con el Profesor Francisco Ignacio Franco Duro y una empresa de retirada de amianto (Amisur)[18], donde se pretende que los residuos de amianto puedan reintroducirse en los procesos industriales y sirvan para minimizar el uso de otras materias primas y el impacto medioambiental que provocan los vertederos de este mineral. La valorización del amianto consiste en eliminar las fibras de amianto, consiguiendo deshacerse o hacer más pequeño el tamaño de la fibra para evitar que este material sea peligroso. Según la Organización Mundial de la Salud (OMS) las fibras de amianto respirables peligrosas son las que tienen:
- Una longitud mayor de 5 micrómetros porque los mecanismos de defensa del pulmón no pueden eliminarlas.
- Un diámetro menor de 3 micrómetros ya que es cuando empiezan a ser respirables.
El asbesto como agente cancerígeno
Los efectos del asbesto sobre la salud son conocidos desde hace mucho tiempo, pues ya en el siglo I, Plinio el Viejo, en Roma, describía la enfermedad de los pulmones de los esclavos que tejían ropa de asbesto.[19]
Los antiguos alquimistas creían que las extraordinarias fibras del asbesto procedían de «los cabellos de míticas y tóxicas salamandras resistentes al fuego» y lo llamaron «lana de salamandra». La mortífera sustancia que segregaba la salamandra envenenaba árboles frutales y las aguas de los ríos y pozos. Se dice que 2000 caballos y 4000 hombres de Alejandro Magno perecieron en la India tras beber en un arroyo envenenado por una salamandra.[20]
Carlomagno poseía un mantel de fibras de amianto, con el que impresionaba con actos de fuego a sus huéspedes y comensales, que limpiaba y blanqueaba simplemente con introducirlo en la hoguera.[21]
Durante la segunda mitad del siglo XIII, el explorador Marco Polo visitó minas de asbesto en China, describiendo el proceso de extracción del mineral, descartando así definitivamente los mitos y eliminando la antigua leyenda de la salamandra.[21]
Fue en 1906 en Londres (Inglaterra) cuando fue descrito el primer caso conocido de «fibrosis pulmonar por asbesto» en una trabajadora de 33 años, del área de cardado de una fábrica textil.[19]
Desde 1935 se conocen los primeros trabajos que relacionan científicamente la exposición al asbesto y el cáncer de pulmón, y en 1947 se describieron los mesoteliomas de pleura y peritoneo. Hoy día se reconoce que el amianto es la más conocida de las sustancias industriales relacionadas con el cáncer de pulmón.[19]
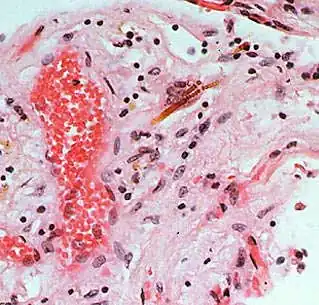
Actualmente se tiene absoluta certeza de tres tipos de enfermedades producidas por exposición al amianto: asbestosis, cáncer del pulmón y mesotelioma.[22] No se reconoce una cantidad mínima del agente causal por debajo de la cual una persona expuesta pueda considerarse segura. El cáncer de pulmón en trabajadores expuestos llega a ser hasta 10 veces más frecuente que en la población general.
Contaminación por asbesto industrial

El asbesto ocasiona enfermedad cuando es inhalado. La ingestión o el contacto con la piel no son vías de ingreso demostradas como causa de enfermedad. Las fibras de amianto son de tamaño microscópico, se desprenden con facilidad, no se disuelven con agua pero se pueden desplazar por el aire, ingresando al pulmón con cada inspiración que se haga en un ambiente contaminado.
Las fibras de asbesto pueden pasar al aire o al agua en el medio ambiente a causa de la degradación de depósitos naturales o de productos de asbesto manufacturados. Las personas que trabajan en industrias que fabrican o usan productos de asbesto o que trabajan en la minería de asbesto, pueden estar expuestas a altos niveles de asbesto. Las personas que viven cerca de estas industrias también pueden estar expuestas a altos niveles de asbesto en el aire. Las fibras de asbesto pueden liberarse al aire al manipular materiales que contienen asbesto durante el uso del producto, como por ejemplo en demoliciones, mantenimiento, reparación y renovación de edificios o viviendas. En general, la exposición sucede cuando el material que contiene asbesto es perturbado de manera tal que libera partículas o fibras al aire.
Las partículas de asbesto no se evaporan al aire ni se disuelven en agua, pueden permanecer suspendidas en el aire por largo tiempo y ser transportadas largas distancias por el viento y el agua antes de depositarse. Las fibras y partículas de mayor tamaño tienden a depositarse más rápidamente. El agua potable puede también contener asbesto, por ejemplo, procedente de tuberías de fibrocemento que contienen asbesto.
Las fibras de asbesto no pueden movilizarse a través del suelo. Generalmente no son degradadas a otros compuestos y permanecerán virtualmente inalteradas por largo tiempo.
Estas enfermedades tienen un largo «tiempo de latencia» (tiempo que transcurre entre la inhalación de la fibra y la aparición de la enfermedad) que puede superar los 30 años. Así, por ejemplo, en Alemania, como en muchos otros países, se han elaborado curvas de seguimiento uso/enfermedad, dando como resultado que, a pesar de haber interrumpido el uso del asbesto en los años noventa, el mayor número de enfermedades se espera para la década de 2040. En Estados Unidos, en el año 2000, fallecieron 1493 personas por cáncer de pulmón relacionado con la exposición al amianto (o asbestosis), frente a las 77 de 1968, siendo en el mismo año 2000 la principal causa de muerte por enfermedad profesional en el Reino Unido. Los casos de cáncer de pulmón relacionados con la exposición al amianto, denominado MPM (Mesotelioma Pleural Maligno), aumentarán en España hasta el medio millar al año a partir de 2015. Actualmente se registran en España entre 250 y 300 casos anuales de MPM, un tipo de cáncer de extrema mortalidad, que en un 85 por ciento de los casos se vincula a la exposición laboral al amianto.
Enfermedades provocadas por el asbesto industrial

El asbesto afecta principalmente a los pulmones y a la membrana que envuelve a los pulmones, la pleura. El amianto/asbesto provoca principalmente dos tipos de enfermedades: cáncer y asbestosis.
Asbestosis
Respirar bajos niveles de fibras de asbesto por largo tiempo o tener exposición corta a altos niveles de asbesto, pueden producir lesiones que parecen cicatrices en el pulmón y en la pleura. Esta enfermedad se llama asbestosis; fue la primera enfermedad pulmonar que se relacionó con el amianto y puede producir incapacidad y muerte.[23][24]
Se define como una fibrosis intersticial difusa de los pulmones, derivada de la exposición al polvo de amianto y, por lo tanto, se presenta comúnmente en trabajadores expuestos al asbesto. Las personas con asbestosis, debido a esas cicatrices en el pulmón, tienen dificultad para respirar, a menudo tiene tos, y en los casos graves sufren dilatación del corazón.
Respirar niveles de asbesto más bajos puede producir alteraciones en la pleura, generando las llamadas «placas». Las placas pleurales pueden manifestarse en trabajadores y ocasionalmente en gente que vive en áreas con altos niveles ambientales de asbesto. Los efectos de las placas pleurales sobre la respiración generalmente no son serios, pero la exposición a niveles más altos puede producir un engrosamiento de la pleura que puede restringir la respiración.
Cáncer
El Departamento de Salud y Servicios Humanos (DHHS), la Organización Mundial de la Salud (OMS/WHO) y la Agencia de Protección Ambiental (Environmental Protection Agency - EPA) de los Estados Unidos han determinado que el asbesto es carcinógeno para seres humanos.
