Cáncer de cuello uterino
| Cáncer de cérvix | ||
|---|---|---|
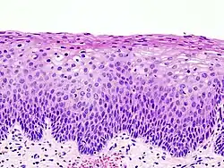
![]() Imagen histopatológica (tinción H&E) de un carcinoma in situ, estadio 0. | ||
| Especialidad | oncología | |
| Síntomas |
Temprano : ninguno Tardío : sangrado vaginal, dolor pélvico, dolor durante las relaciones sexuales | |
| Tipos | Carcinoma de células escamosas, adenocarcinoma, otros.[1][2] | |
| Factores de riesgo | Fumar, sistema inmunológico débil, pastillas anticonceptivas , iniciar relaciones sexuales a una edad temprana , tener muchas parejas sexuales o una pareja con muchas parejas sexuales.[3][1] | |
| Prevención | Examen cervical regular, vacunas contra el VPH, relaciones sexuales con condón.[1] | |
| Sinónimos | ||
| ||

El cáncer de cérvix, carcinoma de cérvix, cáncer de cuello de útero o cáncer de cuello uterino incluye las neoplasias malignas que se desarrollan en la porción fibromuscular inferior del útero que se proyecta dentro de la vagina.
Historia
El científico alemán Harald zur Hausen realizó un gran avance en la investigación del cáncer cervical, ya que descubrió el papel importante que posee el virus del papiloma humano (VPH) en su formación, razón por la cual obtuvo el Premio Nobel de Medicina en 2008. Asimismo contribuyeron los experimentos realizados en monos Rhesus por el ginecólogo español Enrique Aguirre Cabañas. Todo esto sentó las bases sobre las que después se harían las investigaciones sobre la vacuna contra el virus del papiloma humano en la que tuvieron un papel fundamental los doctores Ian Fraser y Jian Zhou.
Epidemiología
El cáncer cervical uterino es el segundo tipo de cáncer más común en las mujeres. La edad media de aparición es a los 45 años. Es el más frecuente en países en vías de desarrollo, diagnosticándose más de 400.000 casos nuevos cada año.[4] En España, según datos de 2012 provenientes de la Sociedad Española de Oncología Médica, la incidencia de este cáncer está bastante por debajo que en otros países: el 2.9% de las neoplasias en mujeres.[5]
En otros países, el cáncer cervical puede ser un problema de salud pública; en España, no. En el año 2001, el 11.7% de todas las neoplasias en las mujeres correspondieron al cáncer de cérvix, y se reportaron 369,500 casos nuevos en países en vías de desarrollo, a diferencia de los países desarrollados en los cuales 96,100 casos fueron diagnosticados en el mismo año. La población femenina originaria de Latinoamérica es considerada como de alto riesgo para desarrollarlo. Cada año se diagnostican 68,000 casos nuevos. Estudios comparativos de las tasas de mortalidad por esta enfermedad, señalan que tasas más altas corresponden a Chile y México.
Factores de riesgo

Los factores de riesgo de cáncer cervical están relacionados con características tanto del virus como del huésped, e incluyen:[6] infección persistente con un VPH de alto riesgo (como VPH 16 o 18)
- infección por VHS tipo II y otras ITSs (como marcadores de promiscuidad sexual)
- inmunosupresión
- ciertos subtipos de HLA (antígenos leucocitarios humanos)
- uso de contraceptivos orales
- fumar.
- en algunos casos, múltiples compañeros sexuales
- una pareja masculina con muchas compañeras sexuales presentes o pasadas
- edad temprana en la primera relación sexual
- elevado número de partos
La infección genital con el virus del papiloma humano (VPH) es la enfermedad de transmisión sexual viral más frecuente en el mundo. Asimismo, es el factor de riesgo más importante para desarrollar lesiones preneoplásicas y neoplásicas del cuello uterino. No obstante, menos de 5% de las mujeres infectadas con el VPH desarrollarán cáncer cérvico-uterino. La mayoría de los casos de cáncer de cérvix y sus lesiones precursoras se relacionan con la infección por serotipos de alto riesgo del VPH, sobre todo el VPH-16 y el VPH-18. Se trata de un virus de transmisión sexual, y de ahí que la enfermedad sea más frecuente en mujeres que tuvieron múltiples parejas sexuales o que empezaron a tener relaciones sexuales precozmente. También explica que sea más frecuente en sujetos inmunodeprimidos, como las mujeres con SIDA.
