Célula cancerosa
Las células cancerosas son células que se dividen sin descanso, formando tumores sólidos o inundando la sangre con células anormales. La mitosis es un proceso normal utilizado por el cuerpo para el crecimiento y la reparación. Una célula madre se divide para formar dos células hijas, y estas células hijas se utilizan para construir tejido nuevo o para reemplazar células que han muerto debido al envejecimiento o daño. Las células sanas dejan de dividirse cuando ya no hay necesidad de más células hijas, pero las células cancerosas continúan produciendo copias de sí mismas. También pueden propagarse de una parte del cuerpo a otra en un proceso conocido como metástasis.[1]

Clasificación
Existen diferentes categorías de células cancerosas, definidas según el tipo de célula desde la que se originan.[2]
- Carcinoma, la mayoría de las células cancerosas son de origen epitelial y comienzan en los tejidos que recubren las superficies del cuerpo.
- La leucemia se origina en los tejidos responsables de producir nuevas células sanguíneas, más comúnmente en la médula ósea.
- Linfoma y mieloma, derivados de células del sistema inmunológico.
- Sarcoma, que se origina en el tejido conectivo, que incluye grasa, músculo y hueso.
- Sistema nervioso central, derivado de las células del cerebro y la médula espinal.
- Mesotelioma, que se origina en el mesotelio; el revestimiento de las cavidades corporales.
-
Carcinoma -
Leucemia -
Linfoma -
Mieloma -
Sarcoma -
Mesotelioma
Histología

Las células tumorales tienen una forma alterada que depende de dos características: de su diferenciación y de su anaplasia.
La diferenciación celular de un tumor es el grado en el que las células cancerosas se asemejan a las células normales, tanto en su morfológica como en su funcionamiento.[3]
La anaplasia es la ausencia de diferenciación que conlleva a una falta de especialización o de función celular. Cuanto más indiferenciado sean las células de un cáncer, mayor es su malignidad y más alta es su velocidad de crecimiento.específicas.[4]
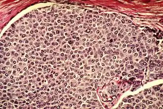
Las células cancerosas tienen características histológicas distintivas visibles al microscopio. El núcleo suele ser grande e irregular y el citoplasma también puede mostrar anomalías.[5]
Núcleo
La forma, el tamaño, la composición de proteínas y la textura del núcleo a menudo se alteran en las células malignas. El núcleo puede adquirir surcos, pliegues o hendiduras, la cromatina puede agregarse o dispersarse y el nucleolo puede agrandarse. En las células normales, el núcleo suele ser de forma redonda o elipsoide, pero en las células cancerosas el contorno suele ser irregular. Diferentes combinaciones de anomalías son características de los diferentes tipos de cáncer, en la medida en que la apariencia nuclear se puede utilizar como marcador en el diagnóstico y la estadificación del cáncer.[6]
Origen de la célula cancerosa
Las células cancerosas se crean cuando se dañan los genes responsables de regular la división celular (mitosis). La carcinogénesis es causada por la mutación y epimutación del material genético de las células normales, lo que altera el equilibrio normal entre la proliferación y la muerte celular. Esto da como resultado una división celular descontrolada en el cuerpo. La proliferación incontrolada y, a menudo, rápida de células puede provocar tumores benignos o malignos (cáncer). Los tumores benignos no se diseminan a otras partes del cuerpo ni invaden otros tejidos. Los tumores malignos pueden invadir otros órganos, diseminarse a lugares distantes (metástasis) y poner en peligro la vida.
Es necesaria más de una mutación para la carcinogénesis. De hecho, generalmente se requiere una serie de varias mutaciones en ciertas clases de genes antes de que una célula normal se transforme en una célula cancerosa.[7]
El daño al ADN puede ser causado por la exposición a radiación, sustancias químicas y otras fuentes ambientales, pero las mutaciones también se acumulan naturalmente con el tiempo a través de errores no corregidos en la transcripción del ADN, lo que hace que la edad sea otro factor de riesgo. Los oncovirus pueden causar ciertos tipos de cáncer y también se sabe que la genética juega un papel importante.[8]
La investigación con células madre sugiere que el exceso de proteína SP2 puede convertir las células madre en células cancerosas.[9] Sin embargo, la falta de moléculas coestimuladas particulares que ayuden en la forma en que los antígenos reaccionan con los linfocitos puede afectar la función de las células asesinas naturales, lo que finalmente conduce al cáncer.[10]
Patología
Se cree que las células humanas que desempeñan funciones en el sistema inmunológico, como las células T, utilizan un sistema de receptor dual, cuando determinan si deben o no matar a otras células humanas enfermas o dañadas. Si una célula está bajo estrés, convirtiéndose en tumor o infectada, se producen moléculas que incluyen MIC-A y MIC-B para que puedan adherirse a la superficie de la célula.[10] Estos funcionan para ayudar a los macrófagos a detectar y destruir las células cancerosas.
