Mesotelioma
| Mesotelioma | ||
|---|---|---|
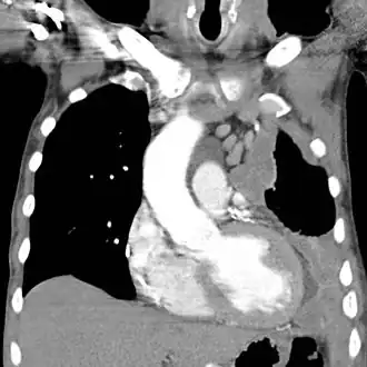
![]() Tomografía Computarizada: Mesotelioma del lado izquierdo con la ampliación ganglionar mediastínica. | ||
| Especialidad |
oncología neumología | |
| Síntomas | Dificultad para respirar, abdomen hinchado, dolor en la pared torácica, tos, sensación de cansancio, pérdida de peso | |
| Tratamiento | Cirugía, radioterapia, quimioterapia, pleurodesis | |
Mesotelioma (o mesotelioma maligno) es una forma rara de cáncer que se desarrolla a partir de células transformadas originarias del mesotelio, el revestimiento protector que cubre muchos de los órganos internos del cuerpo.
Tipos
El mesotelioma puede originarse en diversas localizaciones:
- Pleura. Mesotelioma pleural. La pleura es una fina lámina de tejido que forma el revestimiento exterior de los pulmones y el interno de la pared torácica. Es el lugar más frecuente donde se desarrolla el mesotelioma.[1]
- Peritoneo. Mesotelioma peritoneal.
- Pericardio. Mesotelioma pericárdico. Tumor maligno muy raro que afecta al pericardio, la membrana que cubre el corazón. A diferencia de otros tipos de mesotelioma no se asocia con la inhalación de asbesto.[2]
- Túnica vaginal del testículo. Da origen a un mesotelioma testicular, tumor extraordinariamente poco común.[3]
Etiología
La mayoría de las personas que desarrollan un mesotelioma han trabajado en actividades donde se inhala el amianto, o estuvieron expuestas al polvo del amianto y sus fibras de otras maneras, por lo que se la considera una enfermedad profesional.[4] También se ha sugerido que lavar la ropa de un miembro de la familia que trabajaba con asbesto aumenta el riesgo de desarrollar mesotelioma.[5]
A diferencia del cáncer de pulmón, no parece haber ninguna relación entre el mesotelioma y el tabaco, pero el fumar aumenta el riesgo de otros cánceres inducidos por el amianto.[6]
Cuadro clínico
Los signos y síntomas del mesotelioma pleural incluyen dificultad respiratoria por derrame pleural (líquido entre el pulmón y la pared del tórax), dolor torácico y signos constitucionales inespecíficos, entre ellos pérdida de peso. El mesotelioma peritoneal cursa con síntomas inespecíficos, dolor, hinchazón abdominal y ascitis. El mesoteliama pericárdico causa derrame pericárdico.
Diagnóstico
El diagnóstico del mesotelioma pleural se puede sospechar mediante Rayos-X y TC torácico. Se confirma con una citología del derrame seroso o con una biopsia (extracción de una muestra del tejido sospechoso) y analizado con microscopio. Una toracoscopia (inserción de un tubo con una cámara en el pecho) puede ser utilizado para adquirir material de biopsia, y permite la introducción de sustancias tales como talco para permitir la adherencia de las dos capas pleurales (un procedimiento llamado pleurodesis), evitando que se acumule más líquido y presión sobre el pulmón.
Tratamiento
A pesar del tratamiento con quimioterapia, radioterapia[7] o cirugía, la enfermedad no tiene buen pronóstico y por lo general, termina siendo mortal a un corto o mediano plazo para el paciente.[8]
Prevención
Actualmente se investiga sobre una prueba de diagnóstico precoz del mesotelioma.[9]
Véase también
Referencias
- ↑ Ashrafian H, Athanasiou T, Yap J, DeSouza AC (junio de 2005). «Two-chamber intracardiac mesothelioma». Asian Cardiovasc Thorac Ann 13 (2): 184-6. PMID 15905353. Archivado desde el original el 18 de noviembre de 2018. Consultado el 22 de abril de 2012.
- ↑ Mesotelioma pericárdico primario manifestado como derrame pericárdico severo. Autores: Viviana Quinteros, Ana G. Múnera, Jorge A. Arroyave, Mauricio Duque. Revista Colombiana de Cardiología. Vol. 22. Núm. 1. Páginas 44-48, 2005. Consultado el 4 de octubre de 2019.
- ↑ Testicular Mesothelioma. Mesothelioma online. Consultado el 4 de octubre de 2019.
- ↑ Robinson, Benjamin M. (2012-11). «Malignant pleural mesothelioma: an epidemiological perspective». Annals of Cardiothoracic Surgery 1 (4): 491-496. ISSN 2225-319X. PMC 3741803. PMID 23977542. doi:10.3978/j.issn.2225-319X.2012.11.04. Consultado el 18 de octubre de 2021.
- ↑ Eastbourne Today. «Woman's death from asbestos». Consultado el 28 de octubre de 2008.
- ↑ Muscat JE, Wynder EL (mayo de 1991). «Cigarette smoking, asbestos exposure, and malignant mesothelioma». Cancer Res. 51 (9): 2263-7. PMID 2015590.
- ↑ Chapman, Evelina; García Diéguez, Marcelo (19 de julio de 2006). «Radiotherapy for malignant pleural mesothelioma». En Cochrane Lung Cancer Group, ed. Cochrane Database of Systematic Reviews (en inglés) 2010 (4). doi:10.1002/14651858.CD003880.pub4. Consultado el 7 de diciembre de 2022.
- ↑ Jain, Sumeet V.; Wallen, Jason M. (2024). Malignant Mesothelioma. StatPearls Publishing. Consultado el 2 de octubre de 2024.
- ↑ Surmont, Veerle F.; van Thiel, Eric R. E.; Vermaelen, Karim; van Meerbeeck, Jan P. (2011). «Investigational Approaches for Mesothelioma». Frontiers in Oncology 1. ISSN 2234-943X. doi:10.3389/fonc.2011.00022. Consultado el 2 de octubre de 2024.
Enlaces externos
- En Epistemoikos hay más información sobre Mesotelioma.
