Apicomplexa
| Apicomplexa | ||
|---|---|---|
![]() Esporozoito de Plasmodium | ||
| Taxonomía | ||
| Dominio: | Eukarya | |
| Reino: | Protista | |
| (sin rango) | Supergrupo SAR | |
| Superfilo: | Alveolata | |
| Filo: | Miozoa | |
| Subfilo: | Myzozoa | |
| Infrafilo: |
Apicomplexa[1] Levine, 1970 | |
| Superclase: |
Sporozoa Leuckart, 1879 | |
| Subgrupos | ||
| ||
Los apicomplejos (Apicomplexa) son un extenso grupo de protistas exclusivamente endoparásitos de animales,[2] con unas 5000 especies descritas.[3] Se caracterizan por la presencia de un orgánulo único denominado complejo apical, una adaptación del organismo que le permite la entrada en la célula hospedadora. Son unicelulares, forman esporas y carecen de estructuras móviles tales como flagelos o pseudópodos, excepto en ciertas etapas de los gametos. Es un grupo diverso incluyendo a organismos como gregarinas, hemogregarinas, coccidios, hemosporidios (Plasmodium) y piroplasmas (Babesia).[4] Entre las enfermedades causadas por estos organismos están la coccidiosis, malaria y babesiosis.
Enfermedades causadas por estos organismos
A excepción de Nephromyces, que es un simbionte de animales marinos,[5] todas las demás especies de apicomplejos son endoparásitos obligados de animales.[6] Entre las enfermedades que causan a los seres humanos destacan:
- Coccidiosis, incluyendo:
- Malaria (Plasmodium)
- Babesiosis (Babesia)
Características

A. Complejo Apical
1. Anillo polar
2. Intraconoide microtúbulo
3. Conoide
4. Anillo posterior
5. Complejo de membrana interna
6. Subpellicular microtúbulo
7. Roptrias, retienen las enzimas liberadas durante la penetración en el huésped
8. Micronemas, importante para la invasión de la célula huésped y la movilidad de deslizamiento
9. Mitocondria
10. Microporo
11. Gránulos densos
12. Membranas de apicoplasto, (4, rojo secundario, no fotosintético)
13. Aparato de Golgi
14. Núcleo
15. Retículo endoplasmático
Todas las especies de este grupo tienen una etapa infecciosa (el esporozoito) que posee un complejo apical, que da nombre al grupo. El complejo apical es un orgánulo situado en una punta de la célula que posee tres estructuras distintivas: un conjunto de microtúbulos dispuestos en espiral (el conoide), un cuerpo secretor (las roptrias) y una o más bandas de microtúbulos (el anillo polar). Puede incluir también vesículas secretoras (las micronemas) rodeadas por uno o dos anillos polares.[4] El complejo apical le permite al organismo la entrada en la célula huésped combinando la acción perforadora del conoide con las secreciones químicas de las roptrias. Además del complejo apical, existen unos orgánulos esféricos secretores situados alrededor de la célula (denominados gránulos densos), que actúan después de la penetración en la célula huésped, persistiendo durante varios minutos. Sobre el resto de la célula, a excepción de una pequeña boca llamada microporo, la membrana se apoya en unas vesículas denominadas alvéolos corticales, formando una estructura semirrígida.
Los flagelos se encuentran sólo en los gametos móviles. Están dirigidos posteriormente y varían en número, por lo general se presentan de uno a tres. Los apicomplejos tienen una capacidad de deslizamiento única que les permite atravesar tejidos y entrar y salir de las células huésped. Esta capacidad de deslizamiento se debe al uso de adherencias y por pequeños motores estáticos de miosina. La mayoría de los apicomplejos tienen un apicoplasto (plástido no fotosintético). Otras características comunes a este filo son la reproducción sexual, el uso de microporos para la alimentación y la producción de ooquistes que contienen esporozoitos.
Más en detalle, la célula de los apicomplejos presenta las siguientes características: el núcleo es haploide, presenta aparato de Golgi, presenta cuerpos basales (aunque hemosporidios y piroplásmidos presentan en sus cuerpos basales tripletes de microtúbulos normales, coccidios y gregarinas tienen nueve singletes), las mitocondrias tienen crestas tubulares, carece de centriolos, cloroplastos, eyectosomas o inclusiones, en algunas especies presenta plástidos incoloros, y la célula está rodeada por una película de tres capas (la estructura alveolar) penetrada por microporos. En cuanto a la replicación: la mitosis es normalmente cerrada, con huso intranuclear, aunque en algunas especies es abierta en los polos, la división celular es generalmente por esquizogonia, y la meiosis se produce en el cigoto.
Ciclo vital