La presencia de VPH es una causa necesaria, pero no suficiente para el desarrollo de lesiones cervicales; es la persistencia de la infección lo que parece ser un prerrequisito para el desarrollo de neoplasia intraepitelial grado III y posteriormente de Cáncer cervicouterino.[7]
En general, las tasas de progresión de las lesiones precancerosas no son uniformes, y aunque sobre todo VPH 16 está asociado con un riesgo elevado, es difícil predecir la evolución en una persona en particular. El riesgo de desarrollar cáncer depende solo en parte del subtipo de VPH, ya que también depende del estado inmunológico de la persona y de condiciones ambientales. La progresión hacia carcinoma invasivo, si llega a ocurrir, puede ocurrir en pocos meses o producirse durante más de una década.[6]
Lesiones precursoras
_CIN2.jpg)
El cérvix uterino presenta lesiones asintomáticas mucho antes de la aparición del cáncer. Reciben el nombre de neoplasia cervical intraepitelial (CIN, por sus siglas en inglés). Estas lesiones son las precursoras del cáncer. Consisten en la desorganización o displasia del epitelio exocervical. Con los años, evolucionan hasta transformarse en carcinoma, aunque también pueden regresar espontáneamente. Estas alteraciones precursoras solo se detectan mediante la citología, la colposcopia y la biopsia y observación al microscopio. Según el grado de evolución que presenten al observarlas con el microscopio se clasifican en tres grados:
- CIN I: Solo se observa displasia en el tercio inferior del epitelio. La mayoría regresan espontáneamente a los 2 años, pero el 10% progresa a CIN de mayor grado.
- CIN II: Hay displasia en los dos tercios inferiores del epitelio.
- CIN III: El epitelio es displásico en su totalidad. También recibe el nombre de "carcinoma in situ". La mayoría no regresan espontáneamente, y a los 2 años el 10% se ha transformado en un carcinoma invasor.
Clasificación histológica

Se identifican diferentes subtipos de cáncer cervical:[6]
- Carcinoma de las células escamosas, que se origina a expensas del epitelio pavimentoso; es el más frecuente (aproximadamente 80% de los casos). El precursor inmediato de este carcinoma son las HSIL, lesiones intraepiteliales escamosas de alto grado.
- Adenocarcinoma cervical, que constituye el 15% de los casos y se desarrolla a partir de lesiones precursoras denominadas adenocarcinoma in situ.
- Carcinomas adenoescamosos y neuroendocrinos, que constituyen el 5% restante de los casos.
Todos los tipos de tumores indicados están relacionados con el VPH de alto riesgo oncogénico (sobre todo VPH 16 y 18). Todos presentan las mismas características clínicas y los mismos factores de riesgo, pero los adenocarcinomas, carcinomas adenoescamosos y neuroendocrinos se detectan peor en los análisis de rutina, por lo que suelen detectarse en fases más avanzadas.
Historia natural
Desde que surgen las lesiones más leves (CIN I) hasta la aparición del carcinoma invasor, pasa una media de 12-13 años. Durante este periodo, es posible eliminar la lesión precursora mediante técnicas mínimamente invasivas, ahorrando a la mujer un enorme sufrimiento, y gastando mucho menos dinero de lo que costaría tratar un cáncer. De ahí la importancia fundamental del procedimiento para detectar precozmente (screening) las lesiones del epitelio cervical: la citología, y los procedimientos diagnósticos posteriores si ésta es positiva: colposcopia y biopsia.
Estadificación
La clasificación de las etapas clínicas de la evolución del carcinoma de cuello, partiendo de la etapa cero, que correspondería al carcinoma in situ (CIN-III o HSIL):[6]
- Estadio I: confinado al cuello del útero. Con un estadio IA si el tumor mide menos de 7 mm de superficie y 5 mm de invasión en profundidad; y un estadio IB si el tumor mide más o es macroscópico.
- Estadio II: se extiende más allá del cuello, pero no se extiende a la pared de la pelvis y, si afecta a la vagina, no llega a su tercio inferior. Se clasifica como IIA si no afecta a parametrios (IIA1 si es menor de 4 cm y IIA2 si es mayor) y IIB si los afecta.
- Estadio III: el carcinoma se extiende a la pared pelviana. En la exploración al tacto rectal no existe espacio entre el tumor y la pared pelviana; el tumor se extiende además al tercio inferior de la vagina. Sería un estadio IIIA si afecta al tercio inferior de la vagina, y un IIIB si afecta pared pélvica o tiene repercusión sobre el riñón.
- Estadio IV: estadio metastásico local (puede infiltrar la pared de la vejiga urinaria o el recto) (IVA) o a distancia (IVB), por ejemplo si aparecen en los pulmones.
Pronóstico
El pronóstico y la supervivencia de las mujeres que sufren un carcinoma invasivo depende sobre todo de la fase en la que se detecta el cáncer en primer lugar, y en menor medida del tipo celular predominante en el tumor.
Cuadro clínico
Más de la mitad de los casos de cáncer cervical se detectan en mujeres que no participan en revisiones regulares. Lo más frecuente es que sea asintomático. Los principales síntomas son:
- Hemorragia anormal, en "agua de lavar carne" (cuando da síntomas, es el primero en aparecer)
- Aumento de flujo vaginal
- Dolor en el pubis
- Dispareunia.