Se sabe que respirar aire con asbesto puede aumentar el riesgo de cáncer en seres humanos. Hay dos tipos de cáncer producidos por exposición al asbesto: cáncer de pulmón y el mesotelioma.

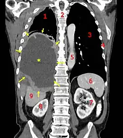
1. Pulmón derecho,
2. Columna vertebral,
3. Pulmón izquierdo,
4. Costillas,
5. Aorta,
6. Bazo,
7. Riñón izquierdo,
8. Riñón derecho,
9. Hígado.
Los primeros informes que relacionaban el cáncer de pulmón y el asbesto datan de 1935.[25] El cáncer producido por el asbesto no aparece inmediatamente, sino que se manifiesta después de varios años (el mesotelioma pleural suele tener un tiempo de latencia de 20 a 40 años). Los estudios en trabajadores sugieren también que respirar asbesto podría aumentar las posibilidades de contraer cáncer en otras partes del cuerpo (estómago, laringe, intestino, esófago, páncreas y riñones). La identificación y el tratamiento tempranos de todo cáncer pueden aumentar la calidad de vida y la supervivencia de la persona.
Los síntomas habituales son: pérdida de apetito y de peso, cansancio, dolor torácico, hemoptisis o expectoración de sangre y dificultad respiratoria.
Se planteó que la combinación de exposición al asbesto y al humo de cigarrillo aumentaba considerablemente las posibilidades de contraer cáncer de pulmón, aunque se considera en esta combinación al asbesto como el principal causante de la muerte, por encima del hábito tabáquico. Generalmente las empresas productoras se escudan, aún en la actualidad, en la posible incidencia del tabaquismo en el desarrollo del cáncer, pues la mayoría de la población fabril era fumadora en las épocas de mayor utilización del amianto. Diversas sentencias judiciales han descartado, dependiendo de los niveles de exposición, que la incidencia del hábito tabáquico sea superior a la del amianto para el desarrollo del cáncer de origen laboral.
Multitud de muertes por cáncer, que anteriormente se diagnosticaban sólo como debidos a cánceres de pulmón, se consideran actualmente producidas por el asbesto, pero solo si se realiza una correcta autopsia del fallecido, por lo que las estadísticas al respecto no son del todo fiables.[26]
Existe controversia acerca de si el crisotilo tiene mayor o menor potencia cancerígena que el resto de variedades del amianto[27]
Según unos informes médicos, en el pueblo barcelonés de Sardañola del Vallés (España) el rastro letal del amianto producido por la empresa Uralita ha dejado en la zona 149 casos de enfermedades mortales desde 1997.[28]
Mesotelioma
El mesotelioma pulmonar es un tumor maligno primario de las superficies mesoteliales, que suele afectar a la pleura y, en un menor número de casos, al tejido que envuelve la cavidad abdominal (el peritoneo).
Diagnóstico y detección precoz
Se pueden medir niveles bajos de asbesto en orina, heces, líquidos mucosos o en lavados pulmonares de la población general. Los niveles mayores que el promedio tolerado de fibras de asbesto en tejidos pueden confirmar la exposición, pero no pueden predecir si afectarán a la salud.
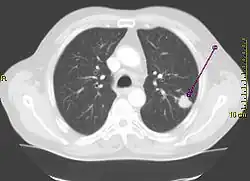
Para evaluar enfermedades relacionadas con la exposición al asbesto, se necesita un historial médico completo, un examen físico y pruebas de diagnóstico. La radiografía de tórax es la mejor herramienta para detectar en los pulmones cambios que resultan de la exposición al asbesto. Pruebas de la función pulmonar y sondeos computarizados en tres dimensiones del pulmón también ayudan en el diagnóstico de enfermedades relacionadas con el asbesto.
Hoy día, gracias a los avances médicos, es posible realizar controles a las personas expuestas al amianto y detectar precozmente las enfermedades derivadas de dicha exposición, lo que posibilita una intervención rápida de extirpación del tumor o la radioterapia de la zona afectada; los métodos de detección que seguidamente se detallan son usuales y cotidianos en cualquier hospital de los países más desarrollados, por lo que deberían formar parte del chequeo rutinario y periódico de toda persona expuesta:
- Historial clínico y examen físico: en el historial clínico se registran los factores de riesgo y los síntomas que presenta el paciente. El examen físico proporciona información acerca de los indicios del cáncer de pulmón y otros problemas de salud.
- Estudios radiológicos: estos estudios utilizan rayos X, campos magnéticos, ondas sonoras o sustancias radiactivas para crear imágenes del interior del cuerpo. Con frecuencia se efectúan varios estudios radiológicos para detectar el cáncer de pulmón y determinar la parte del cuerpo adonde haya podido propagarse. Se lleva a cabo una radiografía de tórax para ver si existe alguna masa o mancha en los pulmones.

- La tomografía axial computarizada (TAC): da información más precisa acerca del tamaño, la forma y la posición de un tumor, y puede ayudar a detectar ganglios linfáticos engrosados que podrían contener un cáncer procedente del pulmón. Las tomografías computarizadas son más sensibles que las radiografías de tórax de rutina para detectar los tumores cancerosos en etapa inicial.
- Los exámenes de imágenes por resonancia magnética (RM): utilizan poderosos imanes, ondas radiales y modernos ordenadores para tomar imágenes transversales detalladas. Estas imágenes son similares a las que se producen con la tomografía computarizada, pero son aún más precisas para detectar la propagación del cáncer de pulmón al cerebro o a la médula espinal.
- La tomografía por emisión de positrones (PET): emplea un indicador radiactivo sensible de baja dosis que se acumula en los tejidos cancerosos. Las tomografías óseas requieren la inyección de una pequeña cantidad de sustancia radiactiva en una vena. Esta sustancia se acumula en áreas anormales del hueso que puedan ser consecuencia de la propagación del cáncer.
- Citología de esputo: se examina al microscopio una muestra para ver si contiene células cancerosas.
- Biopsia con aguja: se introduce una aguja en la masa mientras se visualizan los pulmones en un tomógrafo computarizado. Después se extrae una muestra de la masa y se observa por medio de un microscopio para ver si contiene células cancerosas.
- Broncoscopia: se introduce un tubo flexible iluminado a través de la boca hasta los bronquios. Este procedimiento puede ayudar a encontrar tumores localizados centralmente u obstrucciones en los pulmones. También puede utilizarse para hacer biopsias o extraer líquidos que se examinarán con el microscopio para ver si contienen células cancerosas.
- Mediastinoscopia: se hace un corte para tomar una muestra de tejido de los ganglios linfáticos mediastínicos (a lo largo de la tráquea y de las áreas de los principales tubos bronquiales). La observación de las muestras con un microscopio puede mostrar si existen células cancerosas.
- Biopsia de médula ósea: se utiliza una aguja para extraer un núcleo cilíndrico del hueso para ver si existen células cancerosas.
- Pruebas de sangre: a menudo se llevan a cabo ciertos análisis de sangre para ayudar a detectar si el cáncer de pulmón se ha extendido al hígado o a los huesos, así como para diagnosticar ciertos síndromes.
Identificación de un material con amianto
En un corte transversal o en lugares dañados de un material con posible contenido en asbesto/amianto, se puede observar si se trata de un material sospechoso de generar peligro potencial, fijándonos en si dicho material está compuesto por fibras.