La mayoría de los apicomplejos tiene un ciclo vital complejo, implicando reproducción asexual y sexual. Típicamente, un huésped se contamina ingiriendo quistes, los cuales se dividen para producir los esporozoitos (fase de esporulación) que entran en sus células. Eventualmente las células revientan, liberando merozoitos (fase de esquizogonia) que infectan nuevas células. Esto puede ocurrir varias veces, hasta que se producen gametocitos (fase de gamogonia), los cuales dan lugar a gametos que se fusionan para crear quistes nuevos y completar el ciclo. Hay muchas variaciones en este patrón básico, sin embargo, y muchos apicomplejos tiene más de un huésped.
Clasificación
Los apicomplejos se dividen en cuatro grupos principales: gregarinas, coccidios, hemosporidios y piroplasmas.[7] Gregarinas y coccidios parecen estar estrechamente relacionados (se agrupan en la clase Conoidasida), lo mismo que hemosporidios y piroplasmas (clase Aconoidasida).
Gregarinasina
Las gregarinas generalmente son parásitos de los anélidos, artrópodos y moluscos. A menudo se encuentran en los intestinos de sus anfitriones, pero pueden invadir otros tejidos. En el ciclo de vida típico de la gregarina, un trofozoito se desarrolla dentro de la célula huésped produciendo un esquizonte. Este luego se divide por esquizogonia dando lugar a numerosos merozoitos. Los merozoitos se liberan de la célula huésped mediante lisis e invaden nuevas células, proceso que se repite varias veces. En algún momento del ciclo de vida de la gregarina se forman gametocitos. Estos se liberan por lisis de las células huésped que las contienen. Cada gametocito forma múltiples gametos y estos se fusionan por parejas para formar ooquistes. Los ooquistes abandonan el antiguo huésped para buscar uno nuevo.
Coccidiasina
Los coccidios son, en general, parásitos de vertebrados. Como las gregarinas, normalmente son parásitos de las células epiteliales del intestino, aunque pueden infectar otros tejidos, y además incluyen algunos parásitos sanguíneos. El ciclo de vida de los coccidios implica merogonia, gametogonia y esporogonia. Aunque el ciclo es similar al de las gregarinas, se diferencia en la formación de cigoto. Algunos trofozoítos aumentan de tamaño y se convierten en macrogametos, mientras que otros se dividen varias veces para formar microgametos (anisogamia). Los microgametos son móviles y buscan al macrogameto para fertilizarlo. El macrogameto fertilizado se convierte en cigoto que a su vez forma un ooquiste, que normalmente abandona el huésped. La meiosis, cuando se produce, implica gametos marcadamente anisógamos. El ciclo de vida es típicamente haploide, con una única etapa diploide que ocurre en el cigoto, que normalmente es de corta duración.
Las principales diferencias entre coccidios y gregarinas se dan en los gamontes. En los coccidios los gamontes son pequeños, intracelulares y carecen epimeritos o mucrones, mientras que en las gregarinas son grandes, extracelulares y presentan epimeritos o mucrones. Además, en los coccidios un gamonte se convierte en un único macrogametocito, mientras que en las gregarinas da lugar a múltiples gametocitos.
Haemosporida
Los hemosporidios tienen ciclos de vida más complejos que alternan entre un huésped artrópodo y uno vertebrado. Los trofozoitos parasitan eritrocitos u otros tejidos del hospedador vertebrado. Los microgametos y macrogametos siempre se encuentran en la sangre. Los gametos son absorbidos por el insecto vector durante la ingestión de sangre. Los microgametos migran al intestino del insecto y se fusionan con los macrogametos. El macrogameto fertilizado se convierte ahora en un oocineto, que penetra en el cuerpo del vector. El oocineto se transforma a continuación en un ooquiste y se divide inicialmente por meiosis y luego por mitosis (ciclo de vida haploide) para dar lugar a los esporozoitos. Los esporozoitos se liberan del ooquiste y migran a las glándulas salivales del vector, desde donde se inyectan al nuevo huésped vertebrado cuando el insecto lo pica.
Piroplasmida
Los piroplasmas tienen ciclos de vida muy similares a los hemosporidios, de los que se distinguen por no formar ooquistes ni esporas, además de que en la fase de trofozoito se separan del eritrocito por una sola membrana, al contrario que otros parásitos sanguíneos, que por lo general tienen al menos dos membranas.
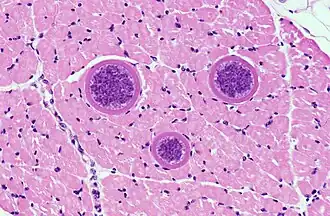
Galería
-

