Asma
| Asma | ||
|---|---|---|
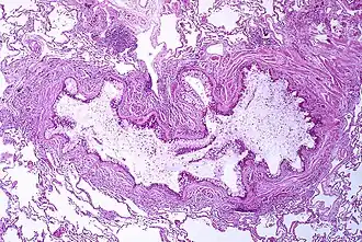
![]() Inflamación y obstrucción del bronquiolo por exudado mucoso característico del asma. | ||
| Especialidad |
neumología inmunología | |
| Síntomas | disnea, sibilancias | |
| Complicaciones | Enfermedad por reflujo gastroesofágico (ERGE), sinusitis, apnea obstructiva del sueño | |
| Causas | Factores genéticos y ambientales[1] | |
| Factores de riesgo | Contaminación del aire, alérgenos | |
| Diagnóstico | Basado en los síntomas, respuesta al tratamiento, espirometría | |
| Sinónimos | ||
| Asma bronquial | ||
El asma es una enfermedad del sistema respiratorio caracterizada por una inflamación crónica de la vía aérea, cuyas manifestaciones clínicas son heterogéneas y variables en el tiempo y consisten en sibilancias (pitos), dificultad respiratoria, opresión torácica y tos.[2][3][4]
El origen de la enfermedad es complejo e involucra la inflamación, la obstrucción intermitente y la hiperreactividad (incremento en la respuesta broncoconstrictora) de las vías respiratorias. La presencia de edema y secreción de mucosidad contribuye tanto con la obstrucción como con el aumento de reactividad. La enfermedad puede tener un curso agudo, subagudo o crónico, dependiendo de la frecuencia, duración e intensidad de sus manifestaciones clínicas.[5]
Las manifestaciones del asma se dan en respuesta a numerosos estímulos desencadenantes tanto endógenos (internos a la persona), como exógenos (del ambiente). Los mecanismos subyacentes incluyen el estímulo directo sobre la musculatura lisa del árbol bronquial y el estímulo indirecto para que células propias secreten sustancias activas que producen la reacción inflamatoria y la broncoconstricción.[5] Entre estos estímulos desencadenantes están la exposición a un medio ambiente inadecuado (frío, húmedo o con alérgenos), el ejercicio o esfuerzo y reacciones a alimentos u otras sustancias como consecuencia de un aumento de la permeabilidad intestinal. Enfermedades víricas y bacterianas de las vías respiratorias altas y el estrés emocional pueden empeorar los síntomas.[6][7][8][9]
Los síntomas del asma son la respiración sibilante, la falta de aire, la opresión en el pecho y la tos improductiva durante la noche o temprano en la mañana.[10] Estos síntomas se dan con distinta frecuencia e intensidad, intercalándose períodos asintomáticos donde la mayoría de los pacientes se sienten bien. Por el contrario, cuando los síntomas del asma se exacerban, se produce una crisis de asma. Puede ser una crisis respiratoria de corta duración, o prolongarse con ataques asmáticos diarios que pueden persistir por varias semanas. En una crisis grave, las vías respiratorias pueden cerrarse impidiendo que los pulmones realicen su función de intercambio gaseoso (recibir oxígeno y expulsar el dióxido de carbono) al punto que los órganos vitales tampoco puedan funcionar. En esos casos, la crisis asmática puede provocar la muerte.[11]
Existen múltiples alternativas terapéuticas para evitar los síntomas, controlarlos y aliviarlos, así como para la recuperación de crisis de asma, siendo su uso por medio de inhaladores lo más frecuente.[cita requerida]
Clasificación
_constriction-animated.gif)
- Asma producida por esfuerzo. Entre el 40 y el 80 % de la población asmática infantil presenta broncoconstricción durante el ejercicio, de breve duración.
- Asma nocturna. Es otra presentación, más frecuente en pacientes mal controlados, cuya mortalidad (70 %) llega al máximo en la madrugada.
- Asma ocupacional.
- Asma alérgica.
- Asma estacional.
- Asma inestable o caótica.
Basada en los patrones de obstrucción bronquial medida a través de aparatos de registro de tipo flujometría o espirometría:
- Asma intermitente: el síntoma aparece menos de una vez por semana con síntomas nocturnos menos de dos veces cada mes. Las exacerbaciones tienden a ser breves y entre una crisis y la siguiente el paciente está asintomático. En las pruebas de respiración pulmonar, la PEF o FEV1 son mayores del 80 %.
- Asma persistente: tiene tres variedades, la persistente leve con síntomas más de una vez por semana y PEF o FEV1 >80 %, la persistente moderada con síntomas diarios y PEF o FEV1 entre 50 y 80 % y la persistente grave con síntomas continuos.
Como fundamento en los niveles de control del paciente ya diagnosticado con asma:
- Controlado: sin síntomas diarios o nocturnos, no necesita medicamentos de rescate, sin exacerbaciones y un PEF normal.
- Parcialmente controlado: síntomas diurnos o más de dos veces por semana, algún síntoma nocturno, a menudo amerita uso de medicamentos de rescate más de dos veces por semana, con una o más crisis por año.
- No controlado: tres o más características del asma, con exacerbaciones semanales.
Epidemiología
El asma es una enfermedad frecuente que varía mucho de un país a otro. Afecta alrededor del 3 al 7 % de la población adulta, siendo más frecuente en edades infantiles. Es una de las más importantes enfermedades crónicas, es decir, de duración prolongada, en niños.[10] Es más frecuente en el sexo masculino en una relación de 2:1, pero al llegar a la pubertad, esta relación tiende a igualarse.[12] En los últimos veinte años se ha registrado un aumento en su incidencia debido en parte a la contaminación ambiental y las consecuencias de esta, y en parte al aumento de la población mundial. Por ejemplo, la Organización Mundial de la Salud reportó que un 8 % de la población suiza padecía de asma, comparado con solo 2 % hace 25-30 años.[13]
La enfermedad tiene un fuerte componente hereditario, expresado como un antecedente familiar de rinitis, urticaria y eccema, por ejemplo. Sin embargo, muchos asmáticos no tienen antecedentes familiares que indiquen una asociación atópica. Hasta el momento no se ha demostrado ninguna de las hipótesis infecciosas propuestas como origen del cuadro.
Los niveles más elevados de asma mundial, de acuerdo con el Global Initiative for Asthma (GINA) en febrero de 2004[14] ocurrieron en aproximadamente 30 % de los niños en el Reino Unido, Nueva Zelanda y Australia o 20 % de los niños en el Perú, Nueva Zelanda y Australia (varía dependiendo del método de investigación usado para los cálculos) y aproximadamente 25 % de los adultos en Gran Bretaña, Australia y Canadá.