Si usted es un particular y encuentra algún material sospechoso de contener asbesto, debe ponerse en contacto con una empresa especializada que le informará sobre cómo actuar con las medidas de seguridad adecuadas. Conocer los productos[29] en los que se ha usado amianto puede ayudar a identificarlo. La única forma de asegurar que un determinado material contiene amianto es mediante una identificación del material por parte de un técnico especialista, que realizará un muestreo y un posterior análisis en un laboratorio especializado independiente.
Prohibición del asbesto/amianto
En 1991 el Banco Mundial estipuló, como política, su preferencia de no financiar la manufactura o el uso de productos que contengan asbesto.
El asbesto/amianto (en sus cinco formas anfibólicas: amosita, antofilita, actinolita, crocidolita y tremolita) está prohibido por el Convenio de Róterdam, firmado por más de cien países,[30] no sin cierta polémica con los países que todavía exportan asbesto[31] El asbesto de crisotilo es el primer producto químico que ha enfrentado una significativa oposición en la convención de Róterdam. Muchos observadores expresaron su preocupación de que esta decisión puede sentar un precedente para futuras discusiones sobre productos químicos económicamente importantes, temiendo que los intereses económicos y comerciales puedan superar preocupaciones ambientales y sanitarias. «Las objeciones de Canadá y de Rusia para enlistar los asbestos de crisotilo son vergonzosamente egoístas, protegiendo a exportadores domésticos interesados en la venta de este peligroso químico en el exterior» dijo Clifton Curtis, director del Programa Global de Productos Tóxicos de WWF. El gobierno canadiense defendió su acción, al decir «Si es agregado (a la lista), puede ser percibido por algunos países como señal de que el crisotilo es prohibido». Los productos químicos en la lista se pueden exportar solamente de un país a otro con el permiso del gobierno del estado de importación.[32]
En todo el mundo, 67 países y territorios (incluidos los de la Unión Europea por decisión de la Comisión) han prohibido el uso de amianto. Se permiten exenciones para usos menores en algunos países enumerados; sin embargo, todos los países enumerados deben haber prohibido el uso de todo tipo de asbesto.[33][34][35]
Perú
El punto inicial de la lucha por la salud frente al Asbesto en Perú se da en el año 1989 a partir del Diagnóstico Médico de cuatro casos de trabajadores afectados de asbestosis. Además, a principios de los años noventa se efectúan denuncias por violación a las leyes de salud y seguridad en el trabajo, propuestas en pliegos, cambios de puesto a afectados, controles médicos con conocimiento y entrega de los resultados a los trabajadores, localizando casos de asbestosis en diversas empresas del Perú (20 en Eternit, 4 en Frenosa, 2 en Indutex y 10 en Repsa). Esto devino en una demanda penal por delitos contra la vida y la salud promovida por el sindicato obrero. Posteriormente, en el año 2000 estudios realizados a 197 trabajadores y extrabajadores expuestos al asbesto, dio que más del 60 % sufría de Asbestosis y un 13 % presentaba signos radiológicos de la exposición, en tanto el 7 % presentó procesos obstructivos y los aparentemente sanos solo representaban un 19 %.[36]
En el 2005, la Dirección General de Salud Ambiental del Ministerio de Salud presentó un proyecto de Decreto Supremo para aprobar un reglamento de Prohibición de Asbesto en todas sus variedades y regulación de los procesos de remoción, amparándose en la Ley N.º 26842, Ley General de Salud, que en su artículo 97.º establece que cuando la importación, fabricación, transporte, almacenamiento, comercio y empleo de una sustancia o producto se considere peligroso para la salud de la población, el Estado debe establecer las medidas de protección y prevención correspondientes.[37] Sin embargo, debido a que el proyecto de reglamento se basaba en suplir un vacío legal que no especificaba al asbesto como tal, se desestimó hasta considerar la propuesta de una ley específica como base.
Finalmente, el 21 de enero del 2011 el Congreso de la República del Perú aprueba la Ley que prohíbe el asbesto anfíboles y regula el uso del asbesto crisotilo (Ley N.º 29662). Indicando que a partir del 1 de julio de 2011 estaría prohibido la posesión, elaboración, exportación, importación, distribución, manufactura y cesión de todas las variedades de fibras de asbesto anfíboles, regulando la producción, comercialización y uso del asbesto crisotilo en todo el territorio nacional por ser cancerígenos.[38][39]
Sin embargo, recién en el año 2014 el Congreso de la República declaró y aprobó el reglamento de la ley para entrar en operación mediante el Decreto Supremo N.º 028-2014-SA.[35]
Colombia
La plenaria de la Cámara de Representantes de Colombia aprobó en último debate, el 11 de junio de 2019, la prohibición del uso de este material en el territorio nacional a partir del 1 de enero de 2021.[40]
La plenaria del Senado de Colombia aprobó en último debate, el 17 de junio de 2019, la conciliación del proyecto de ley que prohíbe desde la explotación hasta la exportación del asbesto en el país a partir del 1 de enero de 2021.[41]
La Presidencia de Colombia sanciona el 11 de julio de 2019, la Ley que prohíbe el uso del asbesto en Colombia desde el 1 de enero de 2021.[42]
Chile
En la década de 1940 la primera empresa en fabricar materiales de construcción con asbesto fue Pizarreño, cual fue la única empresa chilena fabricante de materiales de construcción dedicada a fabricar y vender techos de fibrocemento con ese nocivo material. Años después y tras las constantes contaminaciones, daño a la salud y muertes causadas por el asbesto, los vecinos de la Villa Pizarreño ubicado en la comuna de Maipú, el sindicato de la misma empresa y exfuncionarios demandaron a la empresa por no hacerse responsables de no brindar equipos de seguridad para manipular el peligroso material. A ello cabe agregar los ocultamientos de los exámenes de los trabajadores falsificando diagnósticos para evitar demandas y los daños directos e indirectos, los cuales pusieron alerta a las autoridades en Chile, incluso con reportajes emitidos en Medios de comunicación en Chile, denunciaron los severos daños causados por el asbesto por parte de Pizarreño que dejaron en manos del Poder Judicial de Chile.
En 2001 el exfuncionario de la misma empresa, Eduardo Miño, se quemó a lo bonzo al frente del Palacio de La Moneda en señal de protesta por los afectados por Pizarreño,[43] lo que obligó al gobierno de Ricardo Lagos crear una ley para prohibir el uso de asbesto en materiales de construcción, lo que fue posible por la votación unánime de las cámaras del Congreso Nacional de Chile.[44]
Estados Unidos
Debido a la peligrosidad del material, en Estados Unidos la manipulación del asbesto corre habitualmente a cargo de trabajadores muy especializados con salarios que rondan entre 24$ y 55$ la hora, entre 53 000$ a 123 000$ anuales (2016).[45]
La EPA establece que la eliminación de cualquier residuo de asbesto debe hacerse mediante métodos muy cuidadosos. En caso de que esto no ocurra, la EPA tiene jurisdicción federal (como el FBI) y las penas que resultan de ello tienen categoría de delito grave.
La incidencia judicial de las demandas de responsabilidad en Estados Unidos llevó a la quiebra de las principales empresas productoras, algunas se declararon insolventes en virtud del llamado «Epígrafe 11», relativo a la quiebra financiera, por la cual un Tribunal puede aprobar la reorganización de la deuda mientras la compañía sigue operando. El costo global de la cobertura de las víctimas de estas afecciones es tan elevado que desequilibra peligrosamente los regímenes de indemnización de enfermedades profesionales.