-

-

-
Quistes de Sarcocystis hominis (Coccidiasina) -

-

-

-

-

-
Esporoblasto de Theileria annulata (Piroplasmida)
Relaciones con otros grupos
La presencia de alvéolos corticales y otros rasgos colocan a Apicomplexa en el grupo Alveolata. Varios flagelados relacionados, tales como Perkinsus y Colpodella, tienen estructuras similares al anillo polar y fueron incluidos antes en este grupo, pero ahora parece que son parientes más cercanos de Dinoflagellata. Estos organismos son probablemente similares al antepasado común de ambos grupos.
Otra relación con los dinoflagelados viene dada por la presencia en las células de los apicomplejos de un único plasto, denominado apicoplasto, que se encuentra rodeado por tres o cuatro membranas. Se supone que entre sus funciones se incluye la síntesis de lípidos y al parecer es necesario para la supervivencia del organismo. Se considera generalmente que los apicoplastos comparten un origen común con los cloroplastos de los dinoflagelados, aunque algunos estudios sugieren que proceden en última instancia de algas verdes más bien que de algas rojas.[8][9]
Apicomplexa abarca a un grupo de organismos que antes eran clasificados como esporozoos (protozoos parásitos sin flagelos, seudópodos ni cilios). Los otros principales grupos clasificados antes como esporozoos son Ascetosporea (ahora clasificado en Cercozoa), Myxozoa (ahora clasificado entre los animales) y Microsporidia (ahora clasificado entre los hongos). A veces, el término de esporozoo se usa como sinónimo de Apicomplexa y otras veces como subconjunto.
Origen y evolución