En fases avanzadas aparecen síntomas por invasión vesical (disuria, hematuria) y rectal (disquecia, hematoquecia).
Diagnóstico

Un cáncer cervical incipiente rara vez causa síntomas. Cualquier hemorragia o flujo anormal de la vagina necesita inmediata investigación médica, si bien estos síntomas pueden deberse a otros problemas de salud, también podrían indicar cáncer cervical.
El resultado anormal de una prueba de Papanicolaou o citología cervical, examen en el cual se extrae una muestra de células del cérvix uterino, que luego se evalúa en un laboratorio, es el diagnóstico inicial. Los resultados de la prueba se dan en 5 "clases" que van desde clase 1 (normal) a clase 5 (cáncer invasivo presente). Las clases 2 a la 5 requieren análisis posteriores que incluyen biopsia (toma de un pequeño trocito de tejido para estudiarlo), para determinar la naturaleza y extensión de las anomalías y para diagnosticar el cáncer.
Además del test Papanicolaou, el médico realizará otras pruebas para poder establecer más claramente el diagnóstico, como la colposcopia, (visualización del cuello del útero durante la inspección ginecológica con la ayuda de un espéculo) para examinar las células cervicales más detalladamente con aparatos de aumento especiales. Se pueden detectar lesiones premalignas y malignas en estadios tempranos, donde los pacientes se curan con terapias como la conización. La conización es una forma más extensiva de biopsia en la cual se extrae una cuña del cérvix. Puede ser indicado realizar una biopsia para extraer una muestra que será estudiada con microscopio. Durante un legrado uterino se toman muestras del canal cervical y del útero y así hacer exámenes al microscopio.
Si se confirma la presencia de cáncer cervical, pueden recomendarse otros exámenes para determinar hasta qué punto la enfermedad se ha extendido, como:
- Análisis de sangre y orina.
- Radiografías y exámenes por ultrasonido de las áreas pélvica y abdominal.
Tratamiento
El tratamiento depende del diagnóstico. Según la extensión del cáncer, el tratamiento puede consistir en una o más terapias:
- Técnicas de ablación, que solo serían posibles para las lesiones premalignas (CIN). Se puede usar la electrocoagulación, la criocoagulación o la ablación con láser.
- Cirugía. Son posibles las técnicas conservadoras, como la conización, en estados muy tempranos. En estadios más avanzados habrá que recurrir a la histerectomía total ampliada, que consiste en la extirpación completa del útero y del tejido adyacente, y que se puede hacer por vía abdominal (técnica de Wertheim-Meigs) o vaginal (técnica de Schauta). En caso de afectación vesical o rectal se ha recurrido, a veces, a la exenteración pélvica (histerectomía ampliada junto con extirpación de recto y vejiga). También, según el estadio, se procede o no a la extirpación de los ganglios pélvicos (linfadenectomía).
- Radioterapia para destruir las células cancerosas que hayan quedado después de haberse operado. Puede ser externa o interna (braquiterapia), con aplicación local de la fuente de radiación.
- Quimioterapia para destruir las células cancerígenas que haya en el cuerpo. La quimioterapia tiene una utilidad discreta en este tipo de cáncer.
Un cáncer incipiente y no invasivo (carcinoma in situ) puede ser tratado con una operación mínima, mientras que un cáncer invasivo suele requerir una histerectomía (extirpación de cérvix y útero), linfadenectomía y posiblemente extirpación de otros órganos de la pelvis. En general, los estadios IIB, III y IV no son operables; en los dos primeros se hace radioterapia con fines curativos, en el IV solo caben técnicas paliativas.
En estudios recientes se descifró el mecanismo biológico en que el VPH causa el cáncer, lo que introduce una nueva estrategia potencial de tratamiento .[8]
Pronóstico
El tratamiento de la displasia y los cánceres incipientes tienen un alto índice de éxito. El índice de supervivencia a los 5 años para mujeres con carcinoma in situ es prácticamente del 100%. Sin embargo, si la enfermedad ya es invasiva, la eficacia del tratamiento disminuye: la supervivencia a 5 años es de 95% para el estadio IA, 80-90% para IB, 75% para estadio II y menos de 50% para estadio III o superior.[6] La supervivencia a 5 años para todos los pacientes de cáncer cervical es del 66%. Incluso después de un tratamiento con éxito, la mujer deberá consultar al doctor regularmente.
