Beriliosis
| Beriliosis | ||
|---|---|---|
| Especialidad | neumología | |
La beriliosis es una enfermedad que afecta fundamentalmente al pulmón y que provoca, a través de una respuesta inmune mediada por células, una granulomatosis crónica, producida por la exposición al berilio.
Características
La exposición al berilio puede darse en la industria de la cerámica, en refinerías, la industria aeroespacial, la manufactura de reactores nucleares, la manufacturas de fluorescentes, etcétera.
Clínicamente tiene dos formas:
- Beriliosis aguda, muy infrecuente, exposición a altos niveles de polvo de berilio, frecuentemente accidental. Causa neumonitis aguda.
- Beriliosis crónica: enfermedad sistémica que puede afectar a distintos órganos, vista en exposiciones de al menos dos años de duración, y que puede tener un período de latencia de hasta 15 años. Causa la enfermerdad granulomatosa no caseificante.
A diferencia de otras neumoconiosis (como pueden ser silicosis, asbestosis o neumoconiosis de los mineros del carbón) esta se caracteriza por no generar fibrosis pulmonar difusa ni nodular, sino más bien una reacción de hipersensibilidad de tipo IV con la formación de granulomas, por lo tanto es una enfermedad granulomatosa no caseificante que a veces puede confundirse con sarcoidosis.
Diagnóstico
.jpg)
El diagnóstico diferencial de la beriliosis incluye:[1]
- Sarcoidosis
- Enfermedades pulmonares granulomatosas
- Tuberculosis
- Infecciones por hongos (p. Ej., Histoplasmosis )
- Granulomatosis con poliangeítis
- Fibrosis pulmonar idiopática
- Neumonitis por hipersensibilidad
- Asma
De estas posibilidades, la beriliosis se presenta de manera más similar a la sarcoidosis. Algunos estudios sugieren que hasta el 6% de todos los casos de sarcoidosis son en realidad beriliosis.[2]
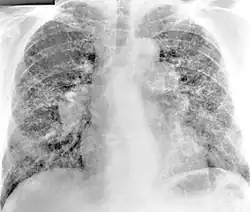
El diagnóstico definitivo de beriliosis se basa en el historial de exposiciones al berilio, sensibilidad al berilio documentada e inflamación granulomatosa en la biopsia pulmonar . Dada la naturaleza invasiva de una biopsia de pulmón, el diagnóstico también puede basarse en la historia clínica compatible con beriliosis, hallazgos anormales en la radiografía de tórax o tomografía computarizada y anomalías en las pruebas de función pulmonar .
Establecer la sensibilidad al berilio es el primer paso en el diagnóstico. La prueba de proliferación de linfocitos de berilio (BeLPT) es la forma estándar de determinar la sensibilidad al berilio.[3] La prueba se realiza mediante la obtención de sangre periférica o líquido de un lavado alveolar bronquial y los linfocitos se cultivan con sulfato de berilio. A continuación, se cuentan las células y las que tienen un número elevado de células se consideran anormales. Aquellas personas expuestas con dos BeLPT anormales analizadas con sangre periférica, o un resultado anormal y otro límite, se consideran sensibilizadas al berilio. Además, aquellos con un BeLPT anormal probado con líquido de un lavado alveolar bronquial se consideran sensibilizados.
Los hallazgos de la radiografía de tórax de beriliosis son inespecíficos. En las primeras etapas de la enfermedad, los hallazgos radiográficos suelen ser normales. En estadios posteriores se ha informado fibrosis intersticial, irregularidades pleurales, linfadenopatía hiliar y opacidades en vidrio deslustrado . Los hallazgos de la TC tampoco son específicos de la beriliosis. Los hallazgos que son comunes en las tomografías computarizadas de personas con beriliosis incluyen nódulos parenquimatosos en etapas tempranas. Un estudio encontró que las opacidades en vidrio esmerilado se observaron con más frecuencia en la tomografía computarizada en la beriliosis que en la sarcoidosis. En estados posteriores, linfadenopatía hiliar, fibrosis pulmonar intersticial y engrosamiento pleural.
Referencias
- ↑ Newman, L. S. (1995-03). «Beryllium disease and sarcoidosis: clinical and laboratory links». Sarcoidosis 12 (1): 7-19. ISSN 0393-1447. PMID 7617981. Consultado el 25 de septiembre de 2021.
- ↑ Rossman, Milton D.; Kreider, Mary Elizabeth (2003-06). «Is chronic beryllium disease sarcoidosis of known etiology?». Sarcoidosis, vasculitis, and diffuse lung diseases: official journal of WASOG 20 (2): 104-109. ISSN 1124-0490. PMID 12870719. Consultado el 25 de septiembre de 2021.
- ↑ Balmes, John R.; Abraham, Jerrold L.; Dweik, Raed A.; Fireman, Elizabeth; Fontenot, Andrew P.; Maier, Lisa A.; Muller-Quernheim, Joachim; Ostiguy, Gaston et al. (15 de noviembre de 2014). «An Official American Thoracic Society Statement: Diagnosis and Management of Beryllium Sensitivity and Chronic Beryllium Disease». American Journal of Respiratory and Critical Care Medicine 190 (10): e34-e59. ISSN 1073-449X. doi:10.1164/rccm.201409-1722ST. Consultado el 25 de septiembre de 2021.