El complejo ciclo de vida de los apicomplejos se entiende mejor en términos de su evolución. Los análisis filogenéticos sugieren que Apicomplexa se originó a partir de Dinoflagellata, un gran grupo de protozoos fotosintéticos. Probablemente los antepasados de los apicomplejos fueron organismos autótrofos que desarrollaron la capacidad de invadir las células intestinales de sus depredadores y posteriormente perdieron la capacidad fotosintética. Algunas especies de dinoflagelados actuales pueden invadir los cuerpos de las medusas y seguir con la fotosíntesis, lo que es posible porque los órganos de las medusas son casi transparentes. En otros organismos con órganos opacos, lo más probable es que la capacidad fotosintética se perdiera rápidamente.
Se cree que los apicomplejos comenzaron infectando la pared intestinal del huésped con una ruta de propagación fecal-oral. En algún punto de la evolución, el parásito evolucionó a la capacidad de infectar el hígado de huésped. Este patrón se observa en el género Cryptosporidium. En algún otro punto de la evolución, un apicomplejo desarrolló la capacidad de infectar a las células de la sangre y de sobrevivir e infectar a los mosquitos. Una vez que la transmisión del mosquito quedó firmemente establecida, se perdió la anterior vía de transmisión fecal-oral. La teoría actual (2007) sugiere que los géneros Plasmodium, Haemoproteus y Hepatocystis evolucionaron a partir de especies de Leukocytozoon. Los parásitos del género Leukocytozoon infectan a los leucocitos (glóbulos blancos) y a las células del hígado y del bazo y se transmiten por medio de moscas negras (Simulium), un extenso género de moscas relacionadas con los mosquitos.
Los leucocitos, la mayoría de los hepatocitos y las células del bazo realizan activamente la fagocitosis de partículas, haciendo la entrada en la célula más fácil para el parásito. El mecanismo de entrada en los eritrocitos de las especies del género Plasmodium está todavía poco clara, teniendo en cuenta que la entrada se realiza en menos de 30 segundos. Todavía no se sabe si este mecanismo evolucionó antes que los mosquitos se convirtieran en los principales vectores de transmisión de Plasmodium.
El patrón de alternancia entre la reproducción sexual y asexual, que puede parecer confusa al principio, es un patrón muy común en las especies parásitas. Las ventajas evolutivas de este tipo de ciclo de vida ya fueron reconocidas por Mendel.
En condiciones favorables, la reproducción asexual es superior a la sexual puesto que el padre está bien adaptado a su medio ambiente y sus descendientes compartirán estos genes. Durante condiciones de estrés, tales como la transferencia a un nuevo huésped, la reproducción sexual es por general superior, ya que produce un barajamiento de los genes que, sobre el promedio de población, da lugar a individuos mejor adaptados al nuevo entorno.
Importancia médica
Apicomplexa incluye muchos patógenos importantes para los seres humanos y animales domésticos. En contraste con las bacterias patógenas, estos parásitos son eucariontes y comparten muchas rutas metabólicas con sus huéspedes. Este hecho hace que el tratamiento terapéutico sea extremadamente difícil (una droga que dañe al parásito probablemente también dañará a su huésped). No hay actualmente vacunas eficaces o tratamientos disponibles para la mayoría de las enfermedades causadas por estos parásitos. Un posible objetivo para las drogas es el plástido y, de hecho, los medicamentos existentes que son eficaces contra los apicomplejos, como las tetraciclinas, parecen actuar precisamente contra el plástido.[10]
La investigación biomédica sobre los parásitos es difícil, pues a veces es imposible mantener cultivos vivos del parásito en el laboratorio y manipular estos organismos. Recientemente, varias especies se han seleccionado para secuenciar su genoma. La disponibilidad de estas secuencias genómicas proporciona una nueva oportunidad para aprender más sobre la evolución y la capacidad bioquímica de estos parásitos.
Referencias
- ↑ Apicomplexa. The Taxonomicon.
- ↑ Adl et al. 2012. The revised classification of eukaryotes. Journal of Eukaryotic Microbiology, 59(5), 429-514
- ↑ Chapman, A. D. (2009). Numbers of living species in Australia and the world Archivado el 28 de septiembre de 2015 en Wayback Machine..
- ↑ a b Duszynski1, Donald W.; Steve J. Upton and Lee Couch (21 de febrero de 2014). «The Coccidia of the World» (Online database). Department of Biology, University of New Mexico, and Division of Biology, Kansas State University. Archivado desde el original el 30 de diciembre de 2010. Consultado el 30 de mayo de 2009.
- ↑ Saffo, M. B., McCoy, A. M., Rieken, C., & Slamovits, C. H. (2010). Nephromyces, a beneficial apicomplexan symbiont in marine animals. Proceedings of the National Academy of Sciences, 107(37), 16190-16195.
- ↑ Jadwiga Grabda (1991). Marine fish parasitology: an outline. VCH. p. 8. ISBN 0-89573-823-6.
- ↑ Perkins FO, Barta JR, Clopton RE, Peirce MA, Upton SJ (2000). «Phylum Apicomplexa». En Lee JJ, Leedale GF, Bradbury P, ed. An Illustrated guide to the Protozoa : organisms traditionally referred to as protozoa, or newly discovered groups 1 (2nd edición). Society of Protozoologists. pp. 190-369. ISBN 1891276220. OCLC 704052757.
- ↑ Patrick J. Keeling (2004). «Diversity and evolutionary history of plastids and their hosts». American Journal of Botany 91: 1481-1493. doi:10.3732/ajb.91.10.1481. Archivado desde el original el 27 de febrero de 2008. Consultado el 30 de mayo de 2009.
- ↑ Ram, Ev; Naik, R; Ganguli, M; Habib, S (julio de 2008). «DNA organization by the apicoplast-targeted bacterial histone-like protein of Plasmodium falciparum». Nucleic acids research. PMID 18663012. doi:10.1093/nar/gkn483.
- ↑ Dahl, El; Shock, Jl; Shenai, Br; Gut, J; Derisi, Jl; Rosenthal, Pj (septiembre de 2006). «Tetracyclines specifically target the apicoplast of the malaria parasite Plasmodium falciparum» (Free full text). Antimicrobial agents and chemotherapy 50 (9): 3124-31. PMC 1563505. PMID 16940111. doi:10.1128/AAC.00394-06. Archivado desde el original el 16 de octubre de 2019. Consultado el 30 de mayo de 2009.
Véase también
Enlaces externos
Wikimedia Commons alberga una categoría multimedia sobre Apicomplexa.
Wikispecies tiene un artículo sobre Apicomplexa.- S.J. Brands (Compiler) (2000). «The Taxonomicon & Systema Naturae» (Website database). Taxón: Genus Cryptosporidium. Universal Taxonomic Services, Ámsterdam, The Netherlands. Archivado desde el original el 26 de septiembre de 2007. Consultado el 26 de mayo de 2007.
- Base de datos del NIH, ApiDB.org, que proporciona acceso público a las secuencias genómicas actualmente disponibles.