En Estados Unidos, casi cincuenta mil personas por año presentan una denuncia a causa de enfermedades provocadas por el amianto. Las empresas aseguradoras estadounidenses gastaron 21 600 millones de dólares en estas enfermedades hasta el año 2000. Además, las empresas acusadas debieron desembolsar 32 000 millones de dólares. Las solicitudes de indemnización podrían alcanzar los 260 000 millones de dólares en EE. UU.[46]
El asbesto volvió a ser tema de polémica tras los atentados del World Trade Center en Nueva York del 11 de septiembre de 2001, en los que, tras el derrumbe de los edificios, se liberaron varias decenas de miles de kilogramos de este material pulverizado a la atmósfera.
Europa
Los gobiernos francés y alemán destinan, cada uno, más de mil millones de euros por año a la indemnización de enfermedades derivadas del amianto.[46]
La propia Comisión Europea habla de una epidemia de 500 000 muertes en los próximos años, una cantidad 10 veces superior a la de accidentes de trabajo.[47]
Se estima que el cáncer por exposición al amianto provocará más de 200 000 muertes durante la próxima década en el Reino Unido.[48]
El 4 de mayo de 1999, la Comisión Técnica del Parlamento Europeo[49] aprobó la prohibición de uso de cualquier tipo de amianto a partir del 1 de enero de 2005 para aquellos países que todavía no lo prohibieron, y en el año 2006 las instituciones europeas iniciaron una campaña contra el amianto bajo el expresivo lema: «¡El amianto es mortal!».
En virtud de una directiva de la Comisión Europea, todos los Estados de la Unión han debido prohibir la comercialización y el uso de cualquier tipo de asbesto.
España
En España comienza a utilizarse sin ningún control a partir de los años cuarenta,[50] con el nivel de uso más alto en la década de los setenta tras el despegue industrial, continuando su empleo en actividades muy concretas hasta el año 2001, año en que se prohíbe totalmente su utilización.
La mayoría de edificios construidos en España entre 1965 y 1984 contienen amianto, bien en sus elementos de construcción o bien en sus instalaciones, siendo el 2001 la fecha a partir de la cual se puede descartar totalmente el contenido de amianto en un material producido en España. Algunos expertos estiman que los ciudadanos de España viven entre tres millones de toneladas de amianto. Numerosas empresas introdujeron en España productos realizados con amianto[51]
-
Tanque de agua fabricado con amianto. -
Techo realizado con amianto. En España conocido por su marca comercial, uralita. -
Construcción que utiliza techo con amianto, conocido como uralita o fibrocemento. -
Techo de uralita o fibrocemento.
Los casos de cáncer de pulmón relacionados con la exposición al amianto, denominado MPM (mesotelioma pleural maligno), aumentarán en España hasta el medio millar al año, a partir de 2015; actualmente se registran en España entre 250 y 300 casos anuales de MPM, un tipo de cáncer de extrema mortalidad, que en un 85 % de los casos se vincula a la exposición laboral al amianto y frente al que, hasta ahora, no existía ningún tratamiento farmacológico pese a que sólo un 5 % de los afectados son susceptibles de ser intervenidos quirúrgicamente.[52]
Actualmente, debido al excesivo tiempo que tarda el cáncer en manifestarse, los fallecimientos se deben a personas que trabajaron con este material hace décadas en industrias de fundición, navales..., en algunas zonas industriales como Ferrol (Galicia),[53] Oviedo (Asturias)[54] siendo Cartagena[55] la ciudad de España con mayor incidencia de Mesoteliomas,[56] y ciertas zonas del País Vasco, donde el incremento de cáncer se ha disparado en los últimos años, siendo superior a la media nacional, aumentándose cada año el número de casos en los que se reconoce la incidencia del amianto en el desarrollo del cáncer.[57][58][59][60] Judicialmente se empiezan a reconocer ciertos derechos a los afectados y a los familiares de los fallecidos.[61]
La regulación en España relacionada con el amianto se inició ya en 1940 y desde 1947 era obligatorio para las empresas realizar controles de los niveles de exposición de los trabajadores al amianto. La normativa básica es el Reglamento sobre trabajos con riesgo de amianto, aprobada por una orden ministerial en 1984, que se complementa posteriormente con normas complementarias y algunas modificaciones.
De acuerdo con el R.D. 363/1995, relativo a notificación de sustancias nuevas y clasificación, envasado y etiquetado de sustancias peligrosas, el amianto está incluido en la lista armonizada contenida en el anexo I y clasificado como tóxico y cancerígeno de categoría 1 y tiene asignadas las frases R y S siguientes:
- R 45.- Puede causar cáncer
- R 48 / 23.- Riesgo de efectos graves para la salud en caso de exposición prolongada. Tóxico por inhalación.
En diciembre de 2001 España se adelantaba mediante la Orden Ministerial de 7 de diciembre de 2001 al plazo máximo previsto hasta 2005 por la UE, para prohibir la comercialización y utilización de crisotilo (amianto blanco) que era el único tipo que todavía seguía siendo utilizado en España, sobre todo en la forma de fibrocemento o uralita, puesto que otras variedades como el «amianto azul» y el «amianto marrón», fueron prohibidas en España en 1984 y 1993, respectivamente.
Pese a las distintas prohibiciones y regulaciones numerosas empresas continuaron en España utilizando amianto en materiales de protección personal como guantes o delantales termo-resistentes, entre otros, que facilitaban a sus trabajadores.[62]
Obligaciones del empresario del amianto: Pese a la prohibición del amianto, existe una normativa profusa que regula las obligaciones de seguridad que deben respetar trabajadores y empresarios. En cuanto a las empresas que realizan trabajos con riesgo de exposición al amianto, tienen la obligación de inscribirse en un registro especial y presentar un plan de trabajo detallado antes de acometer cualquier obra que implique la manipulación de este material y por supuesto al obligado cumplimiento del resto del Reglamento de Trabajos con Riesgo por Amianto:
- Se prohíben las horas extras y los sistemas de incentivos y se exige que el número de trabajadores en contacto con el amianto se reduzcan al mínimo indispensable. De igual manera, se prohíbe la subcontratación de estos trabajos de desamiantado.
- Cuando no se pueda sustituir el amianto o evitar la exposición con medidas técnicas, se facilitará protección personal a los trabajadores, básicamente mascarilla y ropa de protección completa.
- Los trabajadores expuestos deben disponer de dos taquillas para evitar el contacto de la ropa de trabajo con la ropa de calle y deben cambiarse y ducharse antes de comer y al final de la jornada. La limpieza de la ropa de trabajo correrá a cargo de la empresa. Actualmente, se recomienda el uso de ropa de trabajo desechable (tanto interior como exterior) así como el uso de unidades de descontaminación (compartimento sucio, ducha con filtros de amianto y compartimento limpio).
- Los lugares de trabajo donde exista exposición a amianto deberán estar claramente delimitados y señalizados. El piso y las paredes serán lisos para facilitar la limpieza y ésta se hará cada vez que se observe una acumulación visible de polvo y con medios que eviten la dispersión de fibras al aire.
- El amianto se transportará y almacenará en recipientes cerrados apropiados. Las pilas de sacos serán protegidas con fundas de plástico o similar y depositadas sobre superficies secas.
- Los trabajadores con riesgo de exposición a amianto se someterán a reconocimientos médicos específicos previos al trabajo, reconocimientos anuales e, incluso, reconocimientos postocupacionales.
- La empresa está obligada a proporcionar a los trabajadores y sus representantes toda la información relativa a los riesgos, medidas preventivas y de protección necesarias, así como adiestrar a los trabajadores en los métodos de trabajo seguros.
