Plasmodium falciparum
| Plasmodium falciparum | ||
|---|---|---|
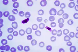
![]() Plasmodium falciparum en la sangre | ||
| Taxonomía | ||
| Reino: | Protista | |
| Superfilo: | Alveolata | |
| Filo: | Miozoa | |
| Infrafilo: | Apicomplexa | |
| Clase: | Aconoidasida | |
| Orden: | Haemospororida | |
| Familia: | Plasmodiidae | |
| Género: | Plasmodium | |
| Especie: |
P. falciparum Welch, 1897 | |
Plasmodium falciparum es un protozoo parásito, una de las especies del género Plasmodium que causa malaria en humanos. Es transmitida por mosquitos Anopheles. Se pueden observar diferentes fases evolutivas, en el mosquito Anopheles (donde se reproduce el parásito), en el interior de los hepatocitos y en el interior de los glóbulos rojos del hospedador humano. P. falciparum transmite la forma más peligrosa de malaria con los índices más altos de complicaciones y mortalidad, productor del 80 % de todas las infecciones de malaria y 90 % de las muertes por la enfermedad. Su prevalencia predomina en el África subsahariana, más que en otras áreas del mundo.
Es el único capaz de producir malaria cerebral. Causa la muerte por coma y anemia. Invade cualquier tipo de eritrocitos y produce el paludismo terciario maligno. Es frecuente la coinfección por VIH. [cita requerida]
Ciclo de vida
Cuando un mosquito infectado pica al humano, los esporozoitos entran a la circulación sanguínea, de donde salen para penetrar las células del hígado, donde se reproducen asexualmente, por medio de un proceso denominado esquizogonía. Esta forma intracelular del parásito, dividiéndose sexualmente, es conocido como esquizonte y, por razón de que el esquizonte está en las células hepáticas y no en los eritrocitos, se le conoce como el estadio extraeritrocítico.
En las especies Plasmodium vivax y Plasmodium ovale, el desarrollo del esquizonte es más lento, formando un estado de reposo del parásito llamado hipnotizado, no presente en el Plasmodinium falciparium.
Cuando los hepatocitos revientan, se liberan merozoitos de los esquizontes exoeritrocíticosas a la sangre, capaces de infectar a los glóbulos rojos. Dentro de los eritrocitos, los merozoitos se desarrollan en trofozoitos anillados, que forman los esquizontes eritrocíticos.
Los esquizontes eritrocíticos maduros forman merozoitos nuevamente al liberarse dentro del eritrocito. Estos merozoitos son la forma intracelular transitoria, pudiendo rápidamente infectar a otros glóbulos rojos para completar el ciclo eritrocítico o bien mueren. Normalmente, se suele producir la destrucción de los eritrocitos cada 48 h, aunque de manera irregular, que se ve relacionado con los picos de fiebre que produce cada cierto tiempo. Adicional a ello, cuando se infecta a un nuevo eritrocito, en vez de transformarse en trofozoitos, los parásitos crecen en los gametocitos inmaduros. Estos pueden ser absorbidos por un mosquito alimentándose de sangre, causando al parásito que regrese al hospedador definitivo, completando así el ciclo de vida.
Tratamiento y resistencia
Los esfuerzos de producir antimaláricos sintéticos comenzaron en 1891. Quinacrina (Atabrina) fue creada en 1928 y se usó ampliamente a través del Pacífico en la Segunda Guerra Mundial, pero perdió popularidad por razón de la coloración amarillenta que causaba en la piel. A fines de los años 1930, los alemanes desarrollaron la cloroxeina, usado en campañas al norte de África. Mao Zedong animó a científicos chinos para descubrir nuevos antimaláricos después de presenciar las víctimas durante la guerra de Vietnam. Artemisinin fue descubierta en los años 1970 basada en medicina descrita en China en el año 340. Esta nueva medicina fue introducida a los científicos occidentales y es ahora uno de los tratamientos de elección en contra de la malaria. En 1976 P. falciparum fue cultivado exitosamente in vitro por primera vez, lo que facilitó el desarrollo de nuevos fármacos.[1]