Descubrimiento
La evidencia temprana de cáncer humano se puede interpretar a partir de documentos egipcios (1538 a. C.) y restos momificados.[11] En 2016, Edward John Odes (estudiante de doctorado en Ciencias Anatómicas de la Facultad de Medicina de Witwatersrand, Sudáfrica) y sus colegas informaron sobre un osteosarcoma de 1,7 millones de años, que representa el cáncer de homínido maligno más antiguo documentado.[12]
La comprensión del cáncer avanzó significativamente durante el período del Renacimiento y en la Era de los Descubrimientos. Sir Rudolf Virchow, biólogo y político alemán, estudió patología microscópica y relacionó sus observaciones con la enfermedad. Se le describe como "el fundador de la patología celular".[13] En 1845, Virchow y John Hughes Bennett observaron de forma independiente un aumento anormal de los glóbulos blancos en los pacientes. Virchow identificó correctamente la afección como una enfermedad de la sangre y la nombró leukämie en 1847 (que más tarde se denominó leucemia).[14][15][16] En 1857, fue el primero en describir un tipo de tumor llamado cordoma que se originó en el clivus (en la base del cráneo).[17][18]
Telomerasa
Las células cancerosas tienen características únicas que las hacen "inmortales" según algunos investigadores. La enzima telomerasa se usa para extender la vida útil de las células cancerosas. Mientras que los telómeros de la mayoría de las células se acortan después de cada división, lo que eventualmente hace que la célula muera, la telomerasa extiende los telómeros de la célula. Esta es una de las principales razones por las que las células cancerosas pueden acumularse con el tiempo y crear tumores.
Células madre cancerosas y resistencia a los medicamentos

Los científicos han descubierto una molécula en la superficie de los tumores que parece promover la resistencia a los medicamentos, al convertir las células tumorales de nuevo en un estado similar a las células madre.
Cuando las células tumorales comenzaron a mostrar resistencia a los medicamentos, las células se transformaron simultáneamente en un estado similar a una célula madre, lo que las hizo inmunes a los medicamentos. Parecía que el tratamiento en sí mismo impulsaba esta transformación activando una vía molecular específica. Afortunadamente, varios fármacos existentes, como el bortezomib, por ejemplo, pueden atacar esta vía y revertir la transformación celular, lo que "vuelve a sensibilizar" el tumor al tratamiento.[19][20][21]
Tratamiento
En febrero de 2019, los científicos médicos anunciaron que el iridio unido a la albúmina, creando una molécula fotosensibilizada, puede penetrar en las células cancerosas y, después de ser irradiado con luz (un proceso llamado terapia fotodinámica), destruir las células cancerosas.[22][23]
Véase también
- Apoptosis
- BRCA1
- Carcinógeno
- Carcinogénesis
- Epidemiología del cáncer
- Oncología
- Heterogeneidad tumoral
Referencias
- ↑ «National Cancer Institute: is this cancer?». 17 de septiembre de 2007. Consultado el 1 de agosto de 2016.
- ↑ «Histological types of cancer - CRS - Cancer Research Society». www.crs-src.ca. Archivado desde el original el 27 de agosto de 2017. Consultado el 2 de agosto de 2016.
- ↑ Instituto Nacional del Cáncer, NIH (ed.). «Diferenciación».
- ↑ Merino Pérez J., Noriega Borge M.J. Crecimiento y diferenciación celular (PDF). Universidad de Cantabria. Archivado desde el original el 29 de noviembre de 2016. Consultado el 21 de enero de 2021.
- ↑ Baba, Alecsandru Ioan; Câtoi, Cornel (2007). TUMOR CELL MORPHOLOGY (en inglés). The Publishing House of the Romanian Academy.
- ↑ Zink, Daniele; Fische, Andrew H.; Nickerson, Jeffrey A. (1 de octubre de 2004). «Nuclear structure in cancer cells». Nature Reviews Cancer 4 (9): 677-687. ISSN 1474-175X. PMID 15343274. doi:10.1038/nrc1430.