Hay un mayor porcentaje de fumadores y de enfermedades concomitantes alérgicas tales como rinitis, conjuntivitis y dermatitis entre los pacientes diagnosticados de asma alérgica que en otros pacientes.[15]
Causas
El asma bronquial es común en personas jóvenes con una historia clínica de catarros recurrentes, o con antecedentes familiares asmáticos. Las crisis de asma se relacionan con el consumo de ciertos alimentos o la presencia de determinados agentes alérgenos.
Las causas que provocan el asma bronquial y motivan la respuesta de los mecanismos principalmente inmunológicos se clasifican en:
- Extrínsecas: Iniciada en la infancia con antecedentes familiares positivos para alergias y se asocia con una hipersensibilidad tipo 1 y otras manifestaciones alérgicas (IgE), inducidas por agentes alérgenos como el polen, lana, polvo, etc., o contaminación atmosférica, materias irritantes, variaciones meteorológicas, aspergilosis y otros. En aproximadamente 50 % de los niños con asma y un porcentaje menor de adultos, la exposición a alérgenos es responsable parcial o sustancialmente de la inflamación asmática por medio de reacciones de hipersensibilidad.[16] Las crisis son súbitas, autolimitadas y breves en duración. Cursan con buen pronóstico, responden a la inmunoterapia y a esteroides a largo plazo por vía inhalada con absorción sistémica minúscula, de modo que los efectos sobre el resto del cuerpo son virtualmente inexistentes.
- Intrínsecas o idiopática: Por lo general comienza en mayores de 35 años y sin antecedentes personales ni familiares. Se inicia por estímulos no inmunológicos, sin elevar IgE, representados por microbios, hongos, tos, trastornos psíquicos, estrés, etc.[17]
- Mixtas: Combinación con frecuencia de naturaleza bacteriana de factores intrínsecos y extrínsecos.
Ambientales
Existen varios factores de riesgo ambientales que están asociados al asma:
- Aire de pobre calidad, producido por contaminación automovilística o niveles elevados de ozono, tiende a estar repetidamente asociado a un aumento en la morbilidad asmática y se ha sugerido una asociación con la aparición por primera vez de asma en un individuo.[18][19]
- Humo de cigarrillo ambiental, en especial por fumadoras maternas, se asocia a un mayor riesgo de prevalencia y morbilidad asmática incluyendo infecciones respiratorias.[18]
- Infecciones virales a una edad temprana, junto con exposición a otros niños en guarderías puede resultar protector en contra del asma, aunque los resultados son controvertidos y puede que esta protección aparezca en el contexto de una predisposición genética.[18][20][21][22]
- El uso de antibióticos temprano en la vida puede causar la aparición de asma al modificar la flora microbiana normal de un individuo, predisponiéndolo a una modificación del sistema inmune.[23]
- La enfermedad celíaca y la sensibilidad al gluten no celíaca sin reconocer ni tratar, pues cursan habitualmente sin síntomas digestivos o estos son leves, se asocian con frecuencia a procesos recurrentes de vías respiratorias altas de naturaleza inmuno-alérgica, tales como el asma, la rinitis y las faringoamigdalitis, entre otros.[24][25] Aproximadamente un 20 % de las personas con sensibilidad al gluten no celíaca sin tratamiento presentan, asociadas a la intolerancia al gluten, alergias IgE mediadas a uno o más inhalantes, alimentos o metales, entre los cuales los más comunes son los ácaros del polvo, las gramíneas, el pelo de perros o gatos, el pescado o el níquel.[25]
- Las cesáreas tienden a asociarse con el asma con más frecuencia que el parto vaginal, aparentemente por razones similares a los antibióticos, es decir, una modificación del componente microbiano e inmunitario del individuo nacido por una cesárea.[26]
- Infecciones virales. Varias infecciones virales como HSV, VSV, CSV, han sido correlacionadas con diversos tipos de asma[23]
- Estrés psicológico.[18][17]
Aumento de la permeabilidad intestinal

Además de por inhalación, el asma puede ser causada por reacciones a alimentos o sustancias que penetran a través del intestino. Por esta razón, el aumento de la permeabilidad intestinal parece desempeñar un papel clave. Se ha demostrado que aproximadamente el 40 % de las personas asmáticas tienen una mayor permeabilidad intestinal.[8]
El intestino posee en su interior una capa de células que forman una barrera. Su misión es, además de digerir nutrientes, actuar defendiendo al organismo del enemigo exterior del ambiente (sustancias que ingerimos y microorganismos presentes en el intestino). Esto lo logra manteniendo cerradas las uniones estrechas intercelulares (los "poros" del intestino), para impedir el acceso descontrolado de sustancias, toxinas, químicos, microorganismos y macromoléculas, que de lo contrario podrían pasar al torrente sanguíneo. Cuando dichas uniones estrechas intercelulares no funcionan bien y en lugar de estar cerradas o prácticamente cerradas, como deberían estar, están abiertas sin control, se produce un aumento de la permeabilidad intestinal ("poros" demasiado abiertos). Esta apertura provoca que entren sustancias en el cuerpo y que, dependiendo de la predisposición genética de la persona, puedan desarrollarse enfermedades autoinmunes, inflamatorias, infecciones, alergias, asma o cánceres, tanto intestinales como en otros órganos.[8]
Los dos factores más potentes que provocan aumento de la permeabilidad intestinal son ciertas bacterias intestinales y la gliadina[8] (principal fracción tóxica del gluten), independientemente de la predisposición genética, es decir, tanto en celíacos como en no celíacos.[27][28] Otras posibles causas son la prematuridad y la exposición a radiación, quimioterapia o ciertas toxinas.[8]
Genética
Se ha asociado a más de 100 genes con el asma, por lo menos en un estudio genético.[29] Aunque en el estudio aún se necesita añadir un componente de replicación genética, para el 2005, unos 25 genes se habían asociado con el asma en seis o más poblaciones diferentes, entre ellos GSTM1, IL-10, IL-4, IL-13, CTLA-4, CD14, TNF y el receptor β-2 adrenérgico (ADRB2).
Muchos de estos genes se relacionan con el sistema inmunitario o modulan los procesos de la inflamación. Sin embargo, a pesar de esta lista de genes y su posible asociación con el asma, los resultados no son del todo consistentes entre las diferentes poblaciones,[29] es decir, estos genes no se asocian al asma bajo todas las condiciones, sino que la causa genética del asma es una interacción compleja de diversos factores adicionales.
Patogenia

La patogenia del asma es compleja, pero incluye tres componentes fundamentales:[30]
- Inflamación de la vía aérea.