El Real Decreto 396/2006, de 31 de marzo, por el que se establecen las disposiciones mínimas de seguridad y salud aplicables a los trabajos con riesgo de exposición al amianto es la norma más actual (norma de ámbito laboral) . Establece las disposiciones mínimas de seguridad y salud para la protección de los trabajadores contra los riesgos derivados de la exposición al amianto durante el trabajo, así como la prevención de tales riesgos. Se recomienda retirar el amianto cuando termina su vida útil. Para ello, antes del comienzo de cada trabajo con riesgo de exposición al amianto incluido en el ámbito de aplicación de este real decreto, el empresario deberá elaborar un plan de trabajo y este deberá estar aprobado por la autoridad laboral.
La Ley 7/2022, de 8 de abril, de residuos y suelos contaminados para una economía circular, insta a todos los municipios de España a realizar un censo de edificios con amianto con una fecha límite de un año desde la entrada en vigor de la ley incluyendo un calendario que planifique su retirada con el objetivo de que las instalaciones o emplazamientos de carácter público con mayor riesgo deban estar gestionadas antes de 2028.
República Dominicana
Según varios estudios de la OMS y de convenios internacionales que urgen a evitar la producción del asbesto, destacó que este país es uno de los seis en Latinoamérica que han vetado este material natural, altamente cancerígeno y que también afecta al medioambiente.[63]
En República Dominicana, la legislación en materia de seguridad y salud en el trabajo no dispone de una norma específica mediante la cual se regule la protección de la seguridad y salud de los trabajadores frente a los riesgos derivados de la exposición al amianto.
La razón de ello es que el tratamiento preventivo de la gestión del amianto viene enmarcada dentro de las obligaciones aplicables a los productos químicos en general, dentro de la Parte 3 del Título I de la Resolución n.º 04/2007, del 30 de enero de 2007, por la que se establecen las Condiciones Generales y Particulares de Seguridad y Salud en el Trabajo.
Ahora bien, dentro del apartado relativo a la gestión preventiva de los agentes químicos en general, se encuentran disposiciones que hacen referencia explícita al amianto, viniendo reguladas en el punto 3.2.8 de la Parte 3 del Título II de la Resolución. En este apartado se establecen los valores límites de exposición laboral al amianto, siendo éstos:
- Crisólito: 0,60 fibras por centímetro cúbico.
- Resto de variedades del amianto: 0,30 fibras por centímetro cúbico. Se incluyen dentro de esta categoría las mezclas que contengan crisólito.
La norma también dispone una serie de prohibiciones en cuanto al uso del amianto. Queda prohibida la utilización de cualquier variedad de amianto por medio de proyección, especialmente por atomización, así como toda actividad que implique la incorporación de materiales de aislamiento o de insonorización de baja densidad (inferior a 1 g/cm³) que contengan amianto. También se prohíbe la utilización de la variedad crocidolita o amianto azul.[64]
Actuales países exportadores e importadores
Hacia 1900, la cantidad extraída en el mundo era de alrededor de 30 000 toneladas anuales. La explotación de amianto aumentó constantemente hasta alcanzar un pico en 1975, año en que se extrajeron casi cinco millones de toneladas. Tras los escándalos en 1995 bajó a tres millones de toneladas.
Hoy día países como Canadá y Zimbabue (que son los dos mayores exportadores), así como también China, Rusia, Perú y Brasil,[65][66] siguen comerciando y enviando asbesto a otras partes del mundo, siendo sus trabajadores afectados por las enfermedades que provoca.
Pese a que Canadá fue uno de los primeros países en prohibir la manipulación del amianto con una severa regulación, en la actualidad es uno de los principales exportadores a países que inician su desarrollo y en los que no existe legislación restrictiva de estos productos como India y sus respectivos mercados y zonas de influencia. Dicha actitud ha generado numerosas protestas internacionales.[67]
Otros países desarrollados llevan también a reciclar su asbesto a países en vías de desarrollo[68]
Asociaciones de afectados
Debido a la incidencia del amianto en las muertes de trabajadores expuestos, existen organizaciones sin ánimo de lucro que trabajan por la defensa de sus derechos y los de sus familiares.
- AFA PEART (Asociación Frente al Asbesto - Programa de Estudios del Asbesto y Riesgos del Trabajo) en Perú.
- APENA: Asociación de Perjudicados por el Amianto Región de Murcia.
- AGAVIDA: Asociación de afectados de Galicia.[69]
- ASFAMI: Asociación de Afectados por el Amianto.
- APAAP: Asociación Plataforma Afectados Amianto en el Prat
- ASVIAMIE: Asociación de Víctimas del Amianto de Euskadi.
- AVIDA ANDALUCÍA: Asociación de Víctimas del Amianto de Andalucía.
- AVIDA MADRID: Asociación de Víctimas del Amianto de Madrid.
- UCA CHILE: Unidos contra el Asbesto de Chile.
- AVIDA MALAGA: Asociación víctimas del Amianto Málaga.
- ADV.Amianto.Valencia: Asociación en Defensa de las Víctimas del Amianto de Valencia.
Referencias
- ↑ Bureau of Naval Personnel, Basic Electricity. 1969: US Navy.
- ↑ Yildirim Dilek; Sally Newcomb (2003). Ophiolite Concept and the Evolution of Geological Thought. Geological Society of America. p. 449. ISBN 978-0-8137-2373-0.
- ↑ «La Historia del Amianto». GDA. Consultado el 17 de junio de 2021.
- ↑ «What is asbestos?». British Lung Foundation.
- ↑ http://www.ecologistasenaccion.org/article19970.html
- ↑ Mesothelioma of pleura and peritoneum following exposure to asbestos in the London Area
- ↑ Kazan-Allen, Laurie (15 de julio de 2019). «Chronology of Asbestos Bans and Restrictions». International Ban Asbestos Secretariat.
- ↑ a b King, Anthony (25 de junio de 2017). «Asbestos, explained». Royal Society of Chemistry.
- ↑ «La OMS prohibe el amianto». La Organización Mundial de la Salud (OMS) ha desempeñado un papel clave en la lucha contra el amianto, impulsando su prohibición a nivel global debido a los graves efectos en la salud pública. Desde hace décadas, la OMS ha advertido sobre la toxicidad de las fibras de asbesto y su relación directa con enfermedades como el mesotelioma, el cáncer de pulmón y la asbestosis. A pesar de los esfuerzos de la organización, el amianto sigue sin estar prohibido en muchos países, representando un problema de salud global.
- ↑ Kazan-Allen, Laurie (2 de mayo de 2002). «Asbestos: Properties, Uses and Problems». International Ban Asbestos Secretariat.
- ↑ Webmineral data
- ↑ Mindat
- ↑ Höpfner, J.G.A. (1789): I. “Ueber die Klassifikation der Fossilien in einem Schreiben des Herausgebers an Herrn Plantilla:Dr Karsten in Halle. II. “Versuch einer neuen Classifikationsmethode der Stein- und Erdarten, nach den neuesten chemischen Erfahrungen". Magazin für die Naturkunde Helvetiens, 4, 255-332
- ↑ Fundortliste für Chrysotil beim Mineralienatlas und bei Mindat
- ↑ Examen del documento de orientación para la adopción de un proyecto de decisión sobre el amianto crisotilo. En algunos lugares rurales apartados, la cantidad de fibras (>5 mm) es, por regla general, de <1 fibra/litro (<0,001 fibras/mL), y en el aire de las ciudades fluctúa entre <1 y 10 fibras/litro (0,001 a 0,01 fibras/mL) y, a veces, más. El crisotilo es el tipo de fibra que se observa con mayor frecuencia en el medio ambiente (IPCS, 1986; 1998) (Inclusión de productos químicos en el anexo III del Convenio de Róterdam: Examen del documento de orientación para la adopción de un proyecto de decisión sobre el amianto crisotilo. Programa de las Naciones Unidas para el Medio Ambiente. 2005.).