No ocurre lo mismo en los casos donde el diagnóstico se realiza en etapas avanzadas de la enfermedad, carcinoma invasivo, donde después de un estadiamiento de la paciente si se determina que debe ser operada, la cirugía es más agresiva acompañándose de histerectomía, de anexectomia (extirpación de los anexos uterinos) bilateral, del tercio superior de la vagina y vaciamiento glandular, además se complementa según criterio clínico-oncológicos de tratamiento con radioterapia y otros según se considere.
La mayoría de las pacientes con cáncer en estadio IV mueren en cortos periodos de tiempo por diseminación de la neoplasia y metástasis a ganglios linfáticos, vagina, vejiga urinaria, parametrio, pulmón y cerebro. Sin embargo, en EE. UU. la detección temprana ha reducido el número de pacientes con cáncer en estadio IV en más de dos tercios en los últimos 50 años.[6]
Prevención
Métodos de prevención contra el cáncer cervical:
- Vacuna contra el virus del papiloma humano.
- Realización de la prueba de Papanicolaou de forma regular.
- Evitar relaciones con múltiples compañeros sexuales (educación sexual).[9]
- No fumar.
- No beber.
- Si existe una historia de verrugas genitales, hacerse un Papanicolaou cada 6 meses.
- Si tiene más de un compañero sexual, insista en que usen preservativos para prevenir el contagio de una enfermedad de transmisión sexual.
Recientemente se aprobó la vacuna contra el virus del papiloma humano, que se utiliza en algunos países de forma sistemática. La vacuna se recomienda para mujeres de entre 11 y 14 años. Cubre a los papilomavirus más frecuentemente asociados con el cáncer de cérvix, que son el VPH-16 y el VPH-18. La vacuna se aplica antes del comienzo de las relaciones sexuales, y previene la infección del VPH de las cepas que posea la vacuna. La efectividad real de las vacunas para reducir las tasas de incidencia y mortalidad por cáncer de cuello uterino es aún desconocida.[10]
Véase también
- Aparato reproductor femenino
- Cáncer de endometrio
- Otros cánceres ginecológicos:
- Cérvix
- Cervarix
- Erosión cervical
- Gardasil
- HeLa
- Nanomotor
- Vacuna contra el virus del papiloma humano
- Virus del papiloma humano
Referencias
- ↑ a b c Fowler, Josephine R.; Maani, Elizabeth V.; Dunton, Charles J.; Gasalberti, David P.; Jack, Brian W. (2024). Cervical Cancer. StatPearls Publishing. Consultado el 22 de julio de 2024.
- ↑ «¿Qué es cáncer de cuello uterino (cervical)?». www.cancer.org. Consultado el 22 de julio de 2024.
- ↑ Bosch, F. Xavier; de Sanjosé, Silvia (2007). «The Epidemiology of Human Papillomavirus Infection and Cervical Cancer». Disease Markers 23 (4): 213-227. ISSN 0278-0240. PMC 3850867. PMID 17627057. doi:10.1155/2007/914823. Consultado el 22 de julio de 2024.
- ↑ Organización Mundial de la Salud (2005). «The Impact of Cancer».
- ↑ «Las Cifras del Cáncer en España 2016». Sociedad Española de Oncología Médica (SEOM). 2016. Consultado el 20 de mayo de 2020.
- ↑ a b c d e f Kumar, MBBS, MD, FRCPath, V.; Abul K. Abbas, MBBS, Nelson Fausto, MD and Jon Aster, MD (2009). «Cérvix: premalignant and malignant neoplasias». En Saunders (Elsevier), ed. Robbins & Cotran Pathologic Basis of Disease (8th edición). ISBN 978-1-4160-3121-5.
- ↑ del Toro-Arreola, Susana; García-Chagollán, Mariel; Jave-Suárez, Luis Felipe (2015). «[Escape mechanisms to the innate immune response in HPV-associated cervical cancer]». Revista Medica Del Instituto Mexicano Del Seguro Social. 53 Suppl 2: S194-199. ISSN 2448-5667. PMID 26462516. Consultado el 8 de enero de 2023.
- ↑ «By Decoding How HPV Causes Cancer, Researchers Find a New Potential Treatment Strategy». gumc.georgetown.edu (en inglés). Consultado el 7 de octubre de 2017.
- ↑ Martínez Hernández, Juan (2010). La Urraca y el Pez. Reflexiones sobre Salud y Sociedad (Primera edición). Sevilla: Editorial Círculo Rojo. ISBN 978-84-15143-19-2.
- ↑ Casado Buesa MI, García Hernández L, González Enríquez J, Imaz Iglesia I, Rubio González B, Zegarra Salas P. Evaluación económica de la introducción de la vacuna contra VPH en España para la prevención del cáncer de cuello uterino. Informe Público de Evaluación de Tecnologías Sanitarias IPE 2012/69. Madrid: Agencia de Evaluación de Tecnologías Sanitarias; diciembre de 2012. N.I.P.O. en línea: 725–12–053–X