- Obstrucción intermitente al flujo aéreo.
- Hiperreactividad bronquial.
Inflamación de la vía aérea
Aunque se conoce que el asma es una condición causada por una inflamación (del latín, inflammatio, encender, hacer fuego) aguda, subaguda o crónica de las vías aéreas, la presencia de edema o secreciones contribuye tanto con la obstrucción como con la hiperreactividad. Muchas células inflamatorias están implicadas en esta inflamación: mastocitos, eosinófilos, células epiteliales, macrófagos y linfocitos T activados. La activación de estas células y la subsecuente producción de mediadores inflamatorios puede que sean de mayor relevancia que la sola presencia de estas células en las vías aéreas.[31]
Este proceso de inflamación crónica puede que conduzca a cambios estructurales, tales como la fibrosis, el engrosamiento o hipertrofia del músculo liso bronquial, hipertrofia de las glándulas y la angiogénesis lo que puede dar lugar a una obstrucción irreversible de la vía aérea.
Inmunidad celular
Estudios iniciales en pacientes que fallecían de status asmaticus reveló una marcada inflamación del árbol bronquial con estudios histológicos de las vías afectadas confirman la presencia de células inflamatorias de larga data.
El uso del lavado bronquioalveolar ha demostrado que los mastocitos juegan un importante papel como mediadores de la respuesta inmediata al alérgeno, la inflamación de las vías aéreas y la hiperreactividad inducida por el esfuerzo y el relacionado con alimentos.[31] Otras células responsables de la inflamación crónica que provocan la hiperreactividad bronquial son los macrófagos, los eosinófilos y linfocitos T, todos ellos aparecen activados en el asma, incluso en pacientes asintomáticos.[31] Una línea de linfocitos T, las células TH2, están programadas para producir ciertas citoquinas que conducen a la característica inflamación eosinofílica.[32] Esta programación comprende a células presentadoras de antígeno, tales como las células dendríticas en el epitelio de las vías aéreas. Otros mediadores de la inflamación producen reacciones tales como congestión vascular, edema, aumento de la producción de moco, etc.
Sobre el epitelio bronquial se demuestra una expresión aumentada del complejo mayor de histocompatibilidad tipo II y otras células infiltrantes como los monocitos. La severidad clínica del asma tiene una cercana correlación con la severidad de la respuesta inflamatoria, lo que sugiere una complicada interacción entre estas células y los mediadores que generan, como la IL-3, IL-5 y el GM-CSF. Por ejemplo, los macrófagos alveolares de pacientes asmáticos producen dos veces más GM-CSF que en sujetos no asmáticos. La IL-4 y el Interferón gamma son elementales en la biosíntesis de IgE.[32]
Obstrucción intermitente al flujo aéreo
La obstrucción al flujo aéreo se produce por varios factores: broncoconstricción aguda, edema de la vía aérea, formación de tapones mucosos crónicos y remodelamiento de la vía aérea. La broncoconstricción se produce por la liberación de mediadores dependientes de la inmunoglobulina E al exponerse a un alergeno aéreo y es el primer componente de la respuesta asmática temprana. El edema se produce entre 6 a 24 horas después del contacto con el alergeno, y su aparición se corresponde con la respuesta asmática tardía. La formación de tapones mucosos ocurre por la acumulación de exudado rico en proteínas y residuos celulares, y toma semanas en desarrollarse. La remodelación de la vía aérea se asocia con cambios estructurales del árbol bronquial debido a la inflamación mantenida en el tiempo y afecta en forma muy importante la reversibilidad de la obstrucción.[30]
Anatomía patológica
Los cambios morfológicos vistos en el asma han sido descritos principalmente a partir de muestras de pacientes fallecidos por status asmaticus, es decir, un síndrome agudo de asma, sin embargo, parece que la histopatología en casos no mortales es muy similar.[5] Macroscópicamente, los pulmones se ven distendidos debido a una sobreinflación y pueden aparecer zonas con atelectasia. El hallazgo más notorio es la oclusión de los bronquios y bronquiolos por gruesos tapones de moco.
Bajo el microscopio, los tapones mucosos contienen espirales de células epiteliales formando los llamados espirales de Curschmann, que pueden habitualmente ser observados en el esputo de pacientes asmáticos.[33] Además, el moco contiene cristales de Charcot-Leyden y eosinófilos. Otra característica histológica del asma incluye un engrosamiento de la membrana basal del epitelio bronquial, edema y un infiltrado sobre las paredes bronquiales con prominencia de eosinófilos e hipertrofia del músculo de la pared bronquial así como de las glándulas submucosas, reflejando una broncoconstricción prolongada.[5]
En el lavado bronquial de pacientes asmáticos, se observan un número incrementado de células inflamatorias, incluyendo eosinófilos, macrófagos y linfocitos en comparación con pacientes no asmáticos, aún en pacientes asmáticos con funciones pulmonares normales y asintomáticos —incluyendo pacientes con asma alérgica como con asma no alérgica—.[16]
Cuadro clínico
Factores desencadenantes
- Infección respiratoria
- Irritantes de las vías respiratorias (humo de tabaco, anestésicos inhalados)
- Alérgenos
- Ejercicio
- estrés emocional
- Aire seco/frío
- Enfermedad crónica por reflujo gastroesofágico
- Medicamentos (aspirina, betabloqueantes)
- Manipulación/estimulación de las vías respiratorias.
Los síntomas más característicos del asma bronquial son la disnea o dificultad respiratoria de intensidad y duración variable y con la presencia de espasmos bronquiales, habitualmente acompañados de tos, secreciones mucosas y respiración sibilante. También se caracteriza por la rigidez torácica en el paciente y su respiración sibilante. En algunos pacientes estos síntomas persisten a un nivel bajo, mientras que en otros, los síntomas pueden ser severos y durar varios días o semanas. Bajo condiciones más graves, las funciones ventilatorias pulmonares pueden verse alteradas y causar cianosis e incluso la muerte.[2]
Evolución
La evolución de la reacción asmática constituye un proceso cuyas principales fases son:
- Fase temprana. Tiene lugar como reacción de los mecanismos inmunológicos o no inmunológicos frente a agentes alergenos, microbianos, etc. y se caracteriza por constricción de la luz (abertura en el conducto) de los bronquiolos.
- Fase tardía. Sobreviene al persistir el estado de crisis y constituye una acentuación de la misma caracterizada por edema e hiperreactividad bronquial, es decir, una fácil predisposición a la broncoconstricción.