- ↑ Examen del documento de orientación para la adopción de un proyecto de decisión sobre el amianto crisotilo... En consecuencia, el Comité acordó recomendar a la Conferencia de las Partes que se incluyera el amianto crisotilo en el anexo III del Convenio de Róterdam. El Comité aprobó también los argumentos en que se basaba la recomendación, y convino en establecer un grupo de redacción entre reuniones para que elaborara un documento de orientación para la adopción de un proyecto de decisión sobre ese producto químico. Seguidamente, el Comité acordó un cronograma de trabajo para el grupo entre reuniones establecido para preparar un documento de orientación para la adopción de un proyecto de decisión sobre el amianto crisotilo. El argumento, la decisión y el plan de trabajo se adjuntaron al informe de la primera reunión del Comité como anexo I… (Inclusión de productos químicos en el anexo III del Convenio de Róterdam: Examen del documento de orientación para la adopción de un proyecto de decisión sobre el amianto crisotilo. Programa de las Naciones Unidas para el Medio Ambiente. 2005.).
- ↑ «La valorización del amianto.». La valorización de residuos busca aprovechar materiales desechados para reducir su impacto ambiental y fomentar la economía circular, tal como establece la Directiva 2008/98/CE. Este proceso consiste en transformar los residuos en recursos útiles mediante dos tipos principales: Valorización energética: convierte residuos no reciclables en energía (biogás, electricidad, CSR) mediante procesos termoquímicos. Valorización material: transforma residuos no peligrosos (papel, vidrio, cartón) en nuevos materiales reciclados, evitando el uso de materias primas vírgenes. El caso del amianto plantea retos específicos por su peligrosidad. Catalogado como cancerígeno tipo 1 por la OMS, es considerado un residuo peligroso desde 1977. Su valorización requiere procesos que descomponen o neutralizan las fibras respirables , haciéndolo menos nocivo y permitiendo su reutilización controlada en la industria.
- ↑ «Empresas registrada en el RERA - Gestión y retirada de amianto (asbestos)». Amisur es una empresa especializada y dedicada a la gestión y retirada de amianto (asbestos) en bajantes, depósitos, tejados y maquinaria. Empresas registrada en el RERA (Registro de Empresas con Riesgo de Amianto) en España, habilitada para realizar este tipo de trabajos, incluyendo la elaboración y presentación de un plan de trabajo específico ante las autoridades competentes.
- ↑ a b c The History of Asbestos en Asbestos.com
- ↑ Berthold Laufer, Asbestos and Salamander, an essay in Chinese and Hellenistic Folklore (undated, c. 1920), p. 328.
- ↑ a b Clare Browne (2003) Salamander's Wool: The Historical Evidence for Textiles Woven with Asbestos Fibre, Textile History, 34:1, 64-73, DOI: 10.1179/004049603235001454.
- ↑ Examen del documento de orientación para la adopción de un proyecto de decisión sobre el amianto crisotilo Existe un consenso general en la comunidad científica en el sentido de que todos los tipos de fibras de amianto son carcinógenos (Sociedad Real del Canadá, 1996 citado por la C.E., 1997) y pueden causar asbestosis, cáncer pulmonar y mesotelioma en caso de ser inhalados. El crisotilo se ha clasificado entre los carcinógenos humanos conocidos (IARC, 1987). La exposición plantea un mayor riesgo de asbestosis, cáncer pulmonar y mesotelioma que depende de la dosis (IPCS, 1998). (Inclusión de productos químicos en el anexo III del Convenio de Róterdam: Examen del documento de orientación para la adopción de un proyecto de decisión sobre el amianto crisotilo. Programa de las Naciones Unidas para el Medio Ambiente. 2005.).
- ↑ «Asbestosis symptoms and treatments». NHS Inform. 6 de abril de 2017. Consultado el 19 de diciembre de 2017.
- ↑ «World Health Organization. Air Quality Guidelines, 2nd Edition—Asbestos». Archivado desde el original el 24 de mayo de 2011. Consultado el 20 de diciembre de 2009.
- ↑ (Gloyne, 1935; Lynch & Smith, 1935
- ↑ Hallan amianto en el 10% de pacientes de cáncer de pulmón. El Hospital del Valle de Hebrón quiere convertirse en centro de referencia en la investigación sobre el amianto. En uno de sus estudios ha identificado la presencia de esta sustancia en el 10 % de pacientes con cáncer de pulmón que desconocían haber estado expuestos (marzo de 2008).
- ↑ Examen del documento de orientación para la adopción de un proyecto de decisión sobre el amianto crisotilo La potencia cancerígena del crisotilo, comparado a las formas anfibólicas, es un tema que se debate cada vez más en la bibliografía científica. Varios autores han llegado a la conclusión de que hay suficientes pruebas epidemiológicas para demostrar que el crisotilo, a exposiciones comparables, es menos potente que las formas anfibólicas en la inducción de cáncer de pulmón. Por el contrario, otros sostienen que las variaciones en los riesgos están relacionadas con el tipo de industria y no con el tipo de fibra y que existen muy pocas pruebas que indiquen que la exposición al crisotilo plantea un riesgo menor de cáncer de pulmón (Nicholson y Landrigan, 1994; Stayner y otros, 1996, ambos citados por NICNAS, 1999) (Inclusión de productos químicos en el anexo III del Convenio de Róterdam: Examen del documento de orientación para la adopción de un proyecto de decisión sobre el amianto crisotilo. Programa de las Naciones Unidas para el Medio Ambiente. 2005).
- ↑ El rastro letal del amianto
- ↑ Productos Archivado el 2 de febrero de 2007 en Wayback Machine.
- ↑ En su 10.º período de sesiones, celebrado en Ginebra del 17 al 21 de noviembre de 2003, el Comité Intergubernamental de Negociación adoptó el documento de orientación para la toma de decisiones respecto del amianto: crocidolita, actinolita, amosita, antofilita y tremolita a los efectos de que esos productos químicos quedasen sujetos al procedimiento de CFP provisional. [1]
- ↑ «El asbesto crea controversia en reunión de la Convención de Róterdam.». Archivado desde el original el 14 de febrero de 2009. Consultado el 27 de octubre de 2008.
- ↑ elpais.com.uy «Venezuela instalaba casas prefabricadas con amianto para sectores de bajos ingresos»:
Lo que se prohibió fue el fibrocemento con asbesto o amianto a sus fabricantes, no a nosotros. Uruguay está lleno de techos de fibrocemento con asbesto, en Montevideo y el interior. Pero no son tóxicos, porque el asbesto ya está encapsulado en el cemento. Lo que es peligroso es su inhalación mientras se fabrica. Ahora se utiliza fibra de celulosa. Hay muchos mitos sobre este tema. Cualquier esquina de la ciudad está llena de pequeñas partículas de asbesto que la gente aspira, pues se utiliza en los frenos de los automóviles. Usted corre más riesgos en las calles 18 y Ejido que bajo un viejo techo de fibrocemento con asbesto. Las viviendas Umissa tampoco son de plástico, salvo las llaves de luz o tableros, como en cualquier hogar. Si mañana se prohibiera el plástico —lo que sería absurdo— utilizaríamos otro componente.
- ↑ ibasecretariat.org (ed.). «National Asbestos Bans». Consultado el 22 de junio de 2020.
- ↑ ibasecretariat.org (ed.). «Chronology of Asbestos Bans and Restrictions». Consultado el 22 de junio de 2020.
