Neoplasia cervical intraepitelial
| Neoplasia cervical intraepitelial | ||
|---|---|---|
| Especialidad | oncología | |
La neoplasia cervical intraepitelial (abreviado NIC o, también, CIN, por las siglas en inglés de cervical intraepitelial neoplasm) es un crecimiento anormal y pre-canceroso de células escamosas en el cuello uterino. La mayoría de los casos de NIC permanecen estables o son eliminados por el sistema inmune del individuo sin intervención médica. Sin embargo un pequeño porcentaje de casos progresan a cáncer cervical, usualmente, por razón de la célula invasora, en un carcinoma de células escamosas.[1]
Epidemiología
Menos del 5% de las citologías de cuello uterino resultan en una displasia cervical. Son más frecuentes en las edades reproductivas, en particular entre 25 a 35 años.
Histología
Los cambios microscópicos iniciales que corresponden al desarrollo de una neoplasia cervical intraepitelial son las displasias del epitelio, es decir, la superficie que recubre el cuello uterino, lo cual es indetectable y asintomático en la mujer.[2]
Clasificación
Los NIC tienen tres grados distintivos, basados en el espesor de la invasión por parte de las células escamosas:
- NIC1 (Grado I), es el tipo de menor riesgo, representa sólo una displasia leve o crecimiento celular anormal[1] y es considerado una lesión escamosa intraepitelial de bajo grado.[3] Se caracteriza por estar confinado al 1/3 basal del epitelio cervical.
- NIC2 (Grado II), es considerado una lesión escamosa intraepitelial de alto grado[3] y representan una displasia moderada, confinada a los 2/3 basales del epitelio cervical.
- NIC3 (Grado III): en este tipo de lesión, considerada también de alto grado, la displasia es severa y cubre más de los 2/3 de todo el epitelio cervical, en algunos casos incluyendo todo el grosor del revestimiento cervical. Esta lesión es considerada como un carcinoma in situ.
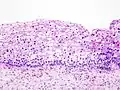
-
Epitelio cervical normal. -
NIC grado I. -
NIC grado II. -
NIC grado III.
Recientemente, la clasificación de las lesiones precancerosas ha sido reformulada, agrupándose las lesiones en sólo dos tipos, de acuerdo con las dos posibles decisiones terapéuticas (observación o intervención quirúrgica). Según el nuevo sistema: [4]
Es importante recordar que la clasificación de NIC se usa cuando observamos el tejido mediante biopsia, es diferente a la clasificación de LIE que la usamos en células observadas en citología. Un LIE de bajo grado (observable en citología) es sugestivo de presencia de NIC grado I (esto se confirmaría con biopsia), así mismo, un LIE de alto grado es sugestivo de presencia de NIC grado II o III.
Progresión
Hay quienes piensan que los casos de NIC progresan por estos estados antes de desarrollar un cáncer.[1][5][6] Sin embargo, si bien es cierto que los cánceres cervicouterinos, en especial los invasores de células escamosas, vienen precedidos por una fase de enfermedades preinvasoras de largo tiempo, existen evidencias que el cáncer de cuello puede ocurrir sin que haya una detectable progresión a lo largo de los tres estadios y que una neoplasia intraepitelial de alto grado puede ocurrir sin que primero haya existido como una lesión de bajo grado.[1][7]
Aunque la mayoría de HSIL derivan de LSIL, aproximadamente el 20% de los casos de HSIL aparecen "de novo", sin LSIL previos. Las tasas de progresión no son uniformes, y aunque sobre todo VPH 16 está asociado con un riesgo elevado, es difícil predecir la evolución en una persona en particular. La progresión hacia carcinoma invasivo, si llega a ocurrir, puede ocurrir en pocos meses o producirse durante más de una década.[4]
Diagnóstico
Cómo se vio en la sección de citología la clasificación de NIC depende de la cantidad de tejido afectado, esto solo es observable mediante biopsia y es un error pensar que se puede diagnosticar algún grado de NIC mediante citología. En la citología observamos LIE de alto o bajo grado, que sugieren la presencia de NIC, pero esto solo es demostrable mediante la biopsia.
Tratamiento
Aunque la displasia epitelial tiene el potencial de desaparecer espontáneamente, las lesiones persistentes deben ser eliminadas, mediante cirugía, quemados químicos, de calor (LEEP), láser o por congelación (crioterapia). En ocasiones, especialmente en los casos más avanzados se recurre a una técnica poco invasiva conocida como escisión electroquirúrgica con asa, así como una conización.[8] Es esencial hacer un seguimiento constante cada 3 a 6 meses según lo indique el profesional de salud. También pueden tratarse mediante inmunomodulación local y regulación de la flora vaginal normal, reponiendo la eubiosis mediante los lactobacilos prevalentes en el medio vaginal. El exceso de agresión local puede agravar las lesiones y exacerbar la displasia, metaplasia y conducir a la anaplasia.
Referencias
- ↑ a b c d Agorastos T, Miliaras D, Lambropoulos A, Chrisafi S, Kotsis A, Manthos A, Bontis J (2005). «Detection and typing of human papillomavirus DNA in uterine cervices with coexistent grade I and grade III intraepithelial neoplasia: biologic progression or independent lesions?». Eur J Obstet Gynecol Reprod Biol 121 (1): 99-103. PMID 15949888.
- ↑ International Agency for Research on Cancer. Introducción a la neoplasia intraepitelial cervical (NIC) (en español). Último acceso 28 de febrero de 2008.
- ↑ a b Park J, Sun D, Genest D, Trivijitsilp P, Suh I, Crum C (1998). «Coexistence of low and high grade squamous intraepithelial lesions of the cervix: morphologic progression or multiple papillomaviruses?». Gynecol Oncol 70 (3): 386-91. PMID 9790792.
- ↑ a b Kumar, MBBS, MD, FRCPath, V.; Abul K. Abbas, MBBS, Nelson Fausto, MD and Jon Aster, MD (2009). «Cervix: premalignant and malignant neoplasms». En Saunders (Elsevier), ed. Robbins & Cotran Pathologic Basis of Disease (8th edición).
- ↑ Hillemanns P, Wang X, Staehle S, Michels W, Dannecker C (2006). «Evaluation of different treatment modalities for vulvar intraepithelial neoplasia (VIN): CO(2) laser vaporization, photodynamic therapy, excision and vulvectomy». Gynecol Oncol 100 (2): 271-5. PMID 16169064.
- ↑ Rapp L, Chen J (1998). «The papillomavirus E6 proteins». Biochim Biophys Acta 1378 (1): F1-19. PMID 9739758.
- ↑ Monnier-Benoit S, Dalstein V, Riethmuller D, Lalaoui N, Mougin C, Prétet J (2006). «Dynamics of HPV16 DNA load reflect the natural history of cervical HPV-associated lesions». J Clin Virol 35 (3): 270-7. PMID 16214397.
- ↑ Planned Parenthood de la Región de Rochester/Syracuse. Neoplasia intraepitelial cervical (Displasia cervical) (en español). Último acceso 28 de febrero de 2008.