- Fase crónica. Tiene lugar cuando el estado anterior no disminuye después del tratamiento habitual y, con frecuencia, la tos, acentúa la irritación bronquial. Ello conlleva a daño del revestimiento epitelial del bronquio, persistencia de la hiperreactividad bronquial y de moco bloqueante de las vías aéreas.
Cuando el asma o sus síntomas, como la tos, no mejoran, es posible que se deba a:[34]
- Algún desencadenante en el entorno del paciente, como en la casa, colegio o trabajo: polvo, animales, cucarachas, moho y el polen, aire frío, humo de tabaco, entre otros.
- Algún desencadenante ocupacional, en el cual es característico que el paciente mejore durante los fines de semana o cuando esté en vacaciones.
- El paciente no está tomando algún medicamento, incluyendo el inhalador, de la manera correcta. En algunos casos será necesario cambiar de medicamento por alguno más efectivo para el control a largo plazo.
- Puede que el asma sea más grave de lo que se piensa, por lo que los casos de asma recurrentes deben ser consultados con especialistas en asma.
- Es posible que no sea asma, sino otra enfermedad la que afecte al paciente.
Diagnóstico
El diagnóstico del asma comienza con una evaluación del cuadro clínico, la historia familiar y antecedentes de riesgo o crisis anteriores tomando en consideración el tiempo de evolución del cuadro y las crisis. La mayoría de los casos de asma están asociados a condiciones alérgicas, de modo que diagnosticar trastornos como rinitis y eczema conllevan a una sospecha de asma en pacientes con la sintomatología correcta: tos, asfixia y presión en el pecho.[35] El examen físico por lo general revela las sibilancias que caracterizan al asma. Es importante evaluar si el paciente ya recibió algún tratamiento antes de la consulta médica, así como los eventos desencadenantes de la crisis.
El examen físico es vital, a veces no da tiempo examinar con detalle, sin embargo, se perciben las características sibilancias a la auscultación. En algunos casos severos, la broncoobstrucción es tal que se presenta un silencio auscultatorio, sin embargo, el resto de la clínica es tan florida por la incapacidad respiratoria que el diagnóstico no amerita la percepción de sibilancias para el tratamiento de estas crisis grave de asma. Esa angustia y sed de aire puede indicar una crisis grave que amerita tratamiento de rescate inmediato para revertir el broncoespasmo antes de continuar con el examen físico detallado. La inspección del tórax puede mostrar tiraje o retracción subcostal o intercostal. Las dimensiones del tórax en pacientes asmáticos crónicos varían en comparación con niños no asmáticos, característico el aplanamiento costal. La inspección puede revelar detalles al diagnóstico, como el descubrimiento de dermatitis alérgicas, conjuntivitis, etc.
Existen varios exámenes que ayudan al diagnóstico del asma, entre ellas pruebas de función pulmonar, fracción exhalada de óxido nítrico, pruebas de alergia, exámenes de sangre, radiografía de tórax y senos paranasales.
Función pulmonar
Los exámenes de la función pulmonar incluyen:
- Espirometría: mide la capacidad respiratoria y velocidad de espiración y es usada para determinar la cantidad de obstrucción pulmonar. La espirometría puede ser medida después del inicio del tratamiento para evaluar la efectividad de este.
- Pico flujo espiratorio: Es la velocidad de espiración máxima medida con un dispositivo especial para ello.[cita requerida] Puede ser importante en el diagnóstico y monitoreo del asma. Idealmente, los resultados deben ser comparados con las mejores mediciones previas del paciente usando su propio medidor de pico flujo.[36]

Medidores de pico flujo espiratorio. - Prueba de metacolina: usada mayormente en adultos, se hace inhalar metacolina, el cual causa que las vías respiratorias se vuelvan angostas en presencia de asma, haciendo caer los valores de función pulmonar. Los efectos de la metacolina se revierten con un broncodilatador al final de la prueba.
- Saturación de oxígeno y gasometría en casos más severos.
Radiografía
La radiografía de tórax permite identificar algunas características en los órganos torácicos que se relacionan con el asma bronquial, así como para confirmar o descartar otras enfermedades asociadas. De esta forma, el examen se indica cuando el paciente debuta; a todo niño asmático conocido que tenga síntomas súbitos para descartar la posibilidad de un cuerpo extraño, laringotraqueobronquitis, neumonía u otras patologías; cuando la respuesta al tratamiento sea mala; cuando se ausculten sonidos agregados además de las sibilancias y cuando el paciente tenga un cambio en el comportamiento de sus crisis de asma.[cita requerida]
Las imágenes de atrapamiento de aire tienden hacia los espacios intercostales lo que horizontaliza las costillas en la radiografía. Como hay edema, se puede apreciar un infiltrado rodeando los hilios pulmonares bilaterales que no es más que edema peribronquial con tal contenido mucoso que se visualiza en la radiografía como aumento de la trama bronquiovascular.[cita requerida]
Tratamiento
El tratamiento convencional del asma bronquial puede ser:[11]
- Sintomático: Tiene por objeto interrumpir la crisis mediante medicamentos de acción rápida, como la adrenalina, corticoides, oxigenoterapia, etc.
- Preventivo: Indica el uso regular de broncodilatadores, antihistamínicos, corticosteroides, terapia respiratoria, inmunoterapia específica, etc.
El tratamiento debe incluir la identificación de los elementos que inicien la crisis, tales como polenes, ácaros, polvo, humo de tabaco, pelos de mascotas o la aspirina y limitando o, de ser posible, eliminando la exposición a dichos factores. Si resulta insuficiente evitar los factores estimulantes, entonces se puede recurrir al tratamiento médico. La desensibilación (proceso gradual por el que se elimina la respuesta a un estímulo mediante la repetición del estímulo hasta que no se produce más respuesta) es, por el momento, la única cura disponible para esta enfermedad.[37] Otras formas de tratamiento incluyen el alivio farmacológico, los medicamentos de prevención, los agonistas de larga acción de los receptores β2, y el tratamiento de emergencia.
Tratamiento médico
El tratamiento farmacológico específico recomendado para pacientes con asma depende en la severidad de su enfermedad y la frecuencia en la aparición de los síntomas.[38] Los tratamientos específicos para el asma se clasifican grosso modo en medicinas preventivas y de emergencia. El reporte EPR-2 (por sus siglas en inglés Expert Panel Report 2), un protocolo para el diagnóstico y manejo del asma, así como el reporte de otras sociedades internacionales son usados y apoyados por muchos médicos. La kinesiología respiratoria KTR se indica como pilar central en el tratamiento.