- ↑ a b EFE (5 de enero de 2018). «"Latinoamérica rezagada en la lucha contra el asbesto con solo seis países que lo vetan"». https://www.efe.com/.
- ↑ Eva Delgado Rosas (AFA-PEART) (20 de junio de 2002). «"La Prohibicion del Amianto en las Americas"». http://www.ibasecretariat.org/.
- ↑ DIGESA-MINSA (2005). «"Proyecto de Decreto Supremo para aprobar un reglamento de Prohibición de Asbesto en todas sus variedades y regulación de los procesos de remoción de Asbesto"». www.minsa.gob.pe.
- ↑ Andina (9 de febrero de 2011). «"Desde 01 de julio estará prohibido en Perú uso del asbesto anfíboles por ser cancerígeno"». https://andina.pe/.
- ↑ ECOLEX (2014). «"Ley Nº 29662 - Ley que prohíbe el asbesto anfíboles y regula el uso del asbesto crisotilo"». https://www.ecolex.org/.
- ↑ Semana, Revista (11 de junio de 2019). «“Cámara de Representantes aprobó la prohibición del asbesto en el país”». Semana. Consultado el 18 de junio de 2019.
- ↑ Heraldo, El (18 de junio de 2019). «“A sanción presidencial proyecto de ley que prohíbe el asbesto en el país”». El Heraldo. Consultado el 18 de junio de 2019.
- ↑ República, La (11 de julio de 2019). «“Presidente sanciona Ley que prohíbe el uso del asbesto en Colombia”». La República. Consultado el 11 de julio de 2019.
- ↑ Cooperativa.cl. «Falleció el hombre que se quemó a lo bonzo frente a La Moneda». Cooperativa.cl. Consultado el 27 de septiembre de 2022.
- ↑ Nacional, Biblioteca del Congreso. «Biblioteca del Congreso Nacional | Ley Chile». www.bcn.cl/leychile. Consultado el 27 de septiembre de 2022.
- ↑ http://www.payscale.com/research/US/Job=Asbestos_Removal_Worker/Hourly_Rate
- ↑ a b Informe de la Asociación Internacional de Seguridad Social
- ↑ Los enfermos de cáncer por amianto, una epidemia silenciada. La propia Comisión Europea habla de una epidemia de 500.000 muertes en los próximos años, una cantidad 10 veces superior a la de accidentes de trabajo. Según señalan los organizadores del acto «las muertes prematuras son evitables. La vigilancia específica de la salud y el reconocimiento profesional de estas enfermedades profesionales e indemnización correspondiente son clave para que avance la prevención frente a las múltiples sustancias cancerígenas utilizadas en el ámbito laboral y conseguir la detección precoz de la enfermedad, para prolongar la esperanza de vida».
- ↑ «El cáncer por exposición al amianto provocará más de 200.000 muertes durante la próxima década en el Reino Unido, según los expertos». “Los más afectados serán personas mayores de 60 años que trabajaron en la industria de la construcción y sus familias. La enfermedad ha provocado ya 30 000 muertes en el país. Peto indicó que los más expuestos son los carpinteros, los trabajadores de astilleros, metalúrgicos y electricistas nacidos entre 1945 y 1950. El mesotelioma ha matado ya a dos veces más personas que el cáncer de cérvix, afirmó el experto. Más de 2000 personas son diagnosticadas cada año de esta enfermedad, mientras que una persona muere de esa enfermedad cada cinco horas en el Reino Unido, según la Fundación Británica del Pulmón” (revista Consumer, 22 de febrero de 2007)
- ↑ «Comisiones parlamentarias | europarl.eu».
- ↑ Prospección sobre la presencia de amianto o de materiales que lo contengan en edificios Amplísimo informe elaborado en 2001 por la Fundación para la Prevención de riesgos laborales especialmente sobre el amianto en la construcción en España. Incluye información sobre productos, fabricantes, distribuidores y aplicadores a través de su publicidad en revistas y anuarios de la época (1909-1980), importaciones de amianto en España, legislación… (342 pp.) Disponible a texto completo en PDF.
- ↑ Internacional Combustion (calderas), Babcock Willcox (calderas), Armstrong (techos y suelos de amianto), Kaiser Aluminium (tuberías y aislantes), US Gypsum (cemento aislante y tuberías para vapor), Owens Corning (aislantes de tuberías) y Halliburton (refractores).
- ↑ Auguran un incremento de cáncer de pulmón por el amianto. (UITA, junio de 2005)
- ↑ Las cifras de cáncer por amianto en Ferrol se disparan respecto a la media del resto de España El mesotelioma, el más mortífero, es cinco veces superior al resto del país... Ello ofrece como balance una tasa de incidencia de 5/100.000 habitantes cuando en España es sólo de 1,2. La edad media de los 14 casos documentados es de 71 años y de todos ellos, diez reconocen la exposición al amianto. Seis de ellos presentaban un tiempo de exposición de las fibras del asbesto de 29 años. Una vez diagnosticados, la supervivencia ha sido de ocho meses... la cifra total de afectados que se manejan, unos 1.200 en toda el área, es sólo la tercera parte del número total (La Voz de Galicia, enero de 2008).
- ↑ Centro referencia silicosis Oviedo alerta aumento cáncer pleural por amianto. El neumólogo del Instituto Nacional de Silicosis de Oviedo, Gumersindo Rego, alertó hoy de un previsible aumento hasta 2020 del número de trabajadores afectados por cáncer pleural a causa del contacto con el amianto y de una «auténtica epidemia» de cáncer de pulmón. Cristóbal Carneiro, presidente de la Agavida (Asociación Gallega de Víctimas del Amianto), recordó que en España hay 60 000 personas enfermas y que el mayor número de ellas está en Ferrol aunque, según dijo, hay muchísimos enfermos a causa del uso del amianto en materiales como uralita de tejados, tuberías de agua y unas tres mil aplicaciones más que no están registrados. (ADN, junio de 2008).
- ↑ AMISUR (20 de noviembre de 2024). «La gestión del amianto en Cartagena». AMISUR. Consultado el 25 de junio de 2025.
- ↑ [2]
- ↑ El juez confirma una enfermedad profesional por amianto en Luzuriaga. Archivado el 3 de noviembre de 2008 en Wayback Machine. Se hizo pública la sentencia del Juzgado de lo Social número 2 de Donostia que reconoce que el cáncer de pleura que padece José Luis Aranburu, ex trabajador de Victorio Luzuriaga de Usúrbil, «deriva» de su contacto diario con el amianto. La Seguridad Social y Osalan habían admitido esa causa, sin embargo la dirección de la empresa recurrió la determinación de enfermedad profesional.
- ↑ Un informe médico confirma el trabajo con amianto en Fagor Victorio Luzuriaga. Archivado el 15 de agosto de 2011 en Wayback Machine. Explicó que trabajaban en Victorio Luzuriaga en contacto con amianto, incluso hasta «unos días antes de jubilarme en 2004». Ayer mismo un informe realizado por M. A. L. R., médico especialista en medicina del trabajo, corroboró ante el juez, sin ningún tipo de duda, que padece «un cáncer maligno en pleura, diagnosticado como mesotelioma epiteliode» y señaló «el origen profesional» de esa contaminación. Recordó que un informe de Osalan reconoce «la existencia de exposición a amianto en esa empresa guipuzcoana».
- ↑ [«En la industria naval y la siderurgia, hemos comido amianto por un tubo».]