- ↑ Fearon ER; Vogelstein B (June 1990). «A genetic model for colorectal tumorigenesis». Cell 61 (5): 759-67. PMID 2188735. doi:10.1016/0092-8674(90)90186-I.
- ↑ What causes cancer? : Cancer Research UK : CancerHelp UK. Cancerhelp.org.uk (2010-07-15). Retrieved on 2010-12-01.
- ↑ Too much SP2 protein turns stem cells into 'EVIL TWIN' cancer cells. Sciencedaily.com (2010-10-27). Retrieved on 2010-12-01.
- ↑ a b «The Innate Immune System: NK Cells». Community College of Baltimore County. Archivado desde el original el 27 de julio de 2010. Consultado el 1 de diciembre de 2010.
- ↑ David, A. Rosalie; Zimmerman, Michael R. (3 de septiembre de 2010). «Cancer: an old disease, a new disease or something in between?». Nature Reviews Cancer (en inglés) 10 (10): 728-733. ISSN 1474-175X. PMID 20814420. doi:10.1038/nrc2914.
- ↑ Odes, Edward J.; Randolph-Quinney, Patrick S.; Steyn, Maryna; Throckmorton, Zach; Smilg, Jacqueline S.; Zipfel, Bernhard; Augustine, Tanya N.; Beer, Frikkie de et al. (2016). «English». South African Journal of Science (en inglés) 112 (7/8). ISSN 1996-7489. doi:10.17159/sajs.2016/20150471. Archivado desde el original el 1 de agosto de 2016. Consultado el 1 de agosto de 2016.
- ↑ «History of cancer». Archivado desde el original el 14 de marzo de 2012. Consultado el 30 de noviembre de 2010.
- ↑ Degos, L (2001). «John Hughes Bennett, Rudolph Virchow... and Alfred Donné: the first description of leukemia». The Hematology Journal 2 (1): 1. PMID 11920227. doi:10.1038/sj/thj/6200090.
- ↑ Kampen, Kim R. (2012). «The discovery and early understanding of leukemia». Leukemia Research 36 (1): 6-13. PMID 22033191. doi:10.1016/j.leukres.2011.09.028.
- ↑ Mukherjee, Siddhartha (16 de noviembre de 2010). The Emperor of All Maladies: A Biography of Cancer. Simon and Schuster. ISBN 978-1-4391-0795-9. Consultado el 6 de septiembre de 2011.
- ↑ Hirsch, Edwin F.; Ingals, Mary (1923). «Sacrococcygeal chordoma». JAMA: The Journal of the American Medical Association 80 (19): 1369. doi:10.1001/jama.1923.02640460019007.
- ↑ Lopes, Ademar; Rossi, Benedito Mauro; Silveira, Claudio Regis Sampaio; Alves, Antonio Correa (1996). «Chordoma: retrospective analysis of 24 cases». Sao Paulo Medical Journal 114 (6): 1312-1316. PMID 9269106. doi:10.1590/S1516-31801996000600006.
- ↑ Cancer stem cells linked to drug resistance
- ↑ Tumor Cells Become Drug Resistant by Reverting to a Stem Cell-Like State
- ↑ Laetitia Seguin, Shumei Kato, Aleksandra Franovic, et al., & David A. Cheresh (2014). An integrin β3–KRAS–RalB complex drives tumour stemness and resistance to EGFR inhibition. Nature Cell Biology doi 10.1038/ncb2953
- ↑ University of Warwick (3 de febrero de 2019). «Simply shining light on dinosaur metal compound kills cancer cells». Consultado el 3 de febrero de 2019.
- ↑ Zhang, Pingyu (2019). «Nucleus‐Targeted Organoiridium–Albumin Conjugate for Photodynamic Cancer Therapy». Angewandte Chemie 58 (8): 2350-2354. PMC 6468315. PMID 30552796. doi:10.1002/anie.201813002.
Enlaces externos
- Cepa de BCG S4-Jena: una cepa de BCG temprana es capaz de reducir la proliferación de células cancerosas de vejiga mediante la inducción de apoptosis . Ncbi.nlm.nih.gov. Consultado el 1 de diciembre de 2010.
- La historia del cáncer Archivado el 12 de diciembre de 2015 en Wayback Machine. . Cancer.org. Consultado el 1 de diciembre de 2010.