Los broncodilatadores se recomiendan para el alivio a corto plazo en prácticamente todos los pacientes con asma. Para quienes tienen solo ataques ocasionales, no se necesita otro tipo de medicamento. Para quienes tienen una persistencia de los síntomas de manera moderada, es decir, más de dos crisis por semana, se sugieren glucocorticoides inhalados de baja concentración o, alternativamente, se puede administrar un modificador de leucotrienos oral, un estabilizador de la membrana de los mastocitos o la teofilina.[39][40][4] Para los individuos que presenten crisis diarias, se sugiere una dosis más elevada de glucocorticoide en conjunto con agonistas β-2 de larga acción inhalados o bien un modificador de los leucotrienos o la teofilina, pueden sustituir al agonista β-2. En los ataques asmáticos severos, se puede añadir glucocorticoides orales a estos tratamientos durante las crisis graves.
El descubrimiento en el año 2006 de que el asma puede ser causado por la sobreproliferación de un tipo especial de linfocito NK puede conllevar últimamente al desarrollo de un mejor y más específico grupo de medicamentos. Los linfocitos T del grupo NK parece ser resistente a los corticosteroides, una de las principales líneas de tratamiento actual.[41][42] Otras prometedoras opciones en estadios de investigación incluyen el uso de estatinas, que son medicamentos que disminuyen el nivel de colesterol en el plasma sanguíneo y el uso de suplementos con aceite de pescado, para reducir la inflamación en las vías respiratorias.[43]
Se ha identificado que el tratamiento de corticosteroides tiene una mejor eficacia que el tratamiento con fármacos antagonistas del receptor de leucotrieno.[44]
Nebulizadores
Los nebulizadores proveen una dosis más continua y duradera al vaporizar la medicina diluida en solución salina, el cual el paciente inhala hasta que se administra la dosis completa. No hay evidencias de que sean más efectivas que un spacer. El alivio de crisis asmáticas incluye medicamentos:
- Agonistas de los receptores adrenérgicos β2 de corta duración, tales como el salbutamol, levalbuterol, terbutalina y bitolterol. Los efectos secundarios, que incluía la aparición de temblores, se han reducido grandemente con los tratamientos inhalados, que permite que el medicamento haga blanco específicamente en los pulmones. Los medicamentos que son administrados por vía oral o inyectados tienden a ser distribuidos por el resto del cuerpo, aumentando la posibilidad de la aparición de los efectos adversos, incluyendo efectos cardíacos por actividad agonista de los receptores β1 que causan hipertensión arterial y trastornos del ritmo cardíaco. Con la salida al mercado de fármacos más selectivos, estos efectos secundarios se han vuelto menos frecuentes. Los agonistas de los receptores adrenérgicos β2 suelen producir desensitación en el paciente, por lo que su eficacia puede disminuir con su uso crónico, resultando en la aparición de asma refractaria y muerte súbita.
- Los agonistas adrenérgicos menos selectivos como la adrenalina inhalada y las tabletas de efedrina también han sido usados. Estos medicamentos tienen efectos adversos cardíacos a frecuencias similares o menores que el albuterol.[45][46] Al ser usados como medicina de alivio sintomático y no de uso prolongado, la adrenalina inhalada ha demostrado ser un agente efectivo en la culminación de una crisis asmática.[45] En situaciones de emergencia, estas drogas se pueden administrar de manera inyectada, aunque dicha práctica ha disminuido por razón de los efectos secundarios.
- Medicamentos anticolinérgicos, tales como el bromuro de ipratropio pueden ser usados y no tienen los efectos cardíacos, de modo que pueden ser administrados en pacientes con cardiopatías, sin embargo, toman aproximadamente una hora para surtir efecto y no son tan poderosos como los agonistas de los receptores adrenérgicos β2.
- Los glucocorticoides inhalados por lo general son considerados medicamentos preventivos, sin embargo, se ha demostrado el beneficio de 250 µg de beclometasona cuando se toma en una combinación con 100 µg de albuterol.[47]
Agonistas de acción prolongada
Los broncodilatadores de acción prolongada tienen una estructura molecular muy similar a los agonistas β2 de corta duración, pero tienen cadenas laterales más largas lo que resulta en un efecto de 12 horas de duración, de modo que son usados para el alivio sintomático durante la noche. A pesar de que los individuos que usan estos medicamentos reportan una mejora en el control de los síntomas, no son medicamentos que sustituyen el requerimiento de preventivos rutinarios, además que por tardar en surtir efecto se puede hacer necesario el uso de dilatadores de acción corta. En 2005, la Administración de Drogas y Alimentos estadounidense escribió un reporte alertando al público que se ha notado que el uso de agonistas β2 de acción prolongada puede producir un empeoramiento de los síntomas asmáticos y algunos casos de muerte súbita.[48]
Algunos de los agonistas β2 de larga duración disponibles en el mercado incluyen el salmeterol, formoterol, babmuterol y una preparación oral de albuterol. Las combinaciones de estos agonistas β2 de acción prolongada junto con esteroides inhalados se han vuelto más comunes, la más frecuente de ellas es la combinación de salmeterol y fluticasona.
Vacunas
La inmunoterapia con alérgenos específica (vacunas) ha demostrado su utilidad en el manejo del asma bronquial en atención primaria de salud (APS) al ser el único tratamiento capaz de cambiar el curso natural de la enfermedad. Su mayor efectividad es en las formas intermitentes y persistentes leves y moderadas.
La inmunoterapia sublingual ha demostrado ser un tratamiento efectivo en niños con rinitis y asma causadas por sensibilización a alérgenos estacionales (como la alergia al polen) y actualmente su uso en varios países europeos supera al de la inmunoterapia subcutánea clásica. En el caso de las sensibilizaciones provocadas por alérgenos perennes (que se manifiestan durante todo el año, tales como la alergia a los ácaros del polvo, pelo de animales, etc.), las evidencias no son concluyentes y son precisos más estudios para demostrar la eficacia de la inmunoterapia sublingual.[49]
La inmunoterapia con alérgenos, administrada tanto por vía subcutánea como por vía sublingual, está absolutamente contraindicada en niños menores de dos años, personas con asma incontrolada o mal controlada, pacientes con enfermedades autoinmunes activas y enfermos de sida.[50] Asimismo, está absolutamente contraindicado su inicio durante el embarazo, pero podría continuarse un tratamiento preexistente bien tolerado, con precaución y bajo supervisión médica.[50] En niños con edades comprendidas entre los dos y los cinco años, la inmunoterapia con alérgenos solo está indicada en casos concretos.[50]
Farmacéutica
El control de los síntomas durante las crisis de asma incluye la reducción de las sibilancias y la dificultad respiratoria, lo cual, por lo general ocurre eficazmente con el uso de broncodilatadores de acción rápida. Se acostumbra proveer estos medicamentos en la forma de inhaladores portátiles de dosis medida. En pacientes más jóvenes, para quienes les resulte difícil la coordinación de los inhaladores, o quienes encuentren difícil sostener su respiración por los 10 segundos después de la inhalación, como las personas ancianas, se puede recomendar el uso de un spacer, que es un cilindro plástico que mezcla el medicamento con el aire en un solo tubo, haciendo que sea más fácil para el paciente recibir una dosis completa de la medicina y permite que el agente activo se disperse en porciones más reducidas e inhalables.
