Célula gigante contra cuerpo extraño
.jpg)
Una célula gigante contra cuerpo extraño es una colección de macrófagos fusionados (célula gigante) los cuáles se generan en respuesta a la presencia de un cuerpo extraño grande.[1] Esto es particularmente evidente con implantes que causan inflamación crónica y respuesta contra cuerpo extraño.[2] Esta reacción contra el implante causa daños a la zona infectada, dejando la superficie exterior con cicatrices.[3]
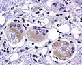
Los núcleos se encuentran desorganizados.[4] Estos se localizan en el centro celular y se superponen unos con otros.[5] Esto contrasta con la célula gigante de Langhans, donde los núcleos están organizados en el borde de esta.
Las células contra cuerpo extraño pueden detectar y eliminar las bacterias adquiridas dentro del cuerpo, al detectar el recubrimiento glucídico único presente en las procariotas invasores.[1] Estas células macrófagas son unas de las pocas células fagocíticas, pero no son las primeras en llegar a la lesión, y tienden a persistir entre días a semanas. Ha habido investigaciones hechas sobre otras células gigantes con funciones diferentes.[6]
-
Célula gigante contra cuerpo extraño reaccionando contra una sutura. Tinción hematoxilina-eosina. -
Micrografía donde se aprecia un cuerpo extraño envuelta por una célula gigante. Tinción hematoxilina-eosina. -
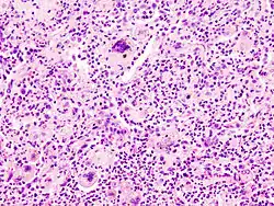
Reacción contra cuerpo extraño gigantocelular contra una fuga de silicona de un implante de mama. Tinción hematoxilina-eosina.
Referencias
- ↑ a b «UWEB :: Research : Biomaterials Tutorial». www.uweb.engr.washington.edu. Archivado desde el original el 12 de diciembre de 2016. Consultado el 30 de octubre de 2020.
- ↑ MeSH: Foreign+Body+Giant+Cell (en inglés)
- ↑ Mcnally, Amy (2003). «Giant Cell Formation». Am. J. Pathol. 163: 1147-56. PMC 1868253. PMID 12937156.
- ↑ «Inflammation».
- ↑ «Giant cells in chronic inflammation». Consultado el 21 de mayo de 2013.
- ↑ Brodbeck, WG; Anderson, JM (2009). «Giant cell formation and function». Curr. Opin. Hematol. 16: 53-7. PMC 2679387. PMID 19057205. doi:10.1097/MOH.0b013e32831ac52e.