Periodista: Hábleme del amianto. ¿Qué magnitud puede tener el problema? Uzkudún: Hay datos oficiales de la Agencia Europea de Salud en el Trabajo: 21.000 muertos por amianto en Europa. Hoy mismo me han notificado una nueva incapacidad absoluta por mesotelioma en Luzuriaga, en Usúrbil. En toda la siderurgia y la industria naval, los trabajadores hemos comido amianto por un tubo. Ahora empieza a salir de manera aplazada, y por eso debemos no repetir los errores con la sílice cristalina, con el polvo de madera.Jesús Uzkudún, responsable de salud laboral de CC. OO. de Euskadi
- ↑ El amianto provocó la muerte por cáncer de cuatro trabajadores de Juliana desde 2006. La muerte el pasado martes del trabajador de Factorías Juliana, Alfredo Hevia Mendiguren, a consecuencia de un cáncer provocado por el amianto, es la cuarta que se produce desde el año 2006 por el mismo motivo entre personal de ese centro de trabajo. Juliana es la factoría asturiana que acumula en este período un mayor número de casos de enfermedades profesionales asociadas al amianto, un material cancerígeno utilizado hasta su prohibición como aislante térmico en los barcos que se construían en el astillero gijonés... Operarios de EMA, Naval Gijón y Juliana ya fallecieron en años anteriores.
- ↑ El cáncer de laringe causado por amianto, reconocido como enfermedad laboral. El Tribunal Supremo (TS) ha reconocido por primera vez como enfermedad profesional un cáncer de laringe del que murió un estibador del puerto de Barcelona y que le fue provocado por la inhalación continua de amianto en el lugar de trabajo. La Seguridad Social rechazaba las pretensiones de la viuda, representada por los abogados del Coletivo Ronda, porque el cáncer de laringe no está expresamente reconocido como enfermedad laboral en la relación de enfermedades catalogadas como profesionales, aunque sí lo está el de pulmón provocado por inhalación de amianto.
- ↑ Un juez reconoce una pensión de viudedad por una enfermedad profesional causada por amianto: El magistrado destaca que se ha acreditado que el trabajador fallecido empleó guantes de amianto durante ocho años, por lo que «no cabe más que concluir que la enfermedad padecida» es la prevista en el real decreto de 1978 de enfermedades sistemáticas, carcinoma de pulmón por asbesto.
- ↑ «República Dominicana está entre únicos 6 países que rechazan uso del asbesto | Por el Ojo de la Cerradura | Periódico Digital Dominicano». porelojodelacerradura.com.do. Archivado desde el original el 29 de mayo de 2020. Consultado el 15 de marzo de 2018.
- ↑ «República Dominicana 39.- Amianto, PVC, Sílice | CEOE». prl.ceoe.es. Archivado desde el original el 16 de marzo de 2018. Consultado el 15 de marzo de 2018.
- ↑ Nueva ofensiva contra el asbesto Autoridades laborales de Brasil promueven la prohibición del mineral cancerígeno que se usa en más de tres mil productos. Se prevé resistencia de parte de las empresas. La Sociedad Anónima Minería de Amianto (Sama), única productora de asbesto en el país, exportó 140 000 t (toneladas) del mineral en 2003. La Sociedad Anónima Minería de Amianto (Sama), única productora del mineral, y las industrias que lo emplean sostienen que no es peligroso el uso controlado de asbesto, de acuerdo con leyes vigentes. En Brasil sólo se emplea el llamado asbesto blanco o crisotila, la variedad menos tóxica, permitida en muchos países, arguyen. En Brasil hay cerca de 300 000 personas directamente expuestas a ese mineral tóxico, por trabajar en empresas que lo utilizan, según Fundacentro, organismo sanitario del Ministerio de Trabajo.
- ↑ En la propia web de la exportadora brasileña SAMA, ésta reconoce exportar amianto a más de 20 países.
- ↑ Tercer Encuentro Sindical de Salud Ocupacional de los Trabajadores de la Construcción de Latinoamérica y el Caribe: Enfermedades profesionales y prohibición del uso del asbesto o amianto: Archivado el 28 de septiembre de 2008 en Wayback Machine.
Canadá es uno de los mayores exportadores de asbesto, y nosotros nos dirigimos a su gobierno para mostrarle que los trabajadores en diferentes partes del mundo están preocupados por su menosprecio a la salud ocupacional y publica de los ciudadanos y trabajadores alrededor del mundo. Rusia, China y Brasil son también grandes productores y exportadores de asbesto y tenemos que convencerlos de utilizar otros materiales alternativos. Sin embargo, sus gobiernos, a diferencia del gobierno canadiense, no financian las campañas de publicidad masivas en los países en desarrollo para convencerlos de que el asbesto es perfectamente seguro. Este es un comportamiento amoral y de una descarga social de la clase más cínica. Mientras que 40 países industrializados han prohibido el asbesto y están utilizando materiales alternativos, países en desarrollo son objetivo de los vendedores de asbestos quienes niegan los peligros en la salud con tal de obtener ganancias.
- ↑ Francia destruirá en la India un portaaviones que contiene por lo menos 105 toneladas de asbesto El gobierno francés quitó importancia a los peligros. La mayor parte del asbesto del Clemenceau ya fue eliminada, afirmó el portavoz del Ministerio de Defensa, Jean Francois Bureau. Pero Parigot dijo a IPS que «la mayor parte del material peligroso originalmente contenido en el Clemenceau todavía está en el barco». Parigot se refería específicamente a unos 40 000 m² (metros cuadrados) de baldosas contaminadas con asbesto. «El Ministerio de Defensa no pudo explicar por qué este asbesto no podía ser eliminado en Francia», señaló. Hasta 40 000 trabajadores están empleados en Alang para desguazar barcos a mano. Expertos en salud y trabajo opinan que las condiciones laborales allí son pésimas y que la seguridad prácticamente no existe, la razón real para que los países industrializados envíen allí buques contaminados para su desmantelamiento. Parigot dijo que los desechos del Clemenceau podrían haber sido atendidos en Francia.
- ↑ Agavida dice que los afectados de amianto son ya tres mil Carneiro hizo públicas estas cifras tras mantener un encuentro con parlamentarios del Bloque Nacionalista Galego.
Notas
- ↑ Aunque popularmente se consideran sinónimos, la Real Academia Española diferencia entre asbesto y amianto:
- asbesto (del latín asbestos, y este del griego ασβεστος [asbestos], ‘incombustible, inextinguible’): mineral de composición y caracteres semejantes a los del amianto, pero de fibras duras y rígidas que pueden compararse con el cristal hilado, su fórmula es Mg3Si2O5(OH)4.
- amianto (del latín amiantus, y este del griego αμίαντος [amíantos], ‘sin mancha’): mineral que se presenta en fibras blancas y flexibles, de aspecto sedoso. Es un silicato de cal, alúmina y hierro, y por sus condiciones tiene aplicación para hacer con él tejidos incombustibles.
Enlaces externos
Wikimedia Commons alberga una categoría multimedia sobre Asbesto.
Wikcionario tiene definiciones y otra información sobre asbesto.- Atsdr.cdc.gov («Cómo vivir con enfermedades relacionadas con el asbesto (amianto): una guía de autocuidado»; Departamento de Salud y Servicios Humanos de Estados Unidos; en dominio público; en español).
- Hesa.etui-rehs.org («El amianto en el mundo»; en francés e inglés)
- osha.europa.eu (OSHA —Agencia Europea para la Seguridad y la Salud en el Trabajo—: «Amianto en la construcción»).
- http://previgiene.com/limite-de-exposicion-para-el-amianto/ Archivado el 15 de marzo de 2021 en Wayback Machine. («Límite de exposición para el amianto»)