Estadio I
Estos son casos relativamente leves e intermitentes, con síntomas o crisis ocurriendo menos de 1 vez por semana o con síntomas nocturnos unas 2 veces por mes, una presión parcial de CO2 de 35 a 45 mmHg, una presión parcial de O2 de 80 mmHg y una FEV de 800 ml y con un pico de flujo >50 % del valor estipulado. Son casos que, durante una crisis, se recomienda nebulizar con 3-5 ml de solución fisiológica con uno de los siguientes broncodilatadores, con una frecuencia de cada 4 a 6 horas:
- Bromuro de ipratropio más fenoterol.
- Salbutamol o terbutalina.
- Clembuterol o metaproterenol.
Si no mejora se puede administrar terbutalina subcutánea cada hora por 2 dosis o en infusión intravenosa.
Estadio II
Estos son casos relativamente leves, pero persistentes, con síntomas o crisis ocurriendo más de 1 vez por semana, pero menos que 1 vez por día o con síntomas nocturnos más de 2 veces por mes, una presión parcial de CO2 de 35 mmHg, una presión parcial de O2 entre 60 y 80 mmHg y una FEV entre 300-800 ml y con un pico de flujo <50 % del valor estipulado. Son casos que, durante una crisis, se recomienda nebulizar igual que el estadio I y si no mejora se utiliza:
- Aminofilina diluida en solución fisiológica por vía intravenosa cada 4 a 6 horas o por infusión continua, a juicio del profesional de salud tratante.
- Los casos de intoxicación por aminofilina son frecuentes en pacientes que reciben teofilina oral extrahospitalaria, en pacientes con EPOC, cardiopatías, ancianos y pacientes con enfermedad del hígado crónico. Se puede utilizar 3 o 4 dosis de adrenalina.
Estadio III
Estos son casos moderados que requieren el uso de beta-miméticos a diario o con alteración de su actividad física a diario y síntomas nocturnos más de 1 vez por semana, una presión parcial de CO2 de 40-45 mmHg, una presión parcial de O2 menor de 60 mmHg y con un pico de flujo <30 % del valor estipulado. Son casos que, durante una crisis, se recomienda nebulización y aminofilina igual que el estadio II y si no mejora se utiliza:
- Esteroides parenterales, como la hidrocortisona o metilprednisolona.
- Esteroides inhalados como el beclometasone dipropionate o budesonida.
- Esteroides por vía oral, como la prednisona.
Estadio IV
Estos son pacientes en franca insuficiencia respiratoria, cianosis, tórax silencioso a la auscultación y un esfuerzo inspiratorio débil. El tratamiento suele ser similar al estadio III con intubación endotraqueal y ventilación mecánica.
Investigación
Un reciente estudio publicado en la revista Science señala, como posible diana terapéutica em el asma, evitar la extrusión de células epiteliales bronquiales para disminuir la inflamación de las vías aéreas.[51]
Pronóstico
En la mayoría de los casos de asma, la enfermedad produce intervalos de dificultad respiratoria y asfixia, lo cual puede ser desalentador o incluso discapacitante para el paciente y no mortal. Con el tratamiento adecuado y la observancia de las recomendaciones terapéuticas, los pacientes con asma pueden mantener una vida productiva. Ocasionalmente, la enfermedad desaparece espontáneamente. En sus formas más graves, la hiperinflación pulmonar puede progresar en el tiempo hasta finalmente causar enfisema. Las infecciones bacterianas superimpuestas al asma pueden conllevar a bronquitis crónica, bronquiectasis o neumonía. En algunos casos menos frecuentes, especialmente en pacientes adultos, el asma no controlada puede producir cor pulmonale e insuficiencia cardíaca.[52]
Consejos terapéuticos
Actuar sobre la causa del asma si es de origen alérgico, llevando a cabo el desalojo (separación) del alérgeno, ya sea por intentar una desensibilización a este. Los resultados son buenos con ácaros, pólenes y menos efectivos con animales. Con el fin de prevenir las convulsiones, los asmáticos pueden utilizar dispositivos (pico-flujo) para medir su pico espiratorio velocidad de flujo, control de la obstrucción bronquial y por lo tanto adaptar su tratamiento con el resultado obtenido (broncodilatador decisión de acción por ejemplo, ayuno o modificación del tratamiento de fondo en colaboración con el médico). Por lo tanto, es muy importante desarrollar una educación terapéutica del paciente.
Según varios ensayos clínicos, un aumento en el consumo de frutas, verduras y cereales ayuda a detener la progresión del asma. En el caso de cambiar a una dieta vegetariana, el 71 % de los sujetos informó de una reducción significativa en los síntomas después de 4 meses y 92 % después de un año. Los suplementos de antioxidantes (vitamina A, C, E), vitamina B8 o ácidos grasos poliinsaturados (omega 3 y 6), sin embargo, no tienen un efecto comprobado.
Que no se debe hacer en el manejo terapéutico del asma.[53]
Véase también
- Alergia
- Atopía
- Disnea
- Sistema inmunitario
- Bronquitis
- Respiración
- Nebulizador
- Tos ferina
- Tos convulsa
Referencias
- ↑ https://erj.ersjournals.com/content/29/1/179
- ↑ a b Fitzgerald, J Mark (mayo de 2015). Global Strategy for Asthma Management and Prevention. Archivado desde el original el 17 de noviembre de 2015. Consultado el 29 de julio de 2015.
- ↑ «2021 GINA Main Report». Global Initiative for Asthma - GINA (en inglés estadounidense). Consultado el 10 de julio de 2021.
- ↑ a b «Overview | Asthma: diagnosis, monitoring and chronic asthma management | Guidance | NICE». www.nice.org.uk. Consultado el 8 de noviembre de 2021.
- ↑ a b c d Morris, Michael J (mayo de 2015). Asthma. Consultado el 30 de julio de 2015.
- ↑ Baxi SN, Phipatanakul W (2010). «The role of allergen exposure and avoidance in asthma». Adolesc Med State Art Rev (Revisión) 21 (1): 57-71, viii-ix. PMC 2975603. PMID 20568555.
- ↑ Gold DR, Wright R (2005). «Population disparities in asthma». Annu Rev Public Health (Revisión) 26: 89-113. PMID 15760282. doi:10.1146/annurev.publhealth.26.021304.144528.
- ↑ a b c d e f g Fasano, A (2011 Jan). «Zonulin and its regulation of intestinal barrier function: the biological door to inflammation, autoimmunity, and cancer». Physiol Rev 91 (1): 151-75. PMID 21248165. doi:10.1152/physrev.00003.2008. Archivado desde el original el 26 de agosto de 2015.
- ↑ Chen E, Miller GE (2007). «Stress and inflammation in exacerbations of asthma». Brain Behav Immun (Revisión) 21 (8): 993-9. PMC 2077080. PMID 17493786. doi:10.1016/j.bbi.2007.03.009.
- ↑ a b Centros para el Control y la Prevención de Enfermedades de los Estados Unidos. Datos Básicos sobre el Asma (en español). Último acceso 3 de diciembre de 2008.
- ↑ a b por MedlinePlus (agosto de 2008). «Asma». Enciclopedia médica en español. Consultado el 3 de diciembre de 2008.
- ↑ Harrison Principios de Medicina Interna 16a edición (2006). «Capítulo 236. Asma». Harrison online en español. McGraw-Hill. Archivado desde el original el 5 de diciembre de 2008. Consultado el 18 de junio de 2008.
- ↑ World Health Organization. «Bronchial asthma: scope of the problem». Consultado el 23 de agosto de 2005.
- ↑ Masoli, Matthew; Denise Fabian, Shaun Holt, Richard Beasley (2004). «Global Burden of Asthma(TM)» (PDF). Archivado desde el original el 31 de enero de 2009. Consultado el 8 de agosto de 2008.
- ↑ BORDERIAS, Luis, GARCIA-ORTEGA, Pilar, BADIA, Xavier et al. Diagnóstico de asma alérgica en consultas de alergología y neumología. Gac Sanit. [online]. 2006, vol. 20, no. 6 [citado 3 de diciembre de 2008], pp. 435-441. En [1]. ISSN 0213-9111.
- ↑ a b Goodman and Gilman´s (1996). «Chapter 28: Drugs used in the treatment of asthma». The farmacological basis of therapeutics. (9 edición). Nueva York: Pergamon Press. pp. 659-679. ISBN 0-07-026266-7.
- ↑ a b Belloch, Amparo (15 de mayo de 2019). «Problemas psicológicos y asma». Revista de asma 3 (3). ISSN 2604-5524. Consultado el 6 de diciembre de 2023.
- ↑ a b c d Gold DR,Wright R (2005). «Population disparities in asthma». Annu Rev Public Health 26: 89-113. PMID 15760282. doi:10.1146/annurev.publhealth.26.021304.144528.
- ↑ «California Children's Health Study».
- ↑ Harju TH, Leinonen M, Nokso-Koivisto J, et al (2006). «Pathogenic bacteria and viruses in induced sputum or pharyngeal secretions of adults with stable asthma». Thorax 61 (7): 579-84. PMID 16517571. doi:10.1136/thx.2005.056291.
- ↑ Richeldi L, Ferrara G, Fabbri LM, Lasserson TJ, Gibson PG (2005). «Macrolides for chronic asthma». Cochrane Database Syst Rev (4): CD002997. PMID 16235309. doi:10.1002/14651858.CD002997.pub3.
- ↑ «Search | Cochrane Library». www.cochranelibrary.com (en inglés estadounidense). Consultado el 10 de julio de 2021.
- ↑ a b Marra F, Lynd L, Coombes M "et al." (2006). «Does antibiotic exposure during infancy lead to development of asthma?: a systematic review and metaanalysis». Chest 129 (3): 610-8. PMID 16537858. doi:10.1378/chest.129.3.610.
- ↑ Rodrigo, L (2010). «Enfermedad celiaca». IT Sistema Nacional Salud 34 (2): 52. Archivado desde el original el 13 de mayo de 2015. Consultado el 3 de junio de 2016.
- ↑ a b Volta U, Caio G, De Giorgio R, Henriksen C, Skodje G, Lundin KE (Jun 2015). «Non-celiac gluten sensitivity: a work-in-progress entity in the spectrum of wheat-related disorders». Best Pract Res Clin Gastroenterol (Revisión) 29 (3): 477-91. PMID 26060112. doi:10.1016/j.bpg.2015.04.006.
- ↑ Thavagnanam S, Fleming J, Bromley A, Shields MD, Cardwell CR (abril de 2008). «A meta-analysis of the association between Caesarean section and childhood asthma». Clin Exp Allergy (Revisión) 38 (4): 629-33. PMID 18352976. doi:10.1111/j.1365-2222.2007.02780.x.
- ↑ a b Hollon, J; Puppa, EL; Greenwald, B; Goldberg, E; Guerrerio, A; Fasano, A (2015 Feb 27). «Effect of gliadin on permeability of intestinal biopsy explants from celiac disease patients and patients with non-celiac gluten sensitivity». Nutrients 7 (3): 1565-76. PMID 25734566. doi:10.3390/nu7031565.
- ↑ a b Fasano, A (2012 Oct). «Intestinal permeability and its regulation by zonulin: diagnostic and therapeutic implications». Clin Gastroenterol Hepatol 10 (10): 1096-100. PMC 3458511. PMID 22902773. doi:10.1016/j.cgh.2012.08.012.
- ↑ a b Ober C,Hoffjan S (2006). «Asthma genetics 2006: the long and winding road to gene discovery». Genes Immun 7 (2): 95-100. PMID 16395390. doi:10.1038/sj.gene.6364284.
- ↑ a b Morris, Michael J (mayo de 2015). Asthma. Consultado el 30 de julio de 2015.
- ↑ a b c Djukanović R, Roche WR, Wilson JW, Beasley CR, Twentyman OP, Howarth RH, Holgate ST. Mucosal inflammation in asthma (en inglés). Am Rev Respir Dis. 1990 Aug;142(2):434-57. Último acceso 11 de diciembre de 2008.
- ↑ a b Arm JP, Lee TH. The pathobiology of bronchial asthma (en inglés). Adv Immunol. 1992;51:323-82. Último acceso 11 de diciembre de 2008.
- ↑ José Ángel Muniesa, José Miguel Lázaro Maisanava. ESPIRALES DE CURSCHMANN EN ORINA Y LÍQUIDO SINOVIAL (en español). Último acceso 1 de diciembre de 2008.
- ↑ Academia estadounidense de Médicos de Familia (mayo de 2007). Asma: preguntas que debe hacer cuando el asma no mejora (en español). Último acceso 3 de diciembre de 2008.
- ↑ The Cleveland Clinic. Diagnosticando el Asma (en español). Último acceso 3 de diciembre de 2008.
- ↑ GINA At-A-Glance. 2012. Archivado desde el original el 4 de marzo de 2016. Consultado el 6 de septiembre de 2013.
- ↑ Abramson MJ, Puy RM, Weiner JM (1995). «Is allergen immunotherapy effective in asthma? A meta-analysis of randomized controlled trials». Am. J. Respir. Crit. Care Med. 151 (4): 969-74. PMID 7697274.
- ↑ Calhoun, William J.; Ameredes, Bill T.; King, Tonya S.; Icitovic, Nikolina; Bleecker, Eugene R.; Castro, Mario; Cherniack, Reuben M.; Chinchilli, Vernon M. et al. (12 de septiembre de 2012). «Comparison of Physician-, Biomarker-, and Symptom-Based Strategies for Adjustment of Inhaled Corticosteroid Therapy in Adults With Asthma: The BASALT Randomized Controlled Trial». JAMA 308 (10): 987-997. ISSN 0098-7484. doi:10.1001/2012.jama.10893. Consultado el 8 de noviembre de 2021.
- ↑ British Thoracic Society & Scottish Intercollegiate Guidelines Network (SIGN). British Guideline on the Management of Asthma. Guideline No. 63. Edinburgh:SIGN; 2004. (HTML Archivado el 18 de junio de 2006 en Wayback Machine., Full PDF Archivado el 24 de julio de 2006 en Wayback Machine., Summary PDF Archivado el 24 de julio de 2006 en Wayback Machine.)
- ↑ «Revisión 2019. Guía SIGN».
- ↑ Cromie, William J. (16 de marzo de 2006). «Researchers uncover cause of asthma». Harvard University Gazette (Harvard News Office). Archivado desde el original el 5 de abril de 2006. Consultado el 23 de septiembre de 2006.
- ↑ Gorska, Magdalena M. (Febrero de 2017). «NK cells in asthma». Current Opinion in Allergy and Clinical Immunology, Vol. 17, Nro. 1 (en inglés). Wolters Kluwer. Consultado el 4 de diciembre de 2019.
- ↑ K Baillie, "Asthma Trials", ClinicLog.com, visto 5 de julio de 2008.
- ↑ Wu Chen, Ann (7 de mayo de 2014). Use of leukotriene receptor antagonists are associated with similar risk of asthma exacerbations as inhaled corticosteroids.
- ↑ a b Hendeles L, Marshik PL, Ahrens R, Kifle Y, Shuster J (2005). «Response to nonprescription epinephrine inhaler during nocturnal asthma». Ann. Allergy Asthma Immunol. 95 (6): 530-4. PMID 16400891.
- ↑ Rodrigo GJ, Nannini LJ (2006). «Comparison between nebulized adrenaline and beta2 agonists for the treatment of acute asthma. A meta-analysis of randomized trials». Am J Emerg Med 24 (2): 217-22. PMID 16490653. doi:10.1016/j.ajem.2005.10.008.
- ↑ Papi A, Canonica GW, Maestrelli P, et al (2007). «Rescue use of beclomethasone and albuterol in a single inhaler for mild asthma». N. Engl. J. Med. 356 (20): 2040-52. PMID 17507703. doi:10.1056/NEJMoa063861.
- ↑ «Serevent Diskus, Advair Diskus, and Foradil Information (Long Acting Beta Agonists) - Drug information». FDA. 3 de marzo de 2006.
- ↑ Marseglia GL, Incorvaia C, La Rosa M, Frati F, Marcucci F (23 de octubre de 2009). «Sublingual immunotherapy in children: facts and needs». Ital J Pediatr (Revisión) 35 (1): 31. PMC 2772839. PMID 19852795. doi:10.1186/1824-7288-35-31.
- ↑ a b c Pitsios C, Demoly P, Bilò MB, Gerth van Wijk R, Pfaar O, Sturm GJ, Rodriguez del Rio P, Tsoumani M, Gawlik R, Paraskevopoulos G, Ruëff F, Valovirta E, Papadopoulos NG, Calderón MA (agosto de 2015). «Clinical contraindications to allergen immunotherapy: an EAACI position paper». Allergy (Revisión) 70 (8): 897-909. PMID 25913519. doi:10.1111/all.12638.
- ↑ Drazen, Jeffrey M.; Fredberg, Jeffrey J. (5 de abril de 2024). «Epithelial cells crowded out in asthma». Science (en inglés) 384 (6691): 30-31. ISSN 0036-8075. doi:10.1126/science.ado4514. Consultado el 5 de abril de 2024. «Muestran que los fármacos que bloquean la vía de extrusión ( este caso el gadolinio) y, por tanto, previenen el daño mecánico al epitelio durante el estrechamiento agudo de las vías respiratorias, pueden tener la capacidad de romper el ciclo inflamatorio y potencialmente revolucionar la forma en que se trata el asma.»
- ↑ P A Corris and G J Gibson. Asthma presenting as cor pulmonale (en inglés). Br Med J (Clin Res Ed). 1984 February 4; 288(6414): 389–390. PMCID: PMC1444223
- ↑ Román Rodríguez, Miguel; Ginel Mendoza, Leovigildo; Blanco Aparicio, Marina; Rodríguez Rodríguez, Mercedes; Bárcena Caamaño, Mario (2021). «Qué no se debe hacer en el manejo terapéutico del asma bronquial. Recomendaciones por consenso Delphi para los médicos que tratan el asma». Atencion Primaria 53 (7): 102101. ISSN 0212-6567. PMC 8165326. PMID 34029773. doi:10.1016/j.aprim.2021.102101. Consultado el 14 de octubre de 2021.
Enlaces externos
Wikimedia Commons alberga una categoría multimedia sobre asma.
Wikcionario tiene definiciones y otra información sobre asma.- ATSDR en Español - Estudios de Caso en Medicina Ambiental: Factores ambientales que provocan asma Departamento de Salud y Servicios Humanos de EE. UU.
- CDC en Español - Asma y alergias
- Guía NICE-2024 sobre diagnóstico, seguimiento y tratamiento crónico del asma
- En Epistemoikos hay más información sobre Asma.
- Revisiones sistemáticas en Epistemoikos sobre Asma
- En Trip Database hay más información sobre